E-Cadherin Mouse Monoclonal Antibody [3-F9]
cat.: M1405-3
Product Type: Mouse monoclonal IgG2b, primary antibodies
Species reactivity: Human, Mouse
Applications: IHC-P
Clonality: Monoclonal
Clone number: 3-F9
Form: Liquid
Storage condition: Shipped at 4℃. Store at +4℃ short term (1-2 weeks). It is recommended to aliquot into single-use upon delivery. Store at -20℃ long term.
Storage buffer: 1*PBS (pH7.4), 0.2% BSA, 40% Glycerol. Preservative: 0.05% Sodium Azide.
Concentration: 2ug/ul
Purification: Protein G affinity purified.
Molecular weight: ~130kDa
Isotype: IgG2b
Immunogen: Recombinant protein within mouse E-Cadherin aa 350-550.
Positive control: Human liver tissue, mouse liver tissue.
Subcellular location: Cell membrane
Recommended Dilutions:
  IHC-P

1:200
Uniprot #: SwissProt: P12830 Human | P09803 Mouse
Alternative names: Arc 1 CADH1_HUMAN Cadherin 1 cadherin 1 type 1 E-cadherin Cadherin1 CAM 120/80 CD 324 CD324 CD324 antigen cdh1 CDHE E-Cad/CTF3 E-cadherin ECAD Epithelial cadherin epithelial calcium dependant adhesion protein LCAM Liver cell adhesion molecule UVO Uvomorulin
Images
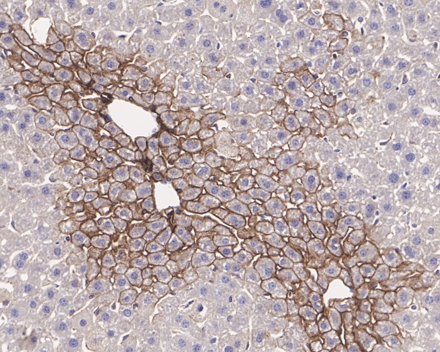
M1405-3_1.jpg Fig1: Immunohistochemical analysis of paraffin-embedded human liver tissue with Mouse anti-E-Cadherin antibody (M1405-3) at 1/200 dilution.

The section was pre-treated using heat mediated antigen retrieval with Tris-EDTA buffer (pH 9.0) for 20 minutes. The tissues were blocked in 1% BSA for 20 minutes at room temperature, washed with ddH2O and PBS, and then probed with the primary antibody (M1405-3) at 1/200 dilution for 1 hour at room temperature. The detection was performed using an HRP conjugated compact polymer system. DAB was used as the chromogen. Tissues were counterstained with hematoxylin and mounted with DPX.
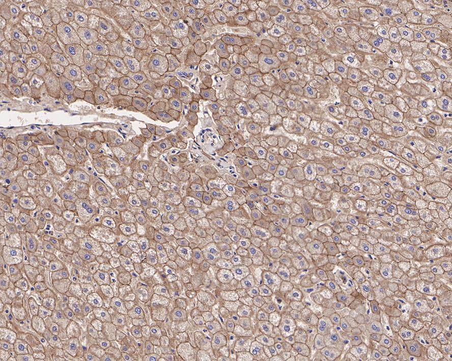
M1405-3_2.jpg Fig2: Immunohistochemical analysis of paraffin-embedded mouse liver tissue with Mouse anti-E-Cadherin antibody (M1405-3) at 1/200 dilution.

The section was pre-treated using heat mediated antigen retrieval with Tris-EDTA buffer (pH 9.0) for 20 minutes. The tissues were blocked in 1% BSA for 20 minutes at room temperature, washed with ddH2O and PBS, and then probed with the primary antibody (M1405-3) at 1/200 dilution for 1 hour at room temperature. The detection was performed using an HRP conjugated compact polymer system. DAB was used as the chromogen. Tissues were counterstained with hematoxylin and mounted with DPX.
Note: All products are “FOR RESEARCH USE ONLY AND ARE NOT INTENDED FOR DIAGNOSTIC OR THERAPEUTIC USE”.