Laminin beta 1 Recombinant Rabbit Monoclonal Antibody
cat.: IRS164RB
Product Type: Recombinant Rabbit monoclonal IgG, primary antibodies
Species reactivity: Human
Applications: mIHC
Clonality: Monoclonal
Form: Liquid
Storage condition: Shipped at 4℃. Store at +4℃ short term (1-2 weeks). It is recommended to aliquot into single-use upon delivery. Store at -20℃ long term.
Storage buffer: 1*PBS (pH7.4), 0.1% BSA, 40% Glycerol, 0.2% Proclean 950.
Purification: Protein A affinity purified.
Molecular weight: Predicted band size: 198 kDa
Isotype: IgG
Immunogen: Synthetic peptide within Human Laminin beta 1 aa 1,721-1,769 / 1,786.
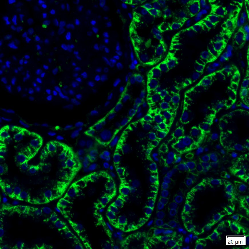
Positive control: Human kidney tissue.
Subcellular location: Secreted.
Recommended Dilutions:
  mIHC

1:100
Uniprot #: SwissProt: P07942 Human
Alternative names: CLM Cutis laxa with marfanoid phenotype LAM B1 LAMB 1 LAMB1 LAMB1_HUMAN Laminin B1 Laminin B1 chain Laminin beta 1 chain Laminin beta 1 chain precursor Laminin beta1 Laminin subunit beta 1 Laminin subunit beta-1 Laminin-1 subunit beta Laminin-10 subunit beta Laminin-12 subunit beta Laminin-2 subunit beta Laminin-6 subunit beta Laminin-8 subunit beta LIS5 MGC142015
Images
IRS164RB_1.jpg Fig1: mIHC analysis of human kidney tissue (Formalin/PFA-fixed paraffin-embedded sections) with Rabbit anti-Laminin beta 1 antibody (IRS164RB) at 1/100 dilution. The immunostaining was performed with the IRISKitCmTSA Kit (900808). Heat mediated antigen retrieval with Tris-EDTA buffer (pH 9.0) for 30 mins at 95℃. DAPI (blue) was used as a nuclear counter stain. Image acquisition was performed with Olympus VS200 Slide Scanner.
Note: All products are “FOR RESEARCH USE ONLY AND ARE NOT INTENDED FOR DIAGNOSTIC OR THERAPEUTIC USE”.