TRPV4 Recombinant Rabbit Monoclonal Antibody [PSH16-51]
cat.: HA751600
Product Type: Recombinant Rabbit monoclonal IgG, primary antibodies
Species reactivity: Human, Mouse
Applications: WB, IHC-Fr, IHC-P, IF-Tissue, IP
Clonality: Monoclonal
Clone number: PSH16-51
Form: Liquid
Storage condition: Store at +4℃ after thawing. Aliquot store at -20℃. Avoid repeated freeze / thaw cycles.
Storage buffer: 1*PBS (pH7.4).
Concentration: 1ug/ul
Purification: Protein A affinity purified.
Molecular weight: Predicted band size: 98 kDa
Isotype: IgG
Positive control: A375 cell lysate, mouse kidney tissue.
Subcellular location: Cell membrane, Apical cell membrane, Cell junction, adherens junction, Cell projection, cilium.
Recommended Dilutions:
  WB
  IHC-Fr
  IHC-P
  IF-Tissue
  IP

1:1,000
1:500
1:1,000
1:500
1-2μg/sample
Uniprot #: SwissProt: Q9HBA0 Human | Q9EPK8 Mouse
Alternative names: BCYM3 CMT2C HMSN2C osm 9 like TRP channel 4 Osm-9-like TRP channel 4 OSM9 like transient receptor potential channel 4 Osmosensitive transient receptor potential channel 4 OTRPC 4 OTRPC4 SMAL SPSMA SSQTL1 Transient receptor potential cation channel subfamily V member 4 Transient receptor potential protein 12 TRP 12 TRP12 TRPV 4 TrpV4 TRPV4_HUMAN Vanilloid receptor like channel 2 Vanilloid receptor like protein 2 Vanilloid receptor related osmotically activated channel Vanilloid receptor-like channel 2 Vanilloid receptor-like protein 2 Vanilloid receptor-related osmotically-activated channel VR 4 VR OAC VR-OAC VR4 VRL 2 VRL-2 VRL2 VROAC
Images
HA751600_1.jpg Fig1: Western blot analysis of TRPV4 on different lysates with Rabbit anti-TRPV4 antibody (HA751600) at 1/1,000 dilution.

Lane 1: A375 cell lysate
Lane 2: 293T cell lysate (negative)

Lysates/proteins at 20 µg/Lane.

Predicted band size: 98 kDa
Observed band size: 90 kDa

Exposure time: 2 minutes; ECL: K1801;

4-20% SDS-PAGE gel.

Proteins were transferred to a PVDF membrane and blocked with 5% NFDM/TBST for 1 hour at room temperature. The primary antibody (HA751600) at 1/1,000 dilution was used in primary antibody dilution (K1803) at 4℃ overnight. Goat Anti-Rabbit IgG - HRP Secondary Antibody (HA1001) at 1/50,000 dilution was used for 1 hour at room temperature.
HA751600_2.jpg Fig2: Application: IHC-Fr

Species: Mouse

Site: kidney

Sample: Frozen section

Antibody concentration: 1/500

Antigen retrieval: Not required
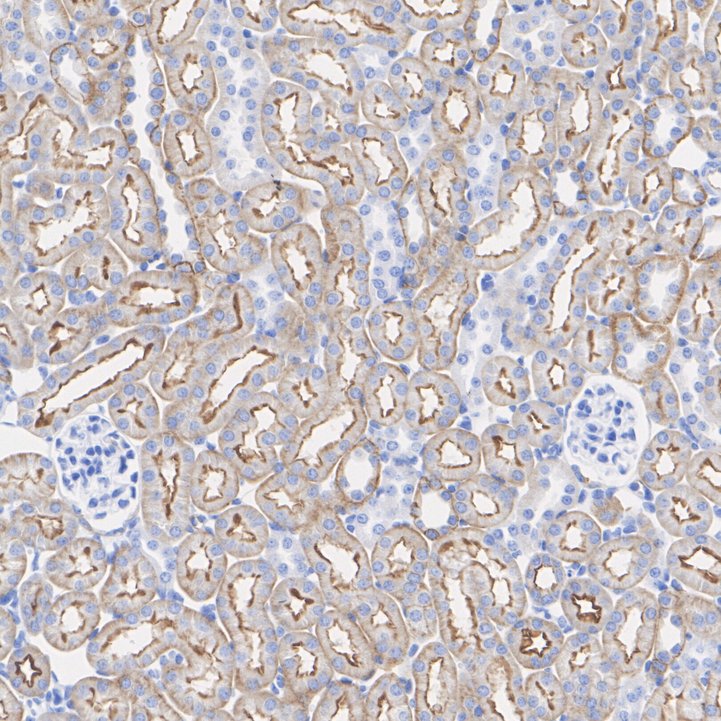
HA751600_3.jpg Fig3: Immunohistochemical analysis of paraffin-embedded mouse kidney tissue with Rabbit anti-TRPV4 antibody (HA751600) at 1/1,000 dilution.

The section was pre-treated using heat mediated antigen retrieval with Tris-EDTA buffer (pH 9.0) for 20 minutes. The tissues were blocked in 1% BSA for 20 minutes at room temperature, washed with ddH2O and PBS, and then probed with the primary antibody (HA751600) at 1/1,000 dilution for 1 hour at room temperature. The detection was performed using an HRP conjugated compact polymer system. DAB was used as the chromogen. Tissues were counterstained with hematoxylin and mounted with DPX.
HA751600_4.jpg Fig4: Application: IF-Tissue

Species: Mouse

Site: kidney

Sample: Paraffin-embedded section

Antibody concentration: 1/200
HA751600_5.jpg Fig5: TRPV4 was immunoprecipitated from 0.2 mg A375 cell lysate with HA751600 at 2 µg/10 µl beads. Western blot was performed from the immunoprecipitate using HA751600 at 1/1,000 dilution. HRP Conjugated Anti-Rabbit IgG for IP Nano-secondary antibody at 1/5,000 dilution was used for 1 hour at room temperature.

Lane 1: A375 cell lysate (input)
Lane 2: HA751600 IP in A375 cell lysate
Lane 3: Rabbit IgG instead of HA751600 in A375 cell lysate

Blocking/Dilution buffer: primary antibody dilution (K1803)
Exposure time: 59 seconds; ECL: K1801
Note: All products are “FOR RESEARCH USE ONLY AND ARE NOT INTENDED FOR DIAGNOSTIC OR THERAPEUTIC USE”.