IKK Isoform Antibody Sampler Kit
cat.: HAK21155
Product Type: Antibody Sampler Kit
Species reactivity: Human
Applications: WB
Form: Liquid
Storage condition: Store at +4℃ after thawing. Aliquot store at -20℃. Avoid repeated freeze / thaw cycles.
Storage buffer: 1*TBS (pH7.4), 0.05% BSA, 40% Glycerol. Preservative: 0.05% Sodium Azide.
Concentration: 1ug/ul
Uniprot #: SwissProt: O15111 Human | Q60680 Mouse | O14920 Human | O15111 Human | O88351 Mouse | Q60680 Mouse | Q9QY78 Rat | O14920 Human | Q9Y6K9 Human | O88522 Mouse | Q6TMG5 Rat | Q14164 Human
Entrez Gene: 309361 Rat
Images
HAK21155_1.jpg Fig1: Western blot analysis of IKK alpha on different lysates with Rabbit anti-IKK alpha antibody (ET1611-15) at 1/2,000 dilution.

Lane 1: HeLa cell lysate (20 µg/Lane)
Lane 2: HCT 116 cell lysate (20 µg/Lane)
Lane 3: SK-OV-3 cell lysate (20 µg/Lane)
Lane 4: NIH/3T3 cell lysate (20 µg/Lane)
Lane 5: PC-12 cell lysate (20 µg/Lane)
Lane 6: Mouse kidney tissue lysate (40 µg/Lane)
Lane 7: Rat kidney tissue lysate (40 µg/Lane)

Predicted band size: 85 kDa
Observed band size: 75 kDa

Exposure time: 17 seconds; ECL: K1801;

4-20% SDS-PAGE gel.

Proteins were transferred to a PVDF membrane and blocked with 5% NFDM/TBST for 1 hour at room temperature. The primary antibody (ET1611-15) at 1/2,000 dilution was used in 5% NFDM/TBST at 4℃ overnight. Goat Anti-Rabbit IgG - HRP Secondary Antibody (HA1001) at 1/50,000 dilution was used for 1 hour at room temperature.
HAK21155_2.jpg Fig2: Western blot analysis of IKK alpha + IKK beta on different lysates with Rabbit anti-IKK alpha + IKK beta antibody (ET1611-23) at 1/2,000 dilution.

Lane 1: HeLa cell lysate
Lane 2: 293T cell lysate
Lane 3: Daudi cell lysate

Lysates/proteins at 15 µg/Lane.

Predicted band size: 87 kDa
Observed band size: 87 kDa

Exposure time: 1 minute 2 seconds; ECL: K1802;

4-20% SDS-PAGE gel.

Proteins were transferred to a PVDF membrane and blocked with 5% NFDM/TBST for 1 hour at room temperature. The primary antibody (ET1611-23) at 1/2,000 dilution was used in 5% NFDM/TBST at 4℃ overnight. Goat Anti-Rabbit IgG - HRP Secondary Antibody (HA1001) at 1/50,000 dilution was used for 1 hour at room temperature.
HAK21155_3.jpg Fig3: Western blot analysis of IKK beta on different lysates with Rabbit anti-IKK beta antibody (HA721715) at 1/1,000 dilution.

Lane 1: K-562 cell lysate
Lane 2: HL-60 cell lysate
Lane 3: THP-1 cell lysate
Lane 4: Jurkat cell lysate
Lane 5: HeLa cell lysate

Lysates/proteins at 20 µg/Lane.

Predicted band size: 87 kDa
Observed band size: 87 kDa

Exposure time: 3 minutes;

4-20% SDS-PAGE gel.

Proteins were transferred to a PVDF membrane and blocked with 5% NFDM/TBST for 1 hour at room temperature. The primary antibody (HA721715) at 1/1,000 dilution was used in 5% NFDM/TBST at room temperature for 2 hours. Goat Anti-Rabbit IgG - HRP Secondary Antibody (HA1001) at 1/50,000 dilution was used for 1 hour at room temperature.
HAK21155_4.jpg Fig4: Western blot analysis of IKK beta on different lysates with Rabbit anti-IKK beta antibody (HA721715) at 1/2,000 dilution.

Lane 1: HAP1-parental cell lysate
Lane 2: HAP1-IKK beta KD cell lysate

Lysates/proteins at 10 µg/Lane.

Predicted band size: 87 kDa
Observed band size: 87 kDa

Exposure time: 40 seconds; ECL: K1801;

4-20% SDS-PAGE gel.

Proteins were transferred to a PVDF membrane and blocked with 5% NFDM/TBST for 1 hour at room temperature. The primary antibody (HA721715) at 1/2,000 dilution was used in primary antibody dilution (K1803) at 4℃ overnight. Goat Anti-Rabbit IgG - HRP Secondary Antibody (HA1001) at 1/50,000 dilution was used for 1 hour at room temperature.
HAK21155_5.jpg Fig5: Western blot analysis of IKBKE on different lysates with Rabbit anti-IKBKE antibody (ET1706-20) at 1/2,000 dilution.

Lane 1: HeLa cell lysate (20 µg/Lane)
Lane 2: Raji cell lysate (20 µg/Lane)
Lane 3: Daudi cell lysate (20 µg/Lane)

Predicted band size: 80 kDa
Observed band size: 75 kDa

Exposure time: Lane 1: 3 minutes; Lane 2-3: 30 seconds; ECL: K1801;

4-20% SDS-PAGE gel.

Proteins were transferred to a PVDF membrane and blocked with 5% NFDM/TBST for 1 hour at room temperature. The primary antibody (ET1706-20) at 1/2,000 dilution was used in 5% NFDM/TBST at 4℃ overnight. Goat Anti-Rabbit IgG - HRP Secondary Antibody (HA1001) at 1/50,000 dilution was used for 1 hour at room temperature.
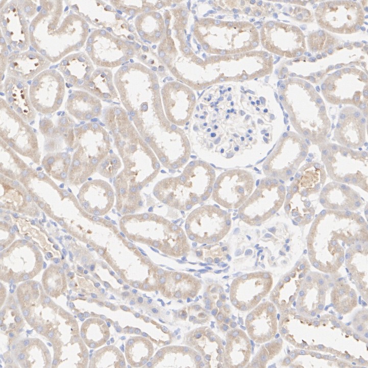
HAK21155_6.jpg Fig6: Immunohistochemical analysis of paraffin-embedded rat kidney tissue with Rabbit anti-IKK alpha antibody (ET1611-15) at 1/200 dilution.

The section was pre-treated using heat mediated antigen retrieval with sodium citrate buffer (pH 6.0) for 2 minutes. The tissues were blocked in 1% BSA for 20 minutes at room temperature, washed with ddH2O and PBS, and then probed with the primary antibody (ET1611-15) at 1/200 dilution for 1 hour at room temperature. The detection was performed using an HRP conjugated compact polymer system. DAB was used as the chromogen. Tissues were counterstained with hematoxylin and mounted with DPX.
HAK21155_7.jpg Fig7: Immunocytochemistry analysis of NIH/3T3 cells labeling IKK alpha + IKK beta with Rabbit anti-IKK alpha + IKK beta antibody (ET1611-23) at 1/500 dilution.

Cells were fixed in 4% paraformaldehyde for 15 minutes at room temperature, permeabilized with 0.1% Triton X-100 in PBS for 15 minutes at room temperature, then blocked with 1% BSA in 10% negative goat serum for 1 hour at room temperature. Cells were then incubated with Rabbit anti-IKK alpha + IKK beta antibody (ET1611-23) at 1/500 dilution in 1% BSA in PBST overnight at 4 ℃. Goat Anti-Rabbit IgG H&L (iFluor™ 488, HA1121) was used as the secondary antibody at 1/1,000 dilution. PBS instead of the primary antibody was used as the secondary antibody only control. Nuclear DNA was labelled in blue with DAPI.

Beta tubulin (HA601187, red) was stained at 1/100 dilution overnight at +4℃. Goat Anti-Mouse IgG H&L (iFluor™ 594, HA1126) was used as the secondary antibody at 1/1,000 dilution.
HAK21155_8.jpg Fig8: Immunocytochemistry analysis of C6 cells labeling IKK alpha + IKK beta with Rabbit anti-IKK alpha + IKK beta antibody (ET1611-23) at 1/250 dilution.

Cells were fixed in 4% paraformaldehyde for 15 minutes at room temperature, permeabilized with 0.1% Triton X-100 in PBS for 15 minutes at room temperature, then blocked with 1% BSA in 10% negative goat serum for 1 hour at room temperature. Cells were then incubated with Rabbit anti-IKK alpha + IKK beta antibody (ET1611-23) at 1/250 dilution in 1% BSA in PBST overnight at 4 ℃. Goat Anti-Rabbit IgG H&L (iFluor™ 488, HA1121) was used as the secondary antibody at 1/1,000 dilution. PBS instead of the primary antibody was used as the secondary antibody only control. Nuclear DNA was labelled in blue with DAPI.

Beta tubulin (HA601187, red) was stained at 1/100 dilution overnight at +4℃. Goat Anti-Mouse IgG H&L (iFluor™ 594, HA1126) was used as the secondary antibody at 1/1,000 dilution.
HAK21155_9.jpg Fig9: Flow cytometric analysis of HeLa cells labeling IKK alpha.

Cells were fixed and permeabilized. Then stained with the primary antibody (ET1611-15, 1/1,000) (red) compared with Rabbit IgG Isotype Control (green). After incubation of the primary antibody at +4℃ for an hour, the cells were stained with a iFluor™ 488 conjugate-Goat anti-Rabbit IgG Secondary antibody (HA1121) at 1/1,000 dilution for 30 minutes at +4℃. Unlabelled sample was used as a control (cells without incubation with primary antibody; black).
HAK21155_10.jpg Fig10: Flow cytometric analysis of THP-1 cells labeling IKK beta.

Cells were fixed and permeabilized. Then stained with the primary antibody (HA721715, 1/50) (red) compared with Rabbit IgG Isotype Control (green). After incubation of the primary antibody at +4℃ for an hour, the cells were stained with a iFluor™ 488 conjugate-Goat anti-Rabbit IgG Secondary antibody (HA1121) at 1/1,000 dilution for 30 minutes at +4℃. Unlabelled sample was used as a control (cells without incubation with primary antibody; black).
Note: All products are “FOR RESEARCH USE ONLY AND ARE NOT INTENDED FOR DIAGNOSTIC OR THERAPEUTIC USE”.