Pro-Apoptosis Bcl-2 Family Antibody Sampler Kit
cat.: HAK21159
Product Type: Antibody Sampler Kit
Species reactivity: Human
Applications: WB
Form: Liquid
Storage condition: Store at +4℃ after thawing. Aliquot store at -20℃. Avoid repeated freeze / thaw cycles.
Storage buffer: 1*TBS (pH7.4), 0.05% BSA, 40% Glycerol. Preservative: 0.05% Sodium Azide.
Concentration: 1ug/ul
Uniprot #: SwissProt: Q92934 Human | Q61337 Mouse | O35147 Rat | Q07812 Human | Q07813 Mouse | Q63690 Rat | Q13323 Human | P55957 Human | P70444 Mouse | O43521 Human | O54918 Mouse | Q16611 Human | Q9BXH1 Human | Q99ML1 Mouse | Q80ZG6 Rat
Images
HAK21159_1.jpg Fig1: Western blot analysis of Bid on different lysates with Rabbit anti-Bid antibody (HA723593) at 1/5,000 dilution.

Lane 1: Jurkat cell lysate
Lane 2: HT-29 cell lysate
Lane 3: A549 cell lysate
Lane 4: RAW264.7 cell lysate

Lysates/proteins at 20 µg/Lane.

Predicted band size: 22 kDa
Observed band size: 22 kDa

Exposure time: 6 seconds; ECL: K1801;

4-20% SDS-PAGE gel.

Proteins were transferred to a PVDF membrane and blocked with 5% NFDM/TBST for 1 hour at room temperature. The primary antibody (HA723593) at 1/5,000 dilution was used in primary antibody dilution (K1803) at 4℃ overnight. Goat Anti-Rabbit IgG - HRP Secondary Antibody (HA1001) at 1/50,000 dilution was used for 1 hour at room temperature.
HAK21159_2.jpg Fig2: Bid was immunoprecipitated from 0.2 mg RAW264.7 cell lysate with HA723593 at 2 µg/10 µl beads. Western blot was performed from the immunoprecipitate using HA723593 at 1/5,000 dilution. HRP Conjugated Anti-Rabbit IgG for IP Nano-secondary antibody at 1/5,000 dilution was used for 1 hour at room temperature.

Lane 1: RAW264.7 cell lysate (input)
Lane 2: HA723593 IP in RAW264.7 cell lysate
Lane 3: Rabbit IgG instead of HA723593 in RAW264.7 cell lysate

Blocking/Dilution buffer: 5% NFDM/TBST
Exposure time: 46 seconds; ECL: K1801
HAK21159_3.jpg Fig3: Western blot analysis of BAX on different lysates with Rabbit anti-BAX antibody (ER0907) at 1/5,000 dilution and competitor's antibody at 1/1,000 dilution.

Lane 1: HeLa cell lysate
Lane 2: MCF7 cell lysate
Lane 3: HEK-293 cell lysate

Lysates/proteins at 15 µg/Lane.

Predicted band size: 21 kDa
Observed band size: 21 kDa

Exposure time: 1 minute 34 seconds; ECL: K1801;
4-20% SDS-PAGE gel.

Proteins were transferred to a PVDF membrane and blocked with 5% NFDM/TBST for 1 hour at room temperature. The primary antibody (ER0907) at 1/5,000 dilution and competitor's antibody at 1/1,000 dilution were used in 5% NFDM/TBST at 4℃ overnight. Goat Anti-Rabbit IgG - HRP Secondary Antibody (HA1001) at 1/50,000 dilution was used for 1 hour at room temperature.
HAK21159_4.jpg Fig4: Western blot analysis of BAX on different lysates with Rabbit anti-BAX antibody (ER0907) at 1/5,000 dilution.

Lane 1: HeLa cell lysate
Lane 2: MCF7 cell lysate
Lane 3: Daudi cell lysate
Lane 4: Raji cell lysate
Lane 5: Jurkat cell lysate

Lysates/proteins at 20 µg/Lane.

Predicted band size: 21 kDa
Observed band size: 21 kDa

Exposure time: 29 seconds; ECL: K1801;
4-20% SDS-PAGE gel.

Proteins were transferred to a PVDF membrane and blocked with 5% NFDM/TBST for 1 hour at room temperature. The primary antibody (ER0907) at 1/5,000 dilution was used in 5% NFDM/TBST at 4℃ overnight. Goat Anti-Rabbit IgG - HRP Secondary Antibody (HA1001) at 1:50,000 dilution was used for 1 hour at room temperature.
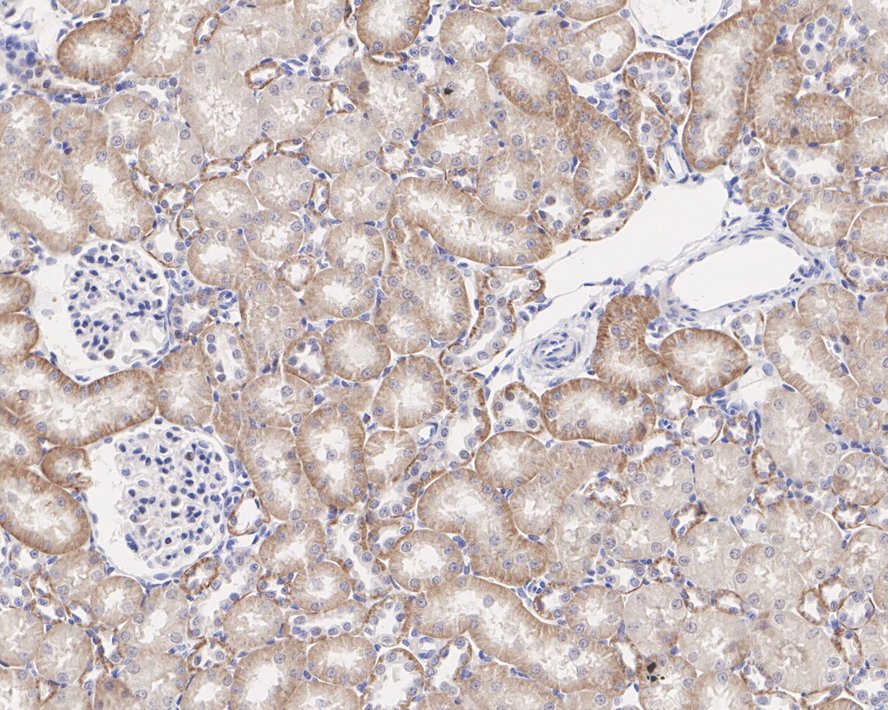
HAK21159_5.jpg Fig5: Immunohistochemical analysis of paraffin-embedded rat kidney tissue with Rabbit anti-BAX antibody (ER0907) at 1/1,000 dilution.

The section was pre-treated using heat mediated antigen retrieval with Tris-EDTA buffer (pH 9.0) for 20 minutes. The tissues were blocked in 1% BSA for 20 minutes at room temperature, washed with ddH2O and PBS, and then probed with the primary antibody (ER0907) at 1/1,000 dilution for 1 hour at room temperature. The detection was performed using an HRP conjugated compact polymer system. DAB was used as the chromogen. Tissues were counterstained with hematoxylin and mounted with DPX.
HAK21159_6.jpg Fig6: Western blot analysis of Bik on different lysates with Rabbit anti-Bik antibody (HA723343) at 1/10,000 dilution.

Lane 1: Ramos cell lysate
Lane 2: SK-Br-3 cell lysate (negative)
Lane 3: Raji cell lysate
Lane 4: THP-1 cell lysate

Lysates/proteins at 20 µg/Lane.

Predicted band size: 18 kDa
Observed band size: 18 kDa

Exposure time: 25 seconds; ECL: K1801;

4-20% SDS-PAGE gel.

Proteins were transferred to a PVDF membrane and blocked with 5% NFDM/TBST for 1 hour at room temperature. The primary antibody (HA723343) at 1/10,000 dilution was used in 5% NFDM/TBST at 4℃ overnight. Goat Anti-Rabbit IgG - HRP Secondary Antibody (HA1001) at 1/50,000 dilution was used for 1 hour at room temperature.
HAK21159_7.jpg Fig7: Bik was immunoprecipitated from 0.2 mg Ramos cell lysate with HA723343 at 2 µg/10 µl beads. Western blot was performed from the immunoprecipitate using HA723343 at 1/1,000 dilution. HRP Conjugated Anti-Rabbit IgG for IP Nano-secondary antibody at 1/5,000 dilution was used for 1 hour at room temperature.

Lane 1: Ramos cell lysate (input)
Lane 2: HA723343 IP in Ramos cell lysate
Lane 3: Rabbit IgG instead of HA723343 in Ramos cell lysate

Blocking/Dilution buffer: 5% NFDM/TBST
Exposure time: 20 seconds; ECL: K1801
HAK21159_8.jpg Fig8: Immunocytochemistry analysis of Ramos cells labeling Bik with Rabbit anti-Bik antibody (HA723343) at 1/100 dilution.

Cells were fixed in 4% paraformaldehyde for 15 minutes at room temperature, permeabilized with 0.1% Triton X-100 in PBS for 15 minutes at room temperature, then blocked with 1% BSA in 10% negative goat serum for 1 hour at room temperature. Cells were then incubated with Rabbit anti-Bik antibody (HA723343) at 1/100 dilution in 1% BSA in PBST overnight at 4 ℃. Goat Anti-Rabbit IgG H&L (iFluor™ 488, HA1121) was used as the secondary antibody at 1/1,000 dilution. PBS instead of the primary antibody was used as the secondary antibody only control. Nuclear DNA was labelled in blue with DAPI.

Beta tubulin (HA601187, red) was stained at 1/100 dilution overnight at +4℃. Goat Anti-Mouse IgG H&L (iFluor™ 594, HA1126) was used as the secondary antibody at 1/1,000 dilution.
HAK21159_9.jpg Fig9: Western blot analysis of Bim on different lysates with Rabbit anti-Bim antibody (ET1608-14) at 1/5,000 dilution.

Lane 1: Raji cell lysate
Lane 2: HeLa cell lysate
Lane 3: MCF7 cell lysate
Lane 4: RAW264.7 cell lysate

Lysates/proteins at 15 µg/Lane.

Predicted band size: 22 kDa
Observed band size: 25 kDa

Exposure time: 3 minutes 49 seconds;

4-20% SDS-PAGE gel.

Proteins were transferred to a PVDF membrane and blocked with 5% NFDM/TBST for 1 hour at room temperature. The primary antibody (ET1608-14) at 1/5,000 dilution was used in 5% NFDM/TBST at 4℃ overnight. Goat Anti-Rabbit IgG - HRP Secondary Antibody (HA1001) at 1/50,000 dilution was used for 1 hour at room temperature.
HAK21159_10.jpg Fig10: Flow cytometric analysis of RAW264.7 cells labeling Bim.

Cells were fixed and permeabilized. Then stained with the primary antibody (ET1608-14, 1μg/mL) (red) compared with Rabbit IgG Isotype Control (green). After incubation of the primary antibody at +4℃ for an hour, the cells were stained with a iFluor™ 488 conjugate-Goat anti-Rabbit IgG Secondary antibody (HA1121) at 1/1,000 dilution for 30 minutes at +4℃. Unlabelled sample was used as a control (cells without incubation with primary antibody; black).
HAK21159_11.jpg Fig11: Western blot analysis of Bak on different lysates with Rabbit anti-Bak antibody (ET1608-21) at 1/2,000 dilution.

Lane 1: HAP1-parental cell lysate
Lane 2: HAP1-Bak KD cell lysate

Lysates/proteins at 10 µg/Lane.

Predicted band size: 23 kDa
Observed band size: 23 kDa

Exposure time: 120 seconds; ECL: K1801;

4-20% SDS-PAGE gel.

Proteins were transferred to a PVDF membrane and blocked with 5% NFDM/TBST for 1 hour at room temperature. The primary antibody (ET1608-21) at 1/2,000 dilution was used in K1803 at 4℃ overnight. Goat Anti-Rabbit IgG - HRP Secondary Antibody (HA1001) at 1/50,000 dilution was used for 1 hour at room temperature.
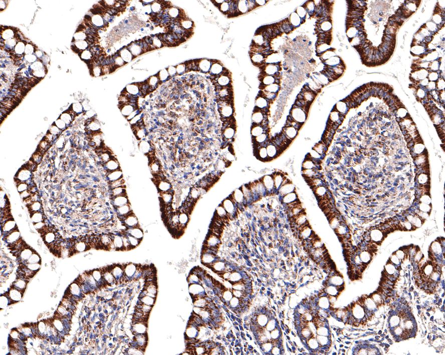
HAK21159_12.jpg Fig12: Immunohistochemical analysis of paraffin-embedded human small intestine tissue with Rabbit anti-Bak antibody (ET1608-21) at 1/500 dilution.

The section was pre-treated using heat mediated antigen retrieval with Tris-EDTA buffer (pH 9.0) for 20 minutes. The tissues were blocked in 1% BSA for 20 minutes at room temperature, washed with ddH2O and PBS, and then probed with the primary antibody (ET1608-21) at 1/500 dilution for 1 hour at room temperature. The detection was performed using an HRP conjugated compact polymer system. DAB was used as the chromogen. Tissues were counterstained with hematoxylin and mounted with DPX.
HAK21159_13.jpg Fig13: Western blot analysis of PUMA on different lysates with Rabbit anti-PUMA antibody (ET1602-24) at 1/2,000 dilution.

Lane 1: HeLa cell lysate
Lane 2: HepG2 cell lysate
Lane 3: HDLM-2 cell lysate
Lane 4: NIH/3T3 cell lysate

Lysates/proteins at 20 µg/Lane.

Predicted band size: 21 kDa
Observed band size: 21 kDa

Exposure time: 24 seconds; ECL: K1801;

4-20% SDS-PAGE gel.

Proteins were transferred to a PVDF membrane and blocked with 5% NFDM/TBST for 1 hour at room temperature. The primary antibody (ET1602-24) at 1/2,000 dilution was used in 5% NFDM/TBST at 4℃ overnight. Goat Anti-Rabbit IgG - HRP Secondary Antibody (HA1001) at 1/50,000 dilution was used for 1 hour at room temperature.
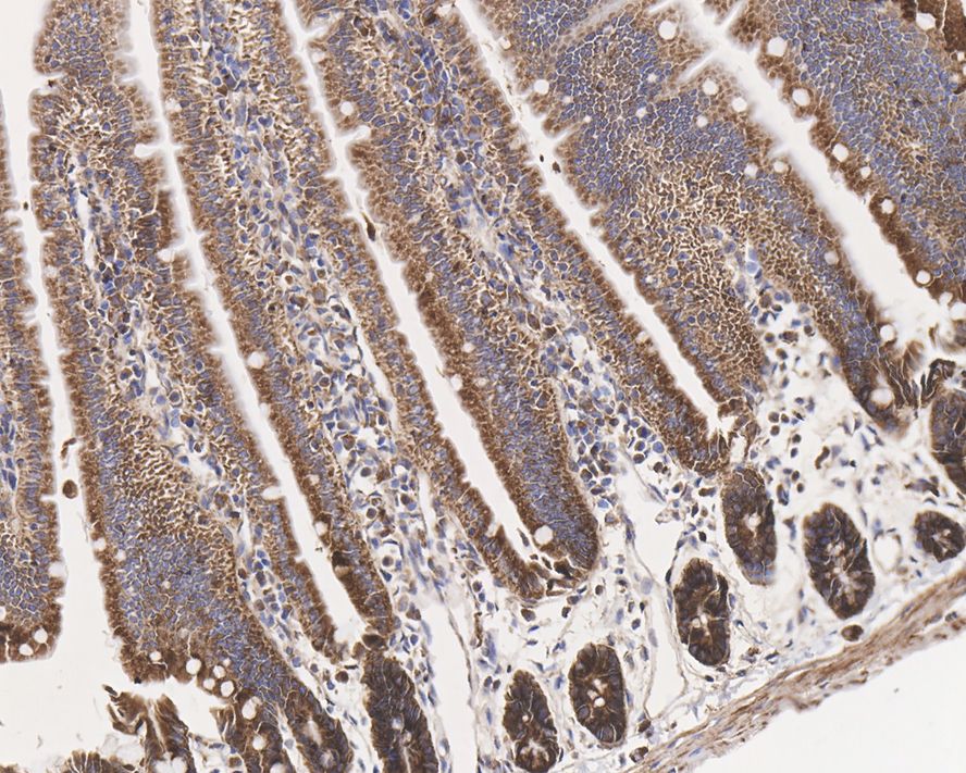
HAK21159_14.jpg Fig14: Immunohistochemical analysis of paraffin-embedded mouse small intestine tissue with Rabbit anti-PUMA antibody (ET1602-24) at 1/1,000 dilution.

The section was pre-treated using heat mediated antigen retrieval with Tris-EDTA buffer (pH 9.0) for 20 minutes. The tissues were blocked in 1% BSA for 20 minutes at room temperature, washed with ddH2O and PBS, and then probed with the primary antibody (ET1602-24) at 1/1,000 dilution for 1 hour at room temperature. The detection was performed using an HRP conjugated compact polymer system. DAB was used as the chromogen. Tissues were counterstained with hematoxylin and mounted with DPX.
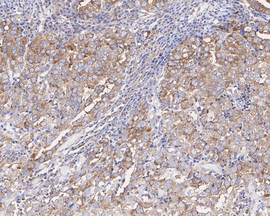
HAK21159_15.jpg Fig15: Immunohistochemical analysis of paraffin-embedded human stomach cancer tissue with Rabbit anti-PUMA antibody (ET1602-24) at 1/1,000 dilution.

The section was pre-treated using heat mediated antigen retrieval with Tris-EDTA buffer (pH 9.0) for 20 minutes. The tissues were blocked in 1% BSA for 20 minutes at room temperature, washed with ddH2O and PBS, and then probed with the primary antibody (ET1602-24) at 1/1,000 dilution for 1 hour at room temperature. The detection was performed using an HRP conjugated compact polymer system. DAB was used as the chromogen. Tissues were counterstained with hematoxylin and mounted with DPX.
Note: All products are “FOR RESEARCH USE ONLY AND ARE NOT INTENDED FOR DIAGNOSTIC OR THERAPEUTIC USE”.