Bcl-2 Mouse Monoclonal Antibody [F7-1-A1]
cat.: M1206-4
Product Type: Mouse monoclonal IgG2b, primary antibodies
Species reactivity: Human, Mouse, Rat
Applications: WB, IF-Cell, IHC-P
Clonality: Monoclonal
Clone number: F7-1-A1
Form: Liquid
Storage condition: Shipped at 4℃. Store at +4℃ short term (1-2 weeks). It is recommended to aliquot into single-use upon delivery. Store at -20℃ long term.
Storage buffer: 1*PBS (pH7.4), 0.2% BSA, 40% Glycerol. Preservative: 0.05% Sodium Azide.
Concentration: 2ug/ul
Purification: Protein A affinity purified.
Molecular weight: Predicted band size: 26 kDa
Isotype: IgG2b
Immunogen: Recombinant protein within human BCL-2 aa 1-200.
Positive control: Jurkat cell lysate, rat spleen tissue lysate, HepG2, human breast carcinoma tissue, mouse spleen tissue.
Subcellular location: Mitochondrion outer membrane, Nucleus membrane, Endoplasmic reticulum membrane, Cytoplasm.
Recommended Dilutions:
  WB
  IF-Cell
  IHC-P

1:500
1:500
1:200
Uniprot #: SwissProt: P10415 Human | P10417 Mouse | P49950 Rat
Alternative names: Apoptosis regulator Bcl 2 Apoptosis regulator Bcl-2 Apoptosis regulator Bcl2 AW986256 B cell CLL/lymphoma 2 B cell leukemia/lymphoma 2 Bcl-2 Bcl2 BCL2_HUMAN C430015F12Rik D630044D05Rik D830018M01Rik Leukemia/lymphoma, B-cell, 2 Oncogene B-cell leukemia 2 PPP1R50 Protein phosphatase 1, regulatory subunit 50 Bcl 2
Images
M1206-4_1.jpg Fig1: Western blot analysis of BCL-2 on Jurkat cell lysate using anti-BCL-2 antibody at 1/100 dilution.
M1206-4_2.jpg Fig2: Western blot analysis of Bcl-2 on rat spleen tissue lysates with Mouse anti-Bcl-2 antibody (M1206-4) at 1/500 dilution.

Lysates/proteins at 10 µg/Lane.

Predicted band size: 26 kDa
Observed band size: 26 kDa

Exposure time: 2 minutes;

12% SDS-PAGE gel.

Proteins were transferred to a PVDF membrane and blocked with 5% NFDM/TBST for 1 hour at room temperature. The primary antibody (M1206-4) at 1/500 dilution was used in 5% NFDM/TBST at room temperature for 2 hours. Goat Anti-Mouse IgG - HRP Secondary Antibody (HA1006) at 1:100,000 dilution was used for 1 hour at room temperature.
M1206-4_3.jpg Fig3: Immunofluorescent staining of HepG2 cells using anti-Bcl-2 Mouse mAb (Cat. # M1206-4).
M1206-4_4.jpg Fig4: Immunohistochemical analysis of paraffin-embedded human breast carcinoma tissue using anti-BCL-2 antibody. Counter stained with hematoxylin.
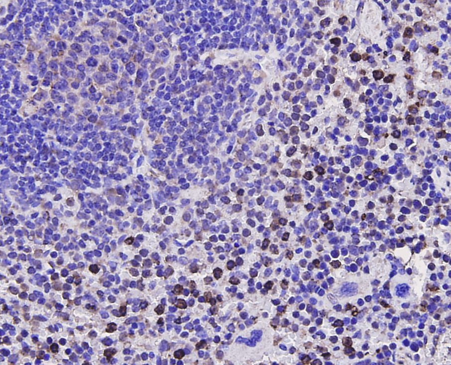
M1206-4_5.jpg Fig5: Immunohistochemical analysis of paraffin-embedded mouse spleen tissue using anti-BCL-2 antibody. Counter stained with hematoxylin.
Note: All products are “FOR RESEARCH USE ONLY AND ARE NOT INTENDED FOR DIAGNOSTIC OR THERAPEUTIC USE”.