MAPK Family Antibody Sampler Kit
cat.: HAK21040
Product Type: Antibody Sampler Kit
Species reactivity: Human
Applications: WB
Form: Liquid
Storage condition: Store at +4℃ after thawing. Aliquot store at -20℃. Avoid repeated freeze / thaw cycles.
Storage buffer: 1*TBS (pH7.4), 0.05% BSA, 40% Glycerol. Preservative: 0.05% Sodium Azide.
Uniprot #: SwissProt: P27361 Human | P28482 Human | P63085 Mouse | Q63844 Mouse | P21708 Rat | P63086 Rat | P45983 Human | P45984 Human | P53779 Human | Q61831 Mouse | Q91Y86 Mouse | Q9WTU6 Mouse | P49185 Rat | P49186 Rat | P49187 Rat | Q16539 Human | Q15759 Human | P53778 Human | O15264 Human | P47811 Mouse | Q9WUI1 Mouse | O08911 Mouse | Q9Z1B7 Mouse | P70618 Rat | D4A3U7 Rat | Q63538 Rat | Q9WTY9 Rat
Images
HAK21040_1.jpg Fig1: Western blot analysis of ERK1/2 on different lysates with Rabbit anti-ERK1/2 antibody (ET1601-29) at 1/5,000 dilution and competitor's antibody at 1/1,000 dilution.

Lane 1: HeLa cell lysate
Lane 2: Jurkat cell lysate
Lane 3: HepG2 cell lysate
Lane 4: NIH/3T3 cell lysate
Lane 5: PC-12 cell lysate
Lane 6: C6 cell lysate

Lysates/proteins at 15 µg/Lane.

Predicted band size: 43/41 kDa
Observed band size: 43/41 kDa

Exposure time: 19 seconds;

4-20% SDS-PAGE gel.

Proteins were transferred to a PVDF membrane and blocked with 5% NFDM/TBST for 1 hour at room temperature. The primary antibody (ET1601-29) at 1/5,000 dilution and competitor's antibody at 1/1,000 dilution were used in 5% NFDM/TBST at 4℃ overnight. Goat Anti-Rabbit IgG - HRP Secondary Antibody (HA1001) at 1:50,000 dilution was used for 1 hour at room temperature.
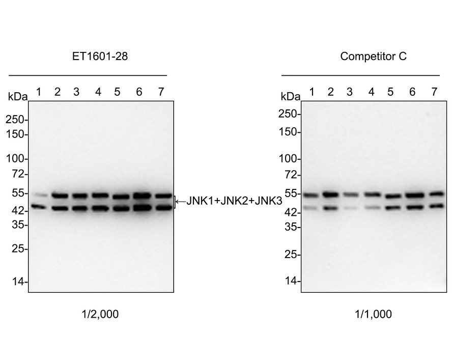
HAK21040_2.jpg Fig2: Western blot analysis of JNK1+JNK2+JNK3 on different lysates with Rabbit anti-JNK1+JNK2+JNK3 antibody (ET1601-28) at 1/2,000 dilution and competitor's antibody at 1/1,000 dilution.

Lane 1: HeLa cell lysate
Lane 2: HEK-293 cell lysate
Lane 3: Jurkat cell lysate
Lane 4: MCF7 cell lysate
Lane 5: NIH/3T3 cell lysate
Lane 6: PC-12 cell lysate
Lane 7: C6 cell lysate

Lysates/proteins at 15 µg/Lane.

Predicted band size: 48/53 kDa
Observed band size: 48/53 kDa

Exposure time: 35 seconds;

4-20% SDS-PAGE gel.

Proteins were transferred to a PVDF membrane and blocked with 5% NFDM/TBST for 1 hour at room temperature. The primary antibody (ET1601-28) at 1/2,000 dilution and competitor's antibody at 1/1,000 dilution were used in 5% NFDM/TBST at 4℃ overnight. Goat Anti-Rabbit IgG - HRP Secondary Antibody (HA1001) at 1:50,000 dilution was used for 1 hour at room temperature.
HAK21040_3.jpg Fig3: Western blot analysis of p38 MAPK on different lysates with Rabbit anti-p38 MAPK antibody (HA722036) at 1/1,000 dilution.

Lane 1: 293T cell lysate
Lane 2: HeLa cell lysate
Lane 3: K-562 cell lysate
Lane 4: COS-1 cell lysate
Lane 5: Neuro-2a cell lysate
Lane 6: PC-12 cell lysate

Lysates/proteins at 30 µg/Lane.

Predicted band size: 42 kDa
Observed band size: 42 kDa

Exposure time: 4 seconds;

4-20% SDS-PAGE gel.

Proteins were transferred to a PVDF membrane and blocked with 5% NFDM/TBST for 1 hour at room temperature. The primary antibody (HA722036) at 1/1,000 dilution was used in 5% NFDM/TBST at 4℃ overnight. Goat Anti-Rabbit IgG - HRP Secondary Antibody (HA1001) at 1/50,000 dilution was used for 1 hour at room temperature.
Note: All products are “FOR RESEARCH USE ONLY AND ARE NOT INTENDED FOR DIAGNOSTIC OR THERAPEUTIC USE”.