Beta III Tubulin Recombinant Rabbit Monoclonal Antibody [PSH15-32]
cat.: HA751554
Product Type: Recombinant Rabbit monoclonal IgG, primary antibodies
Species reactivity: Human, Mouse, Rat
Applications: WB, IHC-P, IF-Tissue, IF-Cell, FC, IP
Clonality: Monoclonal
Clone number: PSH15-32
Form: Liquid
Storage condition: Store at +4℃ after thawing. Aliquot store at -20℃. Avoid repeated freeze / thaw cycles.
Storage buffer: 1*PBS (pH7.4).
Concentration: 0.1ug/ul
Purification: Protein A affinity purified.
Molecular weight: Predicted band size: 50 kDa
Isotype: IgG
Immunogen: Synthetic peptide within mouse Beta III Tubulin aa 401-450.
Positive control: SH-SY5Y cell lysate, U-87 MG cell lysate, Neuro-2a cell lysate, Mouse brain tissue lysate, Rat brain tissue lysate, mouse neuron cells, human cerebellum tissue, mouse E14.5 embryo tissue, mouse cerebellum tissue, rat E14.5 embryo tissue, rat cerebellum tissue, SH-SY5Y, Neuro-2a.
Subcellular location: Cytoplasm, cytoskeleton, growth cone, lamellipodium, filopodium.
Recommended Dilutions:
  WB
  IHC-P
  IF-Tissue
  IF-Cell
  FC
  IP

1:2,500
1:2,000-1:4,000
1:400
1:500
1:1,000-1:10,000
1-2μg/sample
Uniprot #: SwissProt: Q13509 Human | Q9ERD7 Mouse | Q4QRB4 Rat
Alternative names: beta 3 tubulin beta 4 beta-4 CDCBM CDCBM1 CFEOM3 CFEOM3A FEOM3 M(beta)3 M(beta)6 MC1R Neuron specific beta III Tubulin Neuron-specific class III beta-tubulin QccE-11995 QccE-15186 TBB3_HUMAN Tubb 3 TUBB3 TUBB4 Tubulin beta 3 Tubulin beta 3 chain Tubulin beta 4 Tubulin beta III Tubulin beta-3 chain Tubulin beta-4 chain Tubulin beta-III tuj 1 tuj1
Images
HA751554_1.jpg Fig1: Western blot analysis of Beta III Tubulin on different lysates with Rabbit anti-Beta III Tubulin antibody (HA751554) at 1/2,500 dilution.

Lane 1: SH-SY5Y cell lysate (15 µg/Lane)
Lane 2: HeLa cell lysate (negative) (15 µg/Lane)
Lane 3: U-87 MG cell lysate (15 µg/Lane)
Lane 4: Neuro-2a cell lysate (15 µg/Lane)
Lane 5: NIH/3T3 cell lysate (negative) (15 µg/Lane)
Lane 6: Mouse brain tissue lysate (20 µg/Lane)
Lane 7: Rat brain tissue lysate (20 µg/Lane)

Predicted band size: 50 kDa
Observed band size: 50 kDa

Exposure time: 4 seconds; ECL: K1801;

4-20% SDS-PAGE gel.

Proteins were transferred to a PVDF membrane and blocked with 5% NFDM/TBST for 1 hour at room temperature. The primary antibody (HA751554) at 1/2,500 dilution was used in primary antibody dilution (K1803) at 4℃ overnight. Goat Anti-Rabbit IgG - HRP Secondary Antibody (HA1001) at 1/50,000 dilution was used for 1 hour at room temperature.
HA751554_2.jpg Fig2: Application: IF-Tissue

Species: Mouse

Site: cerebellum

Sample: Paraffin-embedded section

Antibody concentration: 1/400
HA751554_3.jpg Fig3: Application: IF-Tissue

Species: Rat

Site: cerebellum

Sample: Paraffin-embedded section

Antibody concentration: 1/400
HA751554_4.jpg Fig4: Immunocytochemistry analysis of mouse neuron cells labeling Beta III Tubulin with Rabbit anti-Beta III Tubulin antibody (HA751554) at 1/500 dilution.

Cells were fixed in 4% paraformaldehyde for 15 minutes at room temperature, permeabilized with 0.1% Triton X-100 in PBS for 15 minutes at room temperature, then blocked with 1% BSA in 10% negative goat serum for 1 hour at room temperature. Cells were then incubated with Rabbit anti-Beta III Tubulin antibody (HA751554) at 1/500 dilution in 1% BSA in PBST overnight at 4 ℃. Goat Anti-Rabbit IgG H&L (iFluor™ 488, HA1121) was used as the secondary antibody at 1/1,000 dilution. PBS instead of the primary antibody was used as the secondary antibody only control. Nuclear DNA was labelled in blue with DAPI.

Beta tubulin (HA601187, red) was stained at 1/100 dilution overnight at +4℃. Goat Anti-Mouse IgG H&L (iFluor™ 594, HA1126) was used as the secondary antibody at 1/1,000 dilution.
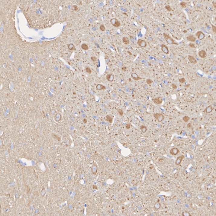
HA751554_5.jpg Fig5: Immunohistochemical analysis of paraffin-embedded human cerebellum tissue with Rabbit anti-Beta III Tubulin antibody (HA751554) at 1/4,000 dilution.

The section was pre-treated using heat mediated antigen retrieval with Tris-EDTA buffer (pH 9.0) for 20 minutes. The tissues were blocked in 1% BSA for 20 minutes at room temperature, washed with ddH2O and PBS, and then probed with the primary antibody (HA751554) at 1/4,000 dilution for 1 hour at room temperature. The detection was performed using an HRP conjugated compact polymer system. DAB was used as the chromogen. Tissues were counterstained with hematoxylin and mounted with DPX.
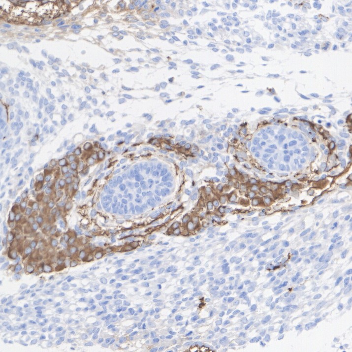
HA751554_6.jpg Fig6: Immunohistochemical analysis of paraffin-embedded mouse E14.5 embryo tissue with Rabbit anti-Beta III Tubulin antibody (HA751554) at 1/4,000 dilution.

The section was pre-treated using heat mediated antigen retrieval with Tris-EDTA buffer (pH 9.0) for 20 minutes. The tissues were blocked in 1% BSA for 20 minutes at room temperature, washed with ddH2O and PBS, and then probed with the primary antibody (HA751554) at 1/4,000 dilution for 1 hour at room temperature. The detection was performed using an HRP conjugated compact polymer system. DAB was used as the chromogen. Tissues were counterstained with hematoxylin and mounted with DPX.
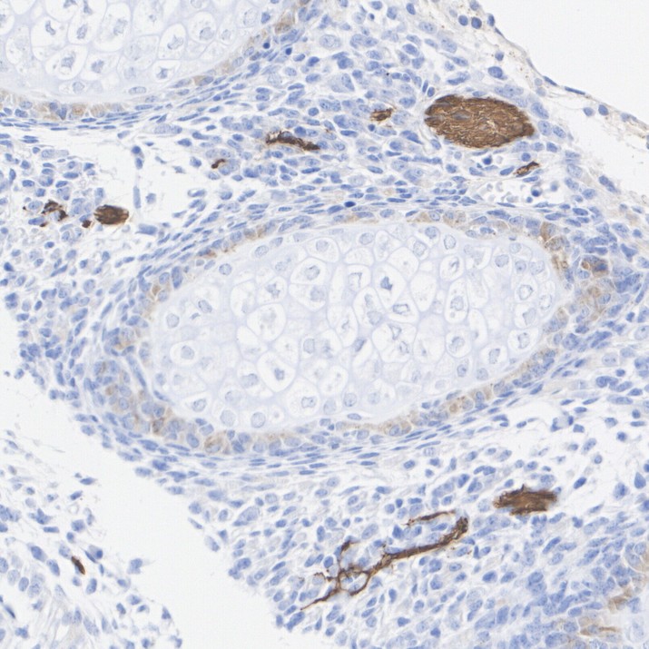
HA751554_7.jpg Fig7: Immunohistochemical analysis of paraffin-embedded mouse E14.5 embryo tissue with Rabbit anti-Beta III Tubulin antibody (HA751554) at 1/4,000 dilution.

The section was pre-treated using heat mediated antigen retrieval with Tris-EDTA buffer (pH 9.0) for 20 minutes. The tissues were blocked in 1% BSA for 20 minutes at room temperature, washed with ddH2O and PBS, and then probed with the primary antibody (HA751554) at 1/4,000 dilution for 1 hour at room temperature. The detection was performed using an HRP conjugated compact polymer system. DAB was used as the chromogen. Tissues were counterstained with hematoxylin and mounted with DPX.
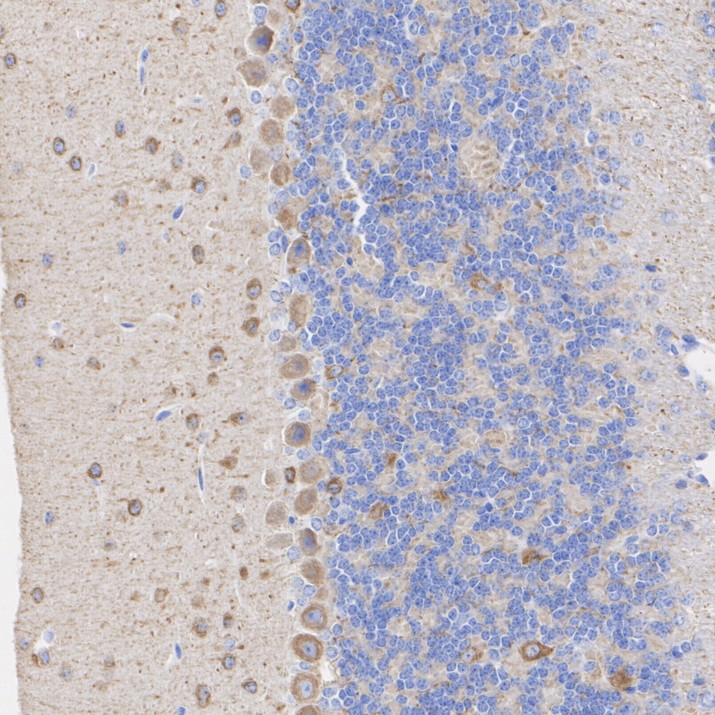
HA751554_8.jpg Fig8: Immunohistochemical analysis of paraffin-embedded mouse cerebellum tissue with Rabbit anti-Beta III Tubulin antibody (HA751554) at 1/4,000 dilution.

The section was pre-treated using heat mediated antigen retrieval with Tris-EDTA buffer (pH 9.0) for 20 minutes. The tissues were blocked in 1% BSA for 20 minutes at room temperature, washed with ddH2O and PBS, and then probed with the primary antibody (HA751554) at 1/4,000 dilution for 1 hour at room temperature. The detection was performed using an HRP conjugated compact polymer system. DAB was used as the chromogen. Tissues were counterstained with hematoxylin and mounted with DPX.
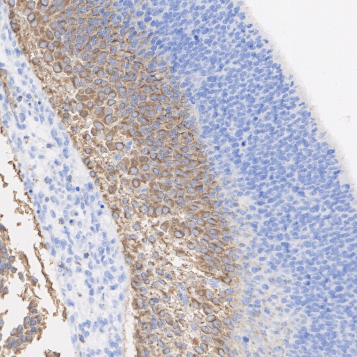
HA751554_9.jpg Fig9: Immunohistochemical analysis of paraffin-embedded rat E14.5 embryo tissue with Rabbit anti-Beta III Tubulin antibody (HA751554) at 1/4,000 dilution.

The section was pre-treated using heat mediated antigen retrieval with Tris-EDTA buffer (pH 9.0) for 20 minutes. The tissues were blocked in 1% BSA for 20 minutes at room temperature, washed with ddH2O and PBS, and then probed with the primary antibody (HA751554) at 1/4,000 dilution for 1 hour at room temperature. The detection was performed using an HRP conjugated compact polymer system. DAB was used as the chromogen. Tissues were counterstained with hematoxylin and mounted with DPX.
HA751554_10.jpg Fig10: Immunohistochemical analysis of paraffin-embedded rat E14.5 embryo tissue with Rabbit anti-Beta III Tubulin antibody (HA751554) at 1/4,000 dilution.

The section was pre-treated using heat mediated antigen retrieval with Tris-EDTA buffer (pH 9.0) for 20 minutes. The tissues were blocked in 1% BSA for 20 minutes at room temperature, washed with ddH2O and PBS, and then probed with the primary antibody (HA751554) at 1/4,000 dilution for 1 hour at room temperature. The detection was performed using an HRP conjugated compact polymer system. DAB was used as the chromogen. Tissues were counterstained with hematoxylin and mounted with DPX.
HA751554_11.jpg Fig11: Immunohistochemical analysis of paraffin-embedded rat cerebellum tissue with Rabbit anti-Beta III Tubulin antibody (HA751554) at 1/4,000 dilution.

The section was pre-treated using heat mediated antigen retrieval with Tris-EDTA buffer (pH 9.0) for 20 minutes. The tissues were blocked in 1% BSA for 20 minutes at room temperature, washed with ddH2O and PBS, and then probed with the primary antibody (HA751554) at 1/4,000 dilution for 1 hour at room temperature. The detection was performed using an HRP conjugated compact polymer system. DAB was used as the chromogen. Tissues were counterstained with hematoxylin and mounted with DPX.
HA751554_12.jpg Fig12: Immunocytochemistry analysis of SH-SY5Y (positive) and HeLa (negative) labeling Beta III Tubulin with Rabbit anti-Beta III Tubulin antibody (HA751554) at 1/500 dilution.

Cells were fixed in 4% paraformaldehyde for 15 minutes at room temperature, permeabilized with 0.1% Triton X-100 in PBS for 15 minutes at room temperature, then blocked with 1% BSA in 10% negative goat serum for 1 hour at room temperature. Cells were then incubated with Rabbit anti-Beta III Tubulin antibody (HA751554) at 1/500 dilution in 1% BSA in PBST overnight at 4 ℃. Goat Anti-Rabbit IgG H&L (iFluor™ 488, HA1121) was used as the secondary antibody at 1/1,000 dilution. PBS instead of the primary antibody was used as the secondary antibody only control. Nuclear DNA was labelled in blue with DAPI.

Beta tubulin (HA601187, red) was stained at 1/100 dilution overnight at +4℃. Goat Anti-Mouse IgG H&L (iFluor™ 594, HA1126) was used as the secondary antibody at 1/1,000 dilution.
HA751554_13.jpg Fig13: Immunocytochemistry analysis of Neuro-2a cells labeling Beta III Tubulin with Rabbit anti-Beta III Tubulin antibody (HA751554) at 1/500 dilution.

Cells were fixed in 4% paraformaldehyde for 15 minutes at room temperature, permeabilized with 0.1% Triton X-100 in PBS for 15 minutes at room temperature, then blocked with 1% BSA in 10% negative goat serum for 1 hour at room temperature. Cells were then incubated with Rabbit anti-Beta III Tubulin antibody (HA751554) at 1/500 dilution in 1% BSA in PBST overnight at 4 ℃. Goat Anti-Rabbit IgG H&L (iFluor™ 488, HA1121) was used as the secondary antibody at 1/1,000 dilution. PBS instead of the primary antibody was used as the secondary antibody only control. Nuclear DNA was labelled in blue with DAPI.

Beta tubulin (HA601187, red) was stained at 1/100 dilution overnight at +4℃. Goat Anti-Mouse IgG H&L (iFluor™ 594, HA1126) was used as the secondary antibody at 1/1,000 dilution.
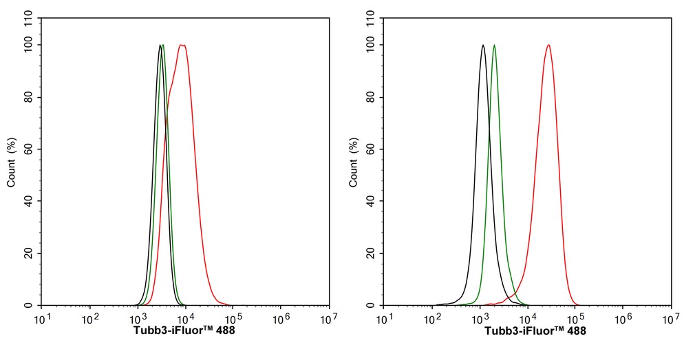
HA751554_14.jpg Fig14: Flow cytometric analysis of HeLa (left, negative) and SH-SY5Y (right, positive) cells labeling Beta III Tubulin.

Cells were fixed and permeabilized. Then stained with the primary antibody (HA751554, 1/10,000) (red) compared with Rabbit IgG Isotype Control (green). After incubation of the primary antibody at +4℃ for an hour, the cells were stained with a iFluor™ 488 conjugate-Goat anti-Rabbit IgG Secondary antibody (HA1121) at 1/1,000 dilution for 30 minutes at +4℃. Unlabelled sample was used as a control (cells without incubation with primary antibody; black).
HA751554_15.jpg Fig15: Flow cytometric analysis of Neuro-2a cells labeling Beta III Tubulin.

Cells were fixed and permeabilized. Then stained with the primary antibody (HA751554, 1/1,000) (red) compared with Rabbit IgG Isotype Control (green). After incubation of the primary antibody at +4℃ for an hour, the cells were stained with a iFluor™ 488 conjugate-Goat anti-Rabbit IgG Secondary antibody (HA1121) at 1/1,000 dilution for 30 minutes at +4℃. Unlabelled sample was used as a control (cells without incubation with primary antibody; black).
HA751554_16.jpg Fig16: Beta III Tubulin was immunoprecipitated from 0.2 mg mouse brain tissue lysate with HA751554 at 2 µg/10 µl beads. Western blot was performed from the immunoprecipitate using HA751554 at 1/500 dilution. HRP Conjugated Anti-Rabbit IgG for IP Nano-secondary antibody at 1/5,000 dilution was used for 1 hour at room temperature.

Lane 1: mouse brain tissue lysate (input)
Lane 2: HA751554 IP in mouse brain tissue lysate
Lane 3: Rabbit IgG instead of HA751554 in mouse brain tissue lysate

Blocking/Dilution buffer: primary antibody dilution (K1803)
Exposure time: 7 seconds; ECL: K1801
Note: All products are “FOR RESEARCH USE ONLY AND ARE NOT INTENDED FOR DIAGNOSTIC OR THERAPEUTIC USE”.