CD31 Mouse Monoclonal Antibody [7-A1]
cat.: M1511-8
Product Type: Mouse monoclonal IgG2a, primary antibodies
Species reactivity: Human, Mouse
Applications: WB, IF-Cell, IHC-P, mIHC
Clonality: Monoclonal
Clone number: 7-A1
Form: Liquid
Storage condition: Shipped at 4℃. Store at +4℃ short term (1-2 weeks). It is recommended to aliquot into single-use upon delivery. Store at -20℃ long term.
Storage buffer: 1*TBS (pH7.4), 0.2% BSA, 50% Glycerol. Preservative: 0.05% Sodium Azide.
Concentration: 2ug/ul
Purification: Immunogen affinity purified.
Molecular weight: Predicted band size: 83 kDa
Isotype: IgG2a
Immunogen: Synthetic peptide (KLH-coupled) within C-terminal residues of human CD31.
Positive control: THP-1 cell lysate, Jurkat cell lysate, U-937 cell lysate, mouse lung tissue lysate, mouse spleen tissue lysate, human pancreatic carcinoma, human gastric cancer, THP-1, human appendix tissue, human placenta tissue, human uterus tissue, human striated muscle tissue, human kidney tissue, human liver tissue, human stomach cancer tissue, mouse lymph node tissue, Jurkat, human lung squamous cell carcinoma tissue.
Subcellular location: Cell junction. Cell membrane. Membrane.
Recommended Dilutions:
  WB
  IF-Cell
  IHC-P
  mIHC

1:2,000-1:5,000
1:100-1:200
1:500-1:2,000 (IF-Tissue is not recommended)
1:1,000-1:3,000
Uniprot #: SwissProt: P16284 Human | Q08481 Mouse
Alternative names: Adhesion molecule CD31 CD31 antigen CD31 EndoCAM EndoCAM FLJ34100 FLJ58394 GPIIA GPIIA' PECA1 PECA1_HUMAN Pecam 1 PECAM 1 CD31 EndoCAM PECAM PECAM-1 Pecam1 Platelet and endothelial cell adhesion molecule 1 Platelet endothelial cell adhesion molecule Platelet/endothelial cell adhesion molecule 1
Images
M1511-8_1.jpg Fig1: Western blot analysis of CD31 on different lysates with Mouse anti-CD31 antibody (M1511-8) at 1/2,000 dilution.

Lane 1: THP-1 cell lysate
Lane 2: Jurkat cell lysate
Lane 3: U-937 cell lysate
Lane 4: HeLa cell lysate (negative)
Lane 5: MDA-MB-231 cell lysate (negative)

Lysates/proteins at 20 µg/Lane.

Predicted band size: 83 kDa
Observed band size: 130 kDa

Exposure time: 1 minute 58 seconds;

4-20% SDS-PAGE gel.

Proteins were transferred to a PVDF membrane and blocked with 5% NFDM/TBST for 1 hour at room temperature. The primary antibody (M1511-8) at 1/2,000 dilution was used in 5% NFDM/TBST at 4℃ overnight. Goat Anti-Mouse IgG - HRP Secondary Antibody (HA1006) at 1/50,000 dilution was used for 1 hour at room temperature.
M1511-8_2.jpg Fig2: Western blot analysis of CD31 on different lysates with Mouse anti-CD31 antibody (M1511-8) at 1/500 dilution.

Lane 1: Mouse lung tissue lysate (no heat)
Lane 2: Mouse spleen tissue lysate (no heat)

Notice: no heat means the lysate is not boiled.

Lysates/proteins at 20 µg/Lane.

Predicted band size: 83 kDa
Observed band size: 83-130 kDa

Exposure time: 5 minutes;

4-20% SDS-PAGE gel.

Proteins were transferred to a PVDF membrane and blocked with 5% NFDM/TBST for 1 hour at room temperature. The primary antibody (M1511-8) at 1/500 dilution was used in 5% NFDM/TBST at room temperature for 2 hours. Goat Anti-Mouse IgG - HRP Secondary Antibody (HA1006) at 1/100,000 dilution was used for 1 hour at room temperature.
M1511-8_3.jpg Fig3: Fluorescence multiplex immunohistochemical analysis of the human gastric cancer (Formalin/PFA-fixed paraffin-embedded sections). Panel A: the merged image of anti-CD31 (M1511-8, red), anti-αSMA (ET1607-53, gray), anti-CD11b (ET1706-04, cyan), anti-panCK (HA601138, magenta) and anti-CD3 (HA720082, yellow) on human gastric cancer. Panel B: anti- CD31 stained on the endothelial cells. Panel C: anti-αSMA stained on cancer-associated fibroblasts and smooth muscle cells. Panel D: anti-CD11b stained on myeloid cells. Panel E: anti-panCK stained on cancer cells. Panel F: anti-CD3 stained on T cells. HRP Conjugated UltraPolymer Goat Polyclonal Antibody HA1119/HA1120 was used as a secondary antibody. The immunostaining was performed with the Sequential Immuno-staining Kit (IRISKit™MH010101, www.luminiris.cn). The section was incubated in five rounds of staining: in the order of M1511-8 (1/1,000 dilution), ET1607-53 (1/2,000 dilution), ET1706-04 (1/1,000 dilution), HA601138 (1/3,000 dilution), and HA720082 (1/500 dilution) for 20 mins at room temperature. Each round was followed by a separate fluorescent tyramide signal amplification system. Heat mediated antigen retrieval with Tris-EDTA buffer (pH 9.0) for 30 mins at 95℃. DAPI (blue) was used as a nuclear counter stain. Image acquisition was performed with Olympus VS200 Slide Scanner.
M1511-8_4.jpg Fig4: Fluorescence multiplex immunohistochemical analysis of the human gastric cancer (Formalin/PFA-fixed paraffin-embedded sections). Panel A: the merged image of anti-Ki67 (HA721115, red), anti-CD31 (M1511-8, green), anti-CD3 (HA720082, cyan), anti-panCK (HA601138, magenta) and anti-αSMA (ET1607-53, yellow) on human gastric cancer. Panel B: anti- Ki67 stained on cells in G1, S, G2 and M phases of cell cycle. Panel C: anti-CD31 stained on the endothelial cells. Panel D: anti-CD3 stained on T cells. Panel E: anti-panCK stained on cancer cells. Panel F: anti-αSMA stained on cancer-associated fibroblasts and smooth muscle cells. HRP Conjugated UltraPolymer Goat Polyclonal Antibody HA1119/HA1120 was used as a secondary antibody. The immunostaining was performed with the Sequential Immuno-staining Kit (IRISKit™MH010101, www.luminiris.cn). The section was incubated in five rounds of staining: in the order of HA721115 (1/2,000 dilution), M1511-8 (1/1,000 dilution), HA720082 (1/500 dilution), HA601138 (1/3,000 dilution), and ET1607-53 (1/2,000 dilution) for 20 mins at room temperature. Each round was followed by a separate fluorescent tyramide signal amplification system. Heat mediated antigen retrieval with Tris-EDTA buffer (pH 9.0) for 30 mins at 95℃. DAPI (blue) was used as a nuclear counter stain. Image acquisition was performed with Olympus VS200 Slide Scanner.
M1511-8_5.jpg Fig5: Fluorescence multiplex immunohistochemical analysis of the human pancreatic carcinoma (Formalin/PFA-fixed paraffin-embedded sections). Panel A: the merged image of anti-CD31 (M1511-8, green), anti-α-SMA (ET1607-53, red) and anti-FAP (ET1704-23, yellow) on human pancreatic carcinoma. Panel B: anti- CD31 stained on the endothelial cells. Panel C: anti-α-SMA stained on cancer-associated fibroblasts and smooth muscle cells. Panel D: anti-FAP stained on the cancer-associated fibroblasts. HRP Conjugated UltraPolymer Goat Polyclonal Antibody HA1119/HA1120 was used as a secondary antibody. The immunostaining was performed with the Sequential Immuno-staining Kit (IRISKit™MH010101, www.luminiris.cn). The section was incubated in three rounds of staining: in the order of M1511-8 (1/5,000 dilution), ET1704-23 (1/1,000 dilution), and ET1607-53 (1/3,000 dilution) for 20 mins at room temperature. Heat mediated antigen retrieval with Tris-EDTA buffer (pH 9.0) for 30 mins at 95℃. DAPI (blue) was used as a nuclear counter stain. Image acquisition was performed with Nikon ECLIPSE Ni-E microscope.
M1511-8_6.jpg Fig6: Fluorescence multiplex immunohistochemical analysis of human gastric cancer (Formalin/PFA-fixed paraffin-embedded sections). Panel A: the merged image of anti-CD11b (ET1706-04, Red), anti-CD3 (HA720082, Green) and anti-CD31 (M1511-8, Yellow) on human gastric cancer. HRP Conjugated UltraPolymer Goat Polyclonal Antibody HA1119/HA1120 was used as a secondary antibody. The immunostaining was performed with the Sequential Immuno-staining Kit (IRISKit™MH010101, www.luminiris.cn). The section was incubated in three rounds of staining: in the order of ET1706-04 (1/1,000 dilution), HA720082 (1/500 dilution) and M1511-8 (1/1,000 dilution) for 20 mins at room temperature. Each round was followed by a separate fluorescent tyramide signal amplification system. Heat mediated antigen retrieval with Tris-EDTA buffer (pH 9.0) for 30 mins at 95℃. DAPI (blue) was used as a nuclear counter stain. Image acquisition was performed with Zeiss Observer 7 Inverted Fluorescence Microscope.
M1511-8_7.jpg Fig7: Fluorescence multiplex immunohistochemical analysis of human kidney (Formalin/PFA-fixed paraffin-embedded sections). Panel A: the merged image of anti-CD31 (M1511-8, Red), anti-E-Cadherin (HA601143, Green), anti-Calbindin (ET1702-54, Magenta) on human kidney. HRP Conjugated UltraPolymer Goat Polyclonal Antibody HA1119/HA1120 was used as a secondary antibody. The immunostaining was performed with the Sequential Immuno-staining Kit (IRISKit™MH010101, www.luminiris.cn). The section was incubated in three rounds of staining: in the order of M1511-8 (1/1,000 dilution), HA601143 (1/4,000 dilution) and ET1702-54 (1/4,000 dilution) for 20 mins at room temperature. Each round was followed by a separate fluorescent tyramide signal amplification system. Heat mediated antigen retrieval with Tris-EDTA buffer (pH 9.0) for 30 mins at 95℃. DAPI (blue) was used as a nuclear counter stain. Image acquisition was performed with Olympus VS200 Slide Scanner.
M1511-8_8.jpg Fig8: Fluorescence multiplex immunohistochemical analysis of human gastric cancer (Formalin/PFA-fixed paraffin-embedded sections). Panel A: the merged image of anti-LC3B (ET1701-65, Green), anti-CD31 (M1511-8, Red) and anti-CA-IX (ET1701-51, Yellow) on human gastric cancer. HRP Conjugated UltraPolymer Goat Polyclonal Antibody HA1119/HA1120 was used as a secondary antibody. The immunostaining was performed with the Sequential Immuno-staining Kit (IRISKitCmTSA Kit 900802). The section was incubated in three rounds of staining: in the order of ET1701-65 (1/100 dilution), M1511-8 (1/2,000 dilution) and ET1701-51 (1/100 dilution) for 20 mins at room temperature. Each round was followed by a separate fluorescent tyramide signal amplification system. Heat mediated antigen retrieval with Tris-EDTA buffer (pH 9.0) for 30 mins at 95℃. DAPI (blue) was used as a nuclear counter stain. Image acquisition was performed with Olympus VS200 Slide Scanner.
M1511-8_9.jpg Fig9: Fluorescence multiplex immunohistochemical analysis of human liver (Formalin/PFA-fixed paraffin-embedded sections). Panel A: the merged image of anti-CD31(M1511-8, Red), anti-COL1A1(HA722517, Magenta) and anti-αSMA (ET1607-53, Yellow) on human liver. HRP Conjugated UltraPolymer Goat Polyclonal Antibody HA1119/HA1120 was used as a secondary antibody. The immunostaining was performed with the Sequential Immuno-staining Kit (IRISKit™MH010101, www.luminiris.cn). The section was incubated in three rounds of staining: in the order of M1511-8 (1/1000 dilution), HA722517 (1/10000 dilution) and ET1607-53 (1/5000 dilution) for 20 mins at room temperature. Each round was followed by a separate fluorescent tyramide signal amplification system. Heat mediated antigen retrieval with Tris-EDTA buffer (pH 9.0) for 30 mins at 95C. DAPI (blue) was used as a nuclear counter stain. Image acquisition was performed with Olympus VS200 Slide Scanner.
M1511-8_10.jpg Fig10: Immunohistochemical analysis of paraffin-embedded human appendix tissue with Mouse anti-CD31 antibody (M1511-8) at 1/2,000 dilution.

The section was pre-treated using heat mediated antigen retrieval with Tris-EDTA buffer (pH 9.0) for 20 minutes. The tissues were blocked in 1% BSA for 20 minutes at room temperature, washed with ddH2O and PBS, and then probed with the primary antibody (M1511-8) at 1/2,000 dilution for 1 hour at room temperature. The detection was performed using an HRP conjugated compact polymer system. DAB was used as the chromogen. Tissues were counterstained with hematoxylin and mounted with DPX.
M1511-8_11.jpg Fig11: Immunohistochemical analysis of paraffin-embedded human placenta tissue with Mouse anti-CD31 antibody (M1511-8) at 1/2,000 dilution.

The section was pre-treated using heat mediated antigen retrieval with Tris-EDTA buffer (pH 9.0) for 20 minutes. The tissues were blocked in 1% BSA for 20 minutes at room temperature, washed with ddH2O and PBS, and then probed with the primary antibody (M1511-8) at 1/2,000 dilution for 1 hour at room temperature. The detection was performed using an HRP conjugated compact polymer system. DAB was used as the chromogen. Tissues were counterstained with hematoxylin and mounted with DPX.
M1511-8_12.jpg Fig12: Immunohistochemical analysis of paraffin-embedded human uterus tissue with Mouse anti-CD31 antibody (M1511-8) at 1/1,500 dilution.

The section was pre-treated using heat mediated antigen retrieval with Tris-EDTA buffer (pH 9.0) for 20 minutes. The tissues were blocked in 1% BSA for 20 minutes at room temperature, washed with ddH2O and PBS, and then probed with the primary antibody (M1511-8) at 1/1,500 dilution for 1 hour at room temperature. The detection was performed using an HRP conjugated compact polymer system. DAB was used as the chromogen. Tissues were counterstained with hematoxylin and mounted with DPX.
M1511-8_13.jpg Fig13: Immunohistochemical analysis of paraffin-embedded human striated muscle tissue with Mouse anti-CD31 antibody (M1511-8) at 1/1,000 dilution.

The section was pre-treated using heat mediated antigen retrieval with Tris-EDTA buffer (pH 9.0) for 20 minutes. The tissues were blocked in 1% BSA for 20 minutes at room temperature, washed with ddH2O and PBS, and then probed with the primary antibody (M1511-8) at 1/1,000 dilution for 1 hour at room temperature. The detection was performed using an HRP conjugated compact polymer system. DAB was used as the chromogen. Tissues were counterstained with hematoxylin and mounted with DPX.
M1511-8_14.jpg Fig14: Immunohistochemical analysis of paraffin-embedded human kidney tissue with Mouse anti-CD31 antibody (M1511-8) at 1/2,000 dilution.

The section was pre-treated using heat mediated antigen retrieval with Tris-EDTA buffer (pH 9.0) for 20 minutes. The tissues were blocked in 1% BSA for 20 minutes at room temperature, washed with ddH2O and PBS, and then probed with the primary antibody (M1511-8) at 1/2,000 dilution for 1 hour at room temperature. The detection was performed using an HRP conjugated compact polymer system. DAB was used as the chromogen. Tissues were counterstained with hematoxylin and mounted with DPX.
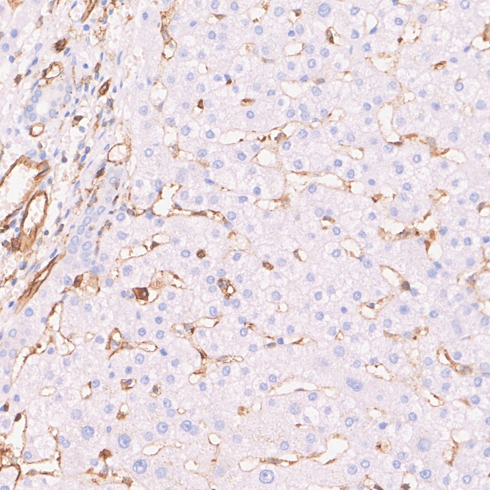
M1511-8_15.jpg Fig15: Immunohistochemical analysis of paraffin-embedded human liver tissue with Mouse anti-CD31 antibody (M1511-8) at 1/2,000 dilution.

The section was pre-treated using heat mediated antigen retrieval with Tris-EDTA buffer (pH 9.0) for 20 minutes. The tissues were blocked in 1% BSA for 20 minutes at room temperature, washed with ddH2O and PBS, and then probed with the primary antibody (M1511-8) at 1/2,000 dilution for 1 hour at room temperature. The detection was performed using an HRP conjugated compact polymer system. DAB was used as the chromogen. Tissues were counterstained with hematoxylin and mounted with DPX.
M1511-8_16.jpg Fig16: Immunohistochemical analysis of paraffin-embedded human stomach cancer tissue with Mouse anti-CD31 antibody (M1511-8) at 1/2,000 dilution.

The section was pre-treated using heat mediated antigen retrieval with Tris-EDTA buffer (pH 9.0) for 20 minutes. The tissues were blocked in 1% BSA for 20 minutes at room temperature, washed with ddH2O and PBS, and then probed with the primary antibody (M1511-8) at 1/2,000 dilution for 1 hour at room temperature. The detection was performed using an HRP conjugated compact polymer system. DAB was used as the chromogen. Tissues were counterstained with hematoxylin and mounted with DPX.
M1511-8_17.jpg Fig17: Immunohistochemical analysis of paraffin-embedded mouse lymph node tissue with Mouse anti-CD31 antibody (M1511-8) at 1/1,000 dilution.

The section was pre-treated using heat mediated antigen retrieval with Tris-EDTA buffer (pH 9.0) for 20 minutes. The tissues were blocked in 1% BSA for 20 minutes at room temperature, washed with ddH2O and PBS, and then probed with the primary antibody (M1511-8) at 1/1,000 dilution for 1 hour at room temperature. The detection was performed using an HRP conjugated compact polymer system. DAB was used as the chromogen. Tissues were counterstained with hematoxylin and mounted with DPX.
M1511-8_18.jpg Fig18: Immunocytochemistry analysis of THP-1 (positive) and HeLa (negative) labeling CD31 with Mouse anti-CD31 antibody (M1511-8) at 1/100 dilution.

Cells were fixed in 4% paraformaldehyde for 20 minutes at room temperature, permeabilized with 0.1% Triton X-100 in PBS for 5 minutes at room temperature, then blocked with 1% BSA in 10% negative goat serum for 1 hour at room temperature. Cells were then incubated with Mouse anti-CD31 antibody (M1511-8) at 1/100 dilution in 1% BSA in PBST overnight at 4 ℃. Goat Anti-Mouse IgG H&L (iFluor™ 488, HA1125) was used as the secondary antibody at 1/1,000 dilution. PBS instead of the primary antibody was used as the secondary antibody only control. Nuclear DNA was labelled in blue with DAPI.

beta Tubulin (ET1602-4, red) was stained at 1/100 dilution overnight at +4℃. Goat Anti-Rabbit IgG H&L (iFluor™ 594, HA1122) were used as the secondary antibody at 1/1,000 dilution.
M1511-8_19.jpg Fig19: mIHC analysis of human lung squamous cell carcinoma tissue (Formalin/PFA-fixed paraffin-embedded sections) with Mouse anti-CD31 antibody (M1511-8) at 1/2,000 dilution. The immunostaining was performed with the IRISKitCmTSA Kit (900809). Heat mediated antigen retrieval with Tris-EDTA buffer (pH 9.0) for 30 mins at 95℃. DAPI (blue) was used as a nuclear counter stain. Image acquisition was performed with Olympus VS200 Slide Scanner.
M1511-8_20.jpg Fig20: Immunohistochemical analysis of paraffin embedded human liver tissue using anti-CD31 antibody (1/200) performed on the Ventana® BenchMark ULTRA.
M1511-8_21.jpg Fig21: Immunohistochemical analysis of paraffin embedded human liver tissue using anti-CD31 antibody (1/200) performed on the Dako Omnis.
Note: All products are “FOR RESEARCH USE ONLY AND ARE NOT INTENDED FOR DIAGNOSTIC OR THERAPEUTIC USE”.