Neurofilament Antibody Sampler Kit
cat.: HAK21090
Product Type: Antibody Sampler Kit
Species reactivity: Human, Mouse, Rat
Applications: WB, IHC-P, IF-Tissue
Form: Liquid
Storage condition: Store at +4℃ after thawing. Aliquot store at -20℃. Avoid repeated freeze / thaw cycles.
Storage buffer: 1*TBS (pH7.4), 0.05% BSA, 40% Glycerol. Preservative: 0.05% Sodium Azide.
Uniprot #: SwissProt: P07197 Human | P08553 Mouse | P12839 Rat | P07196 Human | P08551 Mouse | P19527 Rat | P12036 Human | P19246 Mouse | P16884 Rat
Images
HAK21090_1.jpg Fig1: Western blot analysis of Neurofilament heavy polypeptide on different lysates with Rabbit anti-Neurofilament heavy polypeptide antibody (ET1702-72) at 1/2,000 dilution.

Lane 1: Mouse brain tissue lysate (20 µg/Lane)
Lane 2: Rat brain tissue lysate (20 µg/Lane)
Lane 3: Rat hippocampus tissue lysate (20 µg/Lane)

Predicted band size: 200 kDa
Observed band size: 250 kDa

Exposure time: 3 minutes; ECL: K1801;
4-20% SDS-PAGE gel.

Proteins were transferred to a PVDF membrane and blocked with 5% NFDM/TBST for 1 hour at room temperature. The primary antibody (ET1702-72) at 1/2,000 dilution was used in 5% NFDM/TBST at 4℃ overnight. Goat Anti-Rabbit IgG - HRP Secondary Antibody (HA1001) at 1/50,000 dilution was used for 1 hour at room temperature.
HAK21090_2.jpg Fig2: Western blot analysis of NF-L on different lysates with Rabbit anti-NF-L antibody (HA721538) at 1/1,000 dilution.

Lane 1: Mouse brain tissue lysate
Lane 2: Rat brain tissue lysate
Lane 3: Mouse hippocampus tissue lysate
Lane 4: Rat hippocampus tissue lysate
Lane 5: Human liver tissue lysate (negative)
Lane 6: Mouse liver tissue lysate (negative)
Lane 7: Rat liver tissue lysate (negative)

Lysates/proteins at 20 µg/Lane.

Predicted band size: 62 kDa
Observed band size: 68 kDa

Exposure time: 3 minutes;
4-20% SDS-PAGE gel.

Proteins were transferred to a PVDF membrane and blocked with 5% NFDM/TBST for 1 hour at room temperature. The primary antibody (HA721538) at 1/1,000 dilution was used in 5% NFDM/TBST at room temperature for 2 hours. Goat Anti-Rabbit IgG - HRP Secondary Antibody (HA1001) at 1:100,000 dilution was used for 1 hour at room temperature.
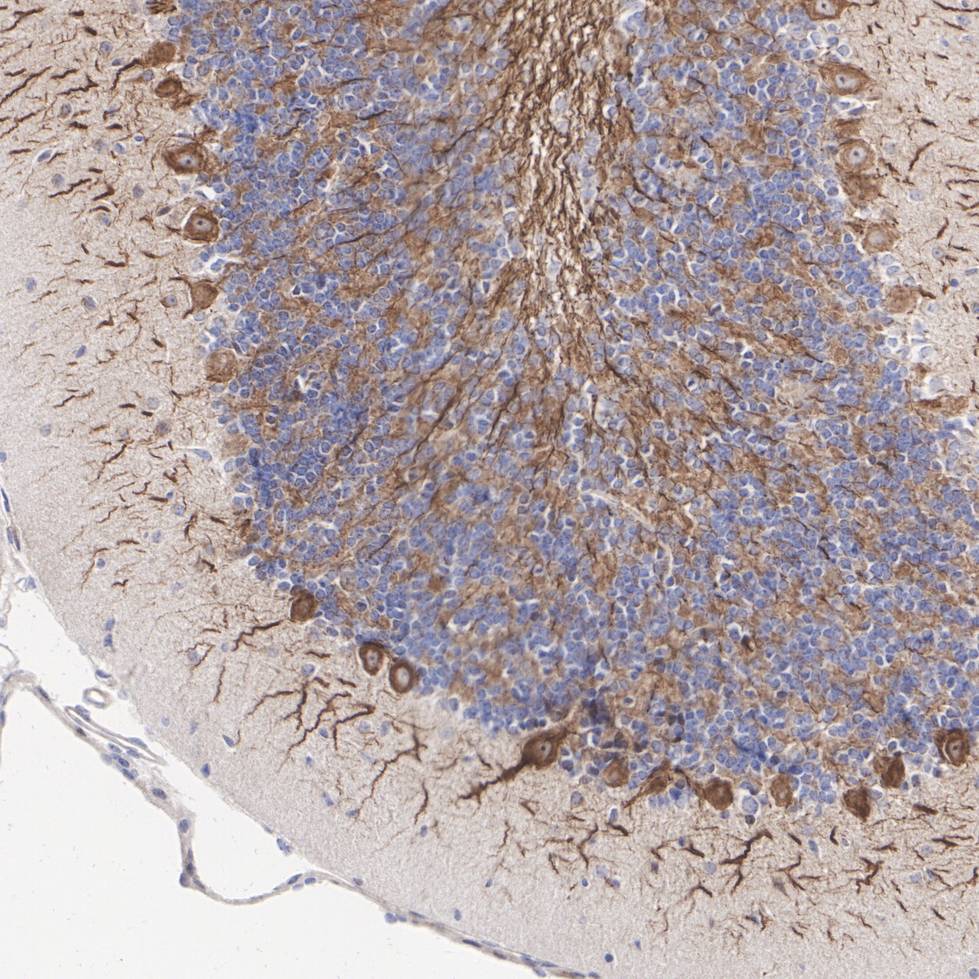
HAK21090_3.jpg Fig3: Immunohistochemical analysis of paraffin-embedded mouse cerebellum tissue with Rabbit anti-Neurofilament heavy polypeptide antibody (ET1702-72) at 1/1,000 dilution.

The section was pre-treated using heat mediated antigen retrieval with Tris-EDTA buffer (pH 9.0) for 20 minutes. The tissues were blocked in 1% BSA for 20 minutes at room temperature, washed with ddH2O and PBS, and then probed with the primary antibody (ET1702-72) at 1/1,000 dilution for 1 hour at room temperature. The detection was performed using an HRP conjugated compact polymer system. DAB was used as the chromogen. Tissues were counterstained with hematoxylin and mounted with DPX.
HAK21090_4.jpg Fig4: Immunofluorescence analysis of frozen mouse cerebellum tissue with Rabbit anti-Neurofilament heavy polypeptide antibody (ET1702-72) at 1/500 dilution.

The section was pre-treated using heat mediated antigen retrieval with sodium citrate buffer (pH 6.0) for about 2 minutes in microwave oven. The tissues were blocked in 10% negative goat serum for 1 hour at room temperature, washed with PBS, and then probed with the primary antibody (ET1702-72, green) at 1/500 dilution overnight at 4 ℃, washed with PBS. Goat Anti-Rabbit IgG H&L (iFluor™ 488, HA1121) was used as the secondary antibody at 1/1,000 dilution. Nuclei were counterstained with DAPI (blue).
HAK21090_5.jpg Fig5: Immunofluorescence analysis of frozen rat cerebellum tissue with Rabbit anti-Neurofilament heavy polypeptide antibody (ET1702-72) at 1/500 dilution.

The section was pre-treated using heat mediated antigen retrieval with sodium citrate buffer (pH 6.0) for about 2 minutes in microwave oven. The tissues were blocked in 10% negative goat serum for 1 hour at room temperature, washed with PBS, and then probed with the primary antibody (ET1702-72, green) at 1/500 dilution overnight at 4 ℃, washed with PBS. Goat Anti-Rabbit IgG H&L (iFluor™ 488, HA1121) was used as the secondary antibody at 1/1,000 dilution. Nuclei were counterstained with DAPI (blue).
HAK21090_6.jpg Fig6: Immunocytochemistry analysis of mouse glial cells labeling NF-L with Rabbit anti-NF-L antibody (HA721538) at 1/1,000 dilution.

Cells were fixed with 4% PFA (15 min), permeabilized with 0.25% TritonX-100 for 15 minutes and then blocked with 1% BSA/10% normal goat serum/0.3M glycine in 0.1%PBS-Tween for 1h. The cells were then incubated overnight at 4℃ with Rabbit anti-NF-L antibody (HA721538) at at 1/1,000 dilution. Goat Anti-Rabbit IgG H&L (iFluor™ 488, HA1121) was used as the secondary antibody at 1/1,000 dilution. PBS instead of the primary antibody was used as the secondary antibody only control. Nuclear DNA was labelled in blue with DAPI.
HAK21090_7.jpg Fig7: Immunofluorescence analysis of frozen mouse cerebellum tissue with Rabbit anti-NF-L antibody (HA721538) at 1/500 dilution.

The section was pre-treated using heat mediated antigen retrieval with sodium citrate buffer (pH 6.0) for about 2 minutes in microwave oven. The tissues were blocked in 10% negative goat serum for 1 hour at room temperature, washed with PBS, and then probed with the primary antibody (HA721538, green) at 1/500 dilution overnight at 4 ℃, washed with PBS. Goat Anti-Rabbit IgG H&L (iFluor™ 488, HA1121) was used as the secondary antibody at 1/1,000 dilution. Nuclei were counterstained with DAPI (blue).
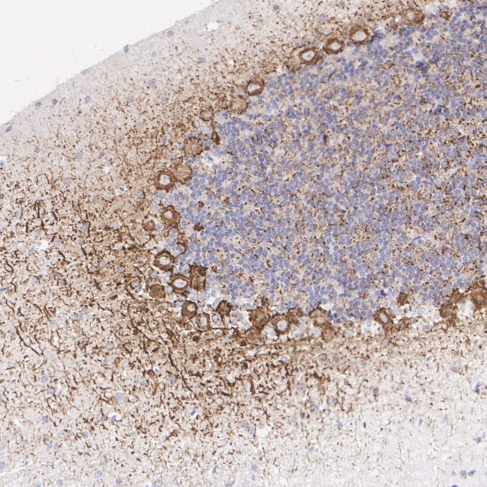
HAK21090_8.jpg Fig8: Immunohistochemical analysis of paraffin-embedded rat cerebellum tissue with Rabbit anti-NF-L antibody (HA721538) at 1/1,000 dilution.

The section was pre-treated using heat mediated antigen retrieval with Tris-EDTA buffer (pH 9.0) for 20 minutes. The tissues were blocked in 1% BSA for 20 minutes at room temperature, washed with ddH2O and PBS, and then probed with the primary antibody (HA721538) at 1/1,000 dilution for 1 hour at room temperature. The detection was performed using an HRP conjugated compact polymer system. DAB was used as the chromogen. Tissues were counterstained with hematoxylin and mounted with DPX.
Note: All products are “FOR RESEARCH USE ONLY AND ARE NOT INTENDED FOR DIAGNOSTIC OR THERAPEUTIC USE”.