UCP1 Recombinant Rabbit Monoclonal Antibody [PSH15-73]
cat.: HA751580
Product Type: Recombinant Rabbit monoclonal IgG, primary antibodies
Species reactivity: Mouse, Rat
Applications: WB, IHC-Fr, IHC-P, IP
Clonality: Monoclonal
Clone number: PSH15-73
Form: Liquid
Storage condition: Store at +4℃ after thawing. Aliquot store at -20℃. Avoid repeated freeze / thaw cycles.
Storage buffer: PBS (pH7.4).
Concentration: 1ug/ul
Purification: Protein A affinity purified.
Molecular weight: Predicted band size: 33 kDa
Isotype: IgG
Positive control: Mouse brown adipose tissue lysate, Rat brown adipose tissue lysate, mouse brown adipose tissue, rat brown adipose tissue.
Subcellular location: Mitochondrion inner membrane.
Recommended Dilutions:
  WB
  IHC-Fr
  IHC-P
  IP

1:2,000
1:500
1:1,000
1-2μg/sample
Uniprot #: SwissProt: P12242 Mouse | P04633 Rat
Alternative names: mitochondrial brown fat uncoupling protein Mitochondrial brown fat uncoupling protein 1 SLC25A7 Solute carrier family 25 member 7 Thermogenin UCP 1 UCP UCP1 UCP1_HUMAN uncoupling protein 1 (mitochondrial, proton carrier) Uncoupling protein 1
Images
HA751580_1.jpg Fig1: Western blot analysis of UCP1 on different lysates with Rabbit anti-UCP1 antibody (HA751580) at 1/2,000 dilution.

Lane 1: Mouse brown adipose tissue lysate
Lane 2: Rat brown adipose tissue lysate
Lane 3: Rat white adipose tissue lysate (negative)

Lysates/proteins at 20 µg/Lane.

Predicted band size: 33 kDa
Observed band size: 33 kDa

Exposure time: 3 seconds; ECL: K1801;

4-20% SDS-PAGE gel.

Proteins were transferred to a PVDF membrane and blocked with 5% NFDM/TBST for 1 hour at room temperature. The primary antibody (HA751580) at 1/2,000 dilution was used in primary antibody dilution (K1803) at 4℃ overnight. Goat Anti-Rabbit IgG - HRP Secondary Antibody (HA1001) at 1/50,000 dilution was used for 1 hour at room temperature.
HA751580_2.jpg Fig2: Application: IHC-Fr

Species: Mouse

Site: brown adipose

Sample: Frozen section

Antibody concentration: 1/500

Antigen retrieval: Not required
HA751580_3.jpg Fig3: Immunohistochemical analysis of paraffin-embedded mouse brown adipose tissue with Rabbit anti-UCP1 antibody (HA751580) at 1/1,000 dilution.

The section was pre-treated using heat mediated antigen retrieval with Tris-EDTA buffer (pH 9.0) for 20 minutes. The tissues were blocked in 1% BSA for 20 minutes at room temperature, washed with ddH2O and PBS, and then probed with the primary antibody (HA751580) at 1/1,000 dilution for 1 hour at room temperature. The detection was performed using an HRP conjugated compact polymer system. DAB was used as the chromogen. Tissues were counterstained with hematoxylin and mounted with DPX.
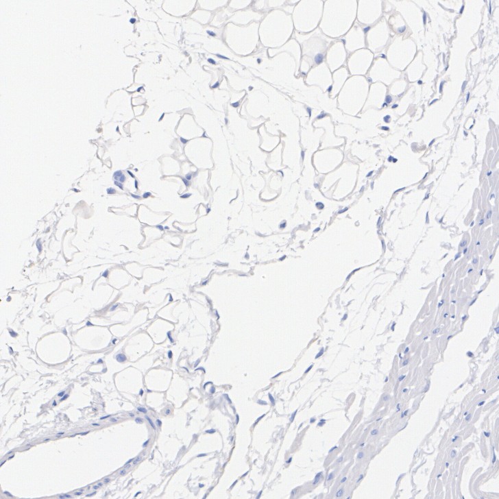
HA751580_4.jpg Fig4: Immunohistochemical analysis of paraffin-embedded mouse white adipose tissue (negative) with Rabbit anti-UCP1 antibody (HA751580) at 1/1,000 dilution.

The section was pre-treated using heat mediated antigen retrieval with Tris-EDTA buffer (pH 9.0) for 20 minutes. The tissues were blocked in 1% BSA for 20 minutes at room temperature, washed with ddH2O and PBS, and then probed with the primary antibody (HA751580) at 1/1,000 dilution for 1 hour at room temperature. The detection was performed using an HRP conjugated compact polymer system. DAB was used as the chromogen. Tissues were counterstained with hematoxylin and mounted with DPX.
HA751580_5.jpg Fig5: Immunohistochemical analysis of paraffin-embedded rat brown adipose tissue with Rabbit anti-UCP1 antibody (HA751580) at 1/1,000 dilution.

The section was pre-treated using heat mediated antigen retrieval with Tris-EDTA buffer (pH 9.0) for 20 minutes. The tissues were blocked in 1% BSA for 20 minutes at room temperature, washed with ddH2O and PBS, and then probed with the primary antibody (HA751580) at 1/1,000 dilution for 1 hour at room temperature. The detection was performed using an HRP conjugated compact polymer system. DAB was used as the chromogen. Tissues were counterstained with hematoxylin and mounted with DPX.
HA751580_6.jpg Fig6: Immunohistochemical analysis of paraffin-embedded rat white adipose tissue (negative) with Rabbit anti-UCP1 antibody (HA751580) at 1/1,000 dilution.

The section was pre-treated using heat mediated antigen retrieval with Tris-EDTA buffer (pH 9.0) for 20 minutes. The tissues were blocked in 1% BSA for 20 minutes at room temperature, washed with ddH2O and PBS, and then probed with the primary antibody (HA751580) at 1/1,000 dilution for 1 hour at room temperature. The detection was performed using an HRP conjugated compact polymer system. DAB was used as the chromogen. Tissues were counterstained with hematoxylin and mounted with DPX.
HA751580_7.jpg Fig7: UCP1 was immunoprecipitated from 0.2 mg mouse brown adipose tissue lysate with HA751580 at 2 µg/10 µl beads. Western blot was performed from the immunoprecipitate using HA751580 at 1/2,000 dilution. HRP Conjugated Anti-Rabbit IgG for IP Nano-secondary antibody at 1/5,000 dilution was used for 1 hour at room temperature.

Lane 1: mouse brown adipose tissue lysate (input)
Lane 2: HA751580 IP in mouse brown adipose tissue lysate
Lane 3: Rabbit IgG instead of HA751580 in mouse brown adipose tissue lysate

Blocking/Dilution buffer: primary antibody dilution (K1803)
Exposure time: 3 seconds; ECL: K1801
Note: All products are “FOR RESEARCH USE ONLY AND ARE NOT INTENDED FOR DIAGNOSTIC OR THERAPEUTIC USE”.