Protein Folding and Stability Antibody Sampler Kit
cat.: HAK21156
Product Type: Antibody Sampler Kit
Species reactivity: Human
Applications: WB
Form: Liquid
Storage condition: Store at +4℃ after thawing. Aliquot store at -20℃. Avoid repeated freeze / thaw cycles.
Storage buffer: 1*TBS (pH7.4), 0.05% BSA, 40% Glycerol. Preservative: 0.05% Sodium Azide.
Concentration: 1ug/ul
Uniprot #: SwissProt: P63208 Human | Q9WTX5 Mouse | Q6PEC4 Rat | Q13309 Human | Q9Z0Z3 Mouse | P05161 Human | Q15843 Human | P29595 Mouse | Q71UE8 Rat | P0CG47 Human | P0CG48 Human | P62979 Human | P62987 Human | P0CG49 Mouse | P62991 Mouse | P0CG51 Rat | Q63429 Rat | P49427 Human | Q8CFI2 Mouse | P63165 Human | P63166 Mouse | Q5I0H3 Rat | P55854 Human | P61956 Human | P61957 Mouse | Q9Z172 Mouse | P61959 Rat | Q5XIF4 Rat
Entrez Gene: 294790 Rat
Unigene: 2427 Rat
Images
HAK21156_1.jpg Fig1: Western blot analysis of SKP2 on different lysates with Rabbit anti-SKP2 antibody (HA722654) at 1/1,000 dilution.

Lane 1: MDA-MB-231 cell lysate
Lane 2: 293T cell lysate
Lane 3: MDA-MB-468 cell lysate
Lane 4: HepG2 cell lysate
Lane 5: SK-OV-3 cell lysate
Lane 6: SH-SY5Y cell lysate
Lane 7: COS-1 cell lysate

Lysates/proteins at 30 µg/Lane.

Predicted band size: 48 kDa
Observed band size: 48 kDa

Exposure time: 20 seconds; ECL: K1802;

4-20% SDS-PAGE gel.

Proteins were transferred to a PVDF membrane and blocked with 5% NFDM/TBST for 1 hour at room temperature. The primary antibody (HA722654) at 1/1,000 dilution was used in 5% NFDM/TBST at 4℃ overnight. Goat Anti-Rabbit IgG - HRP Secondary Antibody (HA1001) at 1/50,000 dilution was used for 1 hour at room temperature.
HAK21156_2.jpg Fig2: Immunohistochemical analysis of paraffin-embedded rat testis tissue with Rabbit anti-NEDD8 antibody (ET1702-84) at 1/1,000 dilution.

The section was pre-treated using heat mediated antigen retrieval with sodium citrate buffer (pH 6.0) (high pressure) for 2 minutes. The tissues were blocked in 1% BSA for 20 minutes at room temperature, washed with ddH2O and PBS, and then probed with the primary antibody (ET1702-84) at 1/1,000 dilution for 1 hour at room temperature. The detection was performed using an HRP conjugated compact polymer system. DAB was used as the chromogen. Tissues were counterstained with hematoxylin and mounted with DPX.
HAK21156_3.jpg Fig3: Western blot analysis of NEDD8 on different lysates with Rabbit anti-NEDD8 antibody (ET1702-84) at 1/1,000 dilution.

Lane 1: COS-1 cell lysate
Lane 2: HeLa cell lysate
Lane 3: Raji cell lysate
Lane 4: HepG2 cell lysate
Lane 5: K-562 cell lysate
Lane 6: RAW264.7 cell lysate
Lane 7: NIH/3T3 cell lysate
Lane 8: PC-12 cell lysate
Lane 9: C6 cell lysate

Lysates/proteins at 20 µg/Lane.

Predicted band size: 9 kDa
Observed band size: 9-90 kDa

Exposure time: 3 minutes;

4-20% SDS-PAGE gel.

Proteins were transferred to a PVDF membrane and blocked with 5% NFDM/TBST for 1 hour at room temperature. The primary antibody (ET1702-84) at 1/1,000 dilution was used in 5% NFDM/TBST at 4℃ overnight. Goat Anti-Rabbit IgG - HRP Secondary Antibody (HA1001) at 1/50,000 dilution was used for 1 hour at room temperature.
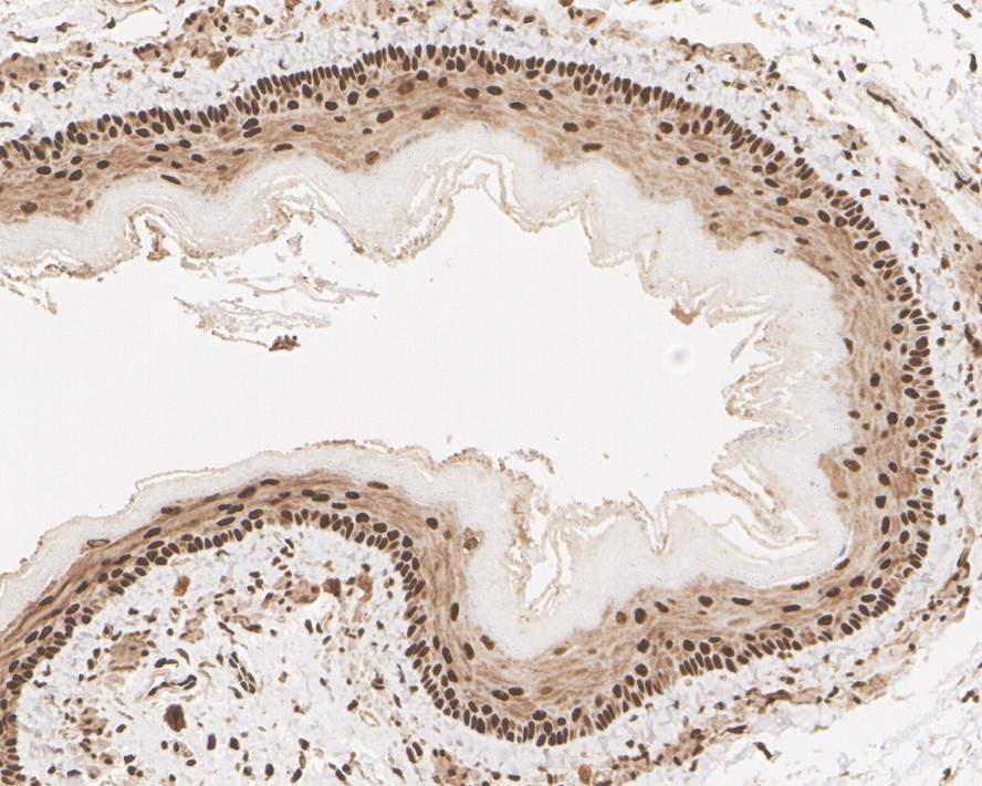
HAK21156_4.jpg Fig4: Immunohistochemical analysis of paraffin-embedded rat esophagus tissue with Rabbit anti-Ubiquitin antibody (ET1609-21) at 1/10,000 dilution.

The section was pre-treated using heat mediated antigen retrieval with sodium citrate buffer (pH 6.0) (high pressure) for 2 minutes. The tissues were blocked in 1% BSA for 20 minutes at room temperature, washed with ddH2O and PBS, and then probed with the primary antibody (ET1609-21) at 1/10,000 dilution for 1 hour at room temperature. The detection was performed using an HRP conjugated compact polymer system. DAB was used as the chromogen. Tissues were counterstained with hematoxylin and mounted with DPX.
HAK21156_5.jpg Fig5: Western blot analysis of Ubiquitin on different lysates with Rabbit anti-Ubiquitin antibody (ET1609-21) at 1/5,000 dilution and competitor's antibody at 1/2,000 dilution.

Lane 1: HeLa cell lysate
Lane 2: HeLa treated with 10μM MG-132 for 6 hours cell lysate
Lane 3: NIH/3T3 cell lysate
Lane 4: NIH/3T3 treated with 10μM MG-132 for 8 hours cell lysate
Lane 5: PC-12 cell lysate

Lysates/proteins at 20 µg/Lane.

Exposure time: 1 minute 34 seconds; ECL: K1801;

4-20% SDS-PAGE gel.

Proteins were transferred to a PVDF membrane and blocked with 5% NFDM/TBST for 1 hour at room temperature. The primary antibody (ET1609-21) at 1/5,000 dilution and competitor's antibody at 1/2,000 dilution were used in 5% NFDM/TBST at 4℃ overnight. Goat Anti-Rabbit IgG - HRP Secondary Antibody (HA1001) at 1/50,000 dilution was used for 1 hour at room temperature.
HAK21156_6.jpg Fig6: Immunocytochemistry analysis of HepG2 cells labeling Ubiquitin with Rabbit anti-Ubiquitin antibody (ET1609-21) at 1/500 dilution.

Cells were fixed in 4% paraformaldehyde for 20 minutes at room temperature, permeabilized with 0.1% Triton X-100 in PBS for 5 minutes at room temperature, then blocked with 1% BSA in 10% negative goat serum for 1 hour at room temperature. Cells were then incubated with Rabbit anti-Ubiquitin antibody (ET1609-21) at 1/500 dilution in 1% BSA in PBST overnight at 4 ℃. Goat Anti-Rabbit IgG H&L (iFluor™ 488, HA1121) was used as the secondary antibody at 1/1,000 dilution. PBS instead of the primary antibody was used as the secondary antibody only control. Nuclear DNA was labelled in blue with DAPI.

Beta tubulin (M1305-2, red) was stained at 1/100 dilution overnight at +4℃. Goat Anti-Mouse IgG H&L (iFluor™ 594, HA1126) was used as the secondary antibody at 1/1,000 dilution.
HAK21156_7.jpg Fig7: Western blot analysis of Cdc34 on different lysates with Rabbit anti-Cdc34 antibody (ET1701-10) at 1/5,000 dilution.

Lane 1: 293T cell lysate (20 µg/Lane)
Lane 2: K-562 cell lysate (20 µg/Lane)
Lane 3: Jurkat cell lysate (20 µg/Lane)
Lane 4: RAW264.7 cell lysate (20 µg/Lane)
Lane 5: PC-12 cell lysate (20 µg/Lane)
Lane 6: Mouse brain tissue lysate (40 µg/Lane)
Lane 7: Rat brain tissue lysate (40 µg/Lane)

Predicted band size: 27 kDa
Observed band size: 32 kDa

Exposure time: 8 seconds; ECL: K1801;

4-20% SDS-PAGE gel.

Proteins were transferred to a PVDF membrane and blocked with 5% NFDM/TBST for 1 hour at room temperature. The primary antibody (ET1701-10) at 1/5,000 dilution was used in primary antibody dilution (K1803) at 4℃ overnight. Goat Anti-Rabbit IgG - HRP Secondary Antibody (HA1001) at 1/50,000 dilution was used for 1 hour at room temperature.
HAK21156_8.jpg Fig8: Immunocytochemistry analysis of NIH/3T3 cells labeling Sumo 2+3 with Rabbit anti-Sumo 2+3 antibody (ET1701-17) at 1/100 dilution.

Cells were fixed in 4% paraformaldehyde for 15 minutes at room temperature, permeabilized with 0.1% Triton X-100 in PBS for 15 minutes at room temperature, then blocked with 1% BSA in 10% negative goat serum for 1 hour at room temperature. Cells were then incubated with Rabbit anti-Sumo 2+3 antibody (ET1701-17) at 1/100 dilution in 1% BSA in PBST overnight at 4 ℃. Goat Anti-Rabbit IgG H&L (iFluor™ 488, HA1121) was used as the secondary antibody at 1/1,000 dilution. PBS instead of the primary antibody was used as the secondary antibody only control. Nuclear DNA was labelled in blue with DAPI.

Beta tubulin (HA601187, red) was stained at 1/100 dilution overnight at +4℃. Goat Anti-Mouse IgG H&L (iFluor™ 594, HA1126) was used as the secondary antibody at 1/1,000 dilution.
HAK21156_9.jpg Fig9: Western blot analysis of SUMO-1 on different lysates with Rabbit anti-SUMO-1 antibody (ET1606-53) at 1/1,000 dilution.

Lane 1: HeLa cell lysate
Lane 2: A431 cell lysate
Lane 3: MCF7 cell lysate
Lane 4: SH-SY5Y cell lysate
Lane 5: Jurkat cell lysate
Lane 6: NIH/3T3 cell lysate
Lane 7: PC-12 cell lysate

Lysates/proteins at 20 µg/Lane.

Predicted band size: 12 kDa
Observed band size: 17/80 kDa

Exposure time: 1 minute;

4-20% SDS-PAGE gel.

Proteins were transferred to a PVDF membrane and blocked with 5% NFDM/TBST for 1 hour at room temperature. The primary antibody (ET1606-53) at 1/1,000 dilution was used in 5% NFDM/TBST at 4℃ overnight. Goat Anti-Rabbit IgG - HRP Secondary Antibody (HA1001) at 1/50,000 dilution was used for 1 hour at room temperature.
HAK21156_10.jpg Fig10: Immunocytochemistry analysis of NIH/3T3 cells labeling Ubiquitin with Rabbit anti-Ubiquitin antibody (ET1609-21) at 1/500 dilution.

Cells were fixed in 4% paraformaldehyde for 20 minutes at room temperature, permeabilized with 0.1% Triton X-100 in PBS for 5 minutes at room temperature, then blocked with 1% BSA in 10% negative goat serum for 1 hour at room temperature. Cells were then incubated with Rabbit anti-Ubiquitin antibody (ET1609-21) at 1/500 dilution in 1% BSA in PBST overnight at 4 ℃. Goat Anti-Rabbit IgG H&L (iFluor™ 488, HA1121) was used as the secondary antibody at 1/1,000 dilution. PBS instead of the primary antibody was used as the secondary antibody only control. Nuclear DNA was labelled in blue with DAPI.

Beta tubulin (M1305-2, red) was stained at 1/100 dilution overnight at +4℃. Goat Anti-Mouse IgG H&L (iFluor™ 594, HA1126) was used as the secondary antibody at 1/1,000 dilution.
HAK21156_11.jpg Fig11: Flow cytometric analysis of A431 cells labeling SUMO-1.

Cells were fixed and permeabilized. Then stained with the primary antibody (ET1606-53, 1/1,000) (red) compared with Rabbit IgG Isotype Control (green). After incubation of the primary antibody at +4℃ for an hour, the cells were stained with a iFluor™ 488 conjugate-Goat anti-Rabbit IgG Secondary antibody (HA1121) at 1/1,000 dilution for 30 minutes at +4℃. Unlabelled sample was used as a control (cells without incubation with primary antibody; black).
HAK21156_12.jpg Fig12: Chromatin immunoprecipitations were performed with cross-linked chromatin from HeLa cells with SUMO-1 (ET1606-53) or Normal Rabbit IgG according to the ChIP protocol. The enriched DNA was quantified by real-time PCR using indicated primers. The amount of immunoprecipitated DNA in each sample is represented as signal relative to the total amount of input chromatin, which is equivalent to one.
Note: All products are “FOR RESEARCH USE ONLY AND ARE NOT INTENDED FOR DIAGNOSTIC OR THERAPEUTIC USE”.