TFPI2 Recombinant Rabbit Monoclonal Antibody [PSH15-45]
cat.: HA751560
Product Type: Recombinant Rabbit monoclonal IgG, primary antibodies
Species reactivity: Human
Applications: WB, IHC-P, IP
Clonality: Monoclonal
Clone number: PSH15-45
Form: Liquid
Storage condition: Store at +4℃ after thawing. Aliquot store at -20℃. Avoid repeated freeze / thaw cycles.
Storage buffer: 1*PBS (pH7.4).
Concentration: 1ug/ul
Purification: Protein A affinity purified.
Molecular weight: Predicted band size: 27 kDa
Isotype: IgG
Immunogen: Recombinant protein within human TFPI2 aa 1-235.
Positive control: U-87 MG cell lysate, human placenta tissue.
Subcellular location: Secreted.
Recommended Dilutions:
  WB
  IHC-P
  IP

1:5,000
1:1,000
1-2μg/sample
Uniprot #: SwissProt: P48307 Human
Alternative names: Placental protein 5 PP5 REF1 Retinal pigment epithelium cell factor 1 TFPI 2 TFPI-2 TFPI2 TFPI2 PEN TFPI2_HUMAN Tissue factor pathway inhibitor 2
Images
HA751560_1.jpg Fig1: Western blot analysis of TFPI2 on different lysates with Rabbit anti-TFPI2 antibody (HA751560) at 1/5,000 dilution.

Lane 1: U-87 MG cell lysate
Lane 2: MCF7 cell lysate (low expression)

Lysates/proteins at 20 µg/Lane.

Predicted band size: 27 kDa
Observed band size: 30 kDa

Exposure time: 25 seconds; ECL: K1801;

4-20% SDS-PAGE gel.

Proteins were transferred to a PVDF membrane and blocked with 5% NFDM/TBST for 1 hour at room temperature. The primary antibody (HA751560) at 1/5,000 dilution was used in primary antibody dilution (K1803) at 4℃ overnight. Goat Anti-Rabbit IgG - HRP Secondary Antibody (HA1001) at 1/50,000 dilution was used for 1 hour at room temperature.
HA751560_2.jpg Fig2: Western blot analysis of TFPI2 on different lysates with Rabbit anti-TFPI2 antibody (HA751560) at 1/2,000 dilution.

Lane 1: U-87 MG cell lysate
Lane 2: U-87 MG cell lysate treated with deglycosylation

Lysates/proteins at 20 µg/Lane.

Predicted band size: 27 kDa
Observed band size: 27/30 kDa

Exposure time: 3 minutes; ECL: K1801;

4-20% SDS-PAGE gel.

Proteins were transferred to a PVDF membrane and blocked with 5% NFDM/TBST for 1 hour at room temperature. The primary antibody (HA751560) at 1/2,000 dilution was used in primary antibody dilution (K1803) at 4℃ overnight. Goat Anti-Rabbit IgG - HRP Secondary Antibody (HA1001) at 1/50,000 dilution was used for 1 hour at room temperature.
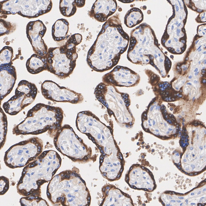
HA751560_3.jpg Fig3: Immunohistochemical analysis of paraffin-embedded human placenta tissue with Rabbit anti-TFPI2 antibody (HA751560) at 1/1,000 dilution.

The section was pre-treated using heat mediated antigen retrieval with Tris-EDTA buffer (pH 9.0) for 20 minutes. The tissues were blocked in 1% BSA for 20 minutes at room temperature, washed with ddH2O and PBS, and then probed with the primary antibody (HA751560) at 1/1,000 dilution for 1 hour at room temperature. The detection was performed using an HRP conjugated compact polymer system. DAB was used as the chromogen. Tissues were counterstained with hematoxylin and mounted with DPX.
HA751560_4.jpg Fig4: TFPI2 was immunoprecipitated from 0.2 mg U-87 MG cell lysate with HA751560 at 2 µg/10 µl beads. Western blot was performed from the immunoprecipitate using HA751560 at 1/5,000 dilution. HRP Conjugated Anti-Rabbit IgG for IP Nano-secondary antibody at 1/5,000 dilution was used for 1 hour at room temperature.

Lane 1: U-87 MG cell lysate (input)
Lane 2: HA751560 IP in U-87 MG cell lysate
Lane 3: Rabbit IgG instead of HA751560 in U-87 MG cell lysate

Blocking/Dilution buffer: primary antibody dilution (K1803)
Exposure time: 3 minutes; ECL: K1801
Note: All products are “FOR RESEARCH USE ONLY AND ARE NOT INTENDED FOR DIAGNOSTIC OR THERAPEUTIC USE”.