Class I HDAC Antibody Sampler Kit
cat.: HAK21023
Product Type: Antibody Sampler Kit
Species reactivity: Human, Mouse
Applications: WB
Form: Liquid
Storage condition: Store at +4℃ after thawing. Aliquot store at -20℃. Avoid repeated freeze / thaw cycles.
Storage buffer: 1*TBS (pH7.4), 0.05% BSA, 40% Glycerol. Preservative: 0.05% Sodium Azide.
Uniprot #: SwissProt: Q13547 Human | O09106 Mouse | Q4QQW4 Rat | Q92769 Human | P70288 Mouse | F7ENH8 Rat | O15379 Human | O88895 Mouse | Q6P6W3 Rat
Images
HAK21023_1.jpg Fig1: Western blot analysis of HDAC1 on different lysates with Rabbit anti-HDAC1 antibody (ET1605-35) at 1/5,000 dilution and competitor's antibody at 1/1,000 dilution.

Lane 1: HeLa cell lysate (15 µg/Lane)
Lane 2: HEK-293 cell lysate (15 µg/Lane)
Lane 3: MCF7 cell lysate (15 µg/Lane)
Lane 4: Jurkat cell lysate (15 µg/Lane)
Lane 5: L929 cell lysate (15 µg/Lane)
Lane 6: C6 cell lysate (15 µg/Lane)

Predicted band size: 55 kDa
Observed band size: 65 kDa

Exposure time: 30 seconds;

4-20% SDS-PAGE gel.

Proteins were transferred to a PVDF membrane and blocked with 5% NFDM/TBST for 1 hour at room temperature. The primary antibody (ET1605-35) at 1/5,000 dilution and competitor's antibody at 1/1,000 dilution were used in 5% NFDM/TBST at 4℃ overnight. Goat Anti-Rabbit IgG - HRP Secondary Antibody (HA1001) at 1/50,000 dilution was used for 1 hour at room temperature.
HAK21023_2.jpg Fig2: Immunocytochemistry analysis of HeLa cells labeling HDAC1 with Rabbit anti-HDAC1 antibody (ET1605-35) at 1/500 dilution and competitor's antibody at 1/200 dilution.

Cells were fixed in 4% paraformaldehyde for 20 minutes at room temperature, permeabilized with 0.1% Triton X-100 in PBS for 5 minutes at room temperature, then blocked with 1% BSA in 10% negative goat serum for 1 hour at room temperature. Cells were then incubated with Rabbit anti-HDAC1 antibody (ET1605-35) at 1/500 dilution and competitor's antibody at 1/200 dilution in 1% BSA in PBST overnight at 4 ℃. Goat Anti-Rabbit IgG H&L (iFluor™ 488, HA1121) was used as the secondary antibody at 1/1,000 dilution. PBS instead of the primary antibody was used as the secondary antibody only control. Nuclear DNA was labelled in blue with DAPI.

Beta tubulin (M1305-2, red) was stained at 1/100 dilution overnight at +4℃. Goat Anti-Mouse IgG H&L (iFluor™ 594, HA1126) was used as the secondary antibody at 1/1,000 dilution.
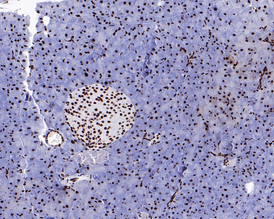
HAK21023_3.jpg Fig3: Immunohistochemical analysis of paraffin-embedded mouse pancreas tissue with Rabbit anti-HDAC1 antibody (ET1605-35) at 1/200 dilution.

The section was pre-treated using heat mediated antigen retrieval with sodium citrate buffer (pH 6.0) for 2 minutes. The tissues were blocked in 1% BSA for 20 minutes at room temperature, washed with ddH2O and PBS, and then probed with the primary antibody (ET1605-35) at 1/200 dilution for 1 hour at room temperature. The detection was performed using an HRP conjugated compact polymer system. DAB was used as the chromogen. Tissues were counterstained with hematoxylin and mounted with DPX.
HAK21023_4.jpg Fig4: HDAC1 was immunoprecipitated in 0.2mg HeLa cell lysate with ET1605-35 at 2 µg/25 µl agarose. Western blot was performed from the immunoprecipitate using ET1605-35 at 1/5,000 dilution. Anti-Rabbit IgG for IP Nano-secondary antibody (NBI01H) at 1/5,000 dilution was used for 1 hour at room temperature.

Lane 1: HeLa cell lysate (input)
Lane 2: ET1605-35 IP in HeLa cell lysate
Lane 3: Rabbit IgG instead of ET1605-35 in HeLa cell lysate

Blocking/Dilution buffer: 5% NFDM/TBST
Exposure time: 43 seconds
HAK21023_5.jpg Fig5: Western blot analysis of HDAC2 on different lysates with Rabbit anti-HDAC2 antibody (ET1607-78) at 1/50,000 dilution and competitor's antibody at 1/1,000 dilution.

Lane 1: HeLa cell lysate
Lane 2: HEK-293 cell lysate
Lane 3: MCF7 cell lysate
Lane 4: Jurkat cell lysate
Lane 5: L-929 cell lysate
Lane 6: NIH/3T3 cell lysate

Lysates/proteins at 15 µg/Lane.

Predicted band size: 55 kDa
Observed band size: 55 kDa

Exposure time: Lane 1-6 (left):30 seconds; Lane 1-6 (right): 1 minute 20 seconds;

4-20% SDS-PAGE gel.

Proteins were transferred to a PVDF membrane and blocked with 5% NFDM/TBST for 1 hour at room temperature. The primary antibody (ET1607-78) at 1/50,000 dilution and competitor's antibody at 1/1,000 dilution were used in 5% NFDM/TBST at 4℃ overnight. Goat Anti-Rabbit IgG - HRP Secondary Antibody (HA1001) at 1/50,000 dilution was used for 1 hour at room temperature.
HAK21023_6.jpg Fig6: All lanes: Western blot analysis of HDAC2 with anti-HDAC2 antibody [SY29-02] (ET1607-78) at 1:1,000 dilution.
Lane 1: Wild-type HepG2 whole cell lysate (20 µg).
Lane 2: HDAC2 knockout HepG2 whole cell lysate (20 µg).

ET1607-78 was shown to specifically react with HDAC2 in wild-type HepG2 cells. No band was observed when HDAC2 knockout samples were tested. Wild-type and HDAC2 knockout samples were subjected to SDS-PAGE. Proteins were transferred to a PVDF membrane and blocked with 5% NFDM in TBST for 1 hour at room temperature. The primary Anti-HDAC1 antibody (ET1607-78, 1/1,000) and Anti-HSP90 antibody (ET1605-56, 1/10,000) were used in 5% BSA at room temperature for 2 hours. Goat Anti-Rabbit IgG H&L (HRP) Secondary Antibody (HA1001) at 1:200,000 dilution was used for 1 hour at room temperature.
HAK21023_7.jpg Fig7: Immunocytochemistry analysis of HeLa cells labeling HDAC2 with Rabbit anti-HDAC2 antibody (ET1607-78) at 1/1,000 dilution.

Cells were fixed in 4% paraformaldehyde for 20 minutes at room temperature, permeabilized with 0.1% Triton X-100 in PBS for 5 minutes at room temperature, then blocked with 1% BSA in 10% negative goat serum for 1 hour at room temperature. Cells were then incubated with Rabbit anti-HDAC2 antibody (ET1607-78) at 1/1,000 dilution in 1% BSA in PBST overnight at 4 ℃. Goat Anti-Rabbit IgG H&L (iFluor™ 488, HA1121) was used as the secondary antibody at 1/1,000 dilution. PBS instead of the primary antibody was used as the secondary antibody only control. Nuclear DNA was labelled in blue with DAPI.

Beta tubulin (M1305-2, red) was stained at 1/100 dilution overnight at +4℃. Goat Anti-Mouse IgG H&L (iFluor™ 594, HA1126) was used as the secondary antibody at 1/1,000 dilution.
HAK21023_8.jpg Fig8: Western blot analysis of HDAC3 on different lysates with Rabbit anti-HDAC3 antibody (ET1610-5) at 1/2,000 dilution.

Lane 1: HeLa cell lysate
Lane 2: K-562 cell lysate
Lane 3: HEK-293 cell lysate
Lane 4: HT-29 cell lysate
Lane 5: NIH/3T3 cell lysate
Lane 6: C6 cell lysate
Lane 7: COS-1 cell lysate

Lysates/proteins at 20 µg/Lane.

Predicted band size: 49 kDa
Observed band size: 49 kDa

Exposure time: 3 minutes; ECL: K1801;

4-20% SDS-PAGE gel.

Proteins were transferred to a PVDF membrane and blocked with 5% NFDM/TBST for 1 hour at room temperature. The primary antibody (ET1610-5) at 1/2,000 dilution was used in 5% NFDM/TBST at 4℃ overnight. Goat Anti-Rabbit IgG - HRP Secondary Antibody (HA1001) at 1/50,000 dilution was used for 1 hour at room temperature.
HAK21023_9.jpg Fig9: Immunocytochemistry analysis of HeLa cells labeling HDAC3 with Rabbit anti-HDAC3 antibody (ET1610-5) at 1/50 dilution.

Cells were fixed in 4% paraformaldehyde for 20 minutes at room temperature, permeabilized with 0.1% Triton X-100 in PBS for 5 minutes at room temperature, then blocked with 1% BSA in 10% negative goat serum for 1 hour at room temperature. Cells were then incubated with Rabbit anti-HDAC3 antibody (ET1610-5) at 1/50 dilution in 1% BSA in PBST overnight at 4 ℃. Goat Anti-Rabbit IgG H&L (iFluor™ 488, HA1121) was used as the secondary antibody at 1/1,000 dilution. PBS instead of the primary antibody was used as the secondary antibody only control. Nuclear DNA was labelled in blue with DAPI.

Beta tubulin (M1305-2, red) was stained at 1/100 dilution overnight at +4℃. Goat Anti-Mouse IgG H&L (iFluor™ 594, HA1126) was used as the secondary antibody at 1/1,000 dilution.
HAK21023_10.jpg Fig10: Immunohistochemical analysis of paraffin-embedded human breast carcinoma tissue with Rabbit anti-HDAC3 antibody (ET1610-5) at 1/1,000 dilution.

The section was pre-treated using heat mediated antigen retrieval with sodium citrate buffer (pH 6.0) for 2 minutes. The tissues were blocked in 1% BSA for 20 minutes at room temperature, washed with ddH2O and PBS, and then probed with the primary antibody (ET1610-5) at 1/1,000 dilution for 1 hour at room temperature. The detection was performed using an HRP conjugated compact polymer system. DAB was used as the chromogen. Tissues were counterstained with hematoxylin and mounted with DPX.
HAK21023_11.jpg Fig11: Western blot analysis of HDAC8 on different lysates with Rabbit anti-HDAC8 antibody (ET1701-12) at 1/500 dilution.

Lane 1: Hela cell lysate
Lane 2: K562 cell lysate

Lysates/proteins at 10 µg/Lane.

Predicted band size: 42 kDa
Observed band size: 42 kDa

Exposure time: 1 minute;

10% SDS-PAGE gel.

Proteins were transferred to a PVDF membrane and blocked with 5% NFDM/TBST for 1 hour at room temperature. The primary antibody (ET1701-12) at 1/500 dilution was used in 5% NFDM/TBST at room temperature for 2 hours. Goat Anti-Rabbit IgG - HRP Secondary Antibody (HA1001) at 1:300,000 dilution was used for 1 hour at room temperature.
Note: All products are “FOR RESEARCH USE ONLY AND ARE NOT INTENDED FOR DIAGNOSTIC OR THERAPEUTIC USE”.