ATRX/Daxx Antibody Sampler Kit
cat.: HAK21138
Product Type: Antibody Sampler Kit
Species reactivity: Human
Applications: WB
Form: Liquid
Storage condition: Store at +4℃ after thawing. Aliquot store at -20℃. Avoid repeated freeze / thaw cycles.
Storage buffer: 1*TBS (pH7.4), 0.05% BSA, 40% Glycerol. Preservative: 0.05% Sodium Azide.
Uniprot #: SwissProt: P68431 Human | P84243 Human | Q16695 Human | Q6NXT2 Human | Q71DI3 Human | P68433 Mouse | P84228 Mouse | Q6LED0 Rat | P68431 Human | P68433 Mouse | Q6LED0 Rat | P46100 Human | Q61687 Mouse | Q9UER7 Human
Images
HAK21138_1.jpg Fig1: Western blot analysis of Histone H3 on different lysates with Rabbit anti-Histone H3 antibody (ET1701-64) at 1/20,000 dilution and competitor's antibody at 1/5,000 dilution.

Lane 1: HeLa cell lysate
Lane 2: A549 cell lysate
Lane 3: HT-29 cell lysate
Lane 4: HEK-293 cell lysate
Lane 5: C2C12 cell lysate
Lane 6: L-929 cell lysate
Lane 7: C6 cell lysate

Lysates/proteins at 10 µg/Lane.

Predicted band size: 15 kDa
Observed band size: 15 kDa

Exposure time: 18 seconds; ECL: K1801;

4-20% SDS-PAGE gel.

Proteins were transferred to a PVDF membrane and blocked with 5% NFDM/TBST for 1 hour at room temperature. The primary antibody (ET1701-64) at 1/20,000 dilution and competitor's antibody at 1/5,000 dilution were used in 5% NFDM/TBST at 4℃ overnight. Goat Anti-Rabbit IgG - HRP Secondary Antibody (HA1001) at 1/50,000 dilution was used for 1 hour at room temperature.
HAK21138_2.jpg Fig2: Western blot analysis of Histone H3 (tri methyl K9) on different lysates with Mouse anti-Histone H3 (tri methyl K9) antibody (M1112-3) at 1/1,000 dilution.

Lane 1: F9 cell lysate
Lane 2: PC-12 cell lysate
Lane 3: NCCIT cell lysate

Lysates/proteins at 10 µg/Lane.

Predicted band size: 15 kDa
Observed band size: 15 kDa

Exposure time: minute;

15% SDS-PAGE gel.

Proteins were transferred to a PVDF membrane and blocked with 5% NFDM/TBST for 1 hour at room temperature. The primary antibody (M1112-3) at 1/1,000 dilution was used in 5% NFDM/TBST at room temperature for 2 hours. Goat Anti-Mouse IgG - HRP Secondary Antibody (HA1006) at 1:100,000 dilution was used for 1 hour at room temperature.
HAK21138_3.jpg Fig3: Western blot analysis of ATRX on different lysates with Mouse anti-ATRX antibody (M1311-2) at 1/1,000 dilution.

Lane 1: SH-SY5Y cell lysate
Lane 2: U-2 OS cell lysate (negative)

Lysates/proteins at 30 µg/Lane.

Predicted band size: 283 kDa
Observed band size: 400 kDa

Exposure time: 10 seconds; ECL: K1801;

4-20% SDS-PAGE gel.

Proteins were transferred to a PVDF membrane and blocked with 5% NFDM/TBST for 1 hour at room temperature. The primary antibody (M1311-2) at 1/1,000 dilution was used in 5% NFDM/TBST at 4℃ overnight. Goat Anti-Mouse IgG - HRP Secondary Antibody (HA1006) at 1/50,000 dilution was used for 1 hour at room temperature.
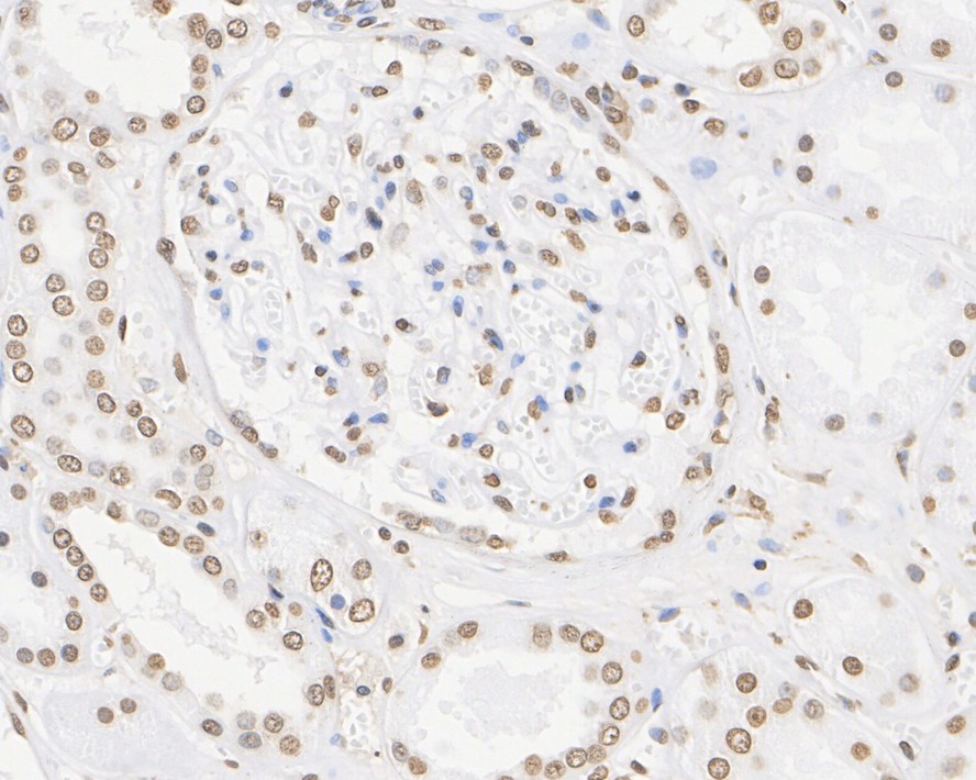
HAK21138_4.jpg Fig4: Immunohistochemical analysis of paraffin-embedded human kidney tissue with Rabbit anti-Histone H3 antibody (ET1701-64) at 1/10,000 dilution.

The section was pre-treated using heat mediated antigen retrieval with sodium citrate buffer (pH 6.0) for 2 minutes. The tissues were blocked in 1% BSA for 20 minutes at room temperature, washed with ddH2O and PBS, and then probed with the primary antibody (ET1701-64) at 1/10,000 dilution for 1 hour at room temperature. The detection was performed using an HRP conjugated compact polymer system. DAB was used as the chromogen. Tissues were counterstained with hematoxylin and mounted with DPX.
HAK21138_5.jpg Fig5: Immunofluorescence analysis of paraffin-embedded rat testis tissue labeling Histone H3 with Rabbit anti-Histone H3 antibody (ET1701-64) at 1/100 dilution.

The section was pre-treated using heat mediated antigen retrieval with sodium citrate buffer (pH 6.0) for 2 minutes. The tissues were blocked in 10% negative goat serum for 1 hour at room temperature, washed with PBS, and then probed with the primary antibody (ET1701-64, green) at 1/100 dilution overnight at 4 ℃, washed with PBS. Goat Anti-Rabbit IgG H&L (iFluor™ 488, HA1121) was used as the secondary antibody at 1/1,000 dilution. Nuclei were counterstained with DAPI (blue).
HAK21138_6.jpg Fig6: Histone H3 was immunoprecipitated in 0.2mg HeLa cell lysate with ET1701-64 at 2 µg/25 µl agarose. Western blot was performed from the immunoprecipitate using ET1701-64 at 1/20,000 dilution. Anti-Rabbit IgG for IP Nano-secondary antibody (NBI01H) at 1/5,000 dilution was used for 1 hour at room temperature.

Lane 1: HeLa cell lysate (input)
Lane 2: ET1701-64 IP in HeLa cell lysate
Lane 3: Rabbit IgG instead of ET1701-64 in HeLa cell lysate

Blocking/Dilution buffer: 5% NFDM/TBST
Exposure time: 1 minute 59 seconds; ECL: K1801
HAK21138_7.jpg Fig7: Immunocytochemistry analysis of NIH/3T3 cells labeling Histone H3 (tri methyl K9) with Mouse anti-Histone H3 (tri methyl K9) antibody (M1112-3) at 1/250 dilution.

Cells were fixed in 4% paraformaldehyde for 20 minutes at room temperature, permeabilized with 0.1% Triton X-100 in PBS for 5 minutes at room temperature, then blocked with 1% BSA in 10% negative goat serum for 1 hour at room temperature. Cells were then incubated with Mouse anti-Histone H3 (tri methyl K9) antibody (M1112-3) at 1/250 dilution in 1% BSA in PBST overnight at 4 ℃. Goat Anti-Mouse IgG H&L (iFluor™ 488, HA1125) was used as the secondary antibody at 1/1,000 dilution. PBS instead of the primary antibody was used as the secondary antibody only control. Nuclear DNA was labelled in blue with DAPI.

beta Tubulin (ET1602-4, red) was stained at 1/100 dilution overnight at +4℃. Goat Anti-Rabbit IgG H&L (iFluor™ 594, HA1122) were used as the secondary antibody at 1/1,000 dilution.
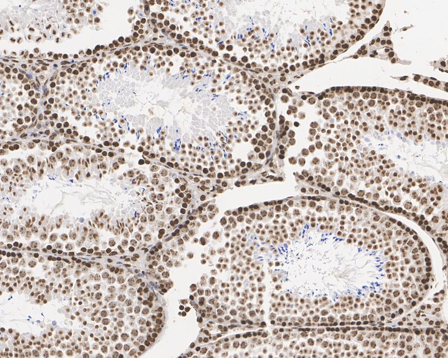
HAK21138_8.jpg Fig8: Immunohistochemical analysis of paraffin-embedded mouse testis tissue with Mouse anti-Histone H3 (tri methyl K9) antibody (M1112-3) at 1/1,000 dilution.

The section was pre-treated using heat mediated antigen retrieval with sodium citrate buffer (pH 6.0) for 2 minutes. The tissues were blocked in 1% BSA for 20 minutes at room temperature, washed with ddH2O and PBS, and then probed with the primary antibody (M1112-3) at 1/1,000 dilution for 1 hour at room temperature. The detection was performed using an HRP conjugated compact polymer system. DAB was used as the chromogen. Tissues were counterstained with hematoxylin and mounted with DPX.
HAK21138_9.jpg Fig9: Immunocytochemistry analysis of NIH/3T3 cells labeling ATRX with Mouse anti-ATRX antibody (M1311-2) at 1/100 dilution.

Cells were fixed in 4% paraformaldehyde for 15 minutes at room temperature, permeabilized with 0.1% Triton X-100 in PBS for 15 minutes at room temperature, then blocked with 1% BSA in 10% negative goat serum for 1 hour at room temperature. Cells were then incubated with Mouse anti-ATRX antibody (M1311-2) at 1/100 dilution in 1% BSA in PBST overnight at 4 ℃. Goat Anti-Mouse IgG H&L (iFluor™ 488, HA1125) was used as the secondary antibody at 1/1,000 dilution. PBS instead of the primary antibody was used as the secondary antibody only control. Nuclear DNA was labelled in blue with DAPI.

beta Tubulin (ET1602-4, red) was stained at 1/100 dilution overnight at +4℃. Goat Anti-Rabbit IgG H&L (iFluor™ 594, HA1122) were used as the secondary antibody at 1/1,000 dilution.
Note: All products are “FOR RESEARCH USE ONLY AND ARE NOT INTENDED FOR DIAGNOSTIC OR THERAPEUTIC USE”.