Vimentin Rabbit Polyclonal Antibody
cat.: R1308-6
Product Type: Rabbit polyclonal IgG, primary antibodies
Species reactivity: Human, Mouse, Rat
Applications: WB, IF-Cell, IHC-P
Clonality: Polyclonal
Form: Liquid
Storage condition: Shipped at 4℃. Store at +4℃ short term (1-2 weeks). It is recommended to aliquot into single-use upon delivery. Store at -20℃ long term.
Storage buffer: 1*PBS (pH7.4), 0.2% BSA, 40% Glycerol. Preservative: 0.05% Sodium Azide.
Concentration: 1ug/ul
Purification: Immunogen affinity purified.
Molecular weight: Predicted band size: 54 kDa
Isotype: IgG
Immunogen: Synthetic peptide within residues of Human Vimentin aa 417-466 / 466.
Positive control: Hela cell lysate, A549 cell lysate, 293T cell lysate, Hela, human breast carcinoma tissue, Wild-type Hela whole cell lysate.
Subcellular location: Cytoplasm, Cell membrane, Cytoskeleton, Intermediate filament, Membrane, Nucleus.
Recommended Dilutions:
  WB
  IF-Cell
  IHC-P

1:1,000-1:2,000
1:100-1:200
1:200
Uniprot #: SwissProt: P08670 Human
Alternative names: CTRCT30 Epididymis luminal protein 113 FLJ36605 HEL113 VIM VIME_HUMAN Vimentin
Images
R1308-6_1.jpg Fig1: Western blot analysis of Vimentin on different lysates with Rabbit anti-Vimentin antibody (R1308-6) at 1/2,000 dilution.

Lane 1: Hela cell lysate
Lane 2: A549 cell lysate
Lane 3: 293T cell lysate

Lysates/proteins at 10 µg/Lane.

Predicted band size: 54 kDa
Observed band size: 56 kDa

Exposure time: 1 minute;

10% SDS-PAGE gel.

Proteins were transferred to a PVDF membrane and blocked with 5% NFDM/TBST for 1 hour at room temperature. The primary antibody (R1308-6) at 1/2,000 dilution was used in 5% NFDM/TBST at room temperature for 2 hours. Goat Anti-Rabbit IgG - HRP Secondary Antibody (HA1001) at 1:300,000 dilution was used for 1 hour at room temperature.
R1308-6_2.jpg Fig2: All lanes: Western blot analysis of Vimentin with anti-Vimentin antibody (R1308-6) at 1/500 dilution.
Lane 1: Wild-type Hela whole cell lysate (10 µg).
Lane 2: Vimentin knockout Hela whole cell lysate (10 µg).

R1308-6 was shown to specifically react with Vimentin in wild-type Hela cells. No band was observed when Vimentin knockout sample was tested. Wild-type and Vimentin knockout samples were subjected to SDS-PAGE. Proteins were transferred to a PVDF membrane and blocked with 5% NFDM in TBST for 1 hour at room temperature. The primary antibody (R1308-6, 1/500) was used in 5% BSA at room temperature for 2 hours. Goat Anti-Rabbit IgG-HRP Secondary Antibody (HA1001) at 1:300,000 dilution was used for 1 hour at room temperature.
R1308-6_3.jpg Fig3: Immunofluorescent staining of Hela cells using anti- vimentin rabbit polyclonal antibody.
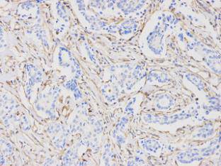
R1308-6_4.jpg Fig4: Immunohistochemical analysis of paraffin-embedded human breast carcinoma tissue using anti-vimentin rabbit polyclonal antibody.
Note: All products are “FOR RESEARCH USE ONLY AND ARE NOT INTENDED FOR DIAGNOSTIC OR THERAPEUTIC USE”.