Parkinson's Research Antibody Sampler Kit
cat.: K2003
Product Type: Antibody Sampler Kit
Species reactivity: Human, Mouse
Applications: WB
Form: Liquid
Storage condition: Store at +4℃ after thawing. Aliquot store at -20℃. Avoid repeated freeze / thaw cycles.
Storage buffer: 1*TBS (pH7.4), 0.05% BSA, 40% Glycerol. Preservative: 0.05% Sodium Azide.
Uniprot #: SwissProt: Q99497 Human | Q99LX0 Mouse | O88767 Rat | Q5S007 Human | Q5S006 Mouse | O60260 Human | Q9WVS6 Mouse | Q9JK66 Rat | Q9BXM7 Human | Q99MQ3 Mouse | B5DFG1 Rat | P37840 Human
Entrez Gene: 300160 Rat
Alternative names: CAP1 DJ-1 DJ1 DJ1 protein Epididymis secretory sperm binding protein Li 67p FLJ27376 FLJ34360 FLJ92274 HEL S 67p Oncogene DJ1 OTTHUMP00000001348 OTTHUMP00000001349 OTTHUMP00000001350 OTTHUMP00000001351 PARK7 PARK7_HUMAN Parkinson disease (autosomal recessive early onset) 7 Parkinson disease protein 7 Parkinson protein 7 Protein DJ-1 SP22
Images
K2003_1.jpg Fig1: Western blot analysis of PARK7/DJ1 on different lysates with Rabbit anti-PARK7/DJ1 antibody (ET1611-45) at 1/2,000 dilution.

Lane 1: HeLa cell lysate
Lane 2: SH-SY5Y cell lysate
Lane 3: HepG2 cell lysate
Lane 4: Mouse brain tissue lysate
Lane 5: Rat brain tissue lysate

Lysates/proteins at 20 µg/Lane.

Predicted band size: 20 kDa
Observed band size: 20 kDa

Exposure time: 20 seconds; ECL: K1801;

4-20% SDS-PAGE gel.

Proteins were transferred to a PVDF membrane and blocked with 5% NFDM/TBST for 1 hour at room temperature. The primary antibody (ET1611-45) at 1/2,000 dilution was used in 5% NFDM/TBST at 4℃ overnight. Goat Anti-Rabbit IgG - HRP Secondary Antibody (HA1001) at 1/50,000 dilution was used for 1 hour at room temperature.
K2003_2.jpg Fig2: Western blot analysis of PARK7/DJ1 on different lysates with Rabbit anti-PARK7/DJ1 antibody (ET1611-45) at 1/1,000 dilution.

Lane 1: A549-si NT cell lysate
Lane 2: A549-si PARK7/DJ1 cell lysate

Lysates/proteins at 20 µg/Lane.

Predicted band size: 20 kDa
Observed band size: 20 kDa

Exposure time: 30 seconds; ECL: K1801;

4-20% SDS-PAGE gel.

Proteins were transferred to a PVDF membrane and blocked with 5% NFDM/TBST for 1 hour at room temperature. The primary antibody (ET1611-45) at 1/1,000 dilution was used in 5% NFDM/TBST at 4℃ overnight. Goat Anti-Rabbit IgG - HRP Secondary Antibody (HA1001) at 1/50,000 dilution was used for 1 hour at room temperature.
K2003_3.jpg Fig3: Immunofluorescence analysis of frozen rat brain tissue with Rabbit anti-LRRK2 antibody (HA722932) at 1/200 dilution.

The section was pre-treated using heat mediated antigen retrieval with sodium citrate buffer (pH 6.0) for about 2 minutes in microwave oven. The tissues were blocked in 10% negative goat serum for 1 hour at room temperature, washed with PBS, and then probed with the primary antibody (HA722932, green) at 1/200 dilution overnight at 4 ℃, washed with PBS. Goat Anti-Rabbit IgG H&L (iFluor™ 488, HA1121) was used as the secondary antibody at 1/1,000 dilution. Nuclei were counterstained with DAPI (blue).
K2003_4.jpg Fig4: Immunocytochemistry analysis of SH-SY5Y cells labeling Parkin with Rabbit anti-Parkin antibody (ET1702-60) at 1/100 dilution.

Cells were fixed in 4% paraformaldehyde for 10 minutes at 37 ℃, permeabilized with 0.05% Triton X-100 in PBS for 20 minutes, and then blocked with 2% negative goat serum for 30 minutes at room temperature. Cells were then incubated with Rabbit anti-Parkin antibody (ET1702-60) at 1/100 dilution in 2% negative goat serum overnight at 4 ℃. Goat Anti-Rabbit IgG H&L (iFluor™ 488, HA1121) was used as the secondary antibody at 1/1,000 dilution. Nuclear DNA was labelled in blue with DAPI.

Beta tubulin (M1305-2, red) was stained at 1/200 dilution overnight at +4℃. Goat Anti-Mouse IgG H&L (iFluor™ 594, HA1126) was used as the secondary antibody at 1/1,000 dilution.
K2003_5.jpg Fig5: Immunohistochemical analysis of paraffin-embedded mouse testis tissue using anti-Parkin antibody. The section was pre-treated using heat mediated antigen retrieval with Tris-EDTA buffer (pH 8.0-8.4) for 20 minutes.The tissues were blocked in 5% BSA for 30 minutes at room temperature, washed with ddH2O and PBS, and then probed with the primary antibody (ET1702-60, 1/50) for 30 minutes at room temperature. The detection was performed using an HRP conjugated compact polymer system. DAB was used as the chromogen. Tissues were counterstained with hematoxylin and mounted with DPX.
K2003_6.jpg Fig6: Immunocytochemistry analysis of HeLa cells labeling PARK7/DJ1 with Rabbit anti-PARK7/DJ1 antibody (ET1611-45) at 1/100 dilution.

Cells were fixed in 100% precooled methanol for 5 minutes at room temperature, then blocked with 1% BSA in 10% negative goat serum for 1 hour at room temperature. Cells were then incubated with Rabbit anti-PARK7/DJ1 antibody (ET1611-45) at 1/100 dilution in 1% BSA in PBST overnight at 4 ℃. Goat Anti-Rabbit IgG H&L (iFluor™ 488, HA1121) was used as the secondary antibody at 1/1,000 dilution. PBS instead of the primary antibody was used as the secondary antibody only control. Nuclear DNA was labelled in blue with DAPI.

Beta tubulin (M1305-2, red) was stained at 1/100 dilution overnight at +4℃. Goat Anti-Mouse IgG H&L (iFluor™ 594, HA1126) was used as the secondary antibody at 1/1,000 dilution.
K2003_7.jpg Fig7: Western blot analysis of Parkin on different lysates with Rabbit anti-Parkin antibody (HA722952) at 1/2,000 dilution.

Lane 1: SH-SY5Y cell lysate (20 µg/Lane)
Lane 2: 293T cell lysate (20 µg/Lane)
Lane 3: COS-1 cell lysate (20 µg/Lane)
Lane 4: Neuro-2a cell lysate (20 µg/Lane)
Lane 5: C6 cell lysate (20 µg/Lane)
Lane 6: Mouse brain tissue lysate (30 µg/Lane)
Lane 7: Rat brain tissue lysate (30 µg/Lane)

Predicted band size: 52 kDa
Observed band size: 52 kDa

Exposure time: 6 seconds; ECL: K1801;
4-20% SDS-PAGE gel.

Proteins were transferred to a PVDF membrane and blocked with 5% NFDM/TBST for 1 hour at room temperature. The primary antibody (HA722952) at 1/2,000 dilution was used in 5% NFDM/TBST at 4℃ overnight. Goat Anti-Rabbit IgG - HRP Secondary Antibody (HA1001) at 1/50,000 dilution was used for 1 hour at room temperature.
K2003_8.jpg Fig8: Application: IHC-Fr

Species: Mouse

Site: Cerebral cortex

Sample: Frozen section

Antibody concentration: 1/500

Antigen retrieval: The section was pre-treated using heat mediated antigen retrieval with sodium citrate buffer (pH 6.0) for about 2 minutes in microwave oven.
K2003_9.jpg Fig9: Application: IHC-Fr

Species: Rat

Site: Cerebral cortex

Sample: Frozen section

Antibody concentration: 1/500

Antigen retrieval: The section was pre-treated using heat mediated antigen retrieval with sodium citrate buffer (pH 6.0) for about 2 minutes in microwave oven.
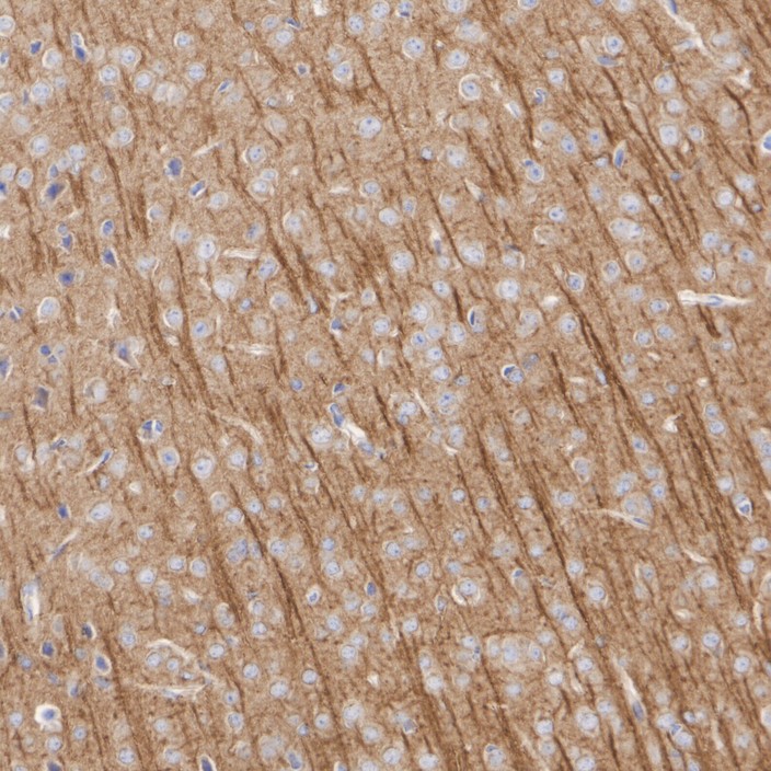
K2003_10.jpg Fig10: Immunohistochemical analysis of paraffin-embedded mouse brain tissue with Rabbit anti-Parkin antibody (HA722952) at 1/1,000 dilution.

The section was pre-treated using heat mediated antigen retrieval with Tris-EDTA buffer (pH 9.0) for 20 minutes. The tissues were blocked in 1% BSA for 20 minutes at room temperature, washed with ddH2O and PBS, and then probed with the primary antibody (HA722952) at 1/1,000 dilution for 1 hour at room temperature. The detection was performed using an HRP conjugated compact polymer system. DAB was used as the chromogen. Tissues were counterstained with hematoxylin and mounted with DPX.
Note: All products are “FOR RESEARCH USE ONLY AND ARE NOT INTENDED FOR DIAGNOSTIC OR THERAPEUTIC USE”.