AMID Recombinant Rabbit Monoclonal Antibody [PSH15-60]
cat.: HA751571
Product Type: Recombinant Rabbit monoclonal IgG, primary antibodies
Species reactivity: Human, Mouse, Rat
Applications: WB, IF-Cell, IF-Tissue, IHC-P, FC, IP
Clonality: Monoclonal
Clone number: PSH15-60
Form: Liquid
Storage condition: Store at +4℃ after thawing. Aliquot store at -20℃. Avoid repeated freeze / thaw cycles.
Storage buffer: 1*PBS (pH7.4).
Concentration: 1ug/ul
Purification: Protein A affinity purified.
Molecular weight: Predicted band size: 41 kDa
Isotype: IgG
Immunogen: Recombinant protein within human AMID aa 1-373.
Positive control: HepG2 cell lysate, MCF7 cell lysate, HeLa cell lysate, NCI-H1299 cell lysate, LO2 cell lysate, NIH/3T3 cell lysate, PC-12 cell lysate, HepG2, mouse liver tissue, rat liver tissue, PC-12.
Subcellular location: Lipid droplet, Cell membrane, Cytoplasm, Mitochondrion membrane, Nucleus.
Recommended Dilutions:
  WB
  IF-Cell
  IF-Tissue
  IHC-P
  FC
  IP

1:5,000
1:100
1:200
1:200
1:1,000
1-2μg/sample
Uniprot #: SwissProt: Q9BRQ8 Human | Q8BUE4 Mouse
Entrez Gene: 361843 Rat
Alternative names: 5430437E11Rik aifm2 AIFM2_HUMAN AMID Apoptosis inducing factor (AIF) homologous mitochondrion associated inducer of death Apoptosis inducing factor (AIF) like mitochondrion associated inducer of death Apoptosis inducing factor mitochondrion associated 2 Apoptosis-inducing factor 2 Apoptosis-inducing factor homologous mitochondrion-associated inducer of death Apoptosis-inducing factor-like mitochondrion-associated inducer of death Cys51Stop Ferroptosis suppressor protein 1 FSP1 HGNC11998 p53 responsive gene 3 p53 tumor suppressor p53-responsive gene 3 protein PRG3 TRP53 Tumor protein p53
Images
HA751571_1.jpg Fig1: Western blot analysis of AMID on different lysates with Rabbit anti-AMID antibody (HA751571) at 1/5,000 dilution.

Lane 1: HepG2 cell lysate (10 µg/Lane)
Lane 2: MCF7 cell lysate (no heat) (15 µg/Lane)
Lane 3: HeLa cell lysate (no heat) (20 µg/Lane)
Lane 4: NCI-H1299 cell lysate (no heat) (20 µg/Lane)
Lane 5: LO2 cell lysate (15 µg/Lane)
Lane 6: NIH/3T3 cell lysate (20 µg/Lane)
Lane 7: PC-12 cell lysate (20 µg/Lane)

Notice: no heat means the lysate is not boiled.

Predicted band size: 41 kDa
Observed band size: 45 kDa

Exposure time: 10 seconds; ECL: K1801;

4-20% SDS-PAGE gel.

Proteins were transferred to a PVDF membrane and blocked with 5% NFDM/TBST for 1 hour at room temperature. The primary antibody (HA751571) at 1/5,000 dilution was used in primary antibody dilution (K1803) at 4℃ overnight. Goat Anti-Rabbit IgG - HRP Secondary Antibody (HA1001) at 1/50,000 dilution was used for 1 hour at room temperature.
HA751571_2.jpg Fig2: Immunocytochemistry analysis of HepG2 cells labeling AMID with Rabbit anti-AMID antibody (HA751571) at 1/100 dilution.

Cells were fixed in 4% paraformaldehyde for 15 minutes at room temperature, permeabilized with 0.1% Triton X-100 in PBS for 15 minutes at room temperature, then blocked with 1% BSA in 10% negative goat serum for 1 hour at room temperature. Cells were then incubated with Rabbit anti-AMID antibody (HA751571) at 1/100 dilution in 1% BSA in PBST overnight at 4 ℃. Goat Anti-Rabbit IgG H&L (iFluor™ 488, HA1121) was used as the secondary antibody at 1/1,000 dilution. PBS instead of the primary antibody was used as the secondary antibody only control. Nuclear DNA was labelled in blue with DAPI.

Beta tubulin (HA601187, red) was stained at 1/100 dilution overnight at +4℃. Goat Anti-Mouse IgG H&L (iFluor™ 594, HA1126) was used as the secondary antibody at 1/1,000 dilution.
HA751571_3.jpg Fig3: Application: IF-Tissue

Species: Rat

Site: liver

Sample: Paraffin-embedded section

Antibody concentration: 1/200
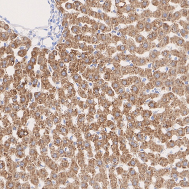
HA751571_4.jpg Fig4: Immunohistochemical analysis of paraffin-embedded mouse liver tissue with Rabbit anti-AMID antibody (HA751571) at 1/200 dilution.

The section was pre-treated using heat mediated antigen retrieval with Tris-EDTA buffer (pH 9.0) for 20 minutes. The tissues were blocked in 1% BSA for 20 minutes at room temperature, washed with ddH2O and PBS, and then probed with the primary antibody (HA751571) at 1/200 dilution for 1 hour at room temperature. The detection was performed using an HRP conjugated compact polymer system. DAB was used as the chromogen. Tissues were counterstained with hematoxylin and mounted with DPX.
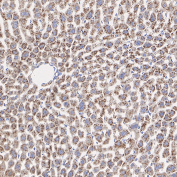
HA751571_5.jpg Fig5: Immunohistochemical analysis of paraffin-embedded rat liver tissue with Rabbit anti-AMID antibody (HA751571) at 1/200 dilution.

The section was pre-treated using heat mediated antigen retrieval with Tris-EDTA buffer (pH 9.0) for 20 minutes. The tissues were blocked in 1% BSA for 20 minutes at room temperature, washed with ddH2O and PBS, and then probed with the primary antibody (HA751571) at 1/200 dilution for 1 hour at room temperature. The detection was performed using an HRP conjugated compact polymer system. DAB was used as the chromogen. Tissues were counterstained with hematoxylin and mounted with DPX.
HA751571_6.jpg Fig6: Flow cytometric analysis of PC-12 cells labeling AMID.

Cells were fixed and permeabilized. Then stained with the primary antibody (HA751571, 1/1,000) (red) compared with Rabbit IgG Isotype Control (green). After incubation of the primary antibody at +4℃ for an hour, the cells were stained with a iFluor™ 488 conjugate-Goat anti-Rabbit IgG Secondary antibody (HA1121) at 1/1,000 dilution for 30 minutes at +4℃. Unlabelled sample was used as a control (cells without incubation with primary antibody; black).
HA751571_7.jpg Fig7: AMID was immunoprecipitated from 0.2 mg HepG2 cell lysate with HA751571 at 2 µg/10 µl beads. Western blot was performed from the immunoprecipitate using HA751571 at 1/5,000 dilution. HRP Conjugated Anti-Rabbit IgG for IP Nano-secondary antibody at 1/5,000 dilution was used for 1 hour at room temperature.

Lane 1: HepG2 cell lysate (input)
Lane 2: HA751571 IP in HepG2 cell lysate
Lane 3: Rabbit IgG instead of HA751571 in HepG2 cell lysate

Blocking/Dilution buffer: primary antibody dilution (K1803)
Exposure time: 25 seconds; ECL: K1801
Note: All products are “FOR RESEARCH USE ONLY AND ARE NOT INTENDED FOR DIAGNOSTIC OR THERAPEUTIC USE”.