Ryanodine receptor 2 / RYR-2 Recombinant Rabbit Monoclonal Antibody [PSH15-54]
cat.: HA751567
Product Type: Recombinant Rabbit monoclonal IgG, primary antibodies
Species reactivity: Mouse, Rat
Applications: WB, IHC-P
Clonality: Monoclonal
Clone number: PSH15-54
Form: Liquid
Storage condition: Store at +4℃ after thawing. Aliquot store at -20℃. Avoid repeated freeze / thaw cycles.
Storage buffer: 1*PBS (pH7.4).
Concentration: 1ug/ul
Purification: Protein A affinity purified.
Molecular weight: Predicted band size: 565 kDa
Isotype: IgG
Immunogen: Recombinant protein within human RYR-2 aa 1,301-1,600.
Positive control: Mouse heart tissue lysate, Rat heart tissue lysate, mouse heart tissue.
Subcellular location: Sarcoplasmic reticulum membrane.
Recommended Dilutions:
  WB
  IHC-P

1:2,000
1:200
Uniprot #: SwissProt: E9Q401 Mouse | B0LPN4 Rat
Alternative names: ARVC2 ARVD2 Cardiac muscle ryanodine receptor Cardiac muscle ryanodine receptor-calcium release channel hRYR-2 ryanodine receptor 2 (cardiac) Ryanodine receptor 2 RyR RYR-2 RyR2 RYR2_HUMAN Type 2 ryanodine receptor VTSIP
Images
HA751567_1.jpg Fig1: Western blot analysis of Ryanodine receptor 2 / RYR-2 on different lysates with Rabbit anti-Ryanodine receptor 2 / RYR-2 antibody (HA751567) at 1/2,000 dilution.

Lane 1: Mouse heart tissue lysate
Lane 2: Mouse skeletal muscle tissue lysate (negative)
Lane 3: Mouse liver tissue lysate (negative)
Lane 4: Rat heart tissue lysate
Lane 5: Rat skeletal muscle tissue lysate (negative)
Lane 6: Rat liver tissue lysate (negative)

Lysates/proteins at 40 µg/Lane.

Predicted band size: 565 kDa
Observed band size: 565 kDa

Exposure time: 1 minute 7 seconds; ECL: K1802;

3-8% SDS-PAGE gel.

Proteins were transferred to a PVDF membrane and blocked with 5% NFDM/TBST for 1 hour at room temperature. The primary antibody (HA751567) at 1/2,000 dilution was used in 5% NFDM/TBST at 4℃ overnight. Goat Anti-Rabbit IgG - HRP Secondary Antibody (HA1001) at 1/50,000 dilution was used for 1 hour at room temperature.
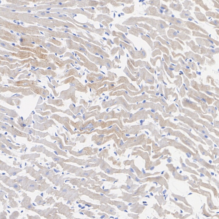
HA751567_2.jpg Fig2: Immunohistochemical analysis of paraffin-embedded mouse heart tissue with Rabbit anti-Ryanodine receptor 2 / RYR-2 antibody (HA751567) at 1/200 dilution.

The section was pre-treated using heat mediated antigen retrieval with Tris-EDTA buffer (pH 9.0) for 20 minutes. The tissues were blocked in 1% BSA for 20 minutes at room temperature, washed with ddH2O and PBS, and then probed with the primary antibody (HA751567) at 1/200 dilution for 1 hour at room temperature. The detection was performed using an HRP conjugated compact polymer system. DAB was used as the chromogen. Tissues were counterstained with hematoxylin and mounted with DPX.
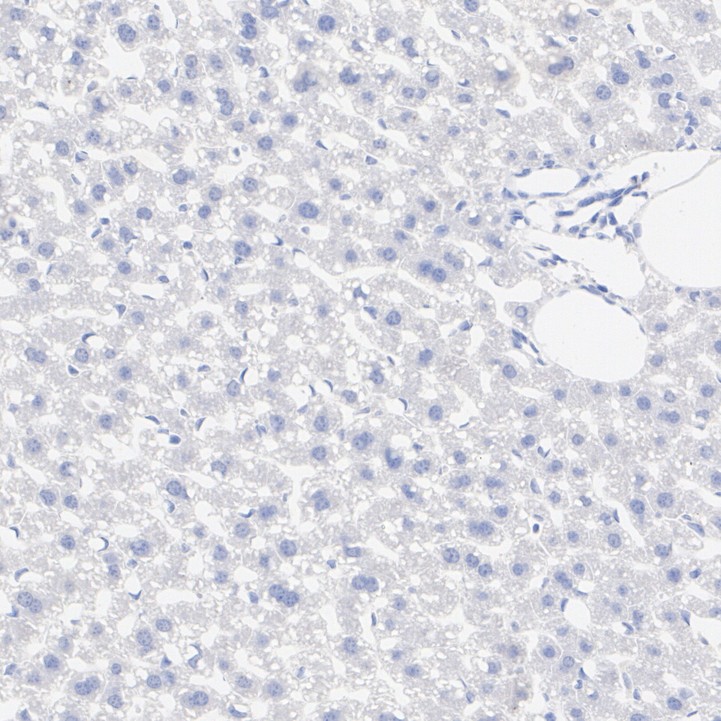
HA751567_3.jpg Fig3: Immunohistochemical analysis of paraffin-embedded mouse liver tissue (negative) with Rabbit anti-Ryanodine receptor 2 / RYR-2 antibody (HA751567) at 1/200 dilution.

The section was pre-treated using heat mediated antigen retrieval with Tris-EDTA buffer (pH 9.0) for 20 minutes. The tissues were blocked in 1% BSA for 20 minutes at room temperature, washed with ddH2O and PBS, and then probed with the primary antibody (HA751567) at 1/200 dilution for 1 hour at room temperature. The detection was performed using an HRP conjugated compact polymer system. DAB was used as the chromogen. Tissues were counterstained with hematoxylin and mounted with DPX.
Note: All products are “FOR RESEARCH USE ONLY AND ARE NOT INTENDED FOR DIAGNOSTIC OR THERAPEUTIC USE”.