IAP Family Antibody Sampler Kit
cat.: HAK21148
Product Type: Antibody Sampler Kit
Species reactivity: Human
Applications: WB
Form: Liquid
Storage condition: Store at +4℃ after thawing. Aliquot store at -20℃. Avoid repeated freeze / thaw cycles.
Storage buffer: 1*TBS (pH7.4), 0.05% BSA, 40% Glycerol. Preservative: 0.05% Sodium Azide.
Uniprot #: SwissProt: Q13490 Human | Q62210 Mouse | Q13489 Human | P98170 Human | Q60989 Mouse | Q9R0I6 Rat | Q96CA5 Human | O15392 Human | O70201 Mouse | Q9JHY7 Rat
Entrez Gene: 60371 Rat
Images
HAK21148_1.jpg Fig1: Western blot analysis of cIAP2 on different lysates with Rabbit anti-cIAP2 antibody (HA722767) at 1/2,000 dilution.

Lane 1: Raji cell lysate
Lane 2: Daudi cell lysate
Lane 3: Ramos cell lysate
Lane 4: NCI-H1299 cell lysate

Lysates/proteins at 20 µg/Lane.

Predicted band size: 68 kDa
Observed band size: 70 kDa
Exposure time: 3 minutes; ECL: K1801;
4-20% SDS-PAGE gel.

Proteins were transferred to a PVDF membrane and blocked with 5% NFDM/TBST for 1 hour at room temperature. The primary antibody (HA722767) at 1/2,000 dilution was used in 5% NFDM/TBST at 4℃ overnight. Goat Anti-Rabbit IgG - HRP Secondary Antibody (HA1001) at 1/50,000 dilution was used for 1 hour at room temperature.
HAK21148_2.jpg Fig2: Western blot analysis of cIAP1 on different lysates with Rabbit anti-cIAP1 antibody (HA722744) at 1/2,000 dilution.

Lane 1: TF-1 cell lysate (20 µg/Lane)
Lane 2: HepG2 cell lysate (20 µg/Lane)
Lane 3: HeLa cell lysate (20 µg/Lane)
Lane 4: THP-1 cell lysate (20 µg/Lane)
Lane 5: Jurkat cell lysate (20 µg/Lane)
Lane 6: A549 cell lysate (20 µg/Lane)
Lane 7: HEK-293 cell lysate (20 µg/Lane)
Lane 8: Mouse testis tissue lysate (40 µg/Lane)
Lane 9: Mouse brain tissue lysate (40 µg/Lane)

Predicted band size: 70 kDa
Observed band size: 70 kDa
Exposure time: 3 minutes; ECL: K1802;
4-20% SDS-PAGE gel.

Proteins were transferred to a PVDF membrane and blocked with 5% NFDM/TBST for 1 hour at room temperature. The primary antibody (HA722744) at 1/2,000 dilution was used in 5% NFDM/TBST at 4℃ overnight. Goat Anti-Rabbit IgG - HRP Secondary Antibody (HA1001) at 1/50,000 dilution was used for 1 hour at room temperature.
HAK21148_3.jpg Fig3: Western blot analysis of XIAP on different lysates with Rabbit anti-XIAP antibody (HA722113) at 1/2,000 dilution and competitor's antibody at 1/2,000 dilution.

Lane 1: 293T cell lysate (20 µg/Lane)
Lane 2: MCF7 cell lysate (20 µg/Lane)
Lane 3: HT-29 cell lysate (20 µg/Lane)
Lane 4: A549 cell lysate (20 µg/Lane)
Lane 5: HeLa cell lysate (20 µg/Lane)
Lane 6: COS-1 cell lysate (20 µg/Lane)
Lane 7: NIH/3T3 cell lysate (20 µg/Lane)
Lane 8: PC-12 cell lysate (20 µg/Lane)
Lane 9: Mouse brain tissue lysate (20 µg/Lane)
Lane 10: Rat brain tissue lysate (20 µg/Lane)

Predicted band size: 57 kDa
Observed band size: 50 kDa
Exposure time: Lane 1-10 (left): 20 seconds; Lane 1-10 (right): 3 minutes; ECL: K1801; 4-20% SDS-PAGE gel.

Proteins were transferred to a PVDF membrane and blocked with 5% NFDM/TBST for 1 hour at room temperature. The primary antibody (HA722113) at 1/2,000 dilution and competitor's antibody at 1/2,000 dilution were used in 5% NFDM/TBST at 4℃ overnight. Goat Anti-Rabbit IgG - HRP Secondary Antibody (HA1001) at 1/50,000 dilution was used for 1 hour at room temperature.
HAK21148_4.jpg Fig4: Western blot analysis of XIAP with Rabbit anti-XIAP antibody (HA722113) at 1/2,000 dilution.

Lane 1: Wild-type Caco-2 whole cell lysate (10 µg/Lane)
Lane 2/3: XIAP knockdown Caco-2 whole cell lysate (10 µg/Lane)

Predicted band size: 57 kDa
Observed band size: 50 kDa
Exposure time: 1 minute; ECL: K1801; 4-20% SDS-PAGE gel.

HA722113 was shown to specifically react with XIAP in wild-type Caco-2 cells. Weakened bands were observed when XIAP knockdown samples were tested. Wild-type and XIAP knockdown samples were subjected to SDS-PAGE. Proteins were transferred to a PVDF membrane and blocked with 5% NFDM in TBST for 1 hour at room temperature. The primary antibody (HA722113) at 1/2,000 dilution were used in 5% NFDM/TBST at 4℃ overnight. Goat Anti-Rabbit IgG - HRP Secondary Antibody (HA1001) at 1/50,000 dilution was used for 1 hour at room temperature.
HAK21148_5.jpg Fig5: Western blot analysis of Livin on different lysates with Rabbit anti-Livin antibody (HA723483) at 1/5,000 dilution.

Lane 1: SK-MEL-28 cell lysate
Lane 2: HeLa cell lysate (negative)

Lysates/proteins at 20 µg/Lane.

Predicted band size: 33 kDa
Observed band size: 35 kDa

Exposure time: 30 seconds; ECL: K1801;
4-20% SDS-PAGE gel.

Proteins were transferred to a PVDF membrane and blocked with 5% NFDM/TBST for 1 hour at room temperature. The primary antibody (HA723483) at 1/5,000 dilution was used in 5% NFDM/TBST at 4℃ overnight. Goat Anti-Rabbit IgG - HRP Secondary Antibody (HA1001) at 1/50,000 dilution was used for 1 hour at room temperature.
HAK21148_6.jpg Fig6: Western blot analysis of Survivin on different lysates with Rabbit anti-Survivin antibody (ET1604-34) at 1/1,000 dilution.

Lane 1: Jurkat cell lysate
Lane 2: HeLa cell lysate
Lane 3: 293T cell lysate
Lane 4: RAW264.7 cell lysate
Lane 5: NIH/3T3 cell lysate
Lane 6: C6 cell lysate
Lane 7: PC-12 cell lysate

Lysates/proteins at 20 µg/Lane.

Predicted band size: 16 kDa
Observed band size: 16 kDa

Exposure time: 2 minutes; ECL: K1801;

4-20% SDS-PAGE gel.

Proteins were transferred to a PVDF membrane and blocked with 5% NFDM/TBST for 1 hour at room temperature. The primary antibody (ET1604-34) at 1/1,000 dilution was used in 5% NFDM/TBST at 4℃ overnight. Goat Anti-Rabbit IgG - HRP Secondary Antibody (HA1001) at 1/50,000 dilution was used for 1 hour at room temperature.
HAK21148_7.jpg Fig7: Western blot analysis of Survivin on different lysates with Rabbit anti-Survivin antibody (ET1604-34) at 1/1,000 dilution.

Lane 1: HeLa cell lysate
Lane 2: HeLa treated with 100ng/mL Nocodazole for 18 hours cell lysate
Lane 3: NIH/3T3 cell lysate
Lane 4: NIH/3T3 treated with 100ng/mL Nocodazole for 18 hours cell lysate

Lysates/proteins at 20 µg/Lane.

Predicted band size: 16 kDa
Observed band size: 16 kDa

Exposure time: Lane 1-2: 30 seconds; Lane 3-4: 1 minute 2 seconds; ECL: K1801;

4-20% SDS-PAGE gel.

Proteins were transferred to a PVDF membrane and blocked with 5% NFDM/TBST for 1 hour at room temperature. The primary antibody (ET1604-34) at 1/1,000 dilution was used in primary antibody dilution (K1803) at 4℃ overnight. Goat Anti-Rabbit IgG - HRP Secondary Antibody (HA1001) at 1/50,000 dilution was used for 1 hour at room temperature.
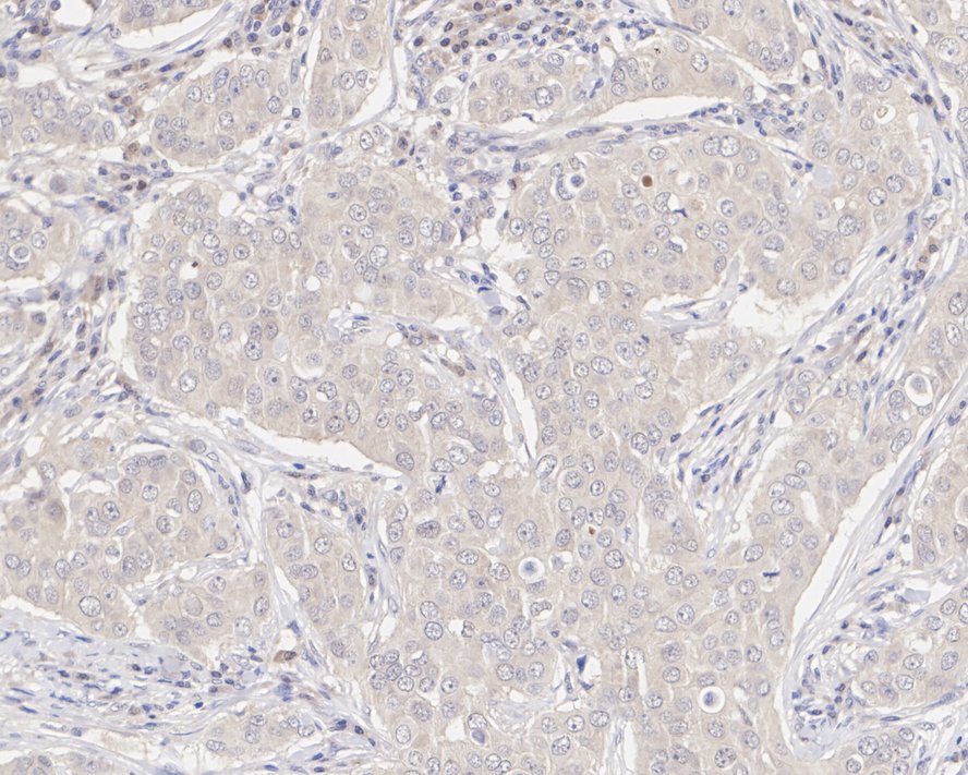
HAK21148_8.jpg Fig8: Immunohistochemical analysis of paraffin-embedded human breast cancer tissue with Rabbit anti-XIAP antibody (HA722113) at 1/50 dilution.

The section was pre-treated using heat mediated antigen retrieval with sodium citrate buffer (pH 6.0) (high pressure) for 2 minutes. The tissues were blocked in 1% BSA for 20 minutes at room temperature, washed with ddH2O and PBS, and then probed with the primary antibody (HA722113) at 1/50 dilution for 1 hour at room temperature. The detection was performed using an HRP conjugated compact polymer system. DAB was used as the chromogen. Tissues were counterstained with hematoxylin and mounted with DPX.
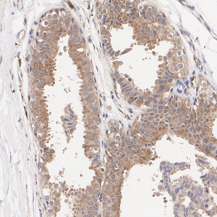
HAK21148_9.jpg Fig9: Immunohistochemical analysis of paraffin-embedded human breast cancer tissue with Rabbit anti-Livin antibody (HA723483) at 1/2,000 dilution.

The section was pre-treated using heat mediated antigen retrieval with Tris-EDTA buffer (pH 9.0) for 20 minutes. The tissues were blocked in 1% BSA for 20 minutes at room temperature, washed with ddH2O and PBS, and then probed with the primary antibody (HA723483) at 1/2,000 dilution for 1 hour at room temperature. The detection was performed using an HRP conjugated compact polymer system. DAB was used as the chromogen. Tissues were counterstained with hematoxylin and mounted with DPX.
HAK21148_10.jpg Fig10: Flow cytometric analysis of RAW264.7 cells labeling Survivin.

Cells were fixed and permeabilized. Then stained with the primary antibody (ET1604-34, 1/1,000) (red) compared with Rabbit IgG Isotype Control (green). After incubation of the primary antibody at +4℃ for an hour, the cells were stained with a iFluor™ 488 conjugate-Goat anti-Rabbit IgG Secondary antibody (HA1121) at 1/1,000 dilution for 30 minutes at +4℃. Unlabelled sample was used as a control (cells without incubation with primary antibody; black).
Note: All products are “FOR RESEARCH USE ONLY AND ARE NOT INTENDED FOR DIAGNOSTIC OR THERAPEUTIC USE”.