Collagen XVII Recombinant Rabbit Monoclonal Antibody
cat.: IRS138RB
Product Type: Recombinant Rabbit monoclonal IgG, primary antibodies
Species reactivity: Mouse
Applications: mIHC
Clonality: Monoclonal
Form: Liquid
Storage condition: Shipped at 4℃. Store at +4℃ short term (1-2 weeks). It is recommended to aliquot into single-use upon delivery. Store at -20℃ long term.
Storage buffer: 1*PBS (pH7.4), 0.1% BSA, 40% Glycerol, 0.2% Proclean 950.
Purification: Protein A affinity purified.
Molecular weight: Predicted band size: 148 kDa
Isotype: IgG
Immunogen: Recombinant protein within Human Collagen XVII aa 1313-1420 / 1497.
Positive control: Mouse skin tissue.
Subcellular location: Cell junction, Membrane, Secreted
Recommended Dilutions:
  mIHC

1:100
Uniprot #: SwissProt: Q07563 Mouse
Alternative names: 180 kDa bullous pemphigoid antigen 2 Alpha 1 type XVII collagen BA16H23.2 BP 180 BP180 BPA 2 BPAG 2 BPAG2 Bullous pemphigoid antigen 2 COL17A1 Collagen 17 Collagen alpha 1 XVII chain Collagen alpha 1(XVII) chain Collagen alpha1 XVII chain Collagen type XVII alpha 1 Collagen XVII alpha 1 polypeptide CollagenXVII Epidermolysis bullosa junctional localisata variant FLJ60881 KIAA0204 LAD 1 LAD1
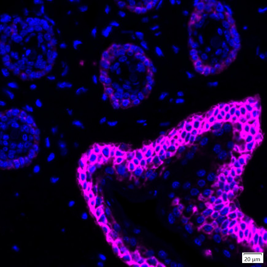
Images
IRS138RB_1.jpg Fig1: mIHC analysis of mouse skin tissue (Formalin/PFA-fixed paraffin-embedded sections) with Rabbit anti-Collagen XVII antibody (IRS138RB) at 1/100 dilution. The immunostaining was performed with the IRISKitCmTSA Kit (900808). Heat mediated antigen retrieval with Tris-EDTA buffer (pH 9.0) for 30 mins at 95℃. DAPI (blue) was used as a nuclear counter stain. Image acquisition was performed with Olympus VS200 Slide Scanner.
Note: All products are “FOR RESEARCH USE ONLY AND ARE NOT INTENDED FOR DIAGNOSTIC OR THERAPEUTIC USE”.