LIPT2 Recombinant Rabbit Monoclonal Antibody [PSH15-52]
cat.: HA751565
Product Type: Recombinant Rabbit monoclonal IgG, primary antibodies
Species reactivity: Human
Applications: WB, IHC-P
Clonality: Monoclonal
Clone number: PSH15-52
Form: Liquid
Storage condition: Store at +4℃ after thawing. Aliquot store at -20℃. Avoid repeated freeze / thaw cycles.
Storage buffer: 1*PBS (pH7.4).
Concentration: 1ug/ul
Purification: Protein A affinity purified.
Molecular weight: Predicted band size: 25 kDa
Isotype: IgG
Immunogen: Recombinant protein within human LIPT2 aa 1-231.
Positive control: 293T transfected with LIPT2 cell lysate.
Subcellular location: Mitochondrion.
Recommended Dilutions:
  WB
  IHC-P

1:5,000
1:200
Uniprot #: SwissProt: A6NK58 Human
Alternative names: Octanoyl-[acyl-carrier-protein]:protein N-octanoyltransferase LIPT2, mitochondrial Lipoate-protein ligase B Lipoyl/octanoyl transferase Lipoyltransferase 2 Octanoyl-[acyl-carrier-protein]-protein N-octanoyltransferase LIPT2
Images
HA751565_1.jpg Fig1: Western blot analysis of LIPT2 on different lysates with Rabbit anti-LIPT2 antibody (HA751565) at 1/5,000 dilution.

Lane 1: 293T transfected with empty control cell lysate
Lane 2: 293T transfected with LIPT2 cell lysate

Lysates/proteins at 20 µg/Lane.

Predicted band size: 25 kDa
Observed band size: 30 kDa

Exposure time: 3 minutes; ECL: K1802;

4-20% SDS-PAGE gel.

Proteins were transferred to a PVDF membrane and blocked with 5% NFDM/TBST for 1 hour at room temperature. The primary antibody (HA751565) at 1/5,000 dilution was used in 5% NFDM/TBST at 4℃ overnight. Goat Anti-Rabbit IgG - HRP Secondary Antibody (HA1001) at 1/50,000 dilution was used for 1 hour at room temperature.
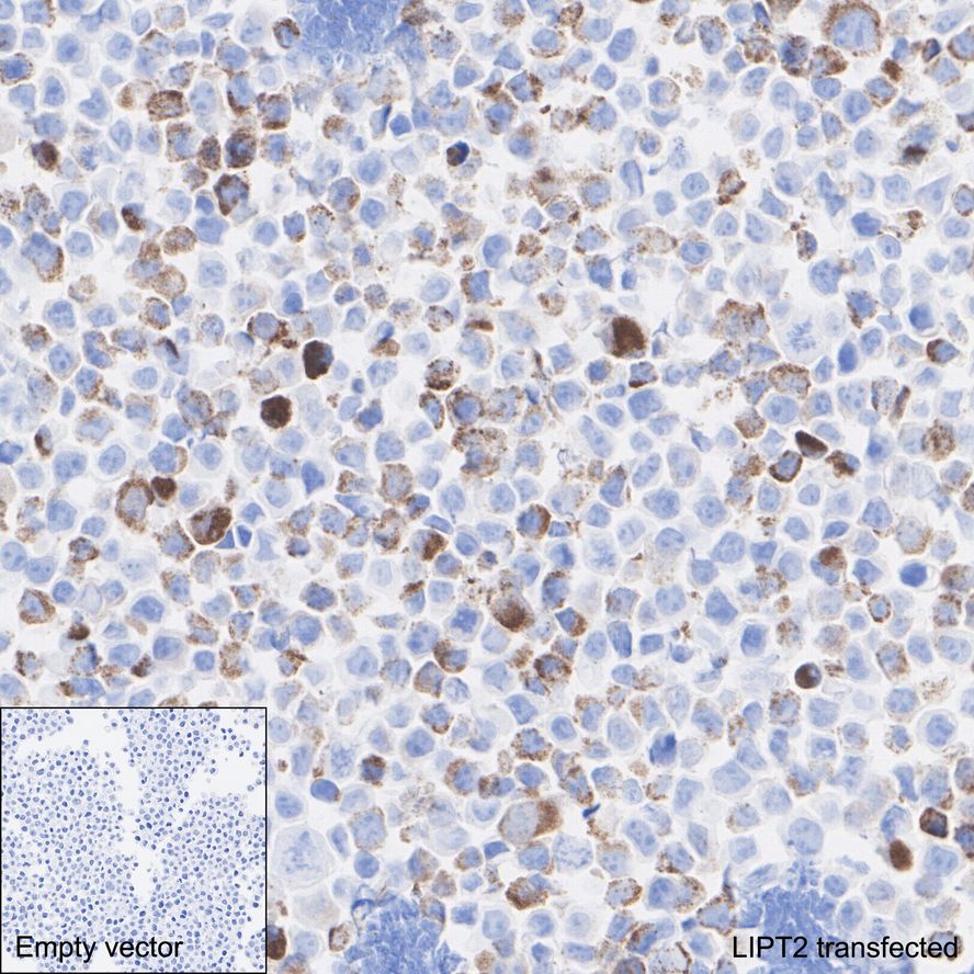
HA751565_2.jpg Fig2: Immunohistochemical analysis of paraffin-embedded 293T cells transfected with or without LIPT2 with Rabbit anti-LIPT2 antibody (HA751565) at 1/200 dilution.

The section was pre-treated using heat mediated antigen retrieval with Tris-EDTA buffer (pH 9.0) for 20 minutes. The tissues were blocked in 1% BSA for 20 minutes at room temperature, washed with ddH2O and PBS, and then probed with the primary antibody (HA751565) at 1/200 dilution for 1 hour at room temperature. The detection was performed using an HRP conjugated compact polymer system. DAB was used as the chromogen. Tissues were counterstained with hematoxylin and mounted with DPX.
Note: All products are “FOR RESEARCH USE ONLY AND ARE NOT INTENDED FOR DIAGNOSTIC OR THERAPEUTIC USE”.