Stat3/Stat5 Signaling Antibody Sampler Kit
cat.: HAK21126
Product Type: Antibody Sampler Kit
Species reactivity: Human
Applications: WB
Form: Liquid
Storage condition: Store at +4℃ after thawing. Aliquot store at -20℃. Avoid repeated freeze / thaw cycles.
Storage buffer: 1*TBS (pH7.4), 0.05% BSA, 40% Glycerol. Preservative: 0.05% Sodium Azide.
Uniprot #: SwissProt: P40763 Human | P42227 Mouse | P52631 Rat | P40763 Human | P42227 Mouse | P52631 Rat | P42229 Human | P51692 Human | P42230 Mouse | P42232 Mouse | P52632 Rat | Q62771 Rat | P42229 Human | P51692 Human | P42230 Mouse | P42232 Mouse | P52632 Rat | Q62771 Rat | O60674 Human | Q62120 Mouse | Q62689 Rat | O60674 Human | Q62120 Mouse | Q62689 Rat
Images
HAK21126_1.jpg Fig1: Western blot analysis of Phospho-STAT3 (Y705) on different lysates with Rabbit anti-Phospho-STAT3 (Y705) antibody (ET1603-40) at 1/5,000 dilution and competitor's antibody at 1/1,000 dilution.

Lane 1: HeLa cell lysate
Lane 2: HeLa treated with 50ng/mL IFN alpha 1 for 30 minutes cell lysate
Lane 3: Jurkat cell lysate
Lane 4: Jurkat treated with 50ng/mL IFN alpha 1 for 30 minutes cell lysate
Lane 5: A431 cell lysate
Lane 6: A431 treated with 100ng/mL EGF for 30 minutes cell lysate

Lysates/proteins at 20 µg/Lane.

Predicted band size: 88 kDa
Observed band size: 88 kDa

Exposure time: 35 seconds; ECL: K1801;

4-20% SDS-PAGE gel.

Proteins were transferred to a PVDF membrane and blocked with 5% NFDM/TBST for 1 hour at room temperature. The primary antibody (ET1603-40) at 1/5,000 dilution and competitor's antibody at 1/1,000 dilution were used in 5% NFDM/TBST at 4℃ overnight. Goat Anti-Rabbit IgG - HRP Secondary Antibody (HA1001) at 1:50,000 dilution was used for 1 hour at room temperature.
HAK21126_2.jpg Fig2: Phospho-STAT3 (Y705) was immunoprecipitated from 0.2 mg HeLa treated with 50ng/mL IFN alpha 1 for 30 minutes cell lysate with ET1603-40 at 2 µg/25 µl agarose. Western blot was performed from the immunoprecipitate using ET1603-40 at 1/5,000 dilution. Anti-Rabbit IgG for IP Nano-secondary antibody (NBI01H) at 1/5,000 dilution was used for 1 hour at room temperature.

Lane 1: HeLa treated with 50ng/mL IFN alpha 1 for 30 minutes cell lysate (input)
Lane 2: Rabbit IgG instead of ET1603-40 in HeLa treated with 50ng/mL IFN alpha 1 for 30 minutes cell lysate
Lane 3: ET1603-40 IP in HeLa treated with 50ng/mL IFN alpha 1 for 30 minutes cell lysate

Blocking/Dilution buffer: 5% NFDM/TBST
Exposure time: 24 seconds; ECL: K1802
HAK21126_3.jpg Fig3: Western blot analysis of Phospho-STAT5 (Y694) on different lysates with Rabbit anti-Phospho-STAT5 (Y694) antibody (ET1610-48) at 1/1,000 dilution.

Lane 1: PC-12 cell lysate
Lane 2: PC-12 treated with 1mM Sodium orthovanadate for 30 minutes cell lysate
Lane 3: PC-12 treated with 1mM Sodium orthovanadate for 30 minutes cell lysate, then the membrane treated with λpp for 1 hour

Lysates/proteins at 20 µg/Lane.

Predicted band size: 91 kDa
Observed band size: 91 kDa

Exposure time: 3 minutes;
4-20% SDS-PAGE gel.

Proteins were transferred to a PVDF membrane and blocked with 5% NFDM/TBST for 1 hour at room temperature. The primary antibody (ET1610-48) at 1/1,000 dilution was used in 5% NFDM/TBST at 4℃ overnight. Goat Anti-Rabbit IgG - HRP Secondary Antibody (HA1001) at 1/50,000 dilution was used for 1 hour at room temperature.
HAK21126_4.jpg Fig4: Western blot analysis of STAT 5A+B on different lysates with Rabbit anti-STAT 5A+B antibody (ET1701-45) at 1/1,000 dilution.

Lane 1: A549 cell lysate (10 µg/Lane)
Lane 2: HeLa cell lysate (10 µg/Lane)
Lane 3: NIH/3T3 cell lysate (10 µg/Lane)
Lane 4: PC-12 cell lysate (10 µg/Lane)
Lane 5: Mouse brain tissue lysate (20 µg/Lane)
Lane 6: Mouse testis tissue lysate (20 µg/Lane)
Lane 7: Rat ovary tissue lysate (20 µg/Lane)

Predicted band size: 90 kDa
Observed band size: 90 kDa

Exposure time: 4 seconds; ECL: K1801;

4-20% SDS-PAGE gel.

Proteins were transferred to a PVDF membrane and blocked with 5% NFDM/TBST for 1 hour at room temperature. The primary antibody (ET1701-45) at 1/1,000 dilution was used in 5% NFDM/TBST at 4℃ overnight. Goat Anti-Rabbit IgG - HRP Secondary Antibody (HA1001) at 1/50,000 dilution was used for 1 hour at room temperature.
HAK21126_5.jpg Fig5: Western blot analysis of JAK2 on different lysates with Rabbit anti-JAK2 antibody (ET1607-35) at 1/2,000 dilution.

Lane 1: TF-1 cell lysate
Lane 2: K-562 cell lysate
Lane 3: THP-1 cell lysate
Lane 4: RAW264.7 cell lysate
Lane 5: C6 cell lysate

Lysates/proteins at 15 µg/Lane.

Predicted band size: 131 kDa
Observed band size: 120 kDa

Exposure time: 5 minutes 10 seconds;

4-20% SDS-PAGE gel.

Proteins were transferred to a PVDF membrane and blocked with 5% NFDM/TBST for 1 hour at room temperature. The primary antibody (ET1607-35) at 1/2,000 dilution was used in 5% NFDM/TBST at 4℃ overnight. Goat Anti-Rabbit IgG - HRP Secondary Antibody (HA1001) at 1/50,000 dilution was used for 1 hour at room temperature.
HAK21126_6.jpg Fig6: Immunocytochemistry analysis of HeLa cells labeling STAT3 with Rabbit anti-STAT3 antibody (ET1605-45) at 1/100 dilution.

Cells were fixed in 4% paraformaldehyde for 15 minutes at room temperature, permeabilized with 0.1% Triton X-100 in PBS for 15 minutes at room temperature, then blocked with 1% BSA in 10% negative goat serum for 1 hour at room temperature. Cells were then incubated with Rabbit anti-STAT3 antibody (ET1605-45) at 1/100 dilution in 1% BSA in PBST overnight at 4 ℃. Goat Anti-Rabbit IgG H&L (iFluor™ 488, HA1121) was used as the secondary antibody at 1/1,000 dilution. PBS instead of the primary antibody was used as the secondary antibody only control. Nuclear DNA was labelled in blue with DAPI.

Beta tubulin (HA601187, red) was stained at 1/100 dilution overnight at +4℃. Goat Anti-Mouse IgG H&L (iFluor™ 594, HA1126) was used as the secondary antibody at 1/1,000 dilution.
HAK21126_7.jpg Fig7: Immunocytochemistry analysis of NIH/3T3 cells labeling STAT3 with Rabbit anti-STAT3 antibody (ET1605-45) at 1/100 dilution.

Cells were fixed in 4% paraformaldehyde for 15 minutes at room temperature, permeabilized with 0.1% Triton X-100 in PBS for 15 minutes at room temperature, then blocked with 1% BSA in 10% negative goat serum for 1 hour at room temperature. Cells were then incubated with Rabbit anti-STAT3 antibody (ET1605-45) at 1/100 dilution in 1% BSA in PBST overnight at 4 ℃. Goat Anti-Rabbit IgG H&L (iFluor™ 488, HA1121) was used as the secondary antibody at 1/1,000 dilution. PBS instead of the primary antibody was used as the secondary antibody only control. Nuclear DNA was labelled in blue with DAPI.

Beta tubulin (HA601187, red) was stained at 1/100 dilution overnight at +4℃. Goat Anti-Mouse IgG H&L (iFluor™ 594, HA1126) was used as the secondary antibody at 1/1,000 dilution.
HAK21126_8.jpg Fig8: Immunocytochemistry analysis of PC-12 cells treated with 1mM Sodium orthovanadate for 30 minutes labeling Phospho-STAT5 (Y694) with Rabbit anti-Phospho-STAT5 (Y694) antibody (ET1610-48) at 1/100 dilution.

Cells were fixed in 4% paraformaldehyde for 20 minutes at room temperature, permeabilized with 0.1% Triton X-100 in PBS for 5 minutes at room temperature, then blocked with 1% BSA in 10% negative goat serum for 1 hour at room temperature. Cells were then incubated with Rabbit anti-Phospho-STAT5 (Y694) antibody (ET1610-48) at 1/100 dilution in 1% BSA in PBST overnight at 4 ℃. Goat Anti-Rabbit IgG H&L (iFluor™ 488, HA1121) was used as the secondary antibody at 1/1,000 dilution. PBS instead of the primary antibody was used as the secondary antibody only control. Nuclear DNA was labelled in blue with DAPI.

Beta tubulin (M1305-2, red) was stained at 1/100 dilution overnight at +4℃. Goat Anti-Mouse IgG H&L (iFluor™ 594, HA1126) was used as the secondary antibody at 1/1,000 dilution.
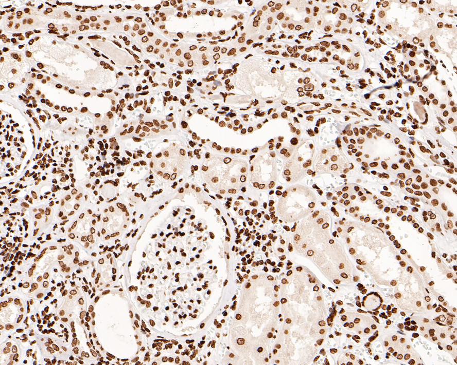
HAK21126_9.jpg Fig9: Immunohistochemical analysis of paraffin-embedded human kidney tissue with Rabbit anti-Phospho-JAK2 (Y1007 + Y1008) antibody (ET1607-34) at 1/500 dilution.

The section was pre-treated using heat mediated antigen retrieval with sodium citrate buffer (pH 6.0) for 2 minutes. The tissues were blocked in 1% BSA for 20 minutes at room temperature, washed with ddH2O and PBS, and then probed with the primary antibody (ET1607-34) at 1/500 dilution for 1 hour at room temperature. The detection was performed using an HRP conjugated compact polymer system. DAB was used as the chromogen. Tissues were counterstained with hematoxylin and mounted with DPX.
HAK21126_10.jpg Fig10: Flow cytometric analysis of HeLa cells labeling STAT3.

Cells were fixed and permeabilized. Then stained with the primary antibody (ET1605-45, 1/1,000) (red) compared with Rabbit IgG Isotype Control (green). After incubation of the primary antibody at +4℃ for an hour, the cells were stained with a iFluor™ 488 conjugate-Goat anti-Rabbit IgG Secondary antibody (HA1121) at 1/1,000 dilution for 30 minutes at +4℃. Unlabelled sample was used as a control (cells without incubation with primary antibody; black).
HAK21126_11.jpg Fig11: Western blot analysis of Phospho-STAT3 (Y705) on different lysates with Rabbit anti-Phospho-STAT3 (Y705) antibody (ET1603-40) at 1/1,000 dilution.

Lane 1: M‑NFS‑60 cell lysate
Lane 2: RAW264.7 cell lysate
Lane 3: C2C12 cell lysate
Lane 4: L6 cell lysate
Lane 2: Mouse heart tissue lysate

Cell ysates/proteins at 20 µg/Lane.
Tissue ysates/proteins at 20 µg/Lane.

Predicted band size: 88 kDa
Observed band size: 88 kDa

Exposure time: 25 seconds; ECL: K1801;

4-20% SDS-PAGE gel.

Proteins were transferred to a PVDF membrane and blocked with 5% NFDM/TBST for 1 hour at room temperature. The primary antibody (ET1603-40) at 1/1,000 dilution was used in 5% NFDM/TBST at 4℃ overnight. Goat Anti-Rabbit IgG - HRP Secondary Antibody (HA1001) at 1/50,000 dilution was used for 1 hour at room temperature.
HAK21126_12.jpg Fig12: Western blot analysis of Phospho-STAT5(Y694) on Hela cell lysates.

Lane 1: Hela cells, whole cell lysate, 10ug/lane
Lane 2/3: Hela cells treated with 100ng/mL IFN alpha for 60 minutes, whole cell lysates, 10ug/lane
Lane 4: Hela cells treated with 100ng/mL IFN alpha for 60 minutes, then treated with 2.8ug/ul lambda-PP for 30 minutes, whole cell lysates, 10ug/lane

All lanes :
Anti-Phospho-STAT5(Y694) antibody (ET1610-48) at 1:500 dilution. Anti-STAT5 antibody (ET1612-63) at 1:500 dilution. Anti-GAPDH antibody (ET1601-4) at 1:10,000 dilution. Goat Anti-Rabbit IgG H&L (HRP) (HA1001) at 1/200,000 dilution.

Predicted band size: 91 kDa
Observed band size: 91 kDa

Blocking and diluting buffer: 5% BSA.
Exposure time: 2 minutes 2 seconds
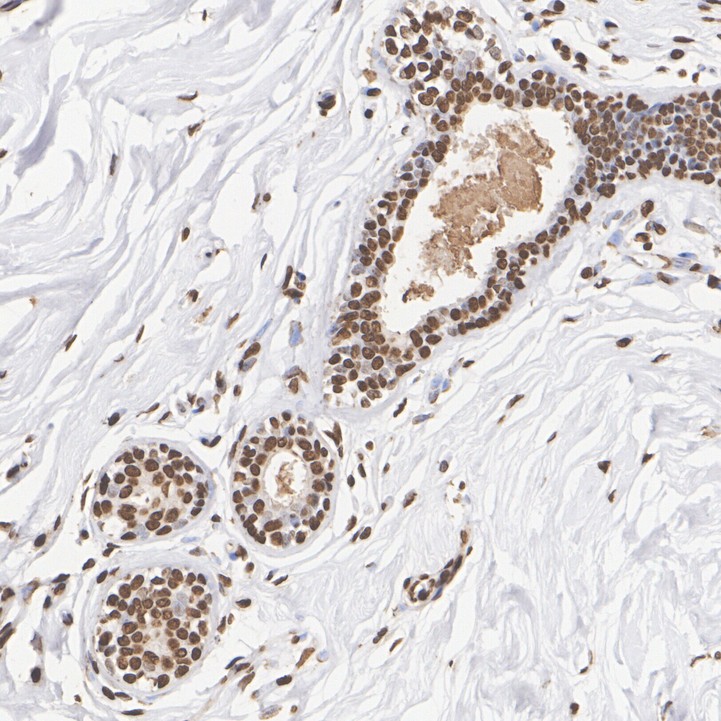
HAK21126_13.jpg Fig13: Immunohistochemical analysis of paraffin-embedded human breast cancer tissue with Rabbit anti-Phospho-STAT5 (Y694) antibody (ET1610-48) at 1/30,000 dilution.

The section was pre-treated using heat mediated antigen retrieval with sodium citrate buffer (pH 6.0) for 2 minutes. The tissues were blocked in 1% BSA for 20 minutes at room temperature, washed with ddH2O and PBS, and then probed with the primary antibody (ET1610-48) at 1/30,000 dilution for 1 hour at room temperature. The detection was performed using an HRP conjugated compact polymer system. DAB was used as the chromogen. Tissues were counterstained with hematoxylin and mounted with DPX.
HAK21126_14.jpg Fig14: Immunocytochemistry analysis of PC-12 cells labeling STAT 5A+B with Rabbit anti-STAT 5A+B antibody (ET1701-45) at 1/100 dilution.

Cells were fixed in 4% paraformaldehyde for 15 minutes at room temperature, permeabilized with 0.1% Triton X-100 in PBS for 15 minutes at room temperature, then blocked with 1% BSA in 10% negative goat serum for 1 hour at room temperature. Cells were then incubated with Rabbit anti-STAT 5A+B antibody (ET1701-45) at 1/100 dilution in 1% BSA in PBST overnight at 4 ℃. Goat Anti-Rabbit IgG H&L (iFluor™ 488, HA1121) was used as the secondary antibody at 1/1,000 dilution. PBS instead of the primary antibody was used as the secondary antibody only control. Nuclear DNA was labelled in blue with DAPI.

Beta tubulin (HA601187, red) was stained at 1/100 dilution overnight at +4℃. Goat Anti-Mouse IgG H&L (iFluor™ 594, HA1126) was used as the secondary antibody at 1/1,000 dilution.
Note: All products are “FOR RESEARCH USE ONLY AND ARE NOT INTENDED FOR DIAGNOSTIC OR THERAPEUTIC USE”.