Acid sphingomyelinase Recombinant Rabbit Monoclonal Antibody [PSH15-61]
cat.: HA751572
Product Type: Recombinant Rabbit monoclonal IgG, primary antibodies
Species reactivity: Human, Mouse, Rat, Monkey
Applications: WB, IHC-P, IP
Clonality: Monoclonal
Clone number: PSH15-61
Form: Liquid
Storage condition: Store at +4℃ after thawing. Aliquot store at -20℃. Avoid repeated freeze / thaw cycles.
Storage buffer: 1*PBS (pH7.4).
Concentration: 1ug/ul
Purification: Protein A affinity purified.
Molecular weight: Predicted band size: 70 kDa
Isotype: IgG
Immunogen: Recombinant protein within human Acid sphingomyelinase aa 47-631.
Positive control: THP-1 treated with 80nM TPA overnight then treated with 100ng/mL LPS for 6 hours add 300n/mL BFA for 3 hours cell lysate, HepG2 cell lysate, HepG2 treated with 10ng/mL BFA for 1.5 hours cell lysate, COS-1 cell lysate, PC-12 cell lysate, PC-12 starved for 16 hours then treated with 200nM TPA for 4 hours cell lysate, RAW264.7 cell lysates, human kidney tissue, human liver tissue, mouse kidney tissue, mouse liver tissue, rat kidney tissue, rat liver tissue.
Subcellular location: Lysosome, Lipid droplet, Secreted.
Recommended Dilutions:
  WB
  IHC-P
  IP

1:2,000-1:5,000
1:100-1:200
1-2μg/sample
Uniprot #: SwissProt: P17405 Human | Q04519 Mouse
Entrez Gene: 308909 Rat
Alternative names: Acid sphingomyelinase ASM ASM_HUMAN aSMase NPD Smpd1 Sphingomyelin phosphodiesterase 1 acid lysosomal Sphingomyelin phosphodiesterase
Images
HA751572_1.jpg Fig1: Western blot analysis of Acid sphingomyelinase on different lysates with Rabbit anti-Acid sphingomyelinase antibody (HA751572) at 1/5,000 dilution.

Lane 1: THP-1 cell lysate (20 µg/Lane)
Lane 2: THP-1 treated with 80nM TPA overnight then treated with 100ng/mL LPS for 6 hours add 300n/mL BFA for 3 hours cell lysate (20 µg/Lane)
Lane 3: HepG2 cell lysate (20 µg/Lane)
Lane 4: HepG2 treated with 10ng/mL BFA for 1.5 hours cell lysate (20 µg/Lane)
Lane 5: MOLT-4 cell lysate (low expression) (20 µg/Lane)
Lane 6: COS-1 cell lysate (20 µg/Lane)

Predicted band size: 70 kDa
Observed band size: 70 kDa

Exposure time: 25 seconds; ECL: K1802;
4-20% SDS-PAGE gel.

Proteins were transferred to a PVDF membrane and blocked with 5% NFDM/TBST for 1 hour at room temperature. The primary antibody (HA751572) at 1/5,000 dilution was used in primary antibody dilution (K1803) at 4℃ overnight. Goat Anti-Rabbit IgG - HRP Secondary Antibody (HA1001) at 1/50,000 dilution was used for 1 hour at room temperature.
HA751572_2.jpg Fig2: Western blot analysis of Acid sphingomyelinase on different lysates with Rabbit anti-Acid sphingomyelinase antibody (HA751572) at 1/5,000 dilution.

Lane 1: PC-12 cell lysate (40 µg/Lane)
Lane 2: PC-12 starved for 16 hours then treated with 200nM TPA for 4 hours cell lysate (40 µg/Lane)

Predicted band size: 70 kDa
Observed band size: 70 kDa

Exposure time: 1 minute 18 seconds; ECL: K1801;
4-20% SDS-PAGE gel.

Proteins were transferred to a PVDF membrane and blocked with 5% NFDM/TBST for 1 hour at room temperature. The primary antibody (HA751572) at 1/5,000 dilution was used in primary antibody dilution (K1803) at 4℃ overnight. Goat Anti-Rabbit IgG - HRP Secondary Antibody (HA1001) at 1/50,000 dilution was used for 1 hour at room temperature.
HA751572_3.jpg Fig3: Western blot analysis of Acid sphingomyelinase on RAW264.7 cell lysates with Rabbit anti-Acid sphingomyelinase antibody (HA751572) at 1/2,000 dilution.

Lysates/proteins at 30 µg/Lane.

Predicted band size: 70 kDa
Observed band size: 70 kDa

Exposure time: 1 minute; ECL: K1801;

4-20% SDS-PAGE gel.

Proteins were transferred to a PVDF membrane and blocked with 5% NFDM/TBST for 1 hour at room temperature. The primary antibody (HA751572) at 1/2,000 dilution was used in primary antibody dilution (K1803) at 4℃ overnight. Goat Anti-Rabbit IgG - HRP Secondary Antibody (HA1001) at 1/50,000 dilution was used for 1 hour at room temperature.
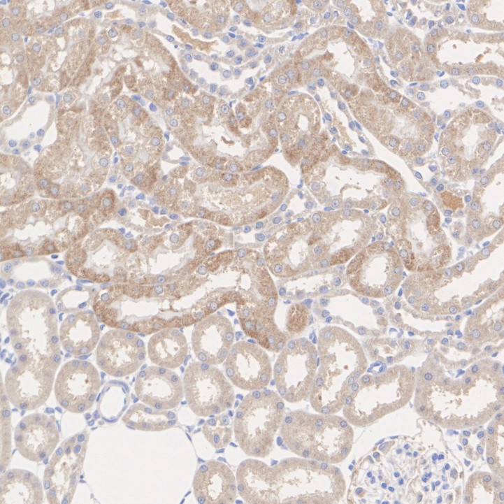
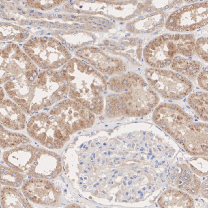
HA751572_4.jpg Fig4: Immunohistochemical analysis of paraffin-embedded human kidney tissue with Rabbit anti-Acid sphingomyelinase antibody (HA751572) at 1/200 dilution.

The section was pre-treated using heat mediated antigen retrieval with Tris-EDTA buffer (pH 9.0) for 20 minutes. The tissues were blocked in 1% BSA for 20 minutes at room temperature, washed with ddH2O and PBS, and then probed with the primary antibody (HA751572) at 1/200 dilution for 1 hour at room temperature. The detection was performed using an HRP conjugated compact polymer system. DAB was used as the chromogen. Tissues were counterstained with hematoxylin and mounted with DPX.
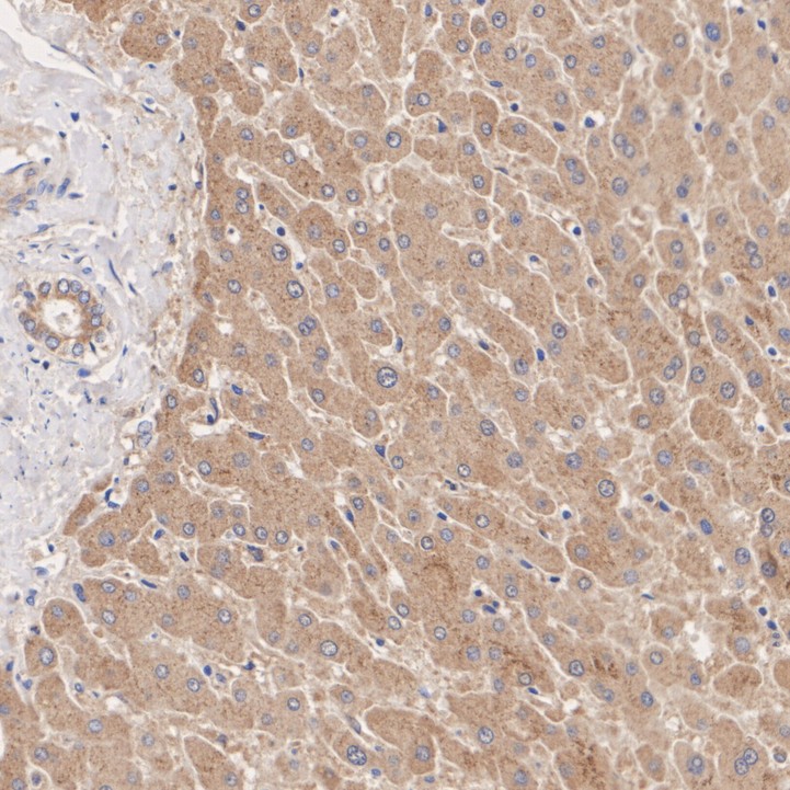
HA751572_5.jpg Fig5: Immunohistochemical analysis of paraffin-embedded human liver tissue with Rabbit anti-Acid sphingomyelinase antibody (HA751572) at 1/200 dilution.

The section was pre-treated using heat mediated antigen retrieval with Tris-EDTA buffer (pH 9.0) for 20 minutes. The tissues were blocked in 1% BSA for 20 minutes at room temperature, washed with ddH2O and PBS, and then probed with the primary antibody (HA751572) at 1/200 dilution for 1 hour at room temperature. The detection was performed using an HRP conjugated compact polymer system. DAB was used as the chromogen. Tissues were counterstained with hematoxylin and mounted with DPX.
HA751572_6.jpg Fig6: Immunohistochemical analysis of paraffin-embedded mouse kidney tissue with Rabbit anti-Acid sphingomyelinase antibody (HA751572) at 1/100 dilution.

The section was pre-treated using heat mediated antigen retrieval with Tris-EDTA buffer (pH 9.0) for 20 minutes. The tissues were blocked in 1% BSA for 20 minutes at room temperature, washed with ddH2O and PBS, and then probed with the primary antibody (HA751572) at 1/100 dilution for 1 hour at room temperature. The detection was performed using an HRP conjugated compact polymer system. DAB was used as the chromogen. Tissues were counterstained with hematoxylin and mounted with DPX.
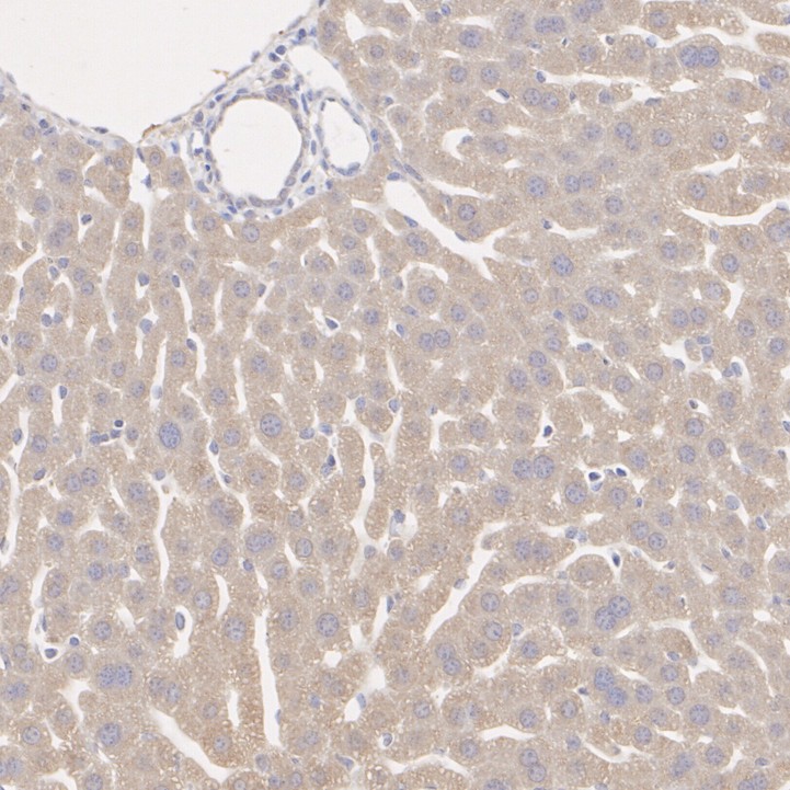
HA751572_7.jpg Fig7: Immunohistochemical analysis of paraffin-embedded mouse liver tissue with Rabbit anti-Acid sphingomyelinase antibody (HA751572) at 1/100 dilution.

The section was pre-treated using heat mediated antigen retrieval with Tris-EDTA buffer (pH 9.0) for 20 minutes. The tissues were blocked in 1% BSA for 20 minutes at room temperature, washed with ddH2O and PBS, and then probed with the primary antibody (HA751572) at 1/100 dilution for 1 hour at room temperature. The detection was performed using an HRP conjugated compact polymer system. DAB was used as the chromogen. Tissues were counterstained with hematoxylin and mounted with DPX.
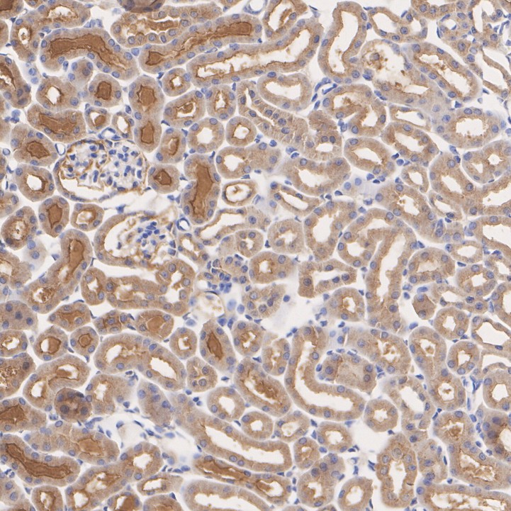
HA751572_8.jpg Fig8: Immunohistochemical analysis of paraffin-embedded rat kidney tissue with Rabbit anti-Acid sphingomyelinase antibody (HA751572) at 1/200 dilution.

The section was pre-treated using heat mediated antigen retrieval with Tris-EDTA buffer (pH 9.0) for 20 minutes. The tissues were blocked in 1% BSA for 20 minutes at room temperature, washed with ddH2O and PBS, and then probed with the primary antibody (HA751572) at 1/200 dilution for 1 hour at room temperature. The detection was performed using an HRP conjugated compact polymer system. DAB was used as the chromogen. Tissues were counterstained with hematoxylin and mounted with DPX.
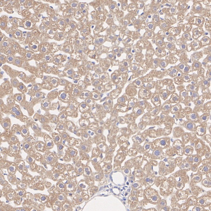
HA751572_9.jpg Fig9: Immunohistochemical analysis of paraffin-embedded rat liver tissue with Rabbit anti-Acid sphingomyelinase antibody (HA751572) at 1/100 dilution.

The section was pre-treated using heat mediated antigen retrieval with Tris-EDTA buffer (pH 9.0) for 20 minutes. The tissues were blocked in 1% BSA for 20 minutes at room temperature, washed with ddH2O and PBS, and then probed with the primary antibody (HA751572) at 1/100 dilution for 1 hour at room temperature. The detection was performed using an HRP conjugated compact polymer system. DAB was used as the chromogen. Tissues were counterstained with hematoxylin and mounted with DPX.
HA751572_10.jpg Fig10: Acid sphingomyelinase was immunoprecipitated from 0.2 mg HepG2 cell lysate with HA751572 at 2 µg/10 µl beads. Western blot was performed from the immunoprecipitate using HA751572 at 1/5,000 dilution. HRP Conjugated Anti-Rabbit IgG for IP Nano-secondary antibody at 1/5,000 dilution was used for 1 hour at room temperature.

Lane 1: HepG2 cell lysate (input)
Lane 2: HA751572 IP in HepG2 cell lysate
Lane 3: Rabbit IgG instead of HA751572 in HepG2 cell lysate

Blocking/Dilution buffer: primary antibody dilution (K1803)
Exposure time: 46 seconds; ECL: K1801
Note: All products are “FOR RESEARCH USE ONLY AND ARE NOT INTENDED FOR DIAGNOSTIC OR THERAPEUTIC USE”.