pan Cytokeratin Recombinant Mouse Monoclonal Antibody
cat.: IRS010
Product Type: Recombinant Mouse monoclonal IgG1, primary antibodies
Species reactivity: Human
Applications: mIHC
Clonality: Monoclonal
Form: Liquid
Storage condition: Shipped at 4℃. Store at +4℃ short term (1-2 weeks). It is recommended to aliquot into single-use upon delivery. Store at -20℃ long term.
Storage buffer: PBS (pH7.4), 0.05% BSA, 40% Glycerol. Preservative: 0.05% Sodium Azide.
Purification: Protein A affinity purified.
Isotype: IgG1
Immunogen: Full length native protein corresponding to Human pan Cytokeratin.
Positive control: Human cholangiocarcinoma tissue, human lung cancer with brain metastasis tissue, human colorectal cancer tissue, human gastric cancer tissue, human small cell lung cancer tissue, human pancreatic cancer tissue, human tonsil tissue, human ovarian cancer tissue, human lung squamous cell carcinoma tissue, human liver tissue, human intrahepatic bile duct carcinoma tissue, human gastric cancer tissue.
Subcellular location: Cytoplasmic
Recommended Dilutions:
  mIHC

1:100. This antibody has been validated for multiplex staining with LUMINIRIS mTSA, supporting both multiplex and super-multiplex staining.
Uniprot #: SwissProt: Q01546 Human | Q7Z794 Human
Alternative names: pan Cytokeratin pan-Cytokeratin pan ck pan Keratin pan-ck panck
Images
IRS010_1.jpg Fig1: mIHC analysis of human cholangiocarcinoma tissue (Formalin/PFA-fixed paraffin-embedded sections) with CD11c (IRS001), CD20 (IRS003), CD8 and panCK (IRS010) antibody at 1/100 dilution. The immunostaining was performed with the IRISKitCmTSA Kit (900802). Heat mediated antigen retrieval with Tris-EDTA buffer (pH 9.0) for 30 mins at 95℃. DAPI (blue) was used as a nuclear counter stain. Image acquisition was performed with Olympus VS200 Slide Scanner.
IRS010_2.jpg Fig2: mIHC analysis of human cholangiocarcinoma tissue (Formalin/PFA-fixed paraffin-embedded sections) with CD11c (IRS001), CD68 (IRS004), CD20 (IRS003), CD38 (IRS006), CD8 and panCK (IRS010) antibody at 1/100 dilution. The immunostaining was performed with the IRISKitCmTSA Kit (900802). Heat mediated antigen retrieval with Tris-EDTA buffer (pH 9.0) for 30 mins at 95℃. DAPI (blue) was used as a nuclear counter stain. Image acquisition was performed with Olympus VS200 Slide Scanner.
IRS010_3.jpg Fig3: mIHC analysis of human lung cancer with brain metastasis tissue (Formalin/PFA-fixed paraffin-embedded sections) with CD3, CD20 (IRS003), panCK (IRS010), CD68 (IRS004) and Ki67 antibody at 1/100 dilution. The immunostaining was performed with the IRISKitCmTSA Kit (900802). Heat mediated antigen retrieval with Tris-EDTA buffer (pH 9.0) for 30 mins at 95℃. DAPI (blue) was used as a nuclear counter stain. Image acquisition was performed with Olympus VS200 Slide Scanner.
IRS010_4.jpg Fig4: mIHC analysis of human colorectal cancer tissue (Formalin/PFA-fixed paraffin-embedded sections) with CD8, CD20 (IRS003), CD68 (IRS004), CD4 (IRS005) and panCK (IRS010) antibody at 1/100 dilution. The immunostaining was performed with the IRISKitCmTSA Kit (900802). Heat mediated antigen retrieval with Tris-EDTA buffer (pH 9.0) for 30 mins at 95℃. DAPI (blue) was used as a nuclear counter stain. Image acquisition was performed with Olympus VS200 Slide Scanner.
IRS010_5.jpg Fig5: mIHC analysis of human gastric cancer tissue (Formalin/PFA-fixed paraffin-embedded sections) with PD-L1, CD8, CD3, CD68 (IRS004), CD20 (IRS003) and panCK (IRS010) antibody at 1/100 dilution. The immunostaining was performed with the IRISKitCmTSA Kit (900802). Heat mediated antigen retrieval with Tris-EDTA buffer (pH 9.0) for 30 mins at 95℃. DAPI (blue) was used as a nuclear counter stain. Image acquisition was performed with Olympus VS200 Slide Scanner.
IRS010_6.jpg Fig6: mIHC analysis of human small cell lung cancer tissue (Formalin/PFA-fixed paraffin-embedded sections) with PD-L1, CD8, CD3, CD68 (IRS004), CD20 (IRS003) and panCK (IRS010) antibody at 1/100 dilution. The immunostaining was performed with the IRISKitCmTSA Kit (900802). Heat mediated antigen retrieval with Tris-EDTA buffer (pH 9.0) for 30 mins at 95℃. DAPI (blue) was used as a nuclear counter stain. Image acquisition was performed with Olympus VS200 Slide Scanner.
IRS010_7.jpg Fig7: mIHC analysis of human pancreatic cancer tissue (Formalin/PFA-fixed paraffin-embedded sections) with CD3, CD68 (IRS004), CD20 (IRS003) and panCK (IRS010) antibody at 1/100 dilution. The immunostaining was performed with the IRISKitCmTSA Kit (900802). Heat mediated antigen retrieval with Tris-EDTA buffer (pH 9.0) for 30 mins at 95℃. DAPI (blue) was used as a nuclear counter stain. Image acquisition was performed with Olympus VS200 Slide Scanner.
IRS010_8.jpg Fig8: mIHC analysis of human tonsil tissue (Formalin/PFA-fixed paraffin-embedded sections) with CD56 (IRS026), CD68 (IRS004), CD163 (IRS002), panCK (IRS010) and CD20 (IRS003) antibody at 1/100 dilution. The immunostaining was performed with the IRISKitCmTSA Kit (900802). Heat mediated antigen retrieval with Tris-EDTA buffer (pH 9.0) for 30 mins at 95℃. DAPI (blue) was used as a nuclear counter stain. Image acquisition was performed with Olympus VS200 Slide Scanner.
IRS010_9.jpg Fig9: mIHC analysis of human lung cancer tissue (Formalin/PFA-fixed paraffin-embedded sections) with panCK (IRS010), CD3 (IRS022) and Ki67 (IRS036) antibody at 1/100 dilution. The immunostaining was performed with the IRISKitCmTSA Kit (900802). Heat mediated antigen retrieval with Tris-EDTA buffer (pH 9.0) for 30 mins at 95℃. DAPI (blue) was used as a nuclear counter stain. Image acquisition was performed with Olympus VS200 Slide Scanner.
IRS010_10.jpg Fig10: mIHC analysis of human lung cancer tissue (Formalin/PFA-fixed paraffin-embedded sections) with CD34 (IRS024), panCK (IRS010), FAP and aSMA (IRS012) antibody at 1/100 dilution. The immunostaining was performed with the IRISKitCmTSA Kit (900802). Heat mediated antigen retrieval with Tris-EDTA buffer (pH 9.0) for 30 mins at 95℃. DAPI (blue) was used as a nuclear counter stain. Image acquisition was performed with Olympus VS200 Slide Scanner.
IRS010_11.jpg Fig11: mIHC analysis of human lung cancer tissue (Formalin/PFA-fixed paraffin-embedded sections) with FOXP3 (IRS008), CD57 (IRS027), MPO (IRS037), CD8 (IRS007) and panCK (IRS010) antibody at 1/100 dilution. The immunostaining was performed with the IRISKitCmTSA Kit (900802). Heat mediated antigen retrieval with Tris-EDTA buffer (pH 9.0) for 30 mins at 95℃. DAPI (blue) was used as a nuclear counter stain. Image acquisition was performed with Olympus VS200 Slide Scanner.
IRS010_12.jpg Fig12: mIHC analysis of human ovarian cancer tissue (Formalin/PFA-fixed paraffin-embedded sections) with Ki67 (IRS036), panCK (IRS010) and HER2 (IRS034) antibody at 1/100 dilution. The immunostaining was performed with the IRISKitCmTSA Kit (900802). Heat mediated antigen retrieval with Tris-EDTA buffer (pH 9.0) for 30 mins at 95℃. DAPI (blue) was used as a nuclear counter stain. Image acquisition was performed with Olympus VS200 Slide Scanner.
IRS010_13.jpg Fig13: mIHC analysis of human gastric cancer tissue (Formalin/PFA-fixed paraffin-embedded sections) with CD11b (IRS014), CD31 (IRS023), aSMA (IRS012), panCK (IRS010) and CD3 (IRS022) antibody at 1/100 dilution. The immunostaining was performed with the IRISKitCmTSA Kit (900802). Heat mediated antigen retrieval with Tris-EDTA buffer (pH 9.0) for 30 mins at 95℃. DAPI (blue) was used as a nuclear counter stain. Image acquisition was performed with Olympus VS200 Slide Scanner.
IRS010_14.jpg Fig14: mIHC analysis of human tonsil tissue (Formalin/PFA-fixed paraffin-embedded sections) with Mouse anti-pan Cytokeratin antibody (IRS010) at 1/100 dilution. The immunostaining was performed with the IRISKitCmTSA Kit (900809). Heat mediated antigen retrieval with Tris-EDTA buffer (pH 9.0) for 30 mins at 95℃. DAPI (blue) was used as a nuclear counter stain. Image acquisition was performed with Olympus VS200 Slide Scanner.
IRS010_15.jpg Fig15: mIHC analysis of human lung squamous cell carcinoma tissue (Formalin/PFA-fixed paraffin-embedded sections) with Mouse anti-pan Cytokeratin antibody (IRS010) at 1/100 dilution. The immunostaining was performed with the IRISKitCmTSA Kit (900809). Heat mediated antigen retrieval with Tris-EDTA buffer (pH 9.0) for 30 mins at 95℃. DAPI (blue) was used as a nuclear counter stain. Image acquisition was performed with Olympus VS200 Slide Scanner.
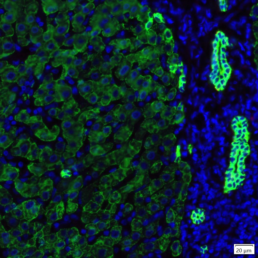
IRS010_16.jpg Fig16: mIHC analysis of human liver tissue (Formalin/PFA-fixed paraffin-embedded sections) with Mouse anti-pan Cytokeratin antibody (IRS010) at 1/100 dilution. The immunostaining was performed with the IRISKitCmTSA Kit (900809). Heat mediated antigen retrieval with Tris-EDTA buffer (pH 9.0) for 30 mins at 95℃. DAPI (blue) was used as a nuclear counter stain. Image acquisition was performed with Olympus VS200 Slide Scanner.
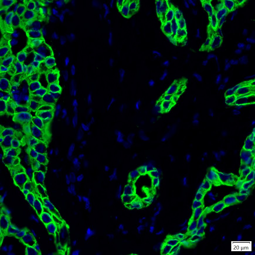
IRS010_17.jpg Fig17: mIHC analysis of human intrahepatic bile duct carcinoma tissue (Formalin/PFA-fixed paraffin-embedded sections) with Mouse anti-pan Cytokeratin antibody (IRS010) at 1/100 dilution. The immunostaining was performed with the IRISKitCmTSA Kit (900809). Heat mediated antigen retrieval with Tris-EDTA buffer (pH 9.0) for 30 mins at 95℃. DAPI (blue) was used as a nuclear counter stain. Image acquisition was performed with Olympus VS200 Slide Scanner.
IRS010_18.jpg Fig18: mIHC analysis of human gastric cancer tissue (Formalin/PFA-fixed paraffin-embedded sections) with Mouse anti-pan Cytokeratin antibody (IRS010) at 1/100 dilution. The immunostaining was performed with the IRISKitCmTSA Kit (900809). Heat mediated antigen retrieval with Tris-EDTA buffer (pH 9.0) for 30 mins at 95℃. DAPI (blue) was used as a nuclear counter stain. Image acquisition was performed with Olympus VS200 Slide Scanner.
Note: All products are “FOR RESEARCH USE ONLY AND ARE NOT INTENDED FOR DIAGNOSTIC OR THERAPEUTIC USE”.