SIRT5 Recombinant Rabbit Monoclonal Antibody [PSH15-71]
cat.: HA751578
Product Type: Recombinant Rabbit monoclonal IgG, primary antibodies
Species reactivity: Human, Mouse, Rat
Applications: WB, IHC-P
Clonality: Monoclonal
Clone number: PSH15-71
Form: Liquid
Storage condition: Store at +4℃ after thawing. Aliquot store at -20℃. Avoid repeated freeze / thaw cycles.
Storage buffer: 1*PBS (pH7.4).
Concentration: 1ug/ul
Purification: Protein A affinity purified.
Molecular weight: Predicted band size: 34 kDa
Isotype: IgG
Positive control: 293T cell lysate, Hepa-1-6 cell lysate, RAW264.7 cell lysate, C6 cell lysate, Rat liver tissue lysate, human liver tissue.
Subcellular location: Mitochondrion matrix, Mitochondrion intermembrane space, Cytoplasm, cytosol, Nucleus.
Recommended Dilutions:
  WB
  IHC-P

1:2,000
1:1,000
Uniprot #: SwissProt: Q9NXA8 Human | Q8K2C6 Mouse | Q68FX9 Rat
Alternative names: NAD dependent deacetylase sirtuin 5 NAD dependent lysine demalonylase and desuccinylase sirtuin 5 mitochondrial NAD dependent protein deacylase sirtuin 5 mitochondrial NAD-dependent protein deacylase sirtuin-5, mitochondrial Regulatory protein SIR2 homolog 5 Silent mating type information regulation 2 S.cerevisiae homolog 5 Sir2 like 5 SIR2-like protein 5 SIR2L5 SIR5_HUMAN Sirt5 Sirtuin 5 Sirtuin type 5
Images
HA751578_1.jpg Fig1: Western blot analysis of SIRT5 on different lysates with Rabbit anti-SIRT5 antibody (HA751578) at 1/2,000 dilution.

Lane 1: 293T cell lysate (20 µg/Lane)
Lane 2: Hepa-1-6 cell lysate (20 µg/Lane)
Lane 3: RAW264.7 cell lysate (20 µg/Lane)
Lane 4: C6 cell lysate (20 µg/Lane)
Lane 5: Rat liver tissue lysate (20 µg/Lane)

Predicted band size: 34 kDa
Observed band size: 34 kDa

Exposure time: 1 minute 50 seconds; ECL: K1801;
4-20% SDS-PAGE gel.

Proteins were transferred to a PVDF membrane and blocked with 5% NFDM/TBST for 1 hour at room temperature. The primary antibody (HA751578) at 1/2,000 dilution was used in primary antibody dilution (K1803) at 4℃ overnight. Goat Anti-Rabbit IgG - HRP Secondary Antibody (HA1001) at 1/50,000 dilution was used for 1 hour at room temperature.
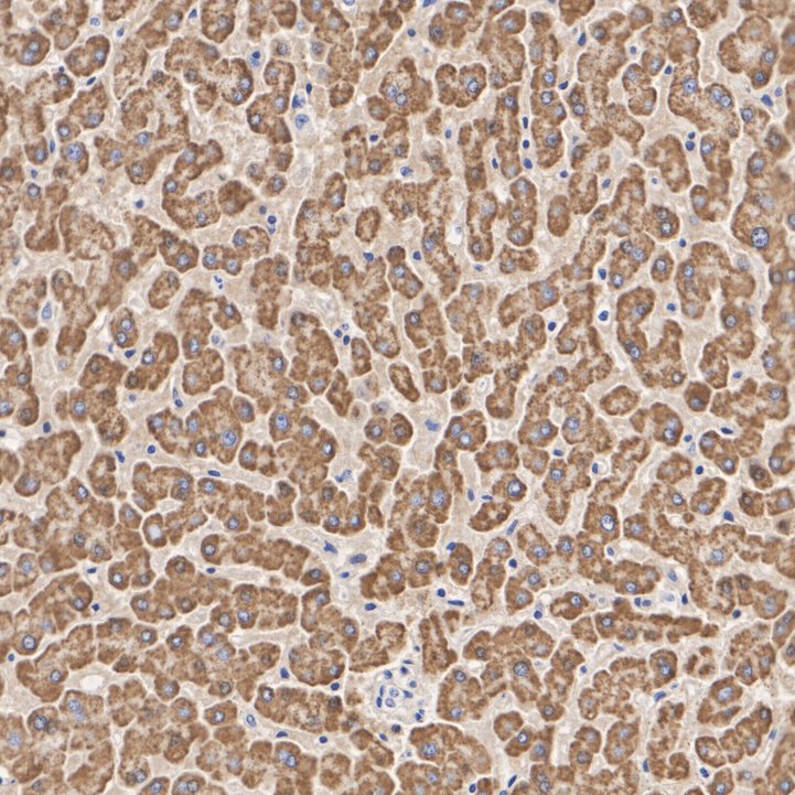
HA751578_2.jpg Fig2: Immunohistochemical analysis of paraffin-embedded human liver tissue with Rabbit anti-SIRT5 antibody (HA751578) at 1/1,000 dilution.

The section was pre-treated using heat mediated antigen retrieval with Tris-EDTA buffer (pH 9.0) for 20 minutes. The tissues were blocked in 1% BSA for 20 minutes at room temperature, washed with ddH2O and PBS, and then probed with the primary antibody (HA751578) at 1/1,000 dilution for 1 hour at room temperature. The detection was performed using an HRP conjugated compact polymer system. DAB was used as the chromogen. Tissues were counterstained with hematoxylin and mounted with DPX.
Note: All products are “FOR RESEARCH USE ONLY AND ARE NOT INTENDED FOR DIAGNOSTIC OR THERAPEUTIC USE”.