Ribonuclease 3 Rabbit Polyclonal Antibody
cat.: R1511-21
Product Type: Rabbit polyclonal IgG, primary antibodies
Species reactivity: Human
Applications: WB, IHC-P, ELISA
Clonality: Polyclonal
Form: Liquid
Storage condition: Shipped at 4℃. Store at +4℃ short term (1-2 weeks). It is recommended to aliquot into single-use upon delivery. Store at -20℃ long term.
Storage buffer: 1*PBS (pH7.4), 0.2% BSA, 40% Glycerol. Preservative: 0.05% Sodium Azide.
Concentration: 1ug/ul
Purification: Immunogen affinity purified.
Molecular weight: Predicted band size: 18 kDa
Isotype: IgG
Immunogen: Synthetic peptide within Human Ribonuclease 3 aa 1-50 / 160.
Positive control: Human kidney tissue.
Subcellular location: Secreted.
Recommended Dilutions:
  WB
  IHC-P
  ELISA

1:500
1:50-1:200
1:1,000
Uniprot #: SwissProt: P12724 Human
Alternative names: Cytotoxic ribonuclease ECP ECP_HUMAN Eosinophil cationic protein OTTHUMP00000164017 Ribonuclease 3 Ribonuclease, RNase A family, 3 RNase 3 RNASE3 RNS3
Images
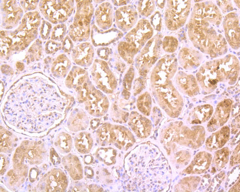
R1511-21_1.jpg Fig1: Immunohistochemical analysis of paraffin-embedded human kidney tissue with Rabbit anti-Ribonuclease 3 antibody (R1511-21) at 1/50 dilution.

The section was pre-treated using heat mediated antigen retrieval with Tris-EDTA buffer (pH 9.0) for 20 minutes. The tissues were blocked in 1% BSA for 20 minutes at room temperature, washed with ddH2O and PBS, and then probed with the primary antibody (R1511-21) at 1/50 dilution for 1 hour at room temperature. The detection was performed using an HRP conjugated compact polymer system. DAB was used as the chromogen. Tissues were counterstained with hematoxylin and mounted with DPX.
Note: All products are “FOR RESEARCH USE ONLY AND ARE NOT INTENDED FOR DIAGNOSTIC OR THERAPEUTIC USE”.