SCD1 Recombinant Rabbit Monoclonal Antibody [PSH15-47]
cat.: HA751562
Product Type: Recombinant Rabbit monoclonal IgG, primary antibodies
Species reactivity: Mouse, Rat
Applications: WB, IHC-Fr, IHC-P, FC
Clonality: Monoclonal
Clone number: PSH15-47
Form: Liquid
Storage condition: Store at +4℃ after thawing. Aliquot store at -20℃. Avoid repeated freeze / thaw cycles.
Storage buffer: 1*PBS (pH7.4).
Concentration: 1ug/ul
Purification: Protein A affinity purified.
Molecular weight: Predicted band size: 41 kDa
Isotype: IgG
Immunogen: Synthetic peptide within mouse SCD1 aa 1-50.
Positive control: Mouse liver tissue lysate, Mouse white adipose tissue lysate, Mouse brown adipose tissue lysate, Rat white adipose tissue lysate, mouse adipose tissue, mouse liver tissue, rat adipose tissue, rat liver tissue, MC/9.
Subcellular location: Endoplasmic reticulum membrane, Microsome membrane.
Recommended Dilutions:
  WB
  IHC-Fr
  IHC-P
  FC

1:5,000
1:500
1:9,000
1:1,000
Uniprot #: SwissProt: P13516 Mouse | P07308 Rat
Alternative names: ACOD_HUMAN Acyl-CoA desaturase Delta(9)-desaturase Delta-9 desaturase Delta-9-Desaturase FADS5 Fatty acid desaturase PRO0998 SCD 1 SCD SCD1 Stearoyl-CoA desaturase
Images
HA751562_1.jpg Fig1: Western blot analysis of SCD1 on different lysates with Rabbit anti-SCD1 antibody (HA751562) at 1/5,000 dilution.

Lane 1: Mouse liver tissue lysate
Lane 2: Mouse white adipose tissue lysate
Lane 3: Mouse brown adipose tissue lysate
Lane 4: Rat white adipose tissue lysate

Lysates/proteins at 20 µg/Lane.

Predicted band size: 41 kDa
Observed band size: 37/28 kDa

Exposure time: 25 seconds; ECL: K1801;

4-20% SDS-PAGE gel.

Proteins were transferred to a PVDF membrane and blocked with 5% NFDM/TBST for 1 hour at room temperature. The primary antibody (HA751562) at 1/5,000 dilution was used in primary antibody dilution (K1803) at 4℃ overnight. Goat Anti-Rabbit IgG - HRP Secondary Antibody (HA1001) at 1/50,000 dilution was used for 1 hour at room temperature.
HA751562_2.jpg Fig2: Application: IHC-Fr

Species: Mouse

Site: liver

Sample: Frozen section

Antibody concentration: 1/500

Antigen retrieval: Not required
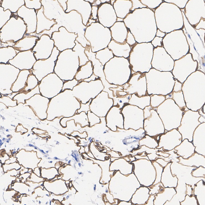
HA751562_3.jpg Fig3: Immunohistochemical analysis of paraffin-embedded mouse adipose tissue with Rabbit anti-SCD1 antibody (HA751562) at 1/9,000 dilution.

The section was pre-treated using heat mediated antigen retrieval with Tris-EDTA buffer (pH 9.0) for 20 minutes. The tissues were blocked in 1% BSA for 20 minutes at room temperature, washed with ddH2O and PBS, and then probed with the primary antibody (HA751562) at 1/9,000 dilution for 1 hour at room temperature. The detection was performed using an HRP conjugated compact polymer system. DAB was used as the chromogen. Tissues were counterstained with hematoxylin and mounted with DPX.
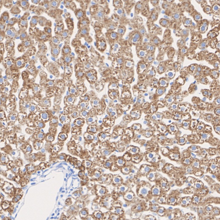
HA751562_4.jpg Fig4: Immunohistochemical analysis of paraffin-embedded mouse liver tissue with Rabbit anti-SCD1 antibody (HA751562) at 1/9,000 dilution.

The section was pre-treated using heat mediated antigen retrieval with Tris-EDTA buffer (pH 9.0) for 20 minutes. The tissues were blocked in 1% BSA for 20 minutes at room temperature, washed with ddH2O and PBS, and then probed with the primary antibody (HA751562) at 1/9,000 dilution for 1 hour at room temperature. The detection was performed using an HRP conjugated compact polymer system. DAB was used as the chromogen. Tissues were counterstained with hematoxylin and mounted with DPX.
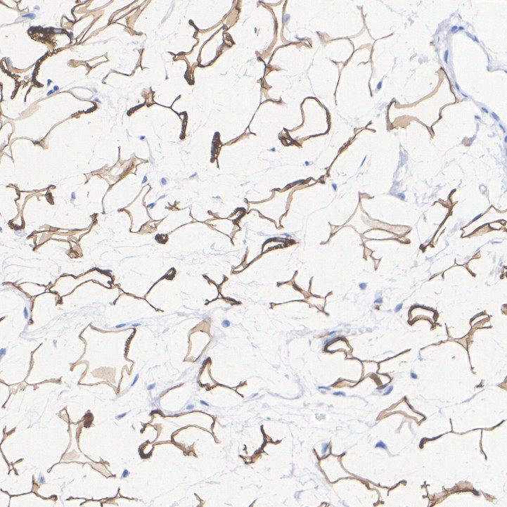
HA751562_5.jpg Fig5: Immunohistochemical analysis of paraffin-embedded rat adipose tissue with Rabbit anti-SCD1 antibody (HA751562) at 1/9,000 dilution.

The section was pre-treated using heat mediated antigen retrieval with Tris-EDTA buffer (pH 9.0) for 20 minutes. The tissues were blocked in 1% BSA for 20 minutes at room temperature, washed with ddH2O and PBS, and then probed with the primary antibody (HA751562) at 1/9,000 dilution for 1 hour at room temperature. The detection was performed using an HRP conjugated compact polymer system. DAB was used as the chromogen. Tissues were counterstained with hematoxylin and mounted with DPX.
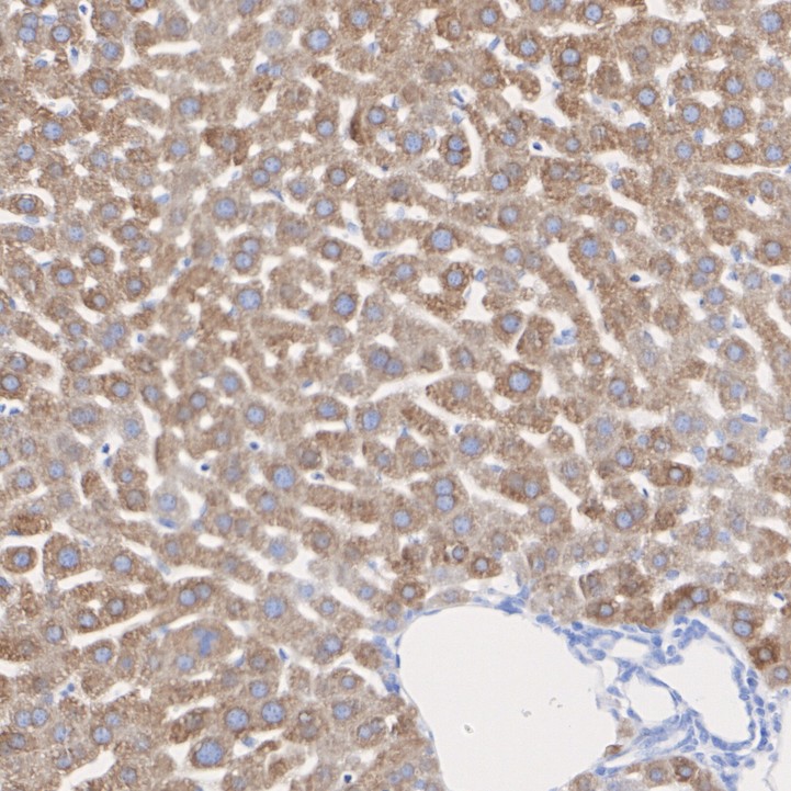
HA751562_6.jpg Fig6: Immunohistochemical analysis of paraffin-embedded rat liver tissue with Rabbit anti-SCD1 antibody (HA751562) at 1/9,000 dilution.

The section was pre-treated using heat mediated antigen retrieval with Tris-EDTA buffer (pH 9.0) for 20 minutes. The tissues were blocked in 1% BSA for 20 minutes at room temperature, washed with ddH2O and PBS, and then probed with the primary antibody (HA751562) at 1/9,000 dilution for 1 hour at room temperature. The detection was performed using an HRP conjugated compact polymer system. DAB was used as the chromogen. Tissues were counterstained with hematoxylin and mounted with DPX.
HA751562_7.jpg Fig7: Flow cytometric analysis of MC/9 cells labeling SCD1.

Cells were fixed and permeabilized. Then stained with the primary antibody (HA751562, 1/1,000) (red) compared with Rabbit IgG Isotype Control (green). After incubation of the primary antibody at +4℃ for an hour, the cells were stained with a iFluor™ 488 conjugate-Goat anti-Rabbit IgG Secondary antibody (HA1121) at 1/1,000 dilution for 30 minutes at +4℃. Unlabelled sample was used as a control (cells without incubation with primary antibody; black).
Note: All products are “FOR RESEARCH USE ONLY AND ARE NOT INTENDED FOR DIAGNOSTIC OR THERAPEUTIC USE”.