KLF4 Rabbit Polyclonal Antibody
cat.: R1308-1
Product Type: Rabbit polyclonal IgG, primary antibodies
Species reactivity: Human, Mouse, Rat
Applications: WB, IHC-P, FC
Clonality: Polyclonal
Form: Liquid
Storage condition: Shipped at 4℃. Store at +4℃ short term (1-2 weeks). It is recommended to aliquot into single-use upon delivery. Store at -20℃ long term.
Storage buffer: 1*PBS (pH7.4), 0.2% BSA, 40% Glycerol. Preservative: 0.05% Sodium Azide.
Concentration: 1ug/ul
Purification: Immunogen affinity purified.
Molecular weight: Predicted band size: 55 kDa
Isotype: IgG
Immunogen: Synthetic peptide within human KLF4 aa 406-458.
Positive control: F9 cell lysate, Rat liver tissue lysate, 293 cell lysates, human colon tissue, human skin tissue.
Subcellular location: Nucleus.
Recommended Dilutions:
  WB
  IHC-P
  FC

1:500-1:1,000
1:200-1:1,500
1:100
Uniprot #: SwissProt: O43474 Human | Q60793 Mouse
Entrez Gene: 114505 Rat
Alternative names: Endothelial Kruppel like zinc finger protein Epithelial zinc finger protein EZF EZF GKLF gut Kruppel-like factor Gut-enriched krueppel-like factor KLF KLF4 KLF4_HUMAN Krueppel-like factor 4 Kruppel like factor 4 (Epithelial zinc finger protein EZF) (Gut enriched Krueppel like factor) Kruppel like factor 4 (gut)
Images
R1308-1_1.jpg Fig1: Western blot analysis of KLF4 on different lysates with Rabbit anti-KLF4 antibody (R1308-1) at 1/1,000 dilution.

Lane 1: F9 cell lysate (20 µg/Lane)
Lane 2: Rat liver tissue lysate (30 µg/Lane)

Predicted band size: 55 kDa
Observed band size: 55 kDa

Exposure time: 27 seconds; ECL: K1801;

4-20% SDS-PAGE gel.

Proteins were transferred to a PVDF membrane and blocked with 5% NFDM/TBST for 1 hour at room temperature. The primary antibody (R1308-1) at 1/1,000 dilution was used in 5% NFDM/TBST at 4℃ overnight. Goat Anti-Rabbit IgG - HRP Secondary Antibody (HA1001) at 1/50,000 dilution was used for 1 hour at room temperature.
R1308-1_2.jpg Fig2: Western blot analysis on 293 (1) and F9 (2) cell lysates using anti-KLF4 rabbit polyclonal antibodies.
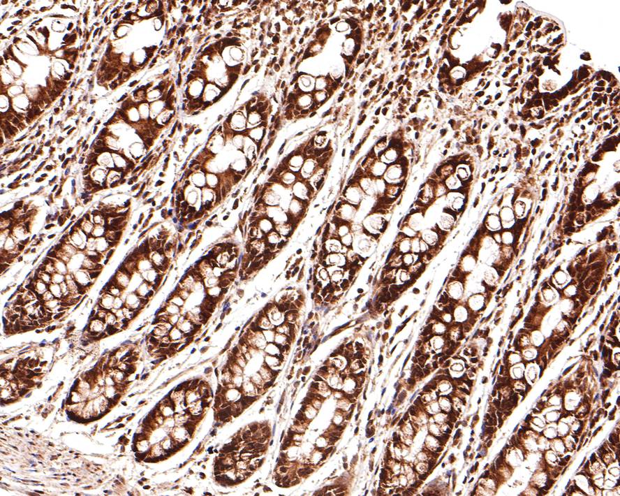
R1308-1_3.jpg Fig3: Immunohistochemical analysis of paraffin-embedded human colon tissue with Rabbit anti-KLF4 antibody (R1308-1) at 1/1,500 dilution.

The section was pre-treated using heat mediated antigen retrieval with sodium citrate buffer (pH 6.0) (high pressure) for 2 minutes. The tissues were blocked in 1% BSA for 20 minutes at room temperature, washed with ddH2O and PBS, and then probed with the primary antibody (R1308-1) at 1/1,500 dilution for 1 hour at room temperature. The detection was performed using an HRP conjugated compact polymer system. DAB was used as the chromogen. Tissues were counterstained with hematoxylin and mounted with DPX.
R1308-1_4.jpg Fig4: Immunohistochemical analysis of paraffin-embedded human skin tissue with Rabbit anti-KLF4 antibody (R1308-1) at 1/1,500 dilution.

The section was pre-treated using heat mediated antigen retrieval with sodium citrate buffer (pH 6.0) (high pressure) for 2 minutes. The tissues were blocked in 1% BSA for 20 minutes at room temperature, washed with ddH2O and PBS, and then probed with the primary antibody (R1308-1) at 1/1,500 dilution for 1 hour at room temperature. The detection was performed using an HRP conjugated compact polymer system. DAB was used as the chromogen. Tissues were counterstained with hematoxylin and mounted with DPX.
Note: All products are “FOR RESEARCH USE ONLY AND ARE NOT INTENDED FOR DIAGNOSTIC OR THERAPEUTIC USE”.