Autophagy Vesicle Elongation (LC3 Conjugation) Antibody Sampler Kit
cat.: HAK21030
Product Type: Antibody Sampler Kit
Species reactivity: Human
Applications: WB
Form: Liquid
Storage condition: Store at +4℃ after thawing. Aliquot store at -20℃. Avoid repeated freeze / thaw cycles.
Storage buffer: 1*TBS (pH7.4), 0.05% BSA, 40% Glycerol. Preservative: 0.05% Sodium Azide.
Uniprot #: SwissProt: Q9H492 Human | Q91VR7 Mouse | Q6XVN8 Rat | Q9GZQ8 Human | Q9CQV6 Mouse | Q62625 Rat | O95352 Human | Q641Y5 Rat | Q9Y4P1 Human | Q8BGE6 Mouse | Q62625 Rat | Q8WYN0 Human | Q8C9S8 Mouse | B1H274 Rat | O95166 Human | Q8R3R8 Mouse | P60517 Rat | Q9NT62 Human | Q9CPX6 Mouse | Q6AZ50 Rat
Images
HAK21030_1.jpg Fig1: Western blot analysis of LC3B on different lysates with Rabbit anti-LC3B antibody (ET1701-65) at 1/2,000 dilution and competitor's antibody at 1/1,000 dilution.

Lane 1: HeLa cell lysate
Lane 2: HeLa treated with 50μM Chloroquine for 18 hours cell lysate
Lane 3: C2C12 cell lysate
Lane 4: C2C12 treated with 50μM Chloroquine for 18 hours cell lysate
Lane 5: C6 cell lysate
Lane 6: C6 treated with 50μM Chloroquine for 18 hours cell lysate

Lysates/proteins at 20 µg/Lane.

Predicted band size: 14/16 kDa
Observed band size: 14/16 kDa

Exposure time: 3 minutes;

4-20% SDS-PAGE gel.

Proteins were transferred to a PVDF membrane and blocked with 5% NFDM/TBST for 1 hour at room temperature. The primary antibody (ET1701-65) at 1/2,000 dilution and competitor's antibody at 1/1,000 dilution were used in 5% NFDM/TBST at 4℃ overnight. Goat Anti-Rabbit IgG - HRP Secondary Antibody (HA1001) at 1/50,000 dilution was used for 1 hour at room temperature.
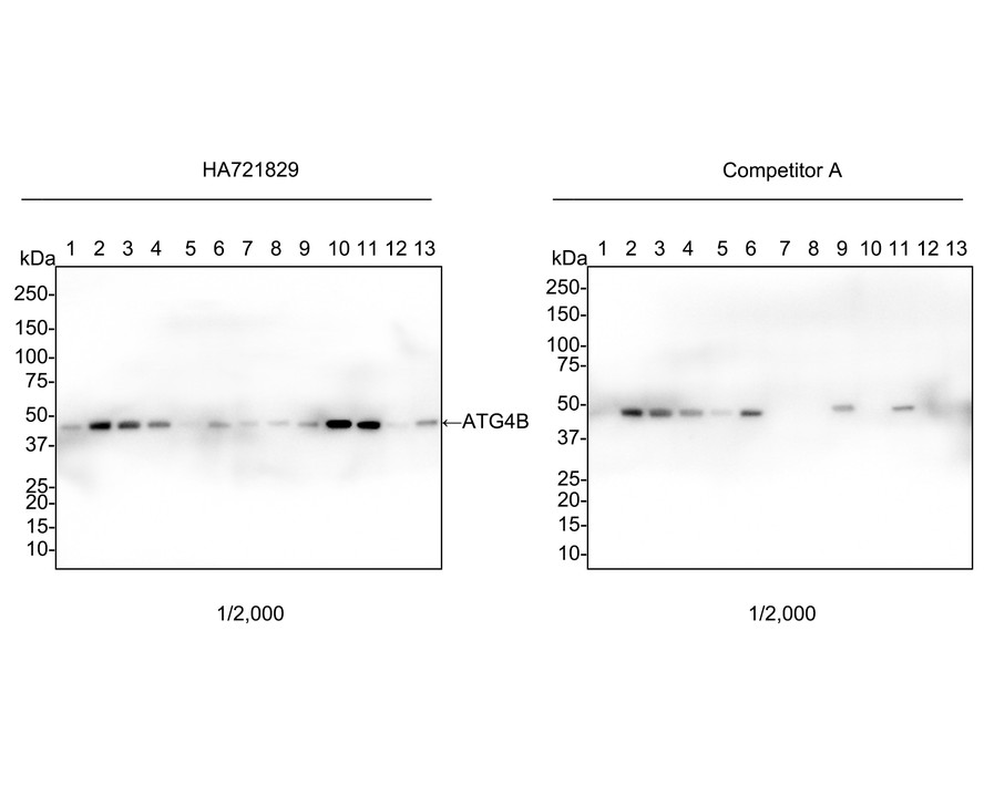
HAK21030_2.jpg Fig2: Western blot analysis of ATG4B on different lysates with Rabbit anti-ATG4B antibody (HA721829) at 1/2,000 dilution and competitor's antibody at 1/2,000 dilution.

Lane 1: HeLa cell lysate
Lane 2: Jurkat cell lysate
Lane 3: 293T cell lysate
Lane 4: MCF7 cell lysate
Lane 5: K-562 cell lysate
Lane 6: COS-1 cell lysate
Lane 7: NIH/3T3 cell lysate
Lane 8: C2C12 cell lysate
Lane 9: PC-12 cell lysate
Lane 10: Mouse brain tissue lysate
Lane 11: Rat brain tissue lysate
Lane 12: Mouse kidney tissue lysate
Lane 13: Mouse colon tissue lysate

Lysates/proteins at 30 µg/Lane.

Predicted band size: 44 kDa
Observed band size: 47 kDa

Exposure time: 42 seconds;

4-20% SDS-PAGE gel.

Proteins were transferred to a PVDF membrane and blocked with 5% NFDM/TBST for 1 hour at room temperature. The primary antibody (HA721829) at 1/2,000 dilution and competitor's antibody at 1/2,000 dilution were used in 5% NFDM/TBST at 4℃ overnight. Goat Anti-Rabbit IgG - HRP Secondary Antibody (HA1001) at 1/50,000 dilution was used for 1 hour at room temperature.
HAK21030_3.jpg Fig3: Western blot analysis of Apg7 on different lysates with Rabbit anti-Apg7 antibody (ET1610-53) at 1/2,000 dilution.

Lane 1: HeLa cell lysate
Lane 2: Jurkat cell lysate
Lane 3: THP-1 cell lysate

Lysates/proteins at 15 µg/Lane.

Predicted band size: 78 kDa
Observed band size: 70 kDa

Exposure time: 3 minutes;

4-20% SDS-PAGE gel.

Proteins were transferred to a PVDF membrane and blocked with 5% NFDM/TBST for 1 hour at room temperature. The primary antibody (ET1610-53) at 1/2,000 dilution was used in 5% NFDM/TBST at 4℃ overnight. Goat Anti-Rabbit IgG - HRP Secondary Antibody (HA1001) at 1/50,000 dilution was used for 1 hour at room temperature.
HAK21030_4.jpg Fig4: Western blot analysis of ATG4A on different lysates with Rabbit anti-ATG4A antibody (HA721010) at 1/500 dilution.

Lane 1: K562 cell lysate, 10 µg/Lane
Lane 2: Jurkat cell lysate, 10 µg/Lane
Lane 3: Mouse kidney tissue lysate, 20 µg/Lane
Lane 4: Rat kidney tissue lysate, 20 µg/Lane

Predicted band size: 45 kDa
Observed band size: 41 kDa

Exposure time: 2 minutes;

10% SDS-PAGE gel.

Proteins were transferred to a PVDF membrane and blocked with 5% NFDM/TBST for 1 hour at room temperature. The primary antibody (HA721010) at 1/500 dilution was used in 5% NFDM/TBST at room temperature for 2 hours. Goat Anti-Rabbit IgG - HRP Secondary Antibody (HA1001) at 1:200,000 dilution was used for 1 hour at room temperature.
Note: All products are “FOR RESEARCH USE ONLY AND ARE NOT INTENDED FOR DIAGNOSTIC OR THERAPEUTIC USE”.