Choline Acetyltransferase Recombinant Rabbit Monoclonal Antibody [PSH15-49]
cat.: HA751564
Product Type: Recombinant Rabbit monoclonal IgG, primary antibodies
Species reactivity: Human, Mouse, Rat
Applications: IHC-P
Clonality: Monoclonal
Clone number: PSH15-49
Form: Liquid
Storage condition: Store at +4℃ after thawing. Aliquot store at -20℃. Avoid repeated freeze / thaw cycles.
Storage buffer: 1*PBS (pH7.4).
Concentration: 1ug/ul
Purification: Protein A affinity purified.
Molecular weight: Predicted band size: 72 kDa
Isotype: IgG
Immunogen: Recombinant protein within mouse Choline Acetyltransferase aa 1-641.
Positive control: Mouse brain (habenular nucleus) tissue, mouse brain (caudate nucleus) tissue, mouse hindbrain tissue, rat brain (habenular nucleus) tissue, rat brain (caudate nucleus) tissue, rat hindbrain tissue.
Subcellular location: Cytosol, nucleus, cytoplasm, neuron projection, presynapse.
Recommended Dilutions:
  IHC-P

1:200-1:1,000
Uniprot #: SwissProt: P28329 Human | Q03059 Mouse | P32738 Rat
Alternative names: Acetyl CoA choline O acetyltransferase Acetyl CoA:choline O acetyltransferase ChAT CHOACTase Choline acetylase choline acetyltransferase Choline O acetyltransferase Choline O-acetyltransferase CLAT_HUMAN CMS1A CMS1A2 EC 2.3.1.6 OTTHUMP00000019583 OTTHUMP00000019584
Images
HA751564_1.jpg Fig1: Immunohistochemical analysis of paraffin-embedded mouse brain (habenular nucleus) tissue with Rabbit anti-Choline Acetyltransferase antibody (HA751564) at 1/200 dilution.

The section was pre-treated using heat mediated antigen retrieval with Tris-EDTA buffer (pH 9.0) for 20 minutes. The tissues were blocked in 1% BSA for 20 minutes at room temperature, washed with ddH2O and PBS, and then probed with the primary antibody (HA751564) at 1/200 dilution for 1 hour at room temperature. The detection was performed using an HRP conjugated compact polymer system. DAB was used as the chromogen. Tissues were counterstained with hematoxylin and mounted with DPX.
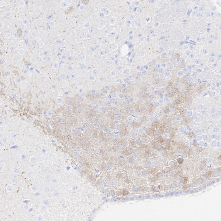
HA751564_2.jpg Fig2: Immunohistochemical analysis of paraffin-embedded mouse brain (caudate nucleus) tissue with Rabbit anti-Choline Acetyltransferase antibody (HA751564) at 1/200 dilution.

The section was pre-treated using heat mediated antigen retrieval with Tris-EDTA buffer (pH 9.0) for 20 minutes. The tissues were blocked in 1% BSA for 20 minutes at room temperature, washed with ddH2O and PBS, and then probed with the primary antibody (HA751564) at 1/200 dilution for 1 hour at room temperature. The detection was performed using an HRP conjugated compact polymer system. DAB was used as the chromogen. Tissues were counterstained with hematoxylin and mounted with DPX.
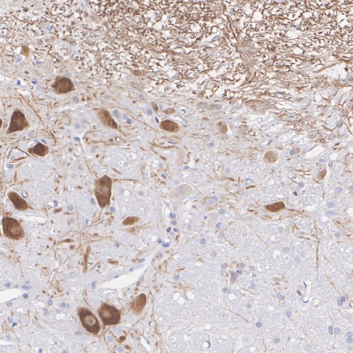
HA751564_3.jpg Fig3: Immunohistochemical analysis of paraffin-embedded mouse hindbrain tissue with Rabbit anti-Choline Acetyltransferase antibody (HA751564) at 1/200 dilution.

The section was pre-treated using heat mediated antigen retrieval with Tris-EDTA buffer (pH 9.0) for 20 minutes. The tissues were blocked in 1% BSA for 20 minutes at room temperature, washed with ddH2O and PBS, and then probed with the primary antibody (HA751564) at 1/200 dilution for 1 hour at room temperature. The detection was performed using an HRP conjugated compact polymer system. DAB was used as the chromogen. Tissues were counterstained with hematoxylin and mounted with DPX.
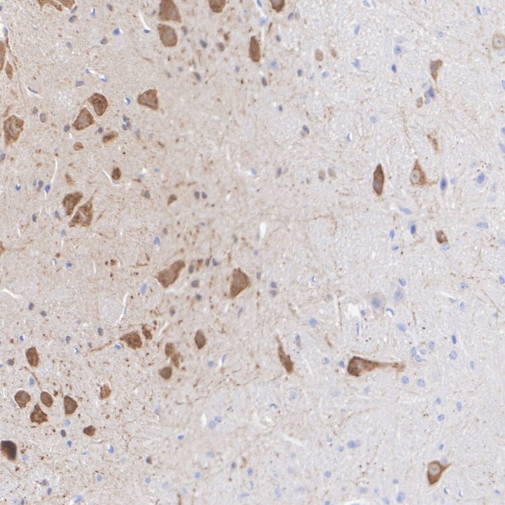
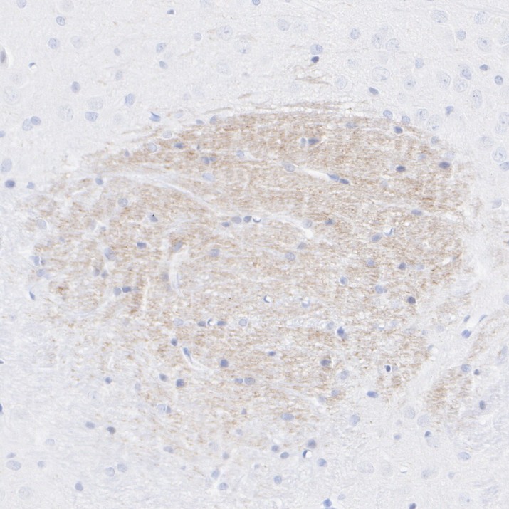
HA751564_4.jpg Fig4: Immunohistochemical analysis of paraffin-embedded rat brain (habenular nucleus) tissue with Rabbit anti-Choline Acetyltransferase antibody (HA751564) at 1/200 dilution.

The section was pre-treated using heat mediated antigen retrieval with Tris-EDTA buffer (pH 9.0) for 20 minutes. The tissues were blocked in 1% BSA for 20 minutes at room temperature, washed with ddH2O and PBS, and then probed with the primary antibody (HA751564) at 1/200 dilution for 1 hour at room temperature. The detection was performed using an HRP conjugated compact polymer system. DAB was used as the chromogen. Tissues were counterstained with hematoxylin and mounted with DPX.
HA751564_5.jpg Fig5: Immunohistochemical analysis of paraffin-embedded rat brain (caudate nucleus) tissue with Rabbit anti-Choline Acetyltransferase antibody (HA751564) at 1/200 dilution.

The section was pre-treated using heat mediated antigen retrieval with Tris-EDTA buffer (pH 9.0) for 20 minutes. The tissues were blocked in 1% BSA for 20 minutes at room temperature, washed with ddH2O and PBS, and then probed with the primary antibody (HA751564) at 1/200 dilution for 1 hour at room temperature. The detection was performed using an HRP conjugated compact polymer system. DAB was used as the chromogen. Tissues were counterstained with hematoxylin and mounted with DPX.
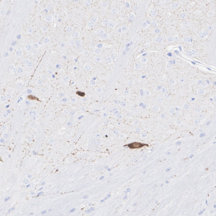
HA751564_6.jpg Fig6: Immunohistochemical analysis of paraffin-embedded rat hindbrain tissue with Rabbit anti-Choline Acetyltransferase antibody (HA751564) at 1/200 dilution.

The section was pre-treated using heat mediated antigen retrieval with Tris-EDTA buffer (pH 9.0) for 20 minutes. The tissues were blocked in 1% BSA for 20 minutes at room temperature, washed with ddH2O and PBS, and then probed with the primary antibody (HA751564) at 1/200 dilution for 1 hour at room temperature. The detection was performed using an HRP conjugated compact polymer system. DAB was used as the chromogen. Tissues were counterstained with hematoxylin and mounted with DPX.
HA751564_7.jpg Fig7: Immunohistochemical analysis of paraffin-embedded human colon tissue with Rabbit anti-Choline Acetyltransferase antibody (HA751564) at 1/1,000 dilution.

The section was pre-treated using heat mediated antigen retrieval with Tris-EDTA buffer (pH 9.0) for 20 minutes. The tissues were blocked in 1% BSA for 20 minutes at room temperature, washed with ddH2O and PBS, and then probed with the primary antibody (HA751564) at 1/1,000 dilution for 1 hour at room temperature. The detection was performed using an HRP conjugated compact polymer system. DAB was used as the chromogen. Tissues were counterstained with hematoxylin and mounted with DPX.
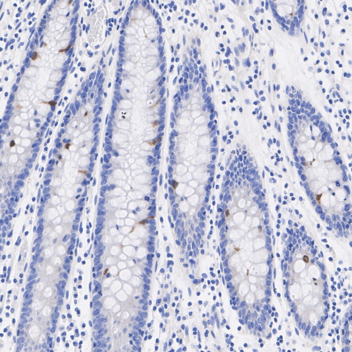
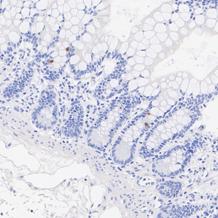
HA751564_8.jpg Fig8: Immunohistochemical analysis of paraffin-embedded human small intestine tissue with Rabbit anti-Choline Acetyltransferase antibody (HA751564) at 1/1,000 dilution.

The section was pre-treated using heat mediated antigen retrieval with Tris-EDTA buffer (pH 9.0) for 20 minutes. The tissues were blocked in 1% BSA for 20 minutes at room temperature, washed with ddH2O and PBS, and then probed with the primary antibody (HA751564) at 1/1,000 dilution for 1 hour at room temperature. The detection was performed using an HRP conjugated compact polymer system. DAB was used as the chromogen. Tissues were counterstained with hematoxylin and mounted with DPX.
Note: All products are “FOR RESEARCH USE ONLY AND ARE NOT INTENDED FOR DIAGNOSTIC OR THERAPEUTIC USE”.