Type II keratin Antibody Sampler Kit Antibody Sampler Kit
cat.: HAK21151
Product Type: Antibody Sampler Kit
Species reactivity: Human
Applications: WB
Form: Liquid
Storage condition: Store at +4℃ after thawing. Aliquot store at -20℃. Avoid repeated freeze / thaw cycles.
Storage buffer: 1*TBS (pH7.4), 0.05% BSA, 40% Glycerol. Preservative: 0.05% Sodium Azide.
Concentration: 1ug/ul
Uniprot #: SwissProt: P04264 Human | P04104 Mouse | Q6IMF3 Rat | P35908 Human | P19013 Human | Q6IG00 Rat | P13647 Human | Q922U2 Mouse | Q6P6Q2 Rat | P02538 Human | P04259 Human | P48668 Human | Q4FZU2 Rat | P08729 Human | Q9DCV7 Mouse | P05787 Human | P11679 Mouse | Q10758 Rat | Q01546 Human | Q7Z794 Human | P48668 Human | P13645 Human
Images
HAK21151_1.jpg Fig1: Western blot analysis of pan Cytokeratin on different lysates with Mouse anti-pan Cytokeratin antibody (HA601138) at 1/2,000 dilution.

Lane 1: A431 cell lysate (10 µg/Lane)
Lane 2: HeLa cell lysate (10 µg/Lane)
Lane 3: MCF7 cell lysate (10 µg/Lane)
Lane 4: SK-Br-3 cell lysate (10 µg/Lane)
Lane 5: MDA-MB-231 cell lysate (10 µg/Lane)
Lane 6: MDA-MB-468 cell lysate (10 µg/Lane)
Lane 7: Human liver tissue lysate (20 µg/Lane)

Exposure time: 4 seconds; ECL: K1801;

4-20% SDS-PAGE gel.

Proteins were transferred to a PVDF membrane and blocked with 5% NFDM/TBST for 1 hour at room temperature. The primary antibody (HA601138) at 1/2,000 dilution was used in 5% NFDM/TBST at room temperature for 2 hours. Goat Anti-Mouse IgG - HRP Secondary Antibody (HA1006) at 1/50,000 dilution was used for 1 hour at room temperature.
HAK21151_2.jpg Fig2: Western blot analysis of Cytokeratin 7 on different lysates with Rabbit anti-Cytokeratin 7 antibody (ET1609-62) at 1/5,000 dilution.

Lane 1: HeLa cell lysate
Lane 2: A549 cell lysate
Lane 3: MCF7 cell lysate (negative)

Lysates/proteins at 15 µg/Lane.

Predicted band size: 51 kDa
Observed band size: 55 kDa

Exposure time: 20 seconds;

4-20% SDS-PAGE gel.

Proteins were transferred to a PVDF membrane and blocked with 5% NFDM/TBST for 1 hour at room temperature. The primary antibody (ET1609-62) at 1/5,000 dilution was used in 5% NFDM/TBST at 4℃ overnight. Goat Anti-Rabbit IgG - HRP Secondary Antibody (HA1001) at 1/50,000 dilution was used for 1 hour at room temperature.
HAK21151_3.jpg Fig3: Western blot analysis of Cytokeratin 1 on different lysates with Rabbit anti-Cytokeratin 1 antibody (ET1611-46) at 1/1,000 dilution.

Lane 1: Mouse skin tissue lysate (RIPA lysis)
Lane 2: Mouse skin tissue lysate (hot lysis)
Lane 3: Rat skin tissue lysate (RIPA lysis)
Lane 4: Rat skin tissue lysate (hot lysis)

Lysates/proteins at 40 µg/Lane.

Predicted band size: 66 kDa
Observed band size: 66 kDa

Exposure time: 6 seconds; ECL: K1801;

4-20% SDS-PAGE gel.

Proteins were transferred to a PVDF membrane and blocked with 5% NFDM/TBST for 1 hour at room temperature. The primary antibody (ET1611-46) at 1/1,000 dilution was used in 5% NFDM/TBST at 4℃ overnight. Goat Anti-Rabbit IgG - HRP Secondary Antibody (HA1001) at 1/50,000 dilution was used for 1 hour at room temperature.
HAK21151_4.jpg Fig4: Western blot analysis of Cytokeratin 5 on different lysates with Rabbit anti-Cytokeratin 5 antibody (ET1610-43) at 1/5,000 dilution.

Lane 1: A431 cell lysate
Lane 2: MDA-MB-468 cell lysate
Lane 3: MCF7 cell lysate (negative)
Lane 4: Mouse skin tissue lysate
Lane 5: Rat skin tissue lysate

Lysates/proteins at 20 µg/Lane.

Predicted band size: 62 kDa
Observed band size: 57 kDa

Exposure time: 2 minutes 6 seconds;

4-20% SDS-PAGE gel.

Proteins were transferred to a PVDF membrane and blocked with 5% NFDM/TBST for 1 hour at room temperature. The primary antibody (ET1610-43) at 1/5,000 dilution was used in 5% NFDM/TBST at 4℃ overnight. Goat Anti-Rabbit IgG - HRP Secondary Antibody (HA1001) at 1/50,000 dilution was used for 1 hour at room temperature.
HAK21151_5.jpg Fig5: Immunocytochemistry analysis of A549 cells labeling Cytokeratin 7 with Rabbit anti-Cytokeratin 7 antibody (ET1609-62) at 1/100 dilution.

Cells were fixed in 4% paraformaldehyde for 20 minutes at room temperature, permeabilized with 0.1% Triton X-100 in PBS for 5 minutes at room temperature, then blocked with 1% BSA in 10% negative goat serum for 1 hour at room temperature. Cells were then incubated with Rabbit anti-Cytokeratin 7 antibody (ET1609-62) at 1/100 dilution in 1% BSA in PBST overnight at 4 ℃. Goat Anti-Rabbit IgG H&L (iFluor™ 488, HA1121) was used as the secondary antibody at 1/1,000 dilution. PBS instead of the primary antibody was used as the secondary antibody only control. Nuclear DNA was labelled in blue with DAPI.

Beta tubulin (M1305-2, red) was stained at 1/100 dilution overnight at +4℃. Goat Anti-Mouse IgG H&L (iFluor™ 594, HA1126) was used as the secondary antibody at 1/1,000 dilution.
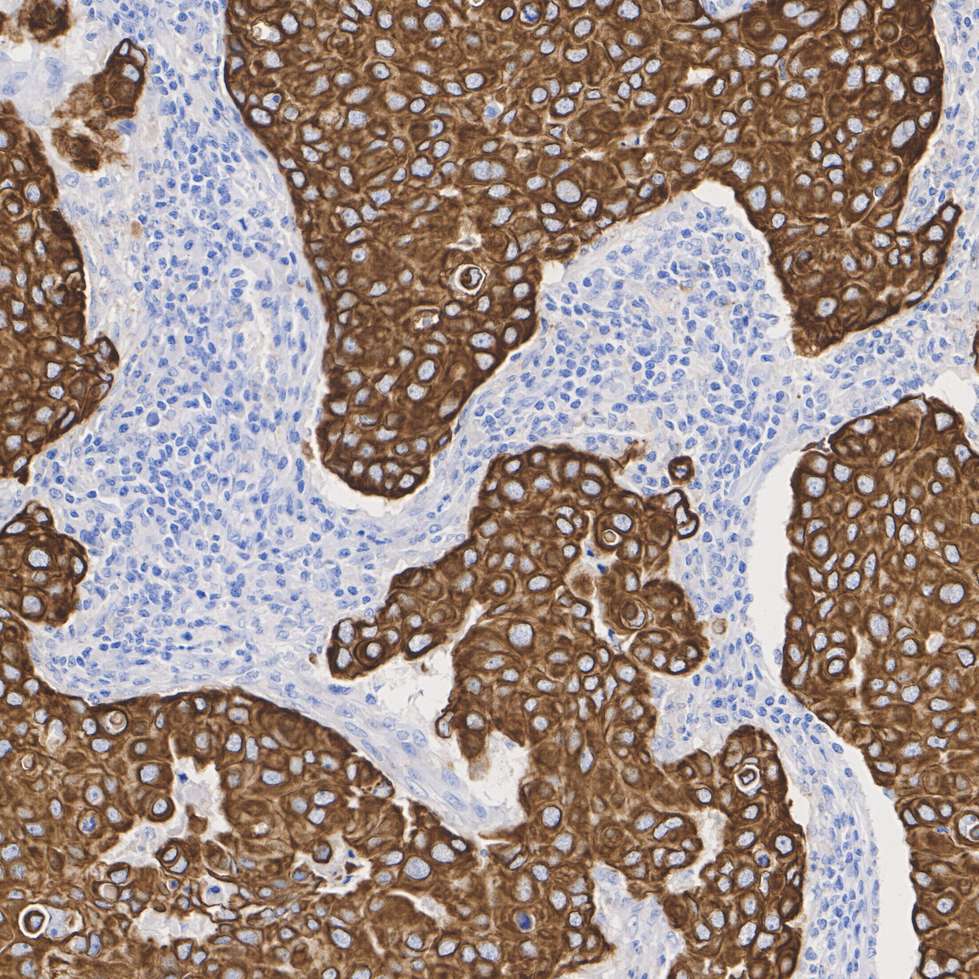
HAK21151_6.jpg Fig6: Immunohistochemical analysis of paraffin-embedded human breast carcinoma tissue with Rabbit anti-Cytokeratin 7 antibody (ET1609-62) at 1/1,500 dilution.

The section was pre-treated using heat mediated antigen retrieval with Tris-EDTA buffer (pH 9.0) for 20 minutes. The tissues were blocked in 1% BSA for 20 minutes at room temperature, washed with ddH2O and PBS, and then probed with the primary antibody (ET1609-62) at 1/1,500 dilution for 1 hour at room temperature. The detection was performed using an HRP conjugated compact polymer system. DAB was used as the chromogen. Tissues were counterstained with hematoxylin and mounted with DPX.
HAK21151_7.jpg Fig7: Immunocytochemistry analysis of A431 cells labeling Cytokeratin 5 with Rabbit anti-Cytokeratin 5 antibody (ET1610-43) at 1/500 dilution and competitor's antibody at 1/100 dilution.

Cells were fixed in 4% paraformaldehyde for 20 minutes at room temperature, permeabilized with 0.1% Triton X-100 in PBS for 5 minutes at room temperature, then blocked with 1% BSA in 10% negative goat serum for 1 hour at room temperature. Cells were then incubated with Rabbit anti-Cytokeratin 5 antibody (ET1610-43) at 1/500 dilution and competitor's antibody at 1/100 dilution in 1% BSA in PBST overnight at 4 ℃. Goat Anti-Rabbit IgG H&L (iFluor™ 488, HA1121) was used as the secondary antibody at 1/1,000 dilution. PBS instead of the primary antibody was used as the secondary antibody only control. Nuclear DNA was labelled in blue with DAPI.

Beta tubulin (M1305-2, red) was stained at 1/100 dilution overnight at +4℃. Goat Anti-Mouse IgG H&L (iFluor™ 594, HA1126) was used as the secondary antibody at 1/1,000 dilution.
HAK21151_8.jpg Fig8: Immunohistochemical analysis of paraffin-embedded human skin tissue with Rabbit anti-Cytokeratin 5 antibody (ET1610-43) at 1/800 dilution and competitor's antibody at 1/800 dilution.

The section was not undergone antigen retrieval. The tissues were blocked in 1% BSA for 20 minutes at room temperature, washed with ddH2O and PBS, and then probed with the primary antibody (ET1610-43) at 1/800 dilution and competitor's antibody at 1/800 dilution for 1 hour at room temperature. The detection was performed using an HRP conjugated compact polymer system. DAB was used as the chromogen. Tissues were counterstained with hematoxylin and mounted with DPX.
HAK21151_9.jpg Fig9: Immunocytochemistry analysis of A431 cells labeling Cytokeratin 6 with Rabbit anti-Cytokeratin 6 antibody (ET1611-70) at 1/100 dilution.

Cells were fixed in 4% paraformaldehyde for 15 minutes at room temperature, permeabilized with 0.1% Triton X-100 in PBS for 15 minutes at room temperature, then blocked with 1% BSA in 10% negative goat serum for 1 hour at room temperature. Cells were then incubated with Rabbit anti-Cytokeratin 6 antibody (ET1611-70) at 1/100 dilution in 1% BSA in PBST overnight at 4 ℃. Goat Anti-Rabbit IgG H&L (iFluor™ 488, HA1121) was used as the secondary antibody at 1/1,000 dilution. PBS instead of the primary antibody was used as the secondary antibody only control. Nuclear DNA was labelled in blue with DAPI.

Beta tubulin (M1305-2, red) was stained at 1/100 dilution overnight at +4℃. Goat Anti-Mouse IgG H&L (iFluor™ 594, HA1126) was used as the secondary antibody at 1/1,000 dilution.
HAK21151_10.jpg Fig10: Immunofluorescence analysis of paraffin-embedded human liver tissue labeling Cytokeratin 8 (ET1608-32) and Vimentin (EM0401).

The section was pre-treated using heat mediated antigen retrieval with Tris-EDTA buffer (pH 9.0) for 20 minutes. The tissues were blocked in 10% negative goat serum for 1 hour at room temperature, washed with PBS. And then probed with the primary antibodies Cytokeratin 8 (ET1608-32, red) at 1/50 dilution and Vimentin (EM0401, green) at 1/500 dilution at +4℃ overnight, washed with PBS.

Goat Anti-Rabbit IgG H&L (iFluor™ 594, HA1122) and Goat Anti-Mouse IgG H&L (iFluor™ 488, HA1125) were used as the secondary antibodies at 1/1,000 dilution. Nuclei were counterstained with DAPI (blue).
HAK21151_11.jpg Fig11: Flow cytometric analysis of HepG2 cells labeling Cytokeratin 8.

Cells were fixed and permeabilized. Then stained with the primary antibody (ET1608-32, 1ug/ml) (red) compared with Rabbit IgG Isotype Control (green). After incubation of the primary antibody at +4℃ for an hour, the cells were stained with a iFluor™ 488 conjugate-Goat anti-Rabbit IgG Secondary antibody (HA1121) at 1/1,000 dilution for 30 minutes at +4℃. Unlabelled sample was used as a control (cells without incubation with primary antibody; black).
HAK21151_12.jpg Fig12: Immunofluorescence analysis of paraffin-embedded human tracheal cartilage tissue labeling pan Cytokeratin with Mouse anti-pan Cytokeratin antibody (HA601138) at 1/200 dilution.

The section was pre-treated using heat mediated antigen retrieval with Tris-EDTA buffer (pH 9.0) for 20 minutes. The tissues were blocked in 10% negative goat serum for 1 hour at room temperature, washed with PBS, and then probed with the primary antibody (HA601138, green) at 1/200 dilution overnight at 4 ℃, washed with PBS. Goat Anti-Mouse IgG H&L (iFluor™ 488, HA1125) was used as the secondary antibody at 1/1,000 dilution. Nuclei were counterstained with DAPI (blue).
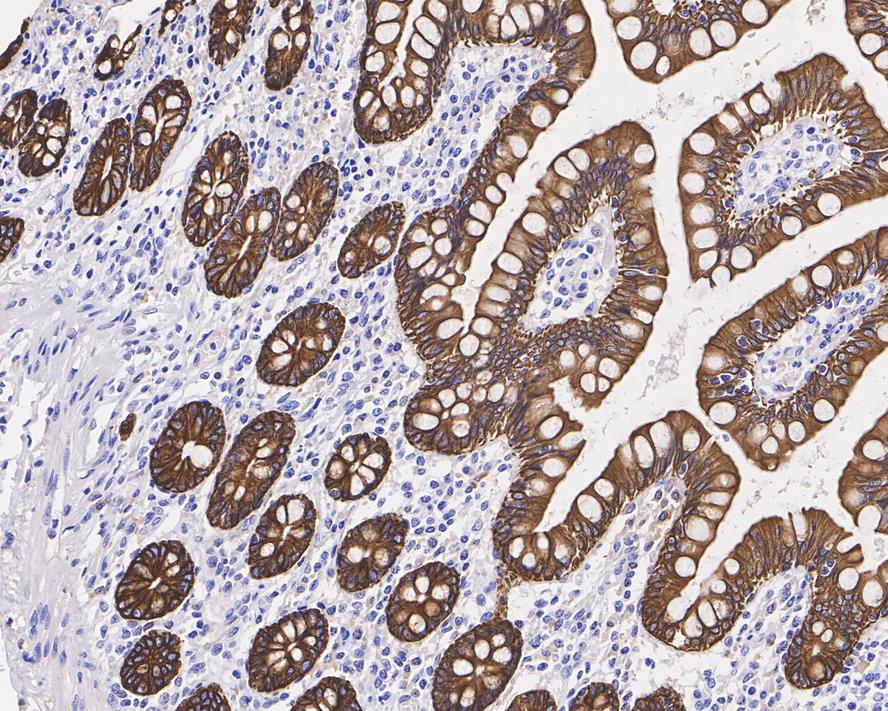
HAK21151_13.jpg Fig13: Immunohistochemical analysis of paraffin-embedded human small intestine tissue with Mouse anti-pan Cytokeratin antibody (HA601138) at 1/2,000 dilution.

The section was pre-treated using heat mediated antigen retrieval with Tris-EDTA buffer (pH 9.0) for 20 minutes. The tissues were blocked in 1% BSA for 20 minutes at room temperature, washed with ddH2O and PBS, and then probed with the primary antibody (HA601138) at 1/2,000 dilution for 1 hour at room temperature. The detection was performed using an HRP conjugated compact polymer system. DAB was used as the chromogen. Tissues were counterstained with hematoxylin and mounted with DPX.
HAK21151_14.jpg Fig14: Fluorescence multiplex immunohistochemical analysis of the human non-small cell lung cancer (Formalin/PFA-fixed paraffin-embedded sections). Panel A: the merged image of anti-CD20 (HA721138, green), anti-CD68 (HA601115, gray), anti-PD-L1 (HA721176, cyan), anti-panCK (HA601138, magenta) and anti-CD3 (HA720082, yellow) on human non-small cell lung cancer. Panel B: anti- CD20 stained on B cells. Panel C: anti-CD68 stained on macrophage M1 and macrophage M2. Panel D: anti-PD-L1 stained on dendritic cells and macrophages cells. Panel E: anti-panCK stained on cancer cells. Panel F: anti-CD3 stained on T cells. HRP Conjugated UltraPolymer Goat Polyclonal Antibody HA1119/HA1120 was used as a secondary antibody. The immunostaining was performed with the Sequential Immuno-staining Kit (IRISKit™MH010101, www.luminiris.cn). The section was incubated in five rounds of staining: in the order of HA721138 (1/1,500 dilution), HA601115 (1/2,000 dilution), HA721176 (1/1,000 dilution), HA601138 (1/3,000 dilution), and HA720082 (1/500 dilution) for 20 mins at room temperature. Each round was followed by a separate fluorescent tyramide signal amplification system. Heat mediated antigen retrieval with Tris-EDTA buffer (pH 9.0) for 30 mins at 95℃. DAPI (blue) was used as a nuclear counter stain. Image acquisition was performed with Olympus VS200 Slide Scanner.
HAK21151_15.jpg Fig15: Fluorescence multiplex immunohistochemical analysis of the human gastric cancer (Formalin/PFA-fixed paraffin-embedded sections). Panel A: the merged image of anti-CD31 (M1511-8, red), anti-αSMA (ET1607-53, gray), anti-CD11b (ET1706-04, cyan), anti-panCK (HA601138, magenta) and anti-CD3 (HA720082, yellow) on human gastric cancer. Panel B: anti- CD31 stained on the endothelial cells. Panel C: anti-αSMA stained on cancer-associated fibroblasts and smooth muscle cells. Panel D: anti-CD11b stained on myeloid cells. Panel E: anti-panCK stained on cancer cells. Panel F: anti-CD3 stained on T cells. HRP Conjugated UltraPolymer Goat Polyclonal Antibody HA1119/HA1120 was used as a secondary antibody. The immunostaining was performed with the Sequential Immuno-staining Kit (IRISKit™MH010101, www.luminiris.cn). The section was incubated in five rounds of staining: in the order of M1511-8 (1/1,000 dilution), ET1607-53 (1/2,000 dilution), ET1706-04 (1/1,000 dilution), HA601138 (1/3,000 dilution), and HA720082 (1/500 dilution) for 20 mins at room temperature. Each round was followed by a separate fluorescent tyramide signal amplification system. Heat mediated antigen retrieval with Tris-EDTA buffer (pH 9.0) for 30 mins at 95℃. DAPI (blue) was used as a nuclear counter stain. Image acquisition was performed with Olympus VS200 Slide Scanner.
Note: All products are “FOR RESEARCH USE ONLY AND ARE NOT INTENDED FOR DIAGNOSTIC OR THERAPEUTIC USE”.