alpha Tubulin Mouse Monoclonal Antibody [A8-6]
cat.: M1501-1
Product Type: Mouse monoclonal IgG3, primary antibodies
Species reactivity: Human, Mouse, Rat, Zebrafish
Applications: WB, IF-Cell, IHC-P, FC
Clonality: Monoclonal
Clone number: A8-6
Form: Liquid
Storage condition: Shipped at 4℃. Store at +4℃ short term (1-2 weeks). It is recommended to aliquot into single-use upon delivery. Store at -20℃ long term.
Storage buffer: 1*PBS (pH7.4), 0.2% BSA, 40% Glycerol. Preservative: 0.05% Sodium Azide.
Concentration: 2ug/ul
Purification: Protein A affinity purified.
Molecular weight: Predicted band size: 50 kDa
Isotype: IgG3
Immunogen: Synthetic peptide within human Alpha-tubulin aa 402-448.
Positive control: HeLa cell lysate, HepG2 cell lysate, Neuro-2a cell lysate, NIH/3T3 cell lysate, C6 cell lysate, PC-12 cell lysate, HeLa, U-87 MG, Neuro-2a, C6, human kidney tissue, human uterus tissue, mouse brain tissue, hybrid fish (crucian-carp) brain tissue lysates.
Subcellular location: Cytoplasm, cytoskeleton.
Recommended Dilutions:
  WB
  IF-Cell
  IHC-P
  FC

1:10,000
1:50-1:200
1:200-1:600
1:50
Uniprot #: SwissProt: P68366 Human | P68368 Mouse | Q5XIF6 Rat | Q6NWK7 Zebrafish
Alternative names: TUBA1 TUBA1A TUBA2 TUBA3 TUBA3C TUBA4A Tubulin, alpha 1a Tubulin, alpha 3c Tubulin, alpha 4a
Images
M1501-1_1.jpg Fig1: Western blot analysis of alpha Tubulin on different lysates with Mouse anti-alpha Tubulin antibody (M1501-1) at 1/10,000 dilution.

Lane 1: HeLa cell lysate
Lane 2: HepG2 cell lysate
Lane 3: Neuro-2a cell lysate
Lane 4: NIH/3T3 cell lysate
Lane 5: C6 cell lysate
Lane 6: PC-12 cell lysate

Lysates/proteins at 15 µg/Lane.

Predicted band size: 50 kDa
Observed band size: 50 kDa

Exposure time: 1 minute 22 seconds;

4-20% SDS-PAGE gel.

Proteins were transferred to a PVDF membrane and blocked with 5% NFDM/TBST for 1 hour at room temperature. The primary antibody (M1501-1) at 1/10,000 dilution was used in 5% NFDM/TBST at 4℃ overnight. Goat Anti-Mouse IgG - HRP Secondary Antibody (HA1006) at 1/50,000 dilution was used for 1 hour at room temperature.
M1501-1_2.jpg Fig2: Immunocytochemistry analysis of HeLa cells labeling alpha Tubulin with Mouse anti-alpha Tubulin antibody (M1501-1) at 1/100 dilution.

Cells were fixed in 4% paraformaldehyde for 15 minutes at room temperature, permeabilized with 0.1% Triton X-100 in PBS for 15 minutes at room temperature, then blocked with 1% BSA in 10% negative goat serum for 1 hour at room temperature. Cells were then incubated with Mouse anti-alpha Tubulin antibody (M1501-1) at 1/100 dilution in 1% BSA in PBST overnight at 4 ℃. Goat Anti-Mouse IgG H&L (iFluor™ 488, HA1125) was used as the secondary antibody at 1/1,000 dilution. PBS instead of the primary antibody was used as the secondary antibody only control. Nuclear DNA was labelled in blue with DAPI.

beta Tubulin (ET1602-4, red) was stained at 1/100 dilution overnight at +4℃. Goat Anti-Rabbit IgG H&L (iFluor™ 594, HA1122) were used as the secondary antibody at 1/1,000 dilution.
M1501-1_3.jpg Fig3: Immunocytochemistry analysis of U-87 MG cells labeling alpha Tubulin with Mouse anti-alpha Tubulin antibody (M1501-1) at 1/100 dilution.

Cells were fixed in 4% paraformaldehyde for 15 minutes at room temperature, permeabilized with 0.1% Triton X-100 in PBS for 15 minutes at room temperature, then blocked with 1% BSA in 10% negative goat serum for 1 hour at room temperature. Cells were then incubated with Mouse anti-alpha Tubulin antibody (M1501-1) at 1/100 dilution in 1% BSA in PBST overnight at 4 ℃. Goat Anti-Mouse IgG H&L (iFluor™ 488, HA1125) was used as the secondary antibody at 1/1,000 dilution. PBS instead of the primary antibody was used as the secondary antibody only control. Nuclear DNA was labelled in blue with DAPI.

beta Tubulin (ET1602-4, red) was stained at 1/100 dilution overnight at +4℃. Goat Anti-Rabbit IgG H&L (iFluor™ 594, HA1122) were used as the secondary antibody at 1/1,000 dilution.
M1501-1_4.jpg Fig4: Immunocytochemistry analysis of Neuro-2a cells labeling alpha Tubulin with Mouse anti-alpha Tubulin antibody (M1501-1) at 1/100 dilution.

Cells were fixed in 4% paraformaldehyde for 20 minutes at room temperature, permeabilized with 0.1% Triton X-100 in PBS for 5 minutes at room temperature, then blocked with 1% BSA in 10% negative goat serum for 1 hour at room temperature. Cells were then incubated with Mouse anti-alpha Tubulin antibody (M1501-1) at 1/100 dilution in 1% BSA in PBST overnight at 4 ℃. Goat Anti-Mouse IgG H&L (iFluor™ 488, HA1125) was used as the secondary antibody at 1/1,000 dilution. PBS instead of the primary antibody was used as the secondary antibody only control. Nuclear DNA was labelled in blue with DAPI.

beta Tubulin (ET1602-4, red) was stained at 1/100 dilution overnight at +4℃. Goat Anti-Rabbit IgG H&L (iFluor™ 594, HA1122) was used as the secondary antibody at 1/1,000 dilution.
M1501-1_5.jpg Fig5: Immunocytochemistry analysis of C6 cells labeling alpha Tubulin with Mouse anti-alpha Tubulin antibody (M1501-1) at 1/100 dilution.

Cells were fixed in 4% paraformaldehyde for 20 minutes at room temperature, permeabilized with 0.1% Triton X-100 in PBS for 5 minutes at room temperature, then blocked with 1% BSA in 10% negative goat serum for 1 hour at room temperature. Cells were then incubated with Mouse anti-alpha Tubulin antibody (M1501-1) at 1/100 dilution in 1% BSA in PBST overnight at 4 ℃. Goat Anti-Mouse IgG H&L (iFluor™ 488, HA1125) was used as the secondary antibody at 1/1,000 dilution. PBS instead of the primary antibody was used as the secondary antibody only control. Nuclear DNA was labelled in blue with DAPI.

beta Tubulin (ET1602-4, red) was stained at 1/100 dilution overnight at +4℃. Goat Anti-Rabbit IgG H&L (iFluor™ 594, HA1122) was used as the secondary antibody at 1/1,000 dilution.
M1501-1_6.png Fig6: Immunohistochemical analysis of paraffin-embedded human kidney tissue with Mouse anti-Alpha-tubulin antibody (M1501-1) at 1/600 dilution.

The section was pre-treated using heat mediated antigen retrieval with Tris-EDTA buffer (pH 9.0) for 20 minutes. The tissues were blocked in 1% BSA for 20 minutes at room temperature, washed with ddH2O and PBS, and then probed with the primary antibody (M1501-1) at 1/600 dilution for 1 hour at room temperature. The detection was performed using an HRP conjugated compact polymer system. DAB was used as the chromogen. Tissues were counterstained with hematoxylin and mounted with DPX.
M1501-1_7.png Fig7: Immunohistochemical analysis of paraffin-embedded human uterus tissue with Mouse anti-Alpha-tubulin antibody (M1501-1) at 1/600 dilution.

The section was pre-treated using heat mediated antigen retrieval with Tris-EDTA buffer (pH 9.0) for 20 minutes. The tissues were blocked in 1% BSA for 20 minutes at room temperature, washed with ddH2O and PBS, and then probed with the primary antibody (M1501-1) at 1/600 dilution for 1 hour at room temperature. The detection was performed using an HRP conjugated compact polymer system. DAB was used as the chromogen. Tissues were counterstained with hematoxylin and mounted with DPX.
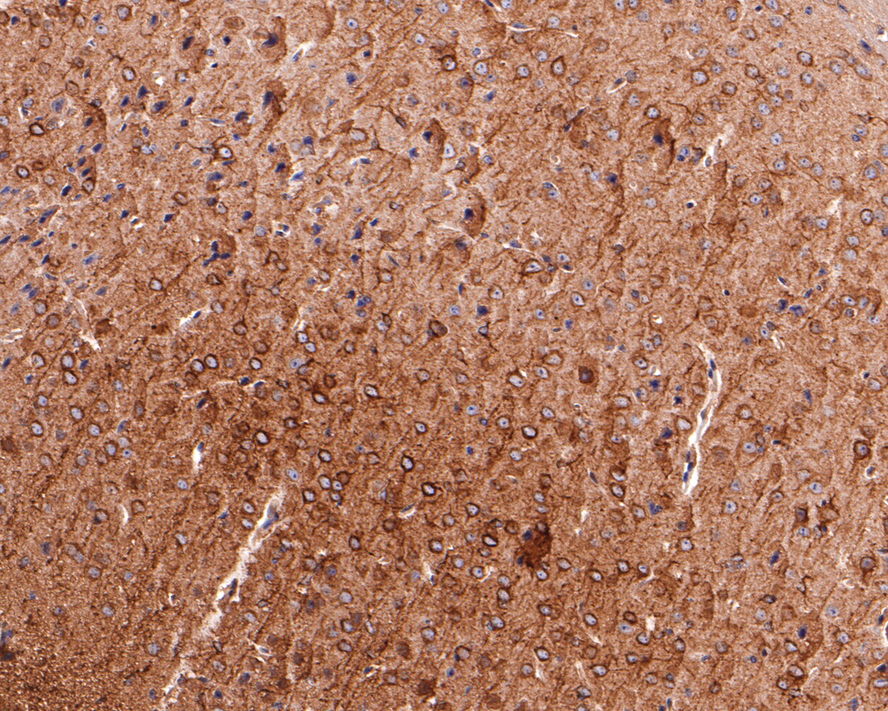
M1501-1_8.png Fig8: Immunohistochemical analysis of paraffin-embedded mouse brain tissue with Mouse anti-Alpha-tubulin antibody (M1501-1) at 1/600 dilution.

The section was pre-treated using heat mediated antigen retrieval with Tris-EDTA buffer (pH 9.0) for 20 minutes. The tissues were blocked in 1% BSA for 20 minutes at room temperature, washed with ddH2O and PBS, and then probed with the primary antibody (M1501-1) at 1/600 dilution for 1 hour at room temperature. The detection was performed using an HRP conjugated compact polymer system. DAB was used as the chromogen. Tissues were counterstained with hematoxylin and mounted with DPX.
M1501-1_9.jpg Fig9: Flow cytometric analysis of HeLa cells labeling alpha Tubulin.

Cells were fixed and permeabilized. Then stained with the primary antibody (M1501-1, 1/50) (red) compared with Mouse IgG1 Isotype Control (green). After incubation of the primary antibody at +4℃ for an hour, the cells were stained with a iFluor™ 488 conjugate-Goat anti-Mouse IgG Secondary antibody (HA1125) at 1/1,000 dilution for 30 minutes at +4℃. Unlabelled sample was used as a control (cells without incubation with primary antibody; black).
M1501-1_10.jpg Fig10: Western blot analysis of α-tubulin on hybrid fish (crucian-carp) brain tissue lysate using anti-α-tubulin antibody at 1/500 dilution.
Note: All products are “FOR RESEARCH USE ONLY AND ARE NOT INTENDED FOR DIAGNOSTIC OR THERAPEUTIC USE”.