p16INK4a Recombinant Rabbit Monoclonal Antibody [PSH15-40]
cat.: HA751555
Product Type: Recombinant Rabbit monoclonal IgG, primary antibodies
Species reactivity: Mouse
Applications: WB, IHC-P, IP
Clonality: Monoclonal
Clone number: PSH15-40
Form: Liquid
Storage condition: Store at +4℃ after thawing. Aliquot store at -20℃. Avoid repeated freeze / thaw cycles.
Storage buffer: 1*PBS (pH7.4).
Concentration: 1ug/ul
Purification: Protein A affinity purified.
Molecular weight: Predicted band size: 18 kDa
Isotype: IgG
Positive control: A20 cell lysate, MEF cell lysate, mouse spleen tissue.
Subcellular location: Cytoplasm, Nucleus.
Recommended Dilutions:
  WB
  IHC-P
  IP

1:2,000
1:200
1:1,000
Uniprot #: SwissProt: P51480 Mouse
Alternative names: CCM2 CDK4 inhibitor p16 INK4 CDK4I CDKN2 CDKN2A Cell cycle negative regulator beta CMM2 Cyclin dependent kinase 4 inhibitor A Cyclin dependent kinase inhibitor 2A (melanoma p16 inhibits CDK4) Cyclin Dependent Kinase Inhibitor 2A Cyclin dependent kinase inhibitor 2A isoform 4 Cyclin dependent kinase inhibitor 2A isoforms 1/2/3 Cyclin dependent kinase inhibitor p16 INK4 INK4A MLM MTS1 Multiple tumor suppressor 1 p14 p16 P16INK4 p16INK4a p19 p19Arf TP16
Images
HA751555_1.jpg Fig1: Western blot analysis of p16INK4a on different lysates with Rabbit anti-p16INK4a antibody (HA751555) at 1/2,000 dilution.

Lane 1: A20 cell lysate
Lane 2: NIH/3T3 cell lysate (negative)
Lane 3: MEF cell lysate

Lysates/proteins at 20 µg/Lane.

Predicted band size: 18 kDa
Observed band size: 16 kDa

Exposure time: 1 minute 50 seconds; ECL: K1801;

4-20% SDS-PAGE gel.

Proteins were transferred to a PVDF membrane and blocked with 5% NFDM/TBST for 1 hour at room temperature. The primary antibody (HA751555) at 1/2,000 dilution was used in primary antibody dilution (K1803) at 4℃ overnight. Goat Anti-Rabbit IgG - HRP Secondary Antibody (HA1001) at 1/50,000 dilution was used for 1 hour at room temperature.
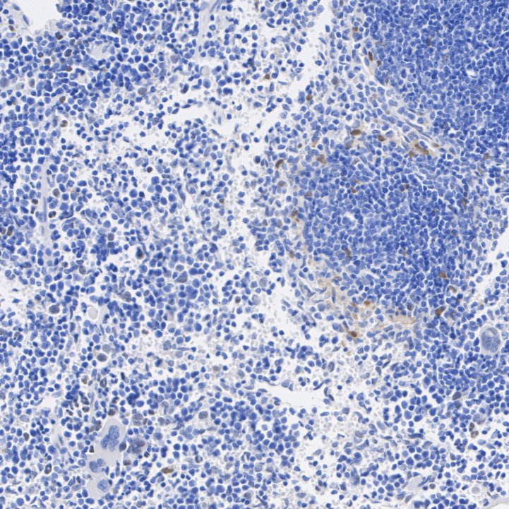
HA751555_2.jpg Fig2: Immunohistochemical analysis of paraffin-embedded mouse spleen tissue with Rabbit anti-p16INK4a antibody (HA751555) at 1/200 dilution.

The section was pre-treated using heat mediated antigen retrieval with Tris-EDTA buffer (pH 9.0) for 20 minutes. The tissues were blocked in 1% BSA for 20 minutes at room temperature, washed with ddH2O and PBS, and then probed with the primary antibody (HA751555) at 1/200 dilution for 1 hour at room temperature. The detection was performed using an HRP conjugated compact polymer system. DAB was used as the chromogen. Tissues were counterstained with hematoxylin and mounted with DPX.
HA751555_3.jpg Fig3: p16INK4a was immunoprecipitated from 0.2 mg MEF cell lysate with HA751555 at 2 µg/10 µl beads. Western blot was performed from the immunoprecipitate using HA751555 at 1/1,000 dilution. HRP Conjugated Anti-Rabbit IgG for IP Nano-secondary antibody at 1/5,000 dilution was used for 1 hour at room temperature.

Lane 1: MEF cell lysate (input)
Lane 2: HA751555 IP in MEF cell lysate
Lane 3: Rabbit IgG instead of HA751555 in MEF cell lysate

Blocking/Dilution buffer: primary antibody dilution (K1803)
Exposure time: 3 minutes; ECL: K1801
Note: All products are “FOR RESEARCH USE ONLY AND ARE NOT INTENDED FOR DIAGNOSTIC OR THERAPEUTIC USE”.