CD11b Recombinant Rabbit Monoclonal Antibody
cat.: IRS014
Product Type: Recombinant Rabbit monoclonal IgG, primary antibodies
Species reactivity: Human
Applications: mIHC
Clonality: Monoclonal
Form: Liquid
Storage condition: Shipped at 4℃. Store at +4℃ short term (1-2 weeks). It is recommended to aliquot into single-use upon delivery. Store at -20℃ long term.
Storage buffer: PBS (pH7.4), 0.1% BSA, 40% Glycerol. Preservative: 0.05% Sodium Azide.
Purification: Protein A affinity purified.
Molecular weight: Predicted band size: 127 kDa
Isotype: IgG
Immunogen: Synthetic peptide within Human CD11b 1103-1152 / 1152.
Positive control: Human gastric cancer tissue, human liver tissue.
Subcellular location: Cell membrane, Membrane raft.
Recommended Dilutions:
  mIHC

1:100
Uniprot #: SwissProt: P11215 Human
Alternative names: antigen CD11b (p170) Antigen CD11b p170 CD11 antigen like family member B CD11 antigen-like family member B CD11b CD11b/CD18 CD49d Cell surface glycoprotein MAC-1 subunit alpha Complement component 3 receptor 3 subunit Complement Component Receptor 3 Alpha Complement receptor type 3, alpha subunit CR 3 alpha chain (CR3A) CR 3 alpha chain CR-3 alpha chain CR3 CR3A F730045J24Rik Integrin Alpha M Integrin alpha M chain Integrin alpha-M Integrin beta 2 alpha subunit Integrin subunit alpha M integrin, alpha M (complement component 3 receptor 3 subunit) ITAM_HUMAN ITGAM Leukocyte adhesion receptor MO1 Ly-40 MAC 1 Mac-1a MAC1 Mac1, alpha subunit MAC1A Macrophage antigen alpha polypeptide MGC117044 Mo1, alpha subunit MO1A Neutrophil adherence receptor alpha M subunit Neutrophil adherence receptor SLEB6
Images
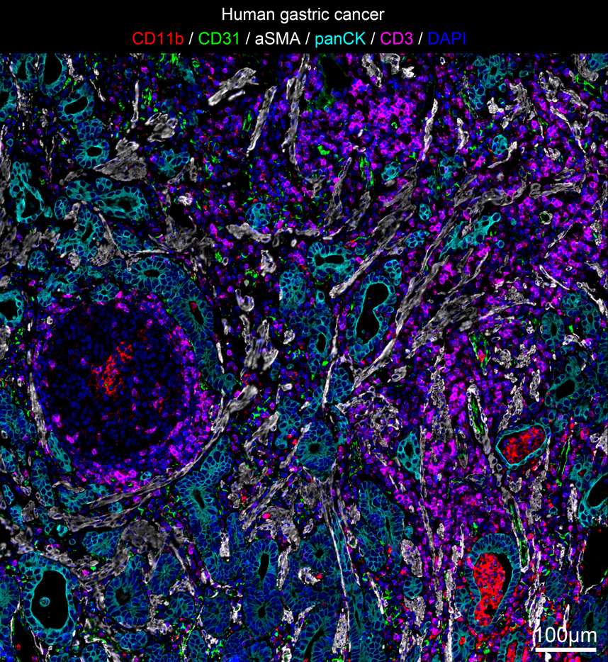
IRS014_1.jpg Fig1: mIHC analysis of human gastric cancer tissue (Formalin/PFA-fixed paraffin-embedded sections) with CD11b (IRS014), CD31 (IRS023), aSMA (IRS012), panCK (IRS010) and CD3 (IRS022) antibody at 1/100 dilution. The immunostaining was performed with the IRISKitCmTSA Kit (900802). Heat mediated antigen retrieval with Tris-EDTA buffer (pH 9.0) for 30 mins at 95℃. DAPI (blue) was used as a nuclear counter stain. Image acquisition was performed with Olympus VS200 Slide Scanner.
IRS014_2.jpg Fig2: mIHC analysis of human liver tissue (Formalin/PFA-fixed paraffin-embedded sections) with Rabbit anti-CD11b antibody (IRS014) at 1/100 dilution. The immunostaining was performed with the IRISKitCmTSA Kit (900808). Heat mediated antigen retrieval with Tris-EDTA buffer (pH 9.0) for 30 mins at 95℃. DAPI (blue) was used as a nuclear counter stain. Image acquisition was performed with Olympus VS200 Slide Scanner.
Note: All products are “FOR RESEARCH USE ONLY AND ARE NOT INTENDED FOR DIAGNOSTIC OR THERAPEUTIC USE”.