Src Family Antibody Sampler Kit
cat.: HAK21092
Product Type: Antibody Sampler Kit
Species reactivity: Human
Applications: WB
Form: Liquid
Storage condition: Store at +4℃ after thawing. Aliquot store at -20℃. Avoid repeated freeze / thaw cycles.
Storage buffer: PBS (pH7.4), 0.05% BSA, 40% Glycerol. Preservative: 0.05% Sodium Azide.
Uniprot #: SwissProt: P12931 Human | P05480 Mouse | Q9WUD9 Rat | P41240 Human | P41241 Mouse | P32577 Rat | P06241 Human | P39688 Mouse | Q62844 Rat | P06239 Human | Q01621 Rat | P07948 Human | P25911 Mouse | Q07014 Rat | P07947 Human | Q04736 Mouse
Images
HAK21092_1.jpg Fig1: Western blot analysis of Src on different lysates with Rabbit anti-Src antibody (ET1702-03) at 1/1,000 dilution.

Lane 1: SK-OV-3 cell lysate, 20 µg/Lane
Lane 2: A549 cell lysate, 20 µg/Lane
Lane 3: NIH/3T3 cell lysate, 20 µg/Lane
Lane 4: 4T1 cell lysate, 20 µg/Lane
Lane 5: PC-12 cell lysate, 20 µg/Lane
Lane 6: C6 cell lysate, 20 µg/Lane
Lane 7: COS-1 cell lysate, 20 µg/Lane

Predicted band size: 60 kDa
Observed band size: 60 kDa

Exposure time: 16 seconds;
4-20% SDS-PAGE gel.

Proteins were transferred to a PVDF membrane and blocked with 5% NFDM/TBST for 1 hour at room temperature. The primary antibody (ET1702-03) at 1/1,000 dilution was used in 5% NFDM/TBST at 4℃ overnight. Goat Anti-Rabbit IgG - HRP Secondary Antibody (HA1001) at 1/50,000 dilution was used for 1 hour at room temperature.
HAK21092_2.jpg Fig2: Immunocytochemistry analysis of SK-OV-3 cells labeling Src with Rabbit anti-Src antibody (ET1702-03) at 1/100 dilution.

Cells were fixed in 4% paraformaldehyde for 20 minutes at room temperature, permeabilized with 0.1% Triton X-100 in PBS for 5 minutes at room temperature, then blocked with 1% BSA in 10% negative goat serum for 1 hour at room temperature. Cells were then incubated with Rabbit anti-Src antibody (ET1702-03) at 1/100 dilution in 1% BSA in PBST overnight at 4 ℃. Goat Anti-Rabbit IgG H&L (iFluor™ 488, HA1121) was used as the secondary antibody at 1/1,000 dilution. PBS instead of the primary antibody was used as the secondary antibody only control. Nuclear DNA was labelled in blue with DAPI.

Beta tubulin (M1305-2, red) was stained at 1/100 dilution overnight at +4℃. Goat Anti-Mouse IgG H&L (iFluor™ 594, HA1126) was used as the secondary antibody at 1/1,000 dilution.
HAK21092_3.jpg Fig3: Immunohistochemical analysis of paraffin-embedded mouse kidney tissue with Rabbit anti-Src antibody (ET1702-03) at 1/1,000 dilution.

The section was pre-treated using heat mediated antigen retrieval with Tris-EDTA buffer (pH 9.0) for 20 minutes. The tissues were blocked in 1% BSA for 20 minutes at room temperature, washed with ddH2O and PBS, and then probed with the primary antibody (ET1702-03) at 1/1,000 dilution for 1 hour at room temperature. The detection was performed using an HRP conjugated compact polymer system. DAB was used as the chromogen. Tissues were counterstained with hematoxylin and mounted with DPX.
HAK21092_4.jpg Fig4: Src was immunoprecipitated in 0.2mg A549 cell lysate with (ET1702-03) at 2 µg/25 µl agarose. Western blot was performed from the immunoprecipitate using (ET1702-03) at 1/2,000 dilution. Anti-Rabbit IgG for IP Nano-secondary antibody (NBI01H) at 1/5,000 dilution was used for 1 hour at room temperature.

Lane 1: A549 cell lysate (input)
Lane 2: (ET1702-03) IP in A549 cell lysate
Lane 3: Rabbit IgG instead of (ET1702-03) in A549 cell lysate

Blocking/Dilution buffer: 5% NFDM/TBST
Exposure time: 6s
HAK21092_5.jpg Fig5: Western blot analysis of Fyn on different lysates with Rabbit anti-Fyn antibody (HA721577) at 1/1,000 dilution.

Lane 1: Rat testis tissue lysate, 40 µg/Lane
Lane 2: Mouse testis tissue lysate, 40 µg/Lane
Lane 3: Human brain tissue lysate, 40 µg/Lane

Predicted band size: 61 kDa
Observed band size: 59 kDa

Exposure time: 3 minutes;
4-20% SDS-PAGE gel.

Proteins were transferred to a PVDF membrane and blocked with 5% NFDM/TBST for 1 hour at room temperature. The primary antibody (HA721577) at 1/1,000 dilution was used in 5% NFDM/TBST at room temperature for 2 hours. Goat Anti-Rabbit IgG - HRP Secondary Antibody (HA1001) at 1:100,000 dilution was used for 1 hour at room temperature.
HAK21092_6.jpg Fig6: Western blot analysis of Fyn on different lysates with Rabbit anti-Fyn antibody (HA721577) at 1/1,000 dilution.

Lane 1: Mouse lung tissue lysate, 40 µg/Lane
Lane 2: Mouse brain tissue lysate, 40 µg/Lane
Lane 3: Rat brain tissue lysate 40 µg/Lane

Predicted band size: 61 kDa
Observed band size: 59 kDa
Exposure time: 3 minutes;

4-20% SDS-PAGE gel.

Proteins were transferred to a PVDF membrane and blocked with 5% NFDM/TBST for 1 hour at room temperature. The primary antibody (HA721577) at 1/1,000 dilution was used in 5% NFDM/TBST at room temperature for 2 hours. Goat Anti-Rabbit IgG - HRP Secondary Antibody (HA1001) at 1:100,000 dilution was used for 1 hour at room temperature.
HAK21092_7.jpg Fig7: Western blot analysis of Lck on different lysates. Proteins were transferred to a PVDF membrane and blocked with 5% NFDM/TBST for 1 hour at room temperature. The primary antibody (HA500280, 1/1,000) was used in 5% NFDM/TBST at room temperature for 2 hours. Goat Anti-Rabbit IgG - HRP Secondary Antibody (HA1001) at 1:200,000 dilution was used for 1 hour at room temperature.

Positive control:
Lane 1: Rat thymus tissue lysate
Lane 2: Jurkat cell lysate
HAK21092_8.jpg Fig8: Western blot analysis of Lyn on different lysates with Rabbit anti-Lyn antibody (HA721991) at 1/1,000 dilution.

Lane 1: Ramos cell lysate (15 µg/Lane)
Lane 2: A431 cell lysate (15 µg/Lane)
Lane 3: Jurkat cell lysate (15 µg/Lane)
Lane 4: THP-1 cell lysate (15 µg/Lane)
Lane 5: Raji cell lysate (15 µg/Lane)
Lane 6: K-562 cell lysate (15 µg/Lane)
Lane 7: U-937 cell lysate (15 µg/Lane)
Lane 8: Mouse lung tissue lysate (30 µg/Lane)
Lane 9: Rat lung tissue lysate (30 µg/Lane)

Predicted band size: 59 kDa
Observed band size: 55 kDa

Exposure time: 30 seconds;
4-20% SDS-PAGE gel.

Proteins were transferred to a PVDF membrane and blocked with 5% NFDM/TBST for 1 hour at room temperature. The primary antibody (HA721991) at 1/1,000 dilution was used in 5% NFDM/TBST at 4℃ overnight. Goat Anti-Rabbit IgG - HRP Secondary Antibody (HA1001) at 1/50,000 dilution was used for 1 hour at room temperature.
HAK21092_9.jpg Fig9: Western blot analysis of Lyn on different lysates with Rabbit anti-Lyn antibody (HA721991) at 1/2,000 dilution.

Lane 1: A549-si NT cell lysate
Lane 2: A549-si Lyn cell lysate

Lysates/proteins at 10 µg/Lane.

Predicted band size: 59 kDa
Observed band size: 55 kDa

Exposure time: 1 minute; ECL: K1802;
4-20% SDS-PAGE gel.

Proteins were transferred to a PVDF membrane and blocked with 5% NFDM/TBST for 1 hour at room temperature. The primary antibody (HA721991) at 1/2,000 dilution was used in 5% NFDM/TBST at 4℃ overnight. Goat Anti-Rabbit IgG - HRP Secondary Antibody (HA1001) at 1/50,000 dilution was used for 1 hour at room temperature.
HAK21092_10.jpg Fig10: Western blot analysis of Yes1 on different lysates with Rabbit anti-Yes1 antibody (HA721563) at 1/1,000 dilution.

Lane 1: HEK-293 cell lysate
Lane 2: HepG2 cell lysate
Lane 3: HeLa cell lysate
Lane 4: A549 cell lysate

Lysates/proteins at 20 µg/Lane.

Predicted band size: 61 kDa
Observed band size: 61 kDa

Exposure time: 3 minutes;

4-20% SDS-PAGE gel.

Proteins were transferred to a PVDF membrane and blocked with 5% NFDM/TBST for 1 hour at room temperature. The primary antibody (HA721563) at 1/1,000 dilution was used in 5% NFDM/TBST at 4℃ overnight. Goat Anti-Rabbit IgG - HRP Secondary Antibody (HA1001) at 1:100,000 dilution was used for 1 hour at room temperature.
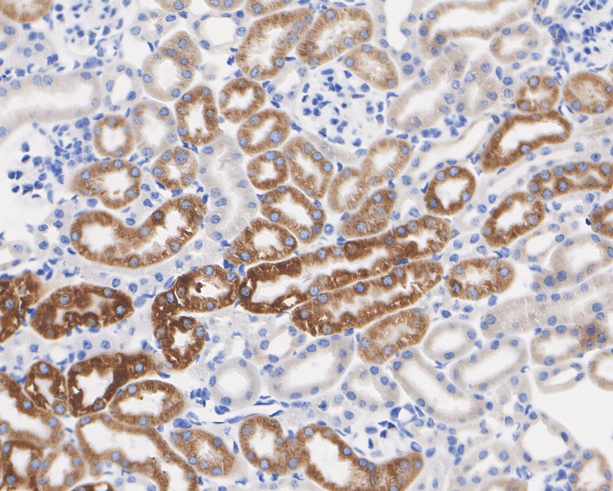
HAK21092_11.jpg Fig11: Immunohistochemical analysis of paraffin-embedded human kidney tissue with Rabbit anti-Yes1 antibody (HA721563) at 1/200 dilution.

The section was pre-treated using heat mediated antigen retrieval with Tris-EDTA buffer (pH 9.0) for 20 minutes. The tissues were blocked in 1% BSA for 20 minutes at room temperature, washed with ddH2O and PBS, and then probed with the primary antibody (HA721563) at 1/200 dilution for 1 hour at room temperature. The detection was performed using an HRP conjugated compact polymer system. DAB was used as the chromogen. Tissues were counterstained with hematoxylin and mounted with DPX.
Note: All products are “FOR RESEARCH USE ONLY AND ARE NOT INTENDED FOR DIAGNOSTIC OR THERAPEUTIC USE”.