Epithelial-Mesenchymal Transition (EMT) Antibody Sampler Kit
cat.: HAK21033
Product Type: Antibody Sampler Kit
Species reactivity: Human
Applications: WB
Form: Liquid
Storage condition: Store at +4℃ after thawing. Aliquot store at -20℃. Avoid repeated freeze / thaw cycles.
Storage buffer: 1*TBS (pH7.4), 0.05% BSA, 40% Glycerol. Preservative: 0.05% Sodium Azide.
Uniprot #: SwissProt: P08670 Human | P20152 Mouse | P31000 Rat | P19022 Human | P15116 Mouse | Q9Z1Y3 Rat | O95832 Human | O88551 Mouse | P56745 Rat | P35222 Human | Q02248 Mouse | Q9WU82 Rat | O95863 Human | Q02085 Mouse | O43623 Human | P37275 Human | O60315 Human | Q64318 Mouse | Q9R0G7 Mouse | Q62947 Rat | P12830 Human | P09803 Mouse | Q9R0T4 Rat | Q07157 Human
Entrez Gene: 116490 Rat | 311071 Rat
Images
HAK21033_1.jpg Fig1: Western blot analysis of Vimentin on different lysates with Rabbit anti-Vimentin antibody (ET1610-39) at 1/20,000 dilution and competitor's antibody at 1/1,000 dilution.

Lane 1: HeLa cell lysate (10 µg/Lane)
Lane 2: HEK-293 cell lysate (10 µg/Lane)
Lane 3: Jurkat cell lysate (10 µg/Lane)
Lane 4: C2C12 cell lysate (10 µg/Lane)
Lane 5: RAW264.7 cell lysate (10 µg/Lane)
Lane 6: C6 cell lysate (10 µg/Lane)

Predicted band size: 54 kDa
Observed band size: 54 kDa
Exposure time: 14 seconds;
4-20% SDS-PAGE gel.
Proteins were transferred to a PVDF membrane and blocked with 5% NFDM/TBST for 1 hour at room temperature. The primary antibody (ET1610-39) at 1/20,000 dilution and competitor's antibody at 1/1,000 dilution were used in 5% NFDM/TBST at 4℃ overnight. Goat Anti-Rabbit IgG - HRP Secondary Antibody (HA1001) at 1:50,000 dilution was used for 1 hour at room temperature.
HAK21033_2.jpg Fig2: Western blot analysis of N Cadherin on different lysates with Rabbit anti-N Cadherin antibody (ET1607-37) at 1/5,000 dilution and competitor's antibody at 1/1,000 dilution.

Lane 1: 293T cell lysate
Lane 2: A549 cell lysate
Lane 3: HeLa cell lysate
Lane 4: A-172 cell lysate
Lane 5: MCF7 cell lysate (negative)
Lane 6: C2C12 cell lysate
Lane 7: C6 cell lysate

Lysates/proteins at 15 µg/Lane.
Predicted band size: 100 kDa
Observed band size: 140-150 kDa
Exposure time: 2 minutes 6 seconds;
4-20% SDS-PAGE gel.
Proteins were transferred to a PVDF membrane and blocked with 5% NFDM/TBST for 1 hour at room temperature. The primary antibody (ET1607-37) at 1/5,000 dilution and competitor's antibody at 1/1,000 dilution were used in 5% NFDM/TBST at 4℃ overnight. Goat Anti-Rabbit IgG - HRP Secondary Antibody (HA1001) at 1/50,000 dilution was used for 1 hour at room temperature.
HAK21033_3.jpg Fig3: Western blot analysis of E-Cadherin on different lysates with Rabbit anti-E-Cadherin antibody (HA723564) at 1/5,000 dilution.

Lane 1: 4T1 cell lysate (20 µg/Lane)
Lane 2: C2C12 cell lysate (negative) (20 µg/Lane)
Lane 3: Mouse small intestine tissue lysate (30 µg/Lane)
Lane 4: Mouse colon tissue lysate (30 µg/Lane)
Lane 5: Mouse pancreas tissue lysate (30 µg/Lane)
Lane 6: Rat pancreas tissue lysate (30 µg/Lane)
Lane 7: Rat lung tissue lysate (30 µg/Lane)
Lane 8: Rat colon tissue lysate (30 µg/Lane)
Lane 9: MCF7 cell lysate (20 µg/Lane)
Lane 10: MDA-MB-231 cell lysate (negative) (20 µg/Lane)
Lane 11: HT-29 cell lysate (20 µg/Lane)
Lane 12: Caco-2 cell lysate (20 µg/Lane)

Predicted band size: 98 kDa
Observed band size: 75-130 kDa

Exposure time: Lane 1-5: 10 seconds; Lane 3: 1 minute 16 seconds; ECL: K1801;

4-20% SDS-PAGE gel.

Proteins were transferred to a PVDF membrane and blocked with 5% NFDM/TBST for 1 hour at room temperature. The primary antibody (HA723564) at 1/5,000 dilution was used in primary antibody dilution (K1803) at 4℃ overnight. Goat Anti-Rabbit IgG - HRP Secondary Antibody (HA1001) at 1/50,000 dilution was used for 1 hour at room temperature.
HAK21033_4.jpg Fig4: Western blot analysis of E-Cadherin on different lysates with Rabbit anti-E-Cadherin antibody (ET1607-75) at 1/5,000 dilution and competitor's antibody at 1/1,000 dilution.

Lane 1: MCF7 cell lysate
Lane 2: MDA-MB-231 cell lysate (negative)
Lane 3: HT-29 cell lysate
Lane 4: HCT 116 cell lysate
Lane 5: A431 cell lysate
Lane 6: Caco-2 cell lysate

Lysates/proteins at 20 µg/Lane.
Predicted band size: 97 kDa
Observed band size: 80~120 kDa
Exposure time: 43 seconds;
4-20% SDS-PAGE gel.

Proteins were transferred to a PVDF membrane and blocked with 5% NFDM/TBST for 1 hour at room temperature. The primary antibody (ET1607-75) at 1/5,000 dilution and competitor's antibody at 1/1,000 dilution were used in 5% NFDM/TBST at 4℃ overnight. Goat Anti-Rabbit IgG - HRP Secondary Antibody (HA1001) at 1:50,000 dilution was used for 1 hour at room temperature.
HAK21033_5.jpg Fig5: Application: IHC-Fr

Species: Mouse

Site: colon

Sample: Frozen section

Antibody concentration: 1/500

Antigen retrieval: Not required
HAK21033_6.jpg Fig6: Application: IHC-Fr

Species: Rat

Site: colon

Sample: Frozen section

Antibody concentration: 1/500

Antigen retrieval: Not required
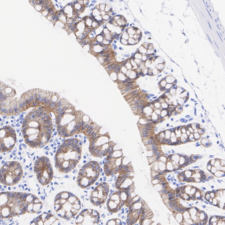
HAK21033_7.jpg Fig7: Immunohistochemical analysis of paraffin-embedded mouse colon tissue with Rabbit anti-E-Cadherin antibody (HA723564) at 1/5,000 dilution.

The section was pre-treated using heat mediated antigen retrieval with Tris-EDTA buffer (pH 9.0) for 20 minutes. The tissues were blocked in 1% BSA for 20 minutes at room temperature, washed with ddH2O and PBS, and then probed with the primary antibody (HA723564) at 1/5,000 dilution for 1 hour at room temperature. The detection was performed using an HRP conjugated compact polymer system. DAB was used as the chromogen. Tissues were counterstained with hematoxylin and mounted with DPX.
HAK21033_8.jpg Fig8: Immunocytochemistry analysis of 4T1 (positive) and C2C12 (negative) labeling E-Cadherin with Rabbit anti-E-Cadherin antibody (HA723564) at 1/500 dilution.

Cells were fixed in 4% paraformaldehyde for 15 minutes at room temperature, permeabilized with 0.1% Triton X-100 in PBS for 15 minutes at room temperature, then blocked with 1% BSA in 10% negative goat serum for 1 hour at room temperature. Cells were then incubated with Rabbit anti-E-Cadherin antibody (HA723564) at 1/500 dilution in 1% BSA in PBST overnight at 4 ℃. Goat Anti-Rabbit IgG H&L (iFluor™ 488, HA1121) was used as the secondary antibody at 1/1,000 dilution. PBS instead of the primary antibody was used as the secondary antibody only control. Nuclear DNA was labelled in blue with DAPI.

Beta tubulin (HA601187, red) was stained at 1/100 dilution overnight at +4℃. Goat Anti-Mouse IgG H&L (iFluor™ 594, HA1126) was used as the secondary antibody at 1/1,000 dilution.
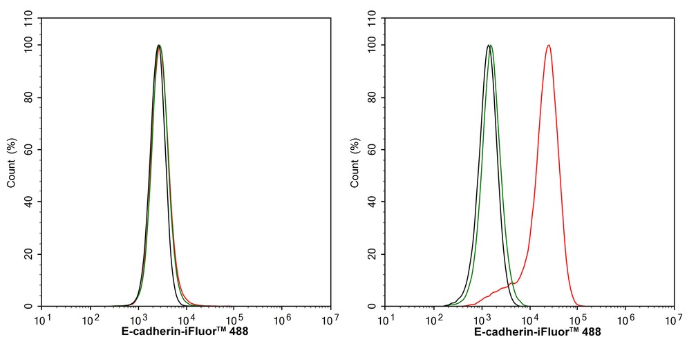
HAK21033_9.jpg Fig9: Flow cytometric analysis of C2C12 (left, negative) and 4T1 (right, positive) cells labeling E-Cadherin.

Cells were washed twice with cold PBS and resuspend. Then stained with the primary antibody (HA723564, 1/1,000) (red) compared with Rabbit IgG Isotype Control (green). After incubation of the primary antibody at +4℃ for an hour, the cells were stained with a iFluor™ 488 conjugate-Goat anti-Rabbit IgG Secondary antibody (HA1121) at 1/1,000 dilution for 30 minutes at +4℃. Unlabelled sample was used as a control (cells without incubation with primary antibody; black).
HAK21033_10.jpg Fig10: E-Cadherin was immunoprecipitated from 0.2 mg 4T1 cell lysate with HA723564 at 2 µg/10 µl beads. Western blot was performed from the immunoprecipitate using HA723564 at 1/5,000 dilution. HRP Conjugated Anti-Rabbit IgG for IP Nano-secondary antibody at 1/5,000 dilution was used for 1 hour at room temperature.

Lane 1: 4T1 cell lysate (input)
Lane 2: HA723564 IP in 4T1 cell lysate
Lane 3: Rabbit IgG instead of HA723564 in 4T1 cell lysate

Blocking/Dilution buffer: 5% NFDM/TBST
Exposure time: 46 seconds; ECL: K1801
Note: All products are “FOR RESEARCH USE ONLY AND ARE NOT INTENDED FOR DIAGNOSTIC OR THERAPEUTIC USE”.