Neuropeptide Y Recombinant Rabbit Monoclonal Antibody [PSH16-52]
cat.: HA751601
Product Type: Recombinant Rabbit monoclonal IgG, primary antibodies
Species reactivity: Human, Mouse, Rat
Applications: IHC-Fr, IHC-P, WB
Clonality: Monoclonal
Clone number: PSH16-52
Form: Liquid
Storage condition: Store at +4℃ after thawing. Aliquot store at -20℃. Avoid repeated freeze / thaw cycles.
Storage buffer: PBS (pH7.4).
Concentration: 1ug/ul
Purification: Protein A affinity purified.
Molecular weight: Predicted band size: 11 kDa
Isotype: IgG
Positive control: Human cerebrum tissue, mouse cerebrum tissue, rat cerebrum tissue, SH-SY5Y treated with 200nM TPA for 24 hours cell lysate, HEK-293 transfected with Neuropeptide Y then treated with 200nM TPA for 24 hours cell lysate.
Subcellular location: Secreted, Cytoplasmic vesicle, secretory vesicle, neuronal dense core vesicle.
Recommended Dilutions:
  IHC-Fr
  IHC-P
  WB

1:500
1:1,000
1:2,000
Uniprot #: SwissProt: P01303 Human | P57774 Mouse | P07808 Rat
Alternative names: C-flanking peptide of NPY CPON Neuropeptide tyrosine Neuropeptide Y precursor NPY NPY_HUMAN Pro neuropeptide Y PYY 4 PYY4 Y Neuropeptide
Images
HA751601_1.jpg Fig1: Application: IHC-Fr

Species: Mouse

Site: brain

Sample: Frozen section

Antibody concentration: 1/500

Antigen retrieval: Not required
HA751601_2.jpg Fig2: Application: IHC-Fr

Species: Rat

Site: brain

Sample: Frozen section

Antibody concentration: 1/500

Antigen retrieval: Not required
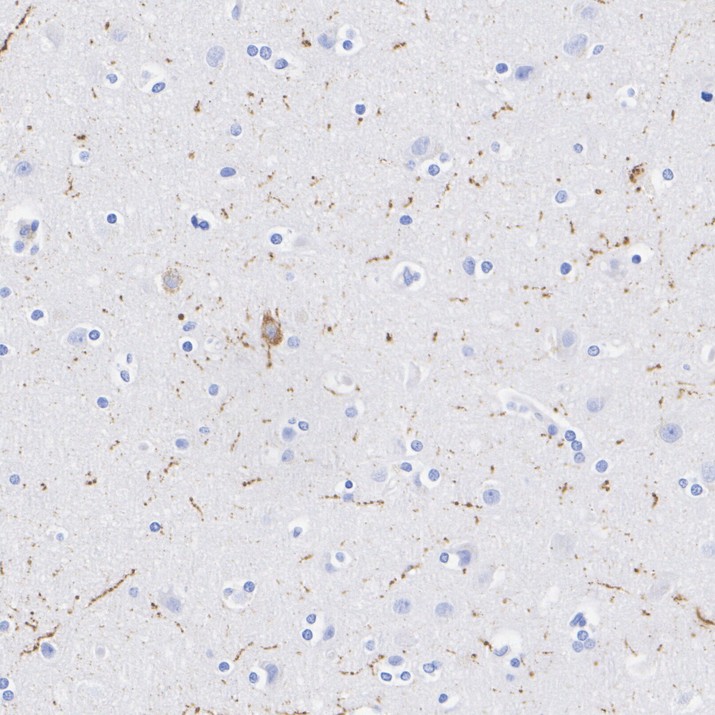
HA751601_3.jpg Fig3: Immunohistochemical analysis of paraffin-embedded human cerebrum tissue with Rabbit anti-Neuropeptide Y antibody (HA751601) at 1/1,000 dilution.

The section was pre-treated using heat mediated antigen retrieval with Tris-EDTA buffer (pH 9.0) for 20 minutes. The tissues were blocked in 1% BSA for 20 minutes at room temperature, washed with ddH2O and PBS, and then probed with the primary antibody (HA751601) at 1/1,000 dilution for 1 hour at room temperature. The detection was performed using an HRP conjugated compact polymer system. DAB was used as the chromogen. Tissues were counterstained with hematoxylin and mounted with DPX.
HA751601_4.jpg Fig4: Immunohistochemical analysis of paraffin-embedded mouse cerebrum tissue with Rabbit anti-Neuropeptide Y antibody (HA751601) at 1/1,000 dilution.

The section was pre-treated using heat mediated antigen retrieval with Tris-EDTA buffer (pH 9.0) for 20 minutes. The tissues were blocked in 1% BSA for 20 minutes at room temperature, washed with ddH2O and PBS, and then probed with the primary antibody (HA751601) at 1/1,000 dilution for 1 hour at room temperature. The detection was performed using an HRP conjugated compact polymer system. DAB was used as the chromogen. Tissues were counterstained with hematoxylin and mounted with DPX.
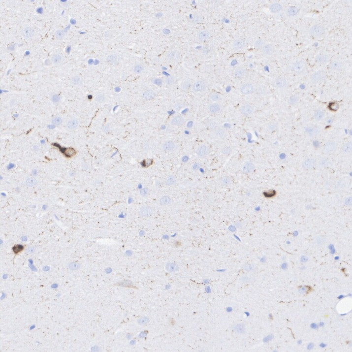
HA751601_5.jpg Fig5: Immunohistochemical analysis of paraffin-embedded rat cerebrum tissue with Rabbit anti-Neuropeptide Y antibody (HA751601) at 1/1,000 dilution.

The section was pre-treated using heat mediated antigen retrieval with Tris-EDTA buffer (pH 9.0) for 20 minutes. The tissues were blocked in 1% BSA for 20 minutes at room temperature, washed with ddH2O and PBS, and then probed with the primary antibody (HA751601) at 1/1,000 dilution for 1 hour at room temperature. The detection was performed using an HRP conjugated compact polymer system. DAB was used as the chromogen. Tissues were counterstained with hematoxylin and mounted with DPX.
HA751601_6.jpg Fig6: Western blot analysis of Neuropeptide Y on different lysates with Rabbit anti-Neuropeptide Y antibody (HA751601) at 1/2,000 dilution.

Lane 1: SH-SY5Y cell lysate
Lane 2: SH-SY5Y treated with 200nM TPA for 24 hours cell lysate
Lane 3: HEK-293 transfected with Neuropeptide Y cell lysate
Lane 4: HEK-293 transfected with Neuropeptide Y, then treated with 200nM TPA for 24 hours cell lysate

Lysates/proteins at 20 µg/Lane.

Predicted band size: 11 kDa
Observed band size: 15 kDa

Exposure time: Lane 1-2: 59 seconds; Lane 3-4: 10 seconds; ECL: K1802;

4-20% SDS-PAGE gel.

Proteins were transferred to a PVDF membrane and blocked with 5% NFDM/TBST for 1 hour at room temperature. The primary antibody (HA751601) at 1/2,000 dilution was used in primary antibody dilution (K1803) at 4℃ overnight. Goat Anti-Rabbit IgG - HRP Secondary Antibody (HA1001) at 1/50,000 dilution was used for 1 hour at room temperature.
Note: All products are “FOR RESEARCH USE ONLY AND ARE NOT INTENDED FOR DIAGNOSTIC OR THERAPEUTIC USE”.