CHD1 Mouse Monoclonal Antibody [2-2]
cat.: M1211-5
Product Type: Mouse monoclonal IgG1, primary antibodies
Species reactivity: Human, Mouse
Applications: WB, IHC-P
Clonality: Monoclonal
Clone number: 2-2
Form: Liquid
Storage condition: Shipped at 4℃. Store at +4℃ short term (1-2 weeks). It is recommended to aliquot into single-use upon delivery. Store at -20℃ long term.
Storage buffer: 1*PBS (pH7.4), 0.2% BSA, 40% Glycerol. Preservative: 0.05% Sodium Azide.
Concentration: 2ug/ul
Purification: Protein A affinity purified.
Molecular weight: Predicted band size: 197 kDa
Isotype: IgG1
Immunogen: Recombinant protein within Human CHD1 aa 1,479-1,710 / 1,710.
Positive control: HeLa cell lysate, HEK-293 cell lysate, MOLT-4 cell lysate, COS-1 cell lysate, mouse testis tissue.
Subcellular location: Nucleus, Cytoplasm.
Recommended Dilutions:
  WB
  IHC-P

1:1,000
1:100
Uniprot #: SwissProt: O14646 Human | P40201 Mouse
Alternative names: ATP dependent helicase CHD 1 ATP-dependent helicase CHD1 CHD 1 CHD-1 Chd1 CHD1_HUMAN Chromodomain helicase DNA binding protein 1 Chromodomain-helicase-DNA-binding protein 1 DKFZp686E2337 OTTHUMP00000222625
Images
M1211-5_1.jpg Fig1: Western blot analysis of CHD1 on different lysates with Mouse anti-CHD1 antibody (M1211-5) at 1/5,000 dilution.

Lane 1: HeLa cell lysate
Lane 2: HEK-293 cell lysate
Lane 3: MOLT-4 cell lysate
Lane 4: COS-1 cell lysate

Lysates/proteins at 30 µg/Lane.

Predicted band size: 197 kDa
Observed band size: 260 kDa

Exposure time: 59 seconds; ECL: K1801;

4-20% SDS-PAGE gel.

Proteins were transferred to a PVDF membrane and blocked with 5% NFDM/TBST for 1 hour at room temperature. The primary antibody (M1211-5) at 1/5,000 dilution was used in primary antibody dilution (K1803) at 4℃ overnight. Goat Anti-Mouse IgG - HRP Secondary Antibody (HA1006) at 1/50,000 dilution was used for 1 hour at room temperature.
M1211-5_2.jpg Fig2: Western blot analysis of CHD1 on different lysates with Mouse anti-CHD1 antibody (M1211-5) at 1/1,000 dilution.

Lane 1: HAP1-parental cell lysate
Lane 2: HAP1-CHD1 KD cell lysate

Lysates/proteins at 10 µg/Lane.

Predicted band size: 197 kDa
Observed band size: 260 kDa

Exposure time: 40 seconds; ECL: K1801;

4-20% SDS-PAGE gel.

Proteins were transferred to a PVDF membrane and blocked with 5% NFDM/TBST for 1 hour at room temperature. The primary antibody (M1211-5) at 1/1,000 dilution was used in K1803 at 4℃ overnight. Goat Anti-Mouse IgG - HRP Secondary Antibody (HA1006) at 1/50,000 dilution was used for 1 hour at room temperature.
M1211-5_3.jpg Fig3: Western blot analysis on recombinant protein using anti-CHD1 Mouse mAb (Cat. # M1211-5).
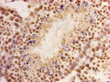
M1211-5_4.jpg Fig4: Immunohistochemical analysis of paraffin- embedded mouse testis tissue using anti-CHD1 Mouse mAb (Cat. # M1211-5).
Note: All products are “FOR RESEARCH USE ONLY AND ARE NOT INTENDED FOR DIAGNOSTIC OR THERAPEUTIC USE”.