TAZ / WWTR1 Recombinant Rabbit Monoclonal Antibody [PSH15-58]
cat.: HA751569
Product Type: Recombinant Rabbit monoclonal IgG, primary antibodies
Species reactivity: Human, Mouse, Rat
Applications: WB, IHC-P, IP
Clonality: Monoclonal
Clone number: PSH15-58
Form: Liquid
Storage condition: Store at +4℃ after thawing. Aliquot store at -20℃. Avoid repeated freeze / thaw cycles.
Storage buffer: 1*PBS (pH7.4).
Concentration: 1ug/ul
Purification: Protein A affinity purified.
Molecular weight: Predicted band size: 44 kDa
Isotype: IgG
Immunogen: Recombinant protein within human TAZ / WWTR1 aa 1-400.
Positive control: HeLa cell lysate, PANC-1 cell lysate, SK-MEL-28 cell lysate, A375 cell lysate, F9 cell lysate, C2C12 cell lysate, NIH/3T3 cell lysate, C6 cell lysate, human breast carcinoma tissue, human kidney tissue, human stomach tissue, mouse kidney tissue, mouse stomach tissue, rat kidney tissue, rat stomach tissue.
Subcellular location: Nucleus, Cytoplasm, Cell membrane, Cell junction, tight junction.
Recommended Dilutions:
  WB
  IHC-P
  IP

1:5,000
1:200-1:1,000
1-2μg/sample
Uniprot #: SwissProt: Q9GZV5 Human | Q9EPK5 Mouse
Entrez Gene: 295062 Rat
Alternative names: DKFZP586I1419 FLJ27004 FLJ45718 OTTHUMP00000215994 OTTHUMP00000215995 OTTHUMP00000215996 OTTHUMP00000216001 TAZ Transcriptional co activator with PDZ binding motif Transcriptional coactivator with PDZ binding motif Transcriptional coactivator with PDZ-binding motif WW domain containing transcription regulator 1 WW domain containing transcription regulator protein 1 WW domain-containing transcription regulator protein 1 WWTR 1 WWTR1 WWTR1_HUMAN
Images
HA751569_1.jpg Fig1: Western blot analysis of TAZ / WWTR1 on different lysates with Rabbit anti-TAZ / WWTR1 antibody (HA751569) at 1/5,000 dilution.

Lane 1: HeLa cell lysate
Lane 2: PANC-1 cell lysate
Lane 3: SH-SY5Y cell lysate (low expression)
Lane 4: SK-MEL-28 cell lysate
Lane 5: Raji cell lysate (negative)
Lane 6: A375 cell lysate
Lane 7: F9 cell lysate
Lane 8: C2C12 cell lysate
Lane 9: NIH/3T3 cell lysate
Lane 10: C6 cell lysate

Lysates/proteins at 20 µg/Lane.

Predicted band size: 44 kDa
Observed band size: 50 kDa

Exposure time: 3 minutes; ECL: K1801;

4-20% SDS-PAGE gel.

Proteins were transferred to a PVDF membrane and blocked with 5% NFDM/TBST for 1 hour at room temperature. The primary antibody (HA751569) at 1/5,000 dilution was used in primary antibody dilution (K1803) at 4℃ overnight. Goat Anti-Rabbit IgG - HRP Secondary Antibody (HA1001) at 1/50,000 dilution was used for 1 hour at room temperature.
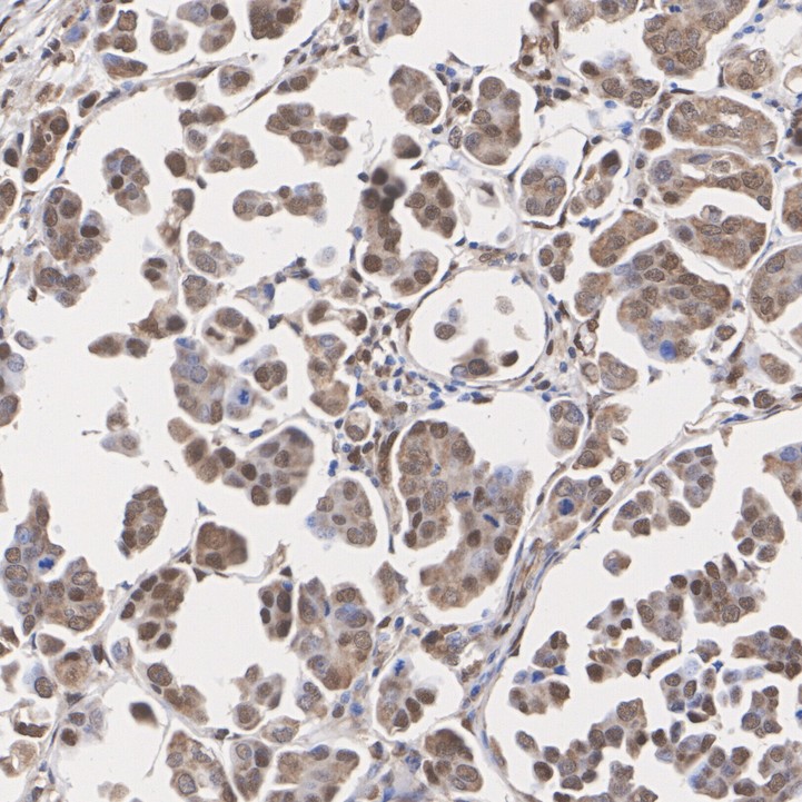
HA751569_2.jpg Fig2: Immunohistochemical analysis of paraffin-embedded human breast carcinoma tissue with Rabbit anti-TAZ / WWTR1 antibody (HA751569) at 1/200 dilution.

The section was pre-treated using heat mediated antigen retrieval with Tris-EDTA buffer (pH 9.0) for 20 minutes. The tissues were blocked in 1% BSA for 20 minutes at room temperature, washed with ddH2O and PBS, and then probed with the primary antibody (HA751569) at 1/200 dilution for 1 hour at room temperature. The detection was performed using an HRP conjugated compact polymer system. DAB was used as the chromogen. Tissues were counterstained with hematoxylin and mounted with DPX.
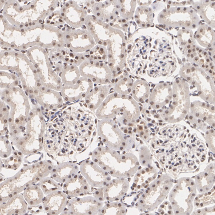
HA751569_3.jpg Fig3: Immunohistochemical analysis of paraffin-embedded human kidney tissue with Rabbit anti-TAZ / WWTR1 antibody (HA751569) at 1/1,000 dilution.

The section was pre-treated using heat mediated antigen retrieval with Tris-EDTA buffer (pH 9.0) for 20 minutes. The tissues were blocked in 1% BSA for 20 minutes at room temperature, washed with ddH2O and PBS, and then probed with the primary antibody (HA751569) at 1/1,000 dilution for 1 hour at room temperature. The detection was performed using an HRP conjugated compact polymer system. DAB was used as the chromogen. Tissues were counterstained with hematoxylin and mounted with DPX.
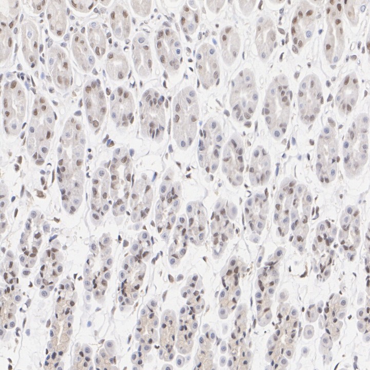
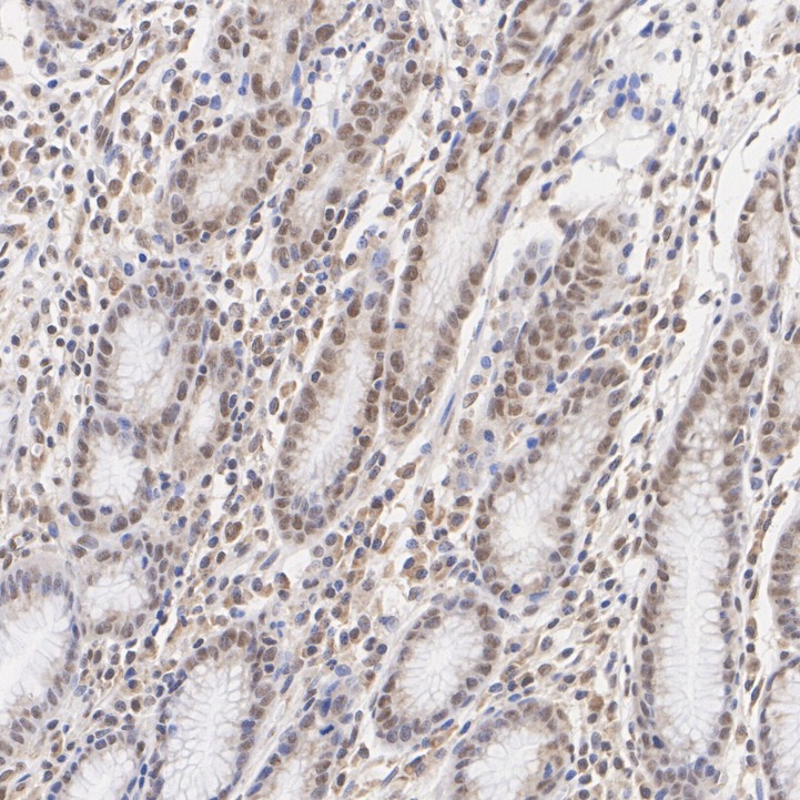
HA751569_4.jpg Fig4: Immunohistochemical analysis of paraffin-embedded human stomach tissue with Rabbit anti-TAZ / WWTR1 antibody (HA751569) at 1/1,000 dilution.

The section was pre-treated using heat mediated antigen retrieval with Tris-EDTA buffer (pH 9.0) for 20 minutes. The tissues were blocked in 1% BSA for 20 minutes at room temperature, washed with ddH2O and PBS, and then probed with the primary antibody (HA751569) at 1/1,000 dilution for 1 hour at room temperature. The detection was performed using an HRP conjugated compact polymer system. DAB was used as the chromogen. Tissues were counterstained with hematoxylin and mounted with DPX.
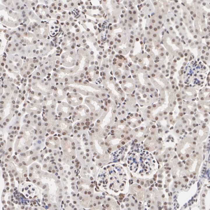
HA751569_5.jpg Fig5: Immunohistochemical analysis of paraffin-embedded mouse kidney tissue with Rabbit anti-TAZ / WWTR1 antibody (HA751569) at 1/1,000 dilution.

The section was pre-treated using heat mediated antigen retrieval with Tris-EDTA buffer (pH 9.0) for 20 minutes. The tissues were blocked in 1% BSA for 20 minutes at room temperature, washed with ddH2O and PBS, and then probed with the primary antibody (HA751569) at 1/1,000 dilution for 1 hour at room temperature. The detection was performed using an HRP conjugated compact polymer system. DAB was used as the chromogen. Tissues were counterstained with hematoxylin and mounted with DPX.
HA751569_6.jpg Fig6: Immunohistochemical analysis of paraffin-embedded mouse stomach tissue with Rabbit anti-TAZ / WWTR1 antibody (HA751569) at 1/1,000 dilution.

The section was pre-treated using heat mediated antigen retrieval with Tris-EDTA buffer (pH 9.0) for 20 minutes. The tissues were blocked in 1% BSA for 20 minutes at room temperature, washed with ddH2O and PBS, and then probed with the primary antibody (HA751569) at 1/1,000 dilution for 1 hour at room temperature. The detection was performed using an HRP conjugated compact polymer system. DAB was used as the chromogen. Tissues were counterstained with hematoxylin and mounted with DPX.
HA751569_7.jpg Fig7: Immunohistochemical analysis of paraffin-embedded rat kidney tissue with Rabbit anti-TAZ / WWTR1 antibody (HA751569) at 1/1,000 dilution.

The section was pre-treated using heat mediated antigen retrieval with Tris-EDTA buffer (pH 9.0) for 20 minutes. The tissues were blocked in 1% BSA for 20 minutes at room temperature, washed with ddH2O and PBS, and then probed with the primary antibody (HA751569) at 1/1,000 dilution for 1 hour at room temperature. The detection was performed using an HRP conjugated compact polymer system. DAB was used as the chromogen. Tissues were counterstained with hematoxylin and mounted with DPX.
HA751569_8.jpg Fig8: Immunohistochemical analysis of paraffin-embedded rat stomach tissue with Rabbit anti-TAZ / WWTR1 antibody (HA751569) at 1/1,000 dilution.

The section was pre-treated using heat mediated antigen retrieval with Tris-EDTA buffer (pH 9.0) for 20 minutes. The tissues were blocked in 1% BSA for 20 minutes at room temperature, washed with ddH2O and PBS, and then probed with the primary antibody (HA751569) at 1/1,000 dilution for 1 hour at room temperature. The detection was performed using an HRP conjugated compact polymer system. DAB was used as the chromogen. Tissues were counterstained with hematoxylin and mounted with DPX.
HA751569_9.jpg Fig9: TAZ / WWTR1 was immunoprecipitated from 0.2 mg PANC-1 cell lysate with HA751569 at 2 µg/10 µl beads. Western blot was performed from the immunoprecipitate using HA751569 at 1/5,000 dilution. HRP Conjugated Anti-Rabbit IgG for IP Nano-secondary antibody at 1/5,000 dilution was used for 1 hour at room temperature.

Lane 1: PANC-1 cell lysate (input)
Lane 2: HA751569 IP in PANC-1 cell lysate
Lane 3: Rabbit IgG instead of HA751569 in PANC-1 cell lysate

Blocking/Dilution buffer: primary antibody dilution (K1803)
Exposure time: 3 minutes; ECL: K1801
HA751569_10.jpg Fig10: TAZ / WWTR1 was immunoprecipitated from 0.2 mg C2C12 cell lysate with HA751569 at 2 µg/10 µl beads. Western blot was performed from the immunoprecipitate using HA751569 at 1/5,000 dilution. HRP Conjugated Anti-Rabbit IgG for IP Nano-secondary antibody at 1/5,000 dilution was used for 1 hour at room temperature.

Lane 1: C2C12 cell lysate (input)
Lane 2: HA751569 IP in C2C12 cell lysate
Lane 3: Rabbit IgG instead of HA751569 in C2C12 cell lysate

Blocking/Dilution buffer: primary antibody dilution (K1803)
Exposure time: 20 seconds; ECL: K1801
Note: All products are “FOR RESEARCH USE ONLY AND ARE NOT INTENDED FOR DIAGNOSTIC OR THERAPEUTIC USE”.