S100 beta Recombinant Rabbit Monoclonal Antibody [PSH17-13]
cat.: HA751617
Product Type: Recombinant Rabbit monoclonal IgG, primary antibodies
Species reactivity: Human, Mouse, Rat
Applications: IHC-Fr, IHC-P, WB, IF-Tissue
Clonality: Monoclonal
Clone number: PSH17-13
Form: Liquid
Storage condition: Store at +4℃ after thawing. Aliquot store at -20℃. Avoid repeated freeze / thaw cycles.
Storage buffer: PBS (pH7.4).
Concentration: 1ug/ul
Purification: Protein A affinity purified.
Molecular weight: Predicted band size: 11 kDa
Isotype: IgG
Immunogen: Recombinant protein within human S100 beta aa 1-92.
Positive control: Human brain tissue, human colon adenocarcinoma tissue, human melanoma tissue, mouse brain tissue, mouse colon tissue, rat brain tissue, SK-MEL-28 cell lysate, Mouse brain tissue lysate, Rat brain tissue lysate.
Subcellular location: Cytoplasm, Nucleus, Secreted.
Recommended Dilutions:
  IHC-Fr
  IHC-P
  WB
  IF-Tissue

1:1,000
1:20,000
1:5,000
1:500
Uniprot #: SwissProt: P04271 Human | P50114 Mouse | P04631 Rat
Alternative names: NEF Protein S100 B Protein S100-B S 100 calcium binding protein beta chain S 100 protein beta chain S-100 protein beta chain S-100 protein subunit beta S100 S100 calcium binding protein beta (neural) S100 calcium-binding protein B S100 protein beta chain S100B S100B_HUMAN S100beta
Images
HA751617_1.jpg Fig1: Application: IHC-Fr

Species: Mouse

Site: brain

Sample: Frozen section

Antibody concentration: 1/1,000

Antigen retrieval: Not required
HA751617_2.jpg Fig2: Immunohistochemical analysis of paraffin-embedded human brain tissue with Rabbit anti-S100 beta antibody (HA751617) at 1/20,000 dilution.

The section was pre-treated using heat mediated antigen retrieval with Tris-EDTA buffer (pH 9.0) for 20 minutes. The tissues were blocked in 1% BSA for 20 minutes at room temperature, washed with ddH2O and PBS, and then probed with the primary antibody (HA751617) at 1/20,000 dilution for 1 hour at room temperature. The detection was performed using an HRP conjugated compact polymer system. DAB was used as the chromogen. Tissues were counterstained with hematoxylin and mounted with DPX.
HA751617_3.jpg Fig3: Immunohistochemical analysis of paraffin-embedded human colon adenocarcinoma tissue with Rabbit anti-S100 beta antibody (HA751617) at 1/20,000 dilution.

The section was pre-treated using heat mediated antigen retrieval with Tris-EDTA buffer (pH 9.0) for 20 minutes. The tissues were blocked in 1% BSA for 20 minutes at room temperature, washed with ddH2O and PBS, and then probed with the primary antibody (HA751617) at 1/20,000 dilution for 1 hour at room temperature. The detection was performed using an HRP conjugated compact polymer system. DAB was used as the chromogen. Tissues were counterstained with hematoxylin and mounted with DPX.
HA751617_4.jpg Fig4: Immunohistochemical analysis of paraffin-embedded human melanoma tissue with Rabbit anti-S100 beta antibody (HA751617) at 1/20,000 dilution.

The section was pre-treated using heat mediated antigen retrieval with Tris-EDTA buffer (pH 9.0) for 20 minutes. The tissues were blocked in 1% BSA for 20 minutes at room temperature, washed with ddH2O and PBS, and then probed with the primary antibody (HA751617) at 1/20,000 dilution for 1 hour at room temperature. The detection was performed using an HRP conjugated compact polymer system. DAB was used as the chromogen. Tissues were counterstained with hematoxylin and mounted with DPX.
HA751617_5.jpg Fig5: Immunohistochemical analysis of paraffin-embedded mouse brain tissue with Rabbit anti-S100 beta antibody (HA751617) at 1/20,000 dilution.

The section was pre-treated using heat mediated antigen retrieval with Tris-EDTA buffer (pH 9.0) for 20 minutes. The tissues were blocked in 1% BSA for 20 minutes at room temperature, washed with ddH2O and PBS, and then probed with the primary antibody (HA751617) at 1/20,000 dilution for 1 hour at room temperature. The detection was performed using an HRP conjugated compact polymer system. DAB was used as the chromogen. Tissues were counterstained with hematoxylin and mounted with DPX.
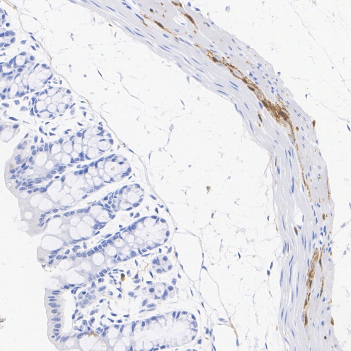
HA751617_6.jpg Fig6: Immunohistochemical analysis of paraffin-embedded mouse colon tissue with Rabbit anti-S100 beta antibody (HA751617) at 1/20,000 dilution.

The section was pre-treated using heat mediated antigen retrieval with Tris-EDTA buffer (pH 9.0) for 20 minutes. The tissues were blocked in 1% BSA for 20 minutes at room temperature, washed with ddH2O and PBS, and then probed with the primary antibody (HA751617) at 1/20,000 dilution for 1 hour at room temperature. The detection was performed using an HRP conjugated compact polymer system. DAB was used as the chromogen. Tissues were counterstained with hematoxylin and mounted with DPX.
HA751617_7.jpg Fig7: Immunohistochemical analysis of paraffin-embedded rat brain tissue with Rabbit anti-S100 beta antibody (HA751617) at 1/20,000 dilution.

The section was pre-treated using heat mediated antigen retrieval with Tris-EDTA buffer (pH 9.0) for 20 minutes. The tissues were blocked in 1% BSA for 20 minutes at room temperature, washed with ddH2O and PBS, and then probed with the primary antibody (HA751617) at 1/20,000 dilution for 1 hour at room temperature. The detection was performed using an HRP conjugated compact polymer system. DAB was used as the chromogen. Tissues were counterstained with hematoxylin and mounted with DPX.
HA751617_8.jpg Fig8: Application: IF-Tissue

Species: Mouse

Site: brain

Sample: Paraffin-embedded section

Antibody concentration: 1/500
HA751617_9.jpg Fig9: Western blot analysis of S100 beta on different lysates with Rabbit anti-S100 beta antibody (HA751617) at 1/5,000 dilution.

Lane 1: SK-MEL-28 cell lysate
Lane 2: T-47D cell lysate (negative)

Lysates/proteins at 10 µg/Lane.

Predicted band size: 11 kDa
Observed band size: 11 kDa

Exposure time: 20 seconds; ECL: K1801;

4-20% SDS-PAGE gel.

Proteins were transferred to a PVDF membrane and blocked with 5% NFDM/TBST for 1 hour at room temperature. The primary antibody (HA751617) at 1/5,000 dilution was used in primary antibody dilution (K1803) at 4℃ overnight. Goat Anti-Rabbit IgG - HRP Secondary Antibody (HA1001) at 1/50,000 dilution was used for 1 hour at room temperature.
HA751617_10.jpg Fig10: Western blot analysis of S100 beta on different lysates with Rabbit anti-S100 beta antibody (HA751617) at 1/5,000 dilution.

Lane 1: Mouse brain tissue lysate
Lane 2: Mouse lung tissue lysate (negative)
Lane 3: Rat brain tissue lysate
Lane 4: Rat lung tissue lysate (negative)

Lysates/proteins at 40 µg/Lane.

Predicted band size: 11 kDa
Observed band size: 11 kDa

Exposure time: 9 seconds; ECL: K1801;

4-20% SDS-PAGE gel.

Proteins were transferred to a PVDF membrane and blocked with 5% NFDM/TBST for 1 hour at room temperature. The primary antibody (HA751617) at 1/5,000 dilution was used in primary antibody dilution (K1803) at 4℃ overnight. Goat Anti-Rabbit IgG - HRP Secondary Antibody (HA1001) at 1/50,000 dilution was used for 1 hour at room temperature.
Note: All products are “FOR RESEARCH USE ONLY AND ARE NOT INTENDED FOR DIAGNOSTIC OR THERAPEUTIC USE”.