N6-mA Methyltransferase Antibody Sampler Kit
cat.: HAK21142
Product Type: Antibody Sampler Kit
Species reactivity: Human
Applications: WB
Form: Liquid
Storage condition: Store at +4℃ after thawing. Aliquot store at -20℃. Avoid repeated freeze / thaw cycles.
Storage buffer: 1*TBS (pH7.4), 0.05% BSA, 40% Glycerol. Preservative: 0.05% Sodium Azide.
Uniprot #: SwissProt: Q69YN4 Human | Q86U44 Human | Q8C3P7 Mouse | Q15007 Human | Q9ER69 Mouse | Q9HCE5 Human | Q3UIK4 Mouse
Entrez Gene: 313061 Rat | 361035 Rat | 499020 Rat | 295428 Rat
Images
HAK21142_1.jpg Fig1: Western blot analysis of METTL3 on different lysates with Rabbit anti-METTL3 antibody (HA720002) at 1/1,000 dilution.

Lane 1: Jurkat cell lysate (20 µg/Lane)
Lane 2: Neuro-2a cell lysate (20 µg/Lane)
Lane 3: PC-12 cell lysate (20 µg/Lane)
Lane 4: Human brain tissue lysate (20 µg/Lane)
Lane 5: Mouse brain tissue lysate (20 µg/Lane)
Lane 6: Rat brain tissue lysate (20 µg/Lane)

Predicted band size: 64 kDa
Observed band size: 72 kDa

Exposure time: 26 seconds; ECL: K1801;
4-20% SDS-PAGE gel.

Proteins were transferred to a PVDF membrane and blocked with 5% NFDM/TBST for 1 hour at room temperature. The primary antibody (HA720002) at 1/1,000 dilution was used in 5% NFDM/TBST at 4℃ overnight. Goat Anti-Rabbit IgG - HRP Secondary Antibody (HA1001) at 1/50,000 dilution was used for 1 hour at room temperature.
HAK21142_2.jpg Fig2: Western blot analysis of METTL3 on different lysates with Rabbit anti-METTL3 antibody (HA720002) at 1/1,000 dilution.

Lane 1: HeLa cell lysate (20 µg/Lane)
Lane 2: F9 cell lysate (20 µg/Lane)
Lane 3: PC-12 cell lysate (20 µg/Lane)
Lane 4: Mouse heart tissue lysate (40 µg/Lane)
Lane 5: Rat heart tissue lysate (40 µg/Lane)
Lane 6: Mouse spleen tissue lysate (40 µg/Lane)
Lane 7: Rat spleen tissue lysate (40 µg/Lane)

Predicted band size: 64 kDa
Observed band size: 72 kDa

Exposure time: 25 seconds; ECL: K1801;
4-20% SDS-PAGE gel.

Proteins were transferred to a PVDF membrane and blocked with 5% NFDM/TBST for 1 hour at room temperature. The primary antibody (HA720002) at 1/1,000 dilution was used in 5% NFDM/TBST at 4℃ overnight. Goat Anti-Rabbit IgG - HRP Secondary Antibody (HA1001) at 1/50,000 dilution was used for 1 hour at room temperature.
HAK21142_3.jpg Fig3: Western blot analysis of WTAP on different lysates with Rabbit anti-WTAP antibody (HA500525) at 1/1,000 dilution.

Lane 1: K562 cell lysate (12.5 µg/Lane)
Lane 2: Jurkat cell lysate (10 µg/Lane)
Lane 3: Hela cell lysate (10 µg/Lane)
Lane 4: HepG2 cell lysate (10 µg/Lane)
Lane 5: 293T cell lysate (10 µg/Lane)
Lane 6: NIH/3T3 cell lysate (10 µg/Lane)
Lane 7: PC-12 cell lysate (10 µg/Lane)

Predicted band size: 44 kDa
Observed band size: 55 kDa

Exposure time: 30 seconds;
4-20% SDS-PAGE gel.

Proteins were transferred to a PVDF membrane and blocked with 5% NFDM/TBST for 1 hour at room temperature. The primary antibody (HA500525) at 1/1,000 dilution was used in 5% NFDM/TBST at room temperature for 2 hours. Goat Anti-Rabbit IgG - HRP Secondary Antibody (HA1001) at 1:200,000 dilution was used for 1 hour at room temperature.
HAK21142_4.jpg Fig4: Western blot analysis of METTL14 on different lysates with Rabbit anti-METTL14 antibody (HA722910) at 1/5,000 dilution.

Lane 1: A431 cell lysate (20 µg/Lane)
Lane 2: Raji cell lysate (20 µg/Lane)
Lane 3: PC-12 cell lysate (20 µg/Lane)
Lane 4: COS-1 cell lysate (20 µg/Lane)
Lane 5: Mouse testis tissue lysate (40 µg/Lane)
Lane 6: Rat testis tissue lysate (40 µg/Lane)

Predicted band size: 52 kDa
Observed band size: 60 kDa

Exposure time: 30 seconds; ECL: K1801;
4-20% SDS-PAGE gel.

Proteins were transferred to a PVDF membrane and blocked with 5% NFDM/TBST for 1 hour at room temperature. The primary antibody (HA722910) at 1/5,000 dilution was used in 5% NFDM/TBST at 4℃ overnight. Goat Anti-Rabbit IgG - HRP Secondary Antibody (HA1001) at 1/50,000 dilution was used for 1 hour at room temperature.
HAK21142_5.jpg Fig5: Western blot analysis of VIRMA on different lysates with Rabbit anti-VIRMA antibody (HA722972) at 1/2,000 dilution.

Lane 1: K-562 cell lysate (20 µg/Lane)
Lane 2: MCF7 cell lysate (20 µg/Lane)
Lane 3: HeLa cell lysate (20 µg/Lane)
Lane 4: PC-3 cell lysate (20 µg/Lane)
Lane 5: T-47D cell lysate (20 µg/Lane)
Lane 6: SK-OV-3 cell lysate (20 µg/Lane)
Lane 7: COS-1 cell lysate (20 µg/Lane)
Lane 8: PC-12 cell lysate (20 µg/Lane)
Lane 9: C6 cell lysate (20 µg/Lane)

Predicted band size: 202 kDa
Observed band size: 240 kDa

Exposure time: 10 seconds; ECL: K1801;
4-20% SDS-PAGE gel.

Proteins were transferred to a PVDF membrane and blocked with 5% NFDM/TBST for 1 hour at room temperature. The primary antibody (HA722972) at 1/2,000 dilution was used in 5% NFDM/TBST at 4℃ overnight. Goat Anti-Rabbit IgG - HRP Secondary Antibody (HA1001) at 1/50,000 dilution was used for 1 hour at room temperature.
HAK21142_6.jpg Fig6: VIRMA was immunoprecipitated from 0.2 mg K-562 cell lysate with HA722972 at 2 µg/25 µl agarose. Western blot was performed from the immunoprecipitate using HA722972 at 1/1,000 dilution. Mouse Anti-Rabbit IgG kappa light chain secondary antibody (M1208-2) at 1/5,000 dilution was used for 1 hour at room temperature.

Lane 1: K-562 cell lysate (input)
Lane 2: HA722972 IP in K-562 cell lysate
Lane 3: Rabbit IgG instead of HA722972 in K-562 cell lysate

Blocking/Dilution buffer: 5% NFDM/TBST
Exposure time: 41 seconds; ECL: K1801
HAK21142_7.jpg Fig7: METTL14 was immunoprecipitated from 0.2 mg A431 cell lysate with HA722910 at 2 µg/25 µl agarose. Western blot was performed from the immunoprecipitate using HA722910 at 1/5,000 dilution. Anti-Rabbit IgG for IP Nano-secondary antibody (NBI01H) at 1/5,000 dilution was used for 1 hour at room temperature.

Lane 1: A431 cell lysate (input)
Lane 2: HA722910 IP in A431 cell lysate
Lane 3: Rabbit IgG instead of HA722910 in A431 cell lysate

Blocking/Dilution buffer: 5% NFDM/TBST
Exposure time: 1 minute; ECL: K1801
HAK21142_8.jpg Fig8: Immunohistochemical analysis of paraffin-embedded human colon cancer tissue with Rabbit anti-VIRMA antibody (HA722972) at 1/1,000 dilution.

The section was pre-treated using heat mediated antigen retrieval with Tris-EDTA buffer (pH 9.0) for 20 minutes. The tissues were blocked in 1% BSA for 20 minutes at room temperature, washed with ddH2O and PBS, and then probed with the primary antibody (HA722972) at 1/1,000 dilution for 1 hour at room temperature. The detection was performed using an HRP conjugated compact polymer system. DAB was used as the chromogen. Tissues were counterstained with hematoxylin and mounted with DPX.
HAK21142_9.jpg Fig9: Immunohistochemical analysis of paraffin-embedded mouse testis tissue with Rabbit anti-METTL3 antibody (HA720002) at 1/1,000 dilution.

The section was pre-treated using heat mediated antigen retrieval with sodium citrate buffer (pH 6.0) for 2 minutes. The tissues were blocked in 1% BSA for 20 minutes at room temperature, washed with ddH2O and PBS, and then probed with the primary antibody (HA720002) at 1/1,000 dilution for 1 hour at room temperature. The detection was performed using an HRP conjugated compact polymer system. DAB was used as the chromogen. Tissues were counterstained with hematoxylin and mounted with DPX.
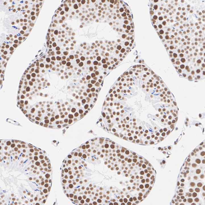
HAK21142_10.jpg Fig10: Immunohistochemical analysis of paraffin-embedded mouse testis tissue with Rabbit anti-METTL14 antibody (HA722910) at 1/1,000 dilution.

The section was pre-treated using heat mediated antigen retrieval with sodium citrate buffer (pH 6.0) for 2 minutes. The tissues were blocked in 1% BSA for 20 minutes at room temperature, washed with ddH2O and PBS, and then probed with the primary antibody (HA722910) at 1/1,000 dilution for 1 hour at room temperature. The detection was performed using an HRP conjugated compact polymer system. DAB was used as the chromogen. Tissues were counterstained with hematoxylin and mounted with DPX.
HAK21142_11.jpg Fig11: Flow cytometric analysis of HeLa cells labeling VIRMA.

Cells were fixed and permeabilized. Then stained with the primary antibody (HA722972, 1/1,000) (red) compared with Rabbit IgG Isotype Control (green). After incubation of the primary antibody at +4℃ for an hour, the cells were stained with a iFluor™ 488 conjugate-Goat anti-Rabbit IgG Secondary antibody (HA1121) at 1/1,000 dilution for 30 minutes at +4℃. Unlabelled sample was used as a control (cells without incubation with primary antibody; black).
Note: All products are “FOR RESEARCH USE ONLY AND ARE NOT INTENDED FOR DIAGNOSTIC OR THERAPEUTIC USE”.