Jak Isoform Antibody Sampler Kit
cat.: HAK21158
Product Type: Antibody Sampler Kit
Species reactivity: Human
Applications: WB, IHC-P
Form: Liquid
Storage condition: Store at +4℃ after thawing. Aliquot store at -20℃. Avoid repeated freeze / thaw cycles.
Storage buffer: 1*TBS (pH7.4), 0.05% BSA, 40% Glycerol. Preservative: 0.05% Sodium Azide.
Concentration: 1ug/ul
Uniprot #: SwissProt: P23458 Human | P52332 Mouse | G3V9W2 Rat | O60674 Human | P52333 Human | P29597 Human
Entrez Gene: 100361294 Rat
Images
HAK21158_1.jpg Fig1: Western blot analysis of JAK1 on different lysates with Rabbit anti-JAK1 antibody (ET1705-84) at 1/1,000 dilution.

Lane 1: Jurkat cell lysate
Lane 2: NIH/3T3 cell lysate
Lane 3: LNCaP cell lysate

Lysates/proteins at 10 µg/Lane.

Predicted band size: 133 kDa
Observed band size: 133 kDa

Exposure time: 1 minute 40 seconds; ECL: K1801;

4-20% SDS-PAGE gel.

Proteins were transferred to a PVDF membrane and blocked with 5% NFDM/TBST for 1 hour at room temperature. The primary antibody (ET1705-84) at 1/1,000 dilution was used in 5% NFDM/TBST at 4℃ overnight. Goat Anti-Rabbit IgG - HRP Secondary Antibody (HA1001) at 1/50,000 dilution was used for 1 hour at room temperature.
HAK21158_2.jpg Fig2: Western blot analysis of JAK3 on TF-1 cell lysates with Rabbit anti-JAK3 antibody (ET1705-1) at 1/1,000 dilution.

Lysates/proteins at 20 µg/Lane.

Predicted band size: 125 kDa
Observed band size: 125 kDa

Exposure time: 3 minutes; ECL: K1802;

4-20% SDS-PAGE gel.

Proteins were transferred to a PVDF membrane and blocked with 5% NFDM/TBST for 1 hour at room temperature. The primary antibody (ET1705-1) at 1/1,000 dilution was used in 5% NFDM/TBST at 4℃ overnight. Goat Anti-Rabbit IgG - HRP Secondary Antibody (HA1001) at 1/50,000 dilution was used for 1 hour at room temperature.
HAK21158_3.jpg Fig3: Western blot analysis of JAK2 on different lysates with Mouse anti-JAK2 antibody (M1501-8) at 1/1,000 dilution.

Lane 1: K-562 cell lysate
Lane 2: TF-1 cell lysate
Lane 3: Jurkat cell lysate
Lane 4: RAW264.7 cell lysate
Lane 5: C6 cell lysate

Lysates/proteins at 20 µg/Lane.

Predicted band size: 130 kDa
Observed band size: 130 kDa

Exposure time: 40 seconds; ECL: K1801;

4-20% SDS-PAGE gel.

Proteins were transferred to a PVDF membrane and blocked with 5% NFDM/TBST for 1 hour at room temperature. The primary antibody (M1501-8) at 1/1,000 dilution was used in 5% NFDM/TBST at 4℃ overnight. Goat Anti-Mouse IgG - HRP Secondary Antibody (HA1006) at 1/50,000 dilution was used for 1 hour at room temperature.
HAK21158_4.jpg Fig4: Western blot analysis of JAK2 on different lysates with Mouse anti-JAK2 antibody (M1501-8) at 1/2,000 dilution.

Lane 1: A549-si NT cell lysate
Lane 2: A549-si JAK2 cell lysate

Lysates/proteins at 15 µg/Lane.

Predicted band size: 130 kDa
Observed band size: 130 kDa

Exposure time: 45 seconds;

4-20% SDS-PAGE gel.

Proteins were transferred to a PVDF membrane and blocked with 5% NFDM/TBST for 1 hour at room temperature. The primary antibody (M1501-8) at 1/2,000 dilution was used in 5% NFDM/TBST at 4℃ overnight. Goat Anti-Mouse IgG - HRP Secondary Antibody (HA1006) at 1/100,000 dilution was used for 1 hour at room temperature.
HAK21158_5.jpg Fig5: Western blot analysis of Tyk2 on different lysates with Rabbit anti-Tyk2 antibody (ER1803-05) at 1/1,000 dilution.

Lane 1: Raji cell lysate
Lane 2: Jurkat cell lysate
Lane 3: A549 cell lysate

Lysates/proteins at 20 µg/Lane.

Predicted band size: 134 kDa
Observed band size: 134 kDa

Exposure time: 1 minute;
4-20% SDS-PAGE gel.

Proteins were transferred to a PVDF membrane and blocked with 5% NFDM/TBST for 1 hour at room temperature. The primary antibody (ER1803-05) at 1/1,000 dilution was used in 5% NFDM/TBST at room temperature for 2 hours. Goat Anti-Rabbit IgG - HRP Secondary Antibody (HA1001) at 1:100,000 dilution was used for 1 hour at room temperature.
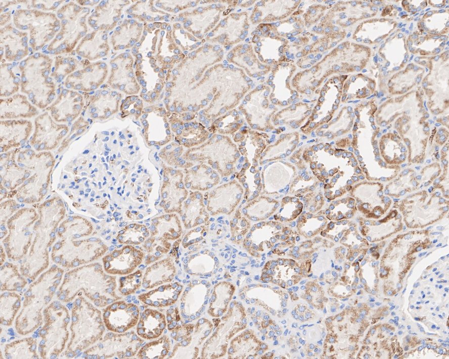
HAK21158_6.jpg Fig6: Immunohistochemical analysis of paraffin-embedded human kidney tissue with Rabbit anti-JAK1 antibody (ET1705-84) at 1/500 dilution.

The section was pre-treated using heat mediated antigen retrieval with Tris-EDTA buffer (pH 9.0) for 20 minutes. The tissues were blocked in 1% BSA for 20 minutes at room temperature, washed with ddH2O and PBS, and then probed with the primary antibody (ET1705-84) at 1/500 dilution for 1 hour at room temperature. The detection was performed using an HRP conjugated compact polymer system. DAB was used as the chromogen. Tissues were counterstained with hematoxylin and mounted with DPX.
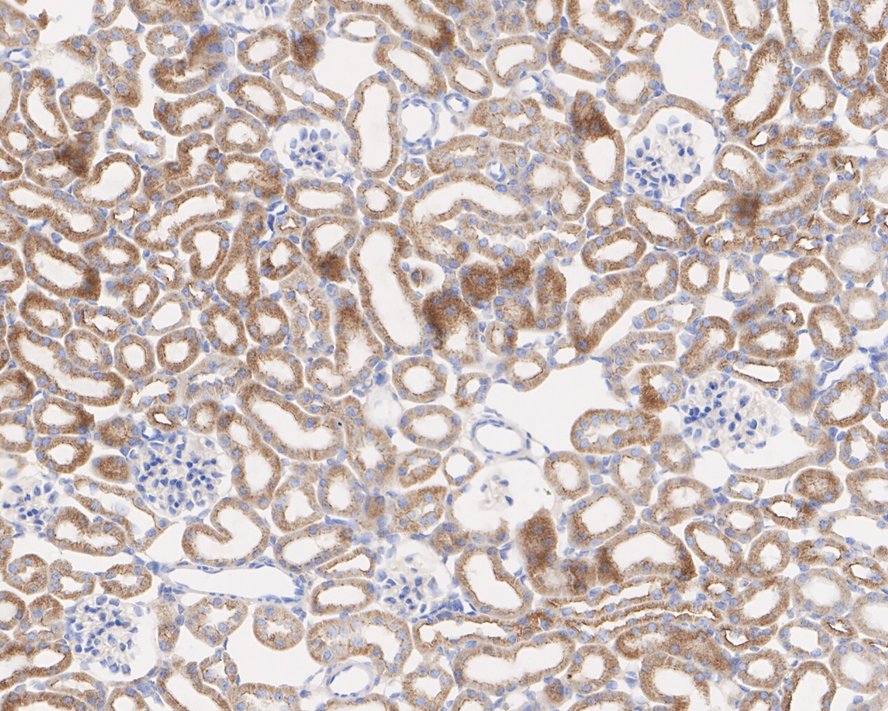
HAK21158_7.jpg Fig7: Immunohistochemical analysis of paraffin-embedded mouse kidney tissue with Rabbit anti-JAK1 antibody (ET1705-84) at 1/2,000 dilution.

The section was pre-treated using heat mediated antigen retrieval with Tris-EDTA buffer (pH 9.0) for 20 minutes. The tissues were blocked in 1% BSA for 20 minutes at room temperature, washed with ddH2O and PBS, and then probed with the primary antibody (ET1705-84) at 1/2,000 dilution for 1 hour at room temperature. The detection was performed using an HRP conjugated compact polymer system. DAB was used as the chromogen. Tissues were counterstained with hematoxylin and mounted with DPX.
HAK21158_8.jpg Fig8: Immunocytochemistry analysis of NIH/3T3 cells labeling JAK1 with Rabbit anti-JAK1 antibody (ET1705-84) at 1/100 dilution.

Cells were fixed in 4% paraformaldehyde for 20 minutes at room temperature, permeabilized with 0.1% Triton X-100 in PBS for 5 minutes at room temperature, then blocked with 1% BSA in 10% negative goat serum for 1 hour at room temperature. Cells were then incubated with Rabbit anti-JAK1 antibody (ET1705-84) at 1/100 dilution in 1% BSA in PBST overnight at 4 ℃. Goat Anti-Rabbit IgG H&L (iFluor™ 488, HA1121) was used as the secondary antibody at 1/1,000 dilution. PBS instead of the primary antibody was used as the secondary antibody only control. Nuclear DNA was labelled in blue with DAPI.

Beta tubulin (M1305-2, red) was stained at 1/100 dilution overnight at +4℃. Goat Anti-Mouse IgG H&L (iFluor™ 594, HA1126) was used as the secondary antibody at 1/1,000 dilution.
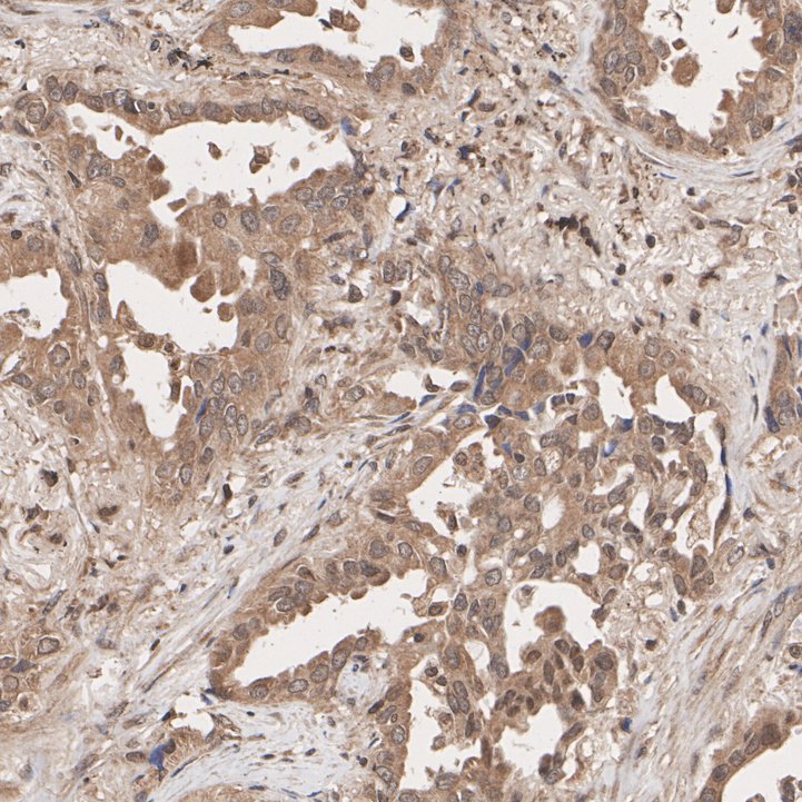
HAK21158_9.jpg Fig9: Immunohistochemical analysis of paraffin-embedded human lung carcinoma tissue with Mouse anti-JAK2 antibody (M1501-8) at 1/1,000 dilution.

The section was pre-treated using heat mediated antigen retrieval with sodium citrate buffer (pH 6.0) (high pressure) for 2 minutes. The tissues were blocked in 1% BSA for 20 minutes at room temperature, washed with ddH2O and PBS, and then probed with the primary antibody (M1501-8) at 1/1,000 dilution for 1 hour at room temperature. The detection was performed using an HRP conjugated compact polymer system. DAB was used as the chromogen. Tissues were counterstained with hematoxylin and mounted with DPX.
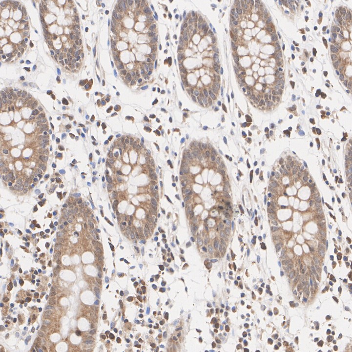
HAK21158_10.jpg Fig10: Immunohistochemical analysis of paraffin-embedded human colon tissue with Rabbit anti-Tyk2 antibody (ER1803-05) at 1/200 dilution.

The section was pre-treated using heat mediated antigen retrieval with sodium citrate buffer (pH 6.0) (high pressure) for 2 minutes. The tissues were blocked in 1% BSA for 20 minutes at room temperature, washed with ddH2O and PBS, and then probed with the primary antibody (ER1803-05) at 1/200 dilution for 1 hour at room temperature. The detection was performed using an HRP conjugated compact polymer system. DAB was used as the chromogen. Tissues were counterstained with hematoxylin and mounted with DPX.
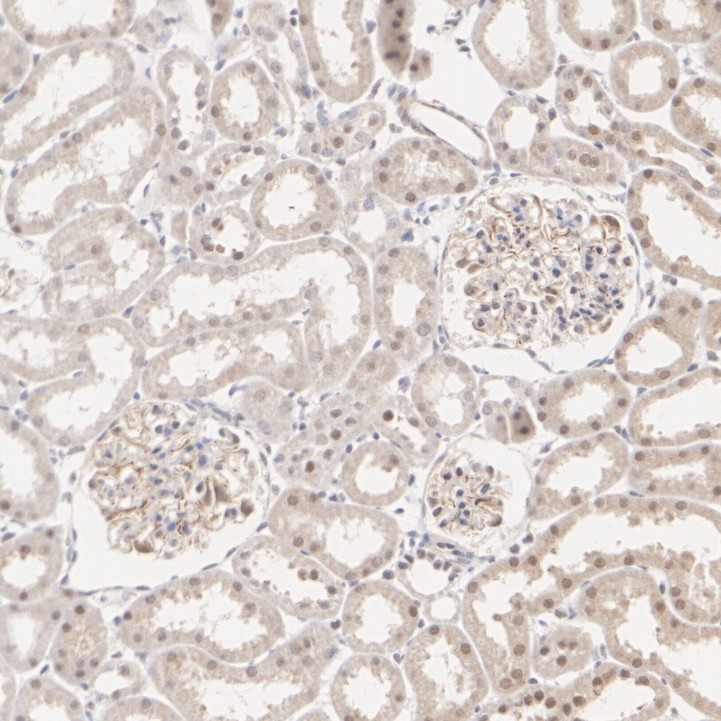
HAK21158_11.jpg Fig11: Immunohistochemical analysis of paraffin-embedded rat kidney tissue with Rabbit anti-Tyk2 antibody (ER1803-05) at 1/200 dilution.

The section was pre-treated using heat mediated antigen retrieval with sodium citrate buffer (pH 6.0) (high pressure) for 2 minutes. The tissues were blocked in 1% BSA for 20 minutes at room temperature, washed with ddH2O and PBS, and then probed with the primary antibody (ER1803-05) at 1/200 dilution for 1 hour at room temperature. The detection was performed using an HRP conjugated compact polymer system. DAB was used as the chromogen. Tissues were counterstained with hematoxylin and mounted with DPX.
Note: All products are “FOR RESEARCH USE ONLY AND ARE NOT INTENDED FOR DIAGNOSTIC OR THERAPEUTIC USE”.