CD20 Recombinant Antibody - Rat IgG1 (Chimeric)
cat.: IRS113RT
Product Type: Recombinant Chimeric Antibody IgG1, primary antibodies
Species reactivity: Human
Applications: mIHC
Form: Liquid
Storage condition: Shipped at 4℃. Store at +4℃ short term (1-2 weeks). It is recommended to aliquot into single-use upon delivery. Store at -20℃ long term.
Storage buffer: 1*PBS (pH7.4), 0.1% BSA, 40% Glycerol, 0.2% Proclean 950.
Purification: Protein A affinity purified.
Molecular weight: Predicted band size: 33 kDa
Isotype: IgG1
Immunogen: Synthetic peptide within Human CD20 aa 210-297 (Cytoplasmic).
Positive control: Human tonsil tissue.
Subcellular location: Cell membrane.
Recommended Dilutions:
  mIHC

1:100
Uniprot #: SwissProt: P11836 Human
Alternative names: APY ATOPY B lymphocyte antigen CD20 B Lymphocyte Cell Surface Antigen B1 B-lymphocyte antigen CD20 B-lymphocyte cell-surface antigen B1 B-lymphocyte surface antigen B1 B1 Bp 35 Bp35 CD 20 CD20 CD20 antigen CD20 receptor CD20_HUMAN CVID 5 CVID5 Fc epsilon receptor I beta chain Fc Fragment of IgE high affinity I receptor for beta polypeptide FCER1B High affinity immunoglobulin epsilon receptor subunit beta IgE Fc receptor subunit beta IGEL IGER IGHER LEU 16 Leu-16 LEU16 leukocyte surface antigen Leu 16 Leukocyte surface antigen Leu-16 Ly44 Membrane spanning 4 domains A1 Membrane spanning 4 domains subfamily A member 2 membrane-spanning 4-domains A1 Membrane-spanning 4-domains subfamily A member 1 MGC3969 MS4A1 MS4A2 S7
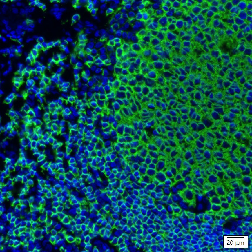
Images
IRS113RT_1.jpg Fig1: mIHC analysis of human tonsil tissue (Formalin/PFA-fixed paraffin-embedded sections) with Rat anti-CD20 antibody (IRS113RT) at 1/100 dilution. The immunostaining was performed with the IRISKitCmTSA Kit (900810). Heat mediated antigen retrieval with Tris-EDTA buffer (pH 9.0) for 30 mins at 95℃. DAPI (blue) was used as a nuclear counter stain. Image acquisition was performed with Olympus VS200 Slide Scanner.
Note: All products are “FOR RESEARCH USE ONLY AND ARE NOT INTENDED FOR DIAGNOSTIC OR THERAPEUTIC USE”.