Hsp27 Mouse Monoclonal Antibody [10-8]
cat.: M1505-3
Product Type: Mouse monoclonal IgG2b, primary antibodies
Species reactivity: Human, Mouse, Rat
Applications: WB, IHC-P, IF-Cell
Clonality: Monoclonal
Clone number: 10-8
Form: Liquid
Storage condition: Shipped at 4℃. Store at +4℃ short term (1-2 weeks). It is recommended to aliquot into single-use upon delivery. Store at -20℃ long term.
Storage buffer: 1*PBS (pH7.4), 0.2% BSA, 40% Glycerol. Preservative: 0.05% Sodium Azide.
Concentration: 2ug/ul
Purification: Protein A affinity purified.
Molecular weight: Predicted band size: 23 kDa
Isotype: IgG2b
Immunogen: Recombinant protein within Human HSP27 aa 11-190 / 205.
Positive control: HeLa cell lysate, MCF7 cell lysate, PC-12 cell lysate, human breast carcinoma tissue, mouse esophagus tissue, rat esophagus tissue, Hela.
Subcellular location: Cytoplasm, nucleus
Recommended Dilutions:
  WB
  IF-Cell
  IHC-P

1:2,000
1:50
1:200-1:1,000
Uniprot #: SwissProt: P04792 Human | P14602 Mouse | P42930 Rat
Alternative names: Heat shock 27kDa protein 28 kDa heat shock protein CMT2F DKFZp586P1322 epididymis secretory protein Li 102 Estrogen regulated 24 kDa protein Estrogen-regulated 24 kDa protein Heat shock 25kDa protein 1 Heat shock 27 kDa protein Heat shock 27kD protein 1 Heat shock 27kDa protein 1 Heat shock 28kDa protein 1 Heat Shock Protein 27 Heat shock protein beta 1 Heat shock protein beta-1 heat shock protein family B (small) member 1 HEL-S-102 HMN2B HS.76067 Hsp 25 HSP 27 Hsp 28 Hsp B1 Hsp25 HSP27 Hsp28 HspB1 HSPB1_HUMAN SRP27 Stress responsive protein 27 Stress-responsive protein 27
Images
M1505-3_1.jpg Fig1: Western blot analysis of Hsp27 on different lysates with Mouse anti-Hsp27 antibody (M1505-3) at 1/2,000 dilution.

Lane 1: HeLa cell lysate
Lane 2: MCF7 cell lysate
Lane 3: PC-12 cell lysate

Lysates/proteins at 30 µg/Lane.

Predicted band size: 23 kDa
Observed band size: 27 kDa

Exposure time: 4 seconds; ECL: K1801;
4-20% SDS-PAGE gel.

Proteins were transferred to a PVDF membrane and blocked with 5% NFDM/TBST for 1 hour at room temperature. The primary antibody (M1505-3) at 1/2,000 dilution was used in primary antibody dilution (K1803) at 4℃ overnight. Goat Anti-Mouse IgG - HRP Secondary Antibody (HA1006) at 1/50,000 dilution was used for 1 hour at room temperature.
M1505-3_2.png Fig2: Immunohistochemical analysis of paraffin-embedded human breast carcinoma tissue with Mouse anti-Hsp27 antibody (M1505-3) at 1/1,000 dilution.

The section was pre-treated using heat mediated antigen retrieval with Tris-EDTA buffer (pH 9.0) for 20 minutes. The tissues were blocked in 1% BSA for 20 minutes at room temperature, washed with ddH2O and PBS, and then probed with the primary antibody (M1505-3) at 1/1.000 dilution for 1 hour at room temperature. The detection was performed using an HRP conjugated compact polymer system. DAB was used as the chromogen. Tissues were counterstained with hematoxylin and mounted with DPX.
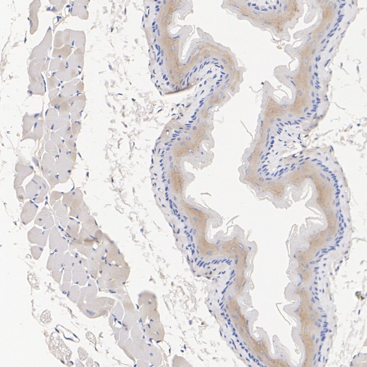
M1505-3_3.jpg Fig3: Immunohistochemical analysis of paraffin-embedded mouse esophagus tissue with Mouse anti-Hsp27 antibody (M1505-3) at 1/1,000 dilution.

The section was pre-treated using heat mediated antigen retrieval with Tris-EDTA buffer (pH 9.0) for 20 minutes. The tissues were blocked in 1% BSA for 20 minutes at room temperature, washed with ddH2O and PBS, and then probed with the primary antibody (M1505-3) at 1/1,000 dilution for 1 hour at room temperature. The detection was performed using an HRP conjugated compact polymer system. DAB was used as the chromogen. Tissues were counterstained with hematoxylin and mounted with DPX.
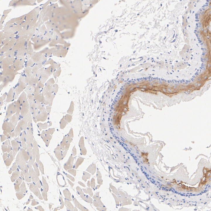
M1505-3_4.jpg Fig4: Immunohistochemical analysis of paraffin-embedded rat esophagus tissue with Mouse anti-Hsp27 antibody (M1505-3) at 1/1,000 dilution.

The section was pre-treated using heat mediated antigen retrieval with Tris-EDTA buffer (pH 9.0) for 20 minutes. The tissues were blocked in 1% BSA for 20 minutes at room temperature, washed with ddH2O and PBS, and then probed with the primary antibody (M1505-3) at 1/1,000 dilution for 1 hour at room temperature. The detection was performed using an HRP conjugated compact polymer system. DAB was used as the chromogen. Tissues were counterstained with hematoxylin and mounted with DPX.
M1505-3_5.png Fig5: Immunocytochemistry analysis of Hela cells labeling Hsp27 with Mouse anti-Hsp27 antibody (M1505-3) at 1/50 dilution.

Cells were fixed in 4% paraformaldehyde for 10 minutes at 37 ℃, permeabilized with 0.05% Triton X-100 in PBS for 20 minutes, and then blocked with 2% negative goat serum for 30 minutes at room temperature. Cells were then incubated with Mouse anti-Hsp27 antibody (M1505-3) at 1/50 dilution in 2% negative goat serum overnight at 4 ℃. Goat Anti-Mouse IgG H&L (iFluor™ 488, HA1125) was used as the secondary antibody at 1/1,000 dilution. PBS instead of the primary antibody was used as the secondary antibody only control. Nuclear DNA was labelled in blue with DAPI.
Note: All products are “FOR RESEARCH USE ONLY AND ARE NOT INTENDED FOR DIAGNOSTIC OR THERAPEUTIC USE”.